Трихром Массона

Трихро́м Массо́на (Окраска трихромом по Массону) — вариант трёхцветного окрашивания микропрепаратов, который позволяет различить коллагеновые волокна, фибрин, мышечную ткань и эритроциты[1]. Является самым распространенным методом трёхцветного окрашивания.
Трихром Массона подходит для распознавания фиброза различных органов и тканей[2][3], цирроза, миодистрофий[4], а также, в сочетании с другими методиками, для диагностики миофибромы[5] Применяется для рутинного окрашивания биопсий печени и почек.
Окраска названа именем канадского гистопатолога Клода Л. Пьера Массона (1880–1959). Модификацию Трихром Лилли также зачастую также называют трихромом Массона.
Процесс окрашивания
Трихроматическая окраска достигается путем погружения фиксированного образца в железный гематоксилин Вейгерта, а затем в три различных раствора, обозначенных A, B и C:
Гематоксилин Вейгерта — последовательность из трех растворов: хлорида железа (III) в разбавленной соляной кислоте, гематоксилина в 95% этаноле и раствора феррицианида калия, подщелоченного боратом натрия. Гематоксилин Вейгерта используется для окрашивания ядер.
- Раствор А содержит фуксин, Понсо 2R, ледяную уксусную кислоту и дистиллированную воду.
- Раствор B содержит фосфомолибденовую или фосфотунгстовую кислоту в дистиллированной воде.
- Раствор C содержит светло-зеленый SF или, в качестве альтернативы, Зелёный прочный FCF. Он используется для окрашивания коллагена. Зеленый цвет можно заменить метиленовым синим[6].
Результат окрашивания
- Ядра окрашиваются в черный, если используется железный гематоксилин Вейгерта. При использовании раствора гематоксилина Gill № 3 окрашиваются в синий.
- Цитоплазма и мышечные волокна окрашиваются в красный.
- Коллаген окрашивается в синий (в изначальном варианте окраски Массона — в зелёный; использование анилинового синего было предложено Ральфом Д. Лилли[7][6])
Окраска часто сочетается с окраской по Верхоффу. Эта комбинация красителей выделяет черным цветом эластин, что позволяет отличить мелкие артерии от вен.
Галерея
-
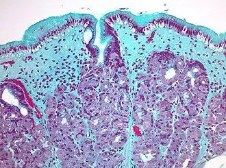
Коллагеновый гастрит, окраска трихромом Массона -
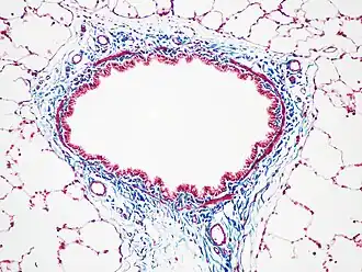
Бронх крысы, окраска трихромом Массона -
Неалкогольная жировая болезнь печени, окраска трихромом Массона-Верхоффа
Ссылки
- ↑ Veuthey Tania. Dyes and Stains: from molecular structure to histological application (англ.) // Frontiers in Bioscience. — 2014. — Vol. 19, no. 1. — P. 91. — ISSN 1093-9946. — doi:10.2741/4197.
- ↑ SAITO-FUJITA Tomoko, IWAKAWA Mayumi, NAKAMURA Etsuko, NAKAWATARI Miyako, FUJITA Hidetoshi, MORITAKE Takashi, IMAI Takashi. Attenuated Lung Fibrosis in Interleukin 6 Knock-out Mice after C-ion Irradiation to Lung (англ.) // Journal of Radiation Research. — 2011. — Vol. 52, no. 3. — P. 270—277. — ISSN 0449-3060. — doi:10.1269/jrr.10094.
- ↑ Cohen Arthur H. Masson’s Trichrome Stain in the Evaluation of Renal Biopsies: An Appraisal (англ.) // American Journal of Clinical Pathology. — 1976. — 1 May (vol. 65, no. 5). — P. 631—643. — ISSN 0002-9173. — doi:10.1093/ajcp/65.5.631.
- ↑ Bish Lawrence T., Yarchoan Mark, Sleeper Meg M., Gazzara Jeffrey A., Morine Kevin J., Acosta Pedro, Barton Elisabeth R., Sweeney H. Lee. Chronic Losartan Administration Reduces Mortality and Preserves Cardiac but Not Skeletal Muscle Function in Dystrophic Mice (англ.) // PLoS ONE. — 2011. — 22 June (vol. 6, no. 6). — P. e20856. — ISSN 1932-6203. — doi:10.1371/journal.pone.0020856.
- ↑ Chang Julia Yu Fong, Kessler Harvey P. Masson Trichrome Stain Helps Differentiate Myofibroma from Smooth Muscle Lesions in the Head and Neck Region (англ.) // Journal of the Formosan Medical Association. — 2008. — October (vol. 107, no. 10). — P. 767—773. — ISSN 0929-6646. — doi:10.1016/S0929-6646(08)60189-8.
- ↑ 1 2 Sigma Aldrich. Trichrome Stains (Masson).
- ↑ Lillie R. D. Further Experiments with the Masson Trichrome Modification of Mallory's Connective Tissue Stain (англ.) // Stain Technology. — 1940. — January (vol. 15, no. 1). — P. 17—22. — ISSN 0038-9153. — doi:10.3109/10520294009110327.