Ужаления и укусы насекомых

Ужаления и укусы насекомых
Укус комара Aedes aegypti, переносчика жёлтой лихорадки
Укус комара Aedes aegypti, переносчика жёлтой лихорадки
МКБ-10 T14.1, X23-X25, W57
МКБ-9 919.4, 989.5, E905.3, E905.5, E906.4
MedlinePlus 000033
MeSH D007299
Логотип Викисклада Медиафайлы на Викискладе

Ужаления и укусы насекомых — болезненные состояния, связанные с укусами насекомых (главным образом перепончатокрылых и двукрылых).

Этиология

Ужаление, производимое некоторыми насекомыми из отряда перепончатокрылых (Hymenoptera) при помощи жала, производит выпускание в ранку ядовитой жидкости, образующейся в особых железах (см. Гименоптеризм).

Укусы комаров вызывают зуд (см. Кулицидоз), также как и укусы блох (см. Дерматофилиазы).

Паразитирование вшей приводит к зуду, дерматиту и другим патологическим кожным проявлениям (см. Педикулёз, Фтириаз).

Реакция на укусы клопов может проявляться от зуда до анафилаксии (см. Хемиптероз). Также человека кусают москиты (см. Флеботодермия), слепни (см. Табанидоз), мошки (см. Симулидотоксикоз) и другие двукрылые. Человека могут кусать и трипсы (см. Тизаноптерный дерматит).

Укусы кровососущих насекомых (и клещей) могут привести к заражению трансмиссивными болезнями, такими как малярия, лейшманиоз.

Помимо насекомых, из членистоногих человека могут кусать многоножки (см. Укусы многоножек), пауки (см. Арахнидизм, Латродектизм, Локсосцелизм), скорпионы (см. Скорпионизм), сольпуги, ядовитые клещи (см. Клещевой паралич) (см. также Укусы членистоногих).

Клиническая картина и симптомы

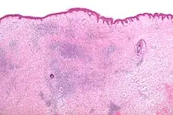
На микрофотографии показан клиновидный поверхностный кожный периваскулярный лимфоэозинофильный инфильтрат — гистоморфологическое появление укуса насекомого.

Реакция на укус бывает трёх типов. Обычная реакция сопровождается покраснением, зудом и болью в области вокруг укуса. Большие местные реакции возникают, когда область опухоли более 5 см. Системные реакции возникают, когда симптомы поражения наблюдаются в районах тела, далёких от укуса[1].

Кожная реакция на укусы насекомых обычно длится от нескольких часов до нескольких дней. Однако, в некоторых случаях местная реакция может длиться до двух лет. Эти укусы иногда ошибочно диагностируется как виды доброкачественных или раковых поражений[2].

Клинические проявления при укусах жалящих насекомых варьируются от минимальной боли и местной эритемы до угрожающих жизни анафилактических реакций. Местные реакции могут варьироваться от папулы или волдыря в местах укуса до отека всей конечности. Клинические признаки анафилактических реакций, связанных с сенсибилизацией к жалящим насекомым, аналогичны проявлениям анафилаксии, вызванной другими причинами. У больного могут возникнуть генерализованная крапивница, обструкция верхних и в меньшей степени нижних дыхательных путей и циркуляторный коллапс.

Аллергическая и токсическая реакция

Аллергические реакции протекают различно: от местных симптомов до шока с летальным исходом. Выделяется 4 типа общих реакций:

1) Лёгкие общие реакции: крапивница, зуд, недомогание, страх.

2) Общие реакции: к симптомам 1-го типа присоединяются одышка, боль в животе, тошнота, головокружение, рвота.

3) Тяжёлая форма общих реакций: дополнительно к предыдущим проявлениям присоединяется удушье, дисфагия, хрипота, бессвязность мыслей, страх.

4) Шок: кроме вышеуказанных симптомов, цианоз, падение АД, коллапс, непроизвольная дефекация, потеря сознания.

Токсические реакции развиваются при одновременном укусе большого количества насекомых. Симптомы появляются через несколько часов в виде отёков, головной боли, рвоты, поноса, повышения температуры тела, судорог, оцепенения, комы.

Одновременные ужаление и укусы большого количества насекомых, таких как пчёлы, могут привести к летальному исходу.

Смерть в тяжёлых случаях происходит в основном вследствие асфиксии с последующим сосудистым коллапсом.

Микроскопия

Гистоморфологические появления укусов насекомых, как правило, характеризуются появлением сосудистого инфильтрата, состоящего из лимфоцитов и эозинофилов.

См. также

Примечания

  1. Goddard, Jerome. Physician's guide to arthropods of medical importance (англ.). — Boca Raton: CRC Press, 2002. — P. 14. — ISBN 0-8493-1387-2.
  2. Allen, Arthur C. Persistent "Insect Bites" (Dermal Eosinophilic Granulomas) Simulating Lymphoblastomas, Histiocytoses, and Squamous Cell Carcinomas (англ.) // Am J Pathol. : journal. — 1948. — March (vol. 24, no. 2). — P. 367—387. — PMID 18904647. — PMC 1942711.

Литература

  • Ужаление пчелиное // Словарь-справочник пчеловода / Сост. Н.Ф. Федосов. — М.: Гос. издат. сельскохоз. лит-ры, 1955. — С. 372. — 420 с.