Фолликул яичника
| Фолликул яичника | |
|---|---|
| лат. Folliculus ovaricus | |
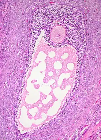
![]() Гистологический срез зрелого фолликула яичника. Ооцит — большая, круглая, розово окрашенная клетка в верхней части изображения. | |
| Каталоги | |
Фолликул яичника (лат. folliculus ovaricus) — структурный компонент яичника, состоящий из яйцеклетки, окружённой слоем эпителиальных клеток и двумя слоями соединительной ткани. Во время полового созревания у женщин насчитывается примерно от 200 до 300 тысяч фолликулов[1][2].
Строение

Ооцит
В фолликуле содержится ооцит 1-го порядка. Ядро ооцита называют «зародышевый пузырёк» germinal vesicle (см. иллюстрацию)
Гранулёзные клетки
Ооцит окружён слоем гликопротеинов, zona pellucida (zona striata). Он, в свою очередь, окружён слоем гранулёзных клеток.
Тека-клетки
Гранулёзные клетки окружены тонким слоем внеклеточного матрикса — базальной мембраной (на рисунке обозначена, как fibro-vascular coat). Вокруг базальной мембраны находятся тека-клетки.
Стадии развития
Фолликулогенез (созревание фолликулов) — непрерывный процесс, который, начавшись в антенатальном периоде, заканчивается лишь после наступления менопаузы. Большинство фолликулов гибнет на различной стадии развития в результате апоптоза («атрезия фолликулов»), только небольшая их часть проходит все стадии созревания и участвует в овуляции. К наступлению менопаузы происходит возрастное истощение запаса фолликулов в яичниках[3].
В соответствии со стадией развития различают примордиальные, преантральные (первичные), антральные (вторичные) и преовуляторные (третичные) фолликулы.
Примордиальные фолликулы размером 50 мкм неразличимы невооружённым взглядом и заложены ещё до рождения. Они образуются в процессе митотической пролиферации первичных зародышевых клеток (оогоний), поступивших в зародышевый яичник на 6-й неделе беременности. Оогонии проходят профазу I мейотического деления и становятся первичными ооцитами. Эти ооциты окружаются 1-2 слоями кубических эпителиальных клеток и образуют зародышевые фолликулы. Не включённые в фолликул ооциты подвергаются обратному развитию. Митотическая пролиферация прекращается в дородовой период беременности. Таким образом, к моменту рождения число примордиальных фолликулов в яичнике составляет примерно 1-2 миллиона.[4]
Развитие примордиальных фолликулов ожидает периода полового созревания. К этому времени в яичнике насчитывается около 300 000 фолликулов. Гипофиз начинает вырабатывать фолликулостимулирующий гормон (ФСГ), что стимулирует созревание 5-15 примордиальных фолликулов. Теперь эти фолликулы являются преантральными (первичными) фолликулами (размер — 150—200 мкм). Ооцит начинает расти, внешняя поверхность ооцита покрывается гликопротеинами и гликозаминогликанами, формирующим zona pellucida. Теперь ооцит покрыт уже 2-4 слоями гранулезных клеток, из соединительной ткани формируется оболочка вокруг фолликула.

1 Менструация
2 Созревающий фолликул
3 Граафов фолликул
4 Овуляция
5 Жёлтое тело
6 Жёлтое тело прекращает функционировать
В следующей стадии формируется полость (antrum folliculare), содержащая фолликулярную жидкость (liquor follicularis). Фолликулярные клетки, отвечающие за выработку эстрогена, разделяются на клетки внешней (theca externa) и внутренней (theca interna) оболочки. В это же время эпителиальные клетки фолликула превращаются в гранулёзные клетки, отвечающие за выработку прогестинов. Диаметр антрального (вторичного) фолликула составляет 500 мкм.
Во время созревания фолликула клетки внутреннего слоя теки вырабатывают андрогены, которые сквозь базальную мембрану проникают в гранулёзные клетки фолликулярной оболочки и там трансформируются в эстрогены, главным образом, эстрадиол. Таким образом, в фолликулярную полость выделяются эстрогены, а вторичный фолликул становится временным органом эндокринной системы.
Образование фолликулярной полости провоцирует быстрый рост фолликула, в течение этого периода диаметр фолликула увеличивается с 1 мм до 16-20 мм непосредственно перед овуляцией. Теперь яйцеклетка расположена на яйценосном бугорке, или яйценосном холмике (cumulus oophorus). Полость составляет большую часть преовуляторного (третичного) фолликула (граафов пузырёк), количество фолликулярной жидкости примерно в 100 раз больше, чем в антральном фолликуле.
Примерно за 24 часа до овуляции тека-клетки начинают вырабатывать большое количество эстрогена. Повышенное содержание эстрогена стимулирует выброс лютеинизирующего гормона (ЛГ), который и инициирует овуляцию. В стенке фолликула образуется выпячивание (стигма), которое разрывается, и яйцеклетка выходит из фолликула — происходит овуляция. Если зрелый фолликул не прошёл овуляцию, образуется кистозный фолликул.
После овуляции из фолликула (из гранулёзных и тека-клеток) образуется жёлтое тело, вырабатывающее прогестерон. Прогестерон предотвращает преждевременное отторжение функционального слоя эндометрия (менструация). Если яйцеклетка не была оплодотворена, жёлтое тело прекращает функционировать, уровень прогестерона падает, начинается менструация. Если же произошло оплодотворение и последующая имплантация бластоцисты, хорион эмбриона начинает вырабатывать хорионический гонадотропин, который теперь вместо ЛГ стимулирует рост жёлтого тела.
См. также
- Менструальный цикл
- Фолликулогенез (Оогенез)
Примечания
- ↑ McGee, Elizabeth A.; Hsueh, Aaron J. W. (2000). Initial and Cyclic Recruitment of Ovarian Follicles. Endocrine Reviews. 21 (2): 200–214. doi:10.1210/edrv.21.2.0394. PMID 10782364. Архивировано 5 марта 2022. Дата обращения: 25 марта 2022.
- ↑ Krogh, David. Biology: A Guide to the Natural World. — Benjamin-Cummings Publishing Company, 2010. — P. 638. — ISBN 978-0-321-61655-5. Архивная копия от 11 декабря 2021 на Wayback Machine
- ↑ Зенкина В.Г. Значение апоптоза в яичниках при развитии некоторых заболеваний репродуктивной системы // Фундаментальные исследования. — 2011. — Вып. №6. — С. 227—230. Архивировано 6 октября 2014 года.
- ↑ Фолликулогенез (образование фолликул). Дата обращения: 16 октября 2007. Архивировано 7 ноября 2007 года.
Литература
- С. Л. Кузнецов, Н. Н. Мушкамбаров — Гистология, цитология и эмбриология. Учебник для студ. мед. ВУЗов, 600с.
.jpg)