Фиброторакс

Фиброторакс — это заболевание, для которого характерно тяжелое рубцевание (фиброз) и слияние слоев плеврального пространства, окружающего легкие, что приводит к уменьшению движения легких и грудной клетки.[1] Основным симптомом фиброторакса является одышка. Заболеванию может сопутствовать рецидивирующее скопление жидкости вокруг легких (плевральный выпот). Фиброторакс может возникать как осложнение многих заболеваний, включая инфекцию плеврального пространства (эмпиема), или кровотечение в плевральное пространство (гемоторакс).[2]
Фиброз в плевре может быть преднамеренно произведен для предотвращения рецидивирующего пневмоторакса с использованием техники, называемой плевродезом. Данная техника (плевродез) вызывает ограниченный фиброз, который редко может быть достаточно обширным, чтобы привести к фибротораксу.[3] Эта патология чаще всего диагностируется с помощью рентгенографии или компьютерной томографии (КТ), при этом последнее чаще выявляет легкие случаи.
Фиброторакс часто лечится консервативно с осторожным ожиданием, но может потребовать хирургического вмешательства. Прогноз, как правило, хороший, если нет легочного фиброза или осложнений после операции.
Фиброторакс является крайне редким заболеванием.
Признаки и симптомы
Признаки
Снижение подвижности грудной клетки во время дыхания, снижение звуков дыхания на пораженной стороне (сторонах) и ощущение тупости при нажатии на грудь — это общие признаки, наблюдаемые при обследовании фиброторакса. В некоторых случаях могут наблюдаться резкие боли в груди при глубоким дыхании или кашле.[3] В тяжелых случаях фиброторакс может привести к дыхательной недостаточности из-за неполноценной вентиляции легких и стать причиной аномально высокого уровня углекислого газа в кровотоке.[3]
Симптомы
Состояние вызывает симптомы только при поражении висцеральной плевры. Хотя фиброторакс может не вызывать каких-либо симптомов, люди, страдающие этим расстройством, могут сообщать об одышке. Одышка имеет тенденцию развиваться постепенно и может ухудшаться со временем. Реже фиброторакс может вызывать дискомфорт в груди или сухой кашель.
Возможным симптомом являются рецидивирующие плевральные выпоты, которые вызваны формированием устойчивой полости в месте исходного сбора жидкости, образованной в результате затвердевания плевры.
Фиброторакс может возникать как осложнение других заболеваний. Симптомы исходного заболевания иногда также наблюдаются, например, лихорадка в случаях эмпиемы.
Причины возникновения
Фиброторакс часто является осложнением других заболеваний, вызывающих воспаление плевры. К ним относятся инфекции, такие как эмпиема или туберкулез, или кровотечение в плевральном пространстве (гемоторакс).
Воздействие определенных веществ, таких как асбест, может вызвать генерализованный фиброз легких, который может вовлечь плевру и привести к фибротораксу.
Менее распространенные причины фиброторакса включают: сосудистые заболевания коллагена (такие как системная красная волчанка, саркоидоз и ревматоидный артрит), почечная недостаточность (приводящая к уремии) и побочные эффекты некоторых лекарств. Лекарства, чаще всего связанные с фиброзом плевры, — это алкалоиды спорыньи, бромокриптин, перголид и метизергид.
Фиброторакс также может возникать без четкой основной причины, и в этом случае он известен как идиопатический фиброторакс.
Механизм
Фиброз может поражать один или оба из двух слоев ткани, образующих плевру: висцеральную плевру, прилегающую к легкому, и теменную плевру, прилегающую к грудной клетке. Термин фиброторакс означает тяжелый фиброз, затрагивающий как висцеральную, так и наружную (теменную) плевру, сливающую легкое с грудной стенкой. Состояние начинается как недренированный плевральный выпот. Со временем недренированный плевральный выпот вызывает длительное воспаление плевры, которое затем может привести к отложению фибрина в плевре и развитию фиброзного рубца. В конце концов вокруг кожной жидкости образуется «кожура», которая богата коллагеном. С этого момента болезнь больше нельзя лечить плевроцентезом, так как жидкость вернется в полость, поддерживаемую кожурой.
Со временем, как правило, с годами ткань фиброзного рубца медленно сжимается и утолщается, сжимая содержимое одной или обеих половин грудной клетки и уменьшая подвижность ребер. Кожура может стать толще 2 см. Внутри грудной клетки легкое сжимается и не может расширяться (сжатое легкое), что делает его уязвимым для коллапса и вызывает одышку. Сжатие легких из-за фиброторакса может возникать, когда фиброз плевры настолько тяжел, что поражает диафрагму и грудную клетку.
Микроскопический уровень
На микроскопическом уровне волокна коллагена осаждаются в виде плетеной корзины и образуют рубцовую ткань. Обычно основное заболевание должно вызывать интенсивное воспаление плевры, хотя неясно, как именно это приводит к фиброзу. Точные механизмы, вызывающие фиброз, не совсем ясны. Тем не менее, исследования показывают, что белок, называемый бета-трансформирующим фактором роста (TGF-β), является главным фактором в возникновении фиброторакса.
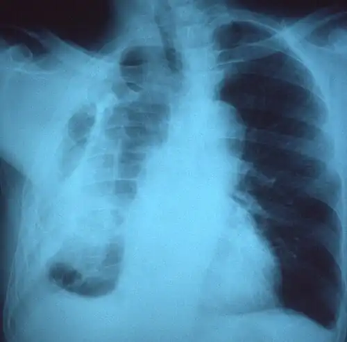
Диагностика
Фиброторакс, как правило, может быть диагностирован путем сбора истории болезни в сочетании с использованием соответствующих методов визуализации, таких как рентгенография грудной клетки или компьютерная томография (КТ). Эти методы визуализации могут обнаружить фиброторакс и утолщение плевры, которые окружают легкие. Присутствие утолщенной кожуры с кальцификацией или без нее являются общими признаками фиброторакса при визуализации. КТ помогает лучше чем рентген различать причину утолщение плевры: из-за избыточного отложения жира или истинного утолщения плевры.
Если фиброторакс тяжелый, утолщение может ограничить легкое на пораженной стороне, вызывая потерю объема легкого. Кроме того, средостение может быть физически смещено в сторону пораженной стороны. Уменьшение размера одной стороны грудной клетки (гемиторакса) при рентгенографии или компьютерной томографии грудной клетки предполагает хроническое рубцевание. Признаки основного заболевания, вызывающего фиброторакс, также иногда видны на рентгенограмме. КТ может показать признаки, подобные тем, которые видны на обычном рентгеновском снимке. Тестирование функции легких обычно демонстрирует результаты, согласующиеся с болезнью сжатия легких.
Лечение
Консервативное
Консервативное безоперационное лечение фиброторакса обычно проводится путем лечения его первопричины и предназначено для более легких случаев. Больным настоятельно рекомендуется отказаться от курения, поскольку воздействие табачного дыма может усугубить фиброз. В тяжелых случаях фиброторакса может потребоваться вспомогательная механическая вентиляция, если больной не может полноценно самостоятельно дышать.
В случаях фиброторакса, вызванного приемом лекарств, рекомендуется прекратить прием лекарств, вызывающих нарушение. Препараты алкалоидов спорыньи, которые могут усугубить плевральный фиброз, обычно избегают. Случаи фиброторакса, связанные с приемом лекарств, обычно прекращаются, если прекратить провоцирующее лечение. В некоторых ситуациях фиброторакс, вызванный медикаментозным лечением, улучшается после прекращения причинного лечения, но фиброторакс обычно не проходит полностью.
Ожидание с наблюдением подходит для более легких случаев фиброторакса в определенных ситуациях. Фиброторакс, вызванный туберкулезом, эмпиемой или гемотораксом, часто самопроизвольно улучшается через 3–6 месяцев после купирования провоцирующего заболевания. Кортикостероиды обычно используются для лечения фиброторакса, но их эффективность в борьбе с данным заболеванием не подтверждена.
Хирургическое
В тяжелых случаях фиброторакса, который нарушает способность человека дышать, рубцовую ткань (фиброзную кожуру), вызывающую фиброторакс, можно удалить хирургическим путем с помощью техники, называемой декортикацией. Тем не менее, хирургическая декортикация является инвазивной процедурой, которая сопряжена с риском осложнений, включая небольшой риск смерти, и поэтому обычно рассматривается только при наличии серьезных симптомов в течение многих месяцев. Хирургическая декортикация обычно рассматривается для людей с тяжелым фибротораксом, вызывающим значительную одышку и имеющими относительно здоровые легкие, поскольку это повышает вероятность лучшего результата. Хирургическое удаление плевры (плеврэктомия) может быть выполнена в невосприимчевых к иному лечению случаях, как это часто бывает, когда причиной является асбестоз.
Прогноз
Фиброторакс, осложняющий другое состояние, такое как туберкулезный плеврит, эмпиема или острый гемоторакс, часто самопроизвольно проходит через 3-6 месяцев.
Прогноз после хирургической декортикации является переменным и зависит от состояния здоровья нижележащего легкого до проведения процедуры. Если легкое было в остальном здоровым, то после декортикации некоторые аспекты функции легких, такие как жизненная емкость, могут улучшиться. Если, однако, в легких были значительные патолонии, то функция легких часто не улучшается и может даже ухудшиться после такого вмешательства. Продолжительность фиброторакса не влияет на прогноз.
Смертность от хирургического вмешательства составляет менее 1% в целом, но возрастает до 4-6% у пожилых людей. Другие факторы, прогнозирующие худшие хирургические исходы, включают интраоперационные осложнения, неполное хирургическое вмешательство, заболевание легких после лечения фиброторакса и конкретные причины фиброторакса, такие как асбестоз.
Эпидемиология
О единичных случая, связанных с например, ятрогенными или послеоперационными осложненями, редко упоминается в медицинской литературе.
Фиброторакс редко встречается в развитых странах, в основном из-за меньшей заболеваемости туберкулезом. Это состояние гораздо чаще встречается у рабочих, подвергшихся воздействию асбеста, у 5–13,5% тех, кто подвергается воздействию, впоследствии развивается некоторая степень плеврального фиброза, иногда не диагностируемая десятилетиями.
Ссылки
- ↑ Michael A. Jantz, Veena B. Antony. Pleural Fibrosis (англ.) // Clinics in Chest Medicine. — 2006-06-01. — Vol. 27, iss. 2. — P. 181–191. — ISSN 0272-5231. — doi:10.1016/j.ccm.2005.12.003.
- ↑ John T. Huggins, Steven A. Sahn. Causes and management of pleural fibrosis (англ.) // Respirology. — 2004. — Vol. 9, iss. 4. — P. 441–447. — ISSN 1440-1843. — doi:10.1111/j.1440-1843.2004.00630.x.
- ↑ 1 2 3 Robert J. Mason, V. Courtney Broaddus, Thomas R. Martin, Talmadge E. King, Dean Schraufnagel. Murray and Nadel's Textbook of Respiratory Medicine E-Book: 2-Volume Set. — Elsevier Health Sciences, 2010-06-09. — 2457 с. — ISBN 978-1-4377-3553-6.