Тройной синдром
| Тройной синдром | |
|---|---|
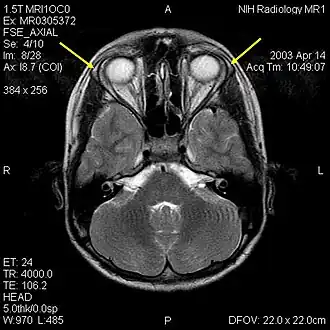
![]() MRI мозга 12-летнего подростка с тройным синдромом видны гипопластичные слезные железы (желтые стрелки) | |
| МКБ-10 | E27.4 |
| OMIM | 231550 |
| DiseasesDB | 32088 |
| eMedicine | ped/71 |
| MeSH | C536008 |
Тройной синдром (ААА), также известный как синдром Ахалазия-Аддисонианизма-Алакримии или синдром Оллгрова [1], — редкий аутосомно-рецессивный врожденный порок. В большинстве случаев характеризуется отсутствием семейной истории о нём[2]. Синдром был обнаружен Джереми Оллгроувом (англ. Jeremy Allgrove) и его коллегами в 1978 году. ААА представляет аббревиатуру синдрома ахалазии-аддисонианизма-алакримии. Алакримия является обычно ранним проявлением[3]. Это прогрессирующее заболевание, которое может длиться годами, чтобы развить полноценную клиническую картину[4].
Характеристики
Лица, пострадавшие от ААА, имеют надпочечниковую недостаточность/болезнь Аддисона из-за сопротивления ACTH, алакримию (отсутствие слезной секреции), и ахалазию (отказ кольца мышечных волокон, такого как сфинктер) нижнего пищеводного (кардиального) сфинктера, который задерживает собранную в желудке еду и вызывает расширение грудного отдела пищевода. При этом признаками вегетативной дисфункции с ААА также могут быть такие, как аномалии зрачка, ненормальная реакция на внутрикожный гистамин, нарушение потоотделения, ортостатическая гипотензия и нарушения сердечного ритма[5]. Гипогликемия (низкий уровень сахара в крови), часто упоминается в качестве раннего признака[4]. Это расстройство также было связано с мягкой умственной отсталостью[4].
Синдром сильно варьирует. Эффективно управляемые пострадавшие лица могут иметь нормальную продолжительность жизни и рожать детей.
Причина и генетика
Тройной синдром связан с мутациями в гене AAAS, который кодирует белок, известный как ALADIN[6][7]. В 2000 году Хюбнер и др. картировали синдром в 6 cM интервале на хромосоме человека 12q13 вблизи кластера генов кератина типа II[8]. Поскольку наследование и ассоциации гена известны, ранняя диагностика может предоставить возможность генетического консультирования[3].
Примечания
- ↑ OMIM 231550
- ↑ Dusek, Tina; Korsic, Marta; Koehler, Katrin; Perkovic, Zdravko; Huebner, Angela; Korsic, Mirko. A Novel AAAS Gene Mutation (p.R194X) in a Patient with Triple A Syndrome (англ.) // Hormone Research in Paediatrics : journal. — 2006. — Vol. 65, no. 4. — P. 171—176. — doi:10.1159/000092003. — PMID 16543750.
- ↑ 1 2 Bharadia, Lalit; Kalla, Mukesh; Sharma, S K; Charan, Rohit; Gupta, J B; Khan, Firoz. Triple A Syndrome (англ.) // Indian Journal of Gastroenterology. — 2005. — Vol. 24, no. 5. — P. 218—219. — PMID 16361770.
- ↑ 1 2 3 Prpic, I.; Huebner, A.; Persic, M.; Handschugg, K.; Pavletic, M. Triple A syndrome: genotype-phenotype assessment (неопр.) // Clinical Genetics. — 2003. — Т. 63, № 5. — С. 414—417. — doi:10.1034/j.1399-0004.2003.00070.x. — PMID 12752575.
- ↑ Brooks, B.P.; Kleta, R.; Stuart, C.; Tuchman, M.; Jeong, A.; Stergiopoulos, S.G.; Bei, T.; Bjornson, B.; Russell, L.; Chanoine, J-P.; Tsagarakis, S.; Kalsner, LR.; Stratakis, CA. Genotype heterogeneity and clinical phenotype in triple A syndrome (англ.) // Clinical Genetics : journal. — 2005. — Vol. 68, no. 3. — P. 215—221. — doi:10.1111/j.1399-0004.2005.00482.x. — PMID 16098009.
- ↑ Huebner, Angela; Kaindl, A.M.; Knobeloch, K.P.; Petzold, H.; Mann, P.; Koehler, K. The Triple A Syndrome Is Due to Mutations in Aladin, a Novel Member of the Nuclear Pore Complex (англ.) // Endocrine Research : journal. — Informa Healthcare, 2004. — Vol. 30, no. 4. — P. 891—899. — doi:10.1081/ERC-200044138. — PMID 15666842.
- ↑ Salmaggi A., Zirilli L., Pantaleoni C., et al. Late-onset triple A syndrome: a risk of overlooked or delayed diagnosis and management (англ.) // Hormone Research in Paediatrics : journal. — 2008. — Vol. 70, no. 6. — P. 364—372. — doi:10.1159/000161867. — PMID 18953174. Архивировано 28 сентября 2012 года.
- ↑ Huebner A., Yoon S.J., Ozkinay F., et al. Triple A syndrome--clinical aspects and molecular genetics (англ.) // Endocrine Research : journal. — Informa Healthcare, 2000. — November (vol. 26, no. 4). — P. 751—759. — doi:10.3109/07435800009048596. — PMID 11196451.
