Сперматоцит
| Сперматоциты | |
|---|---|
![]() Сперматогенный эпителий тестикул. 1 — базальная пластинка 2 — сперматогония 3 — сперматоцит 1-го порядка 4 — сперматоцит второго порядка 5 — сперматида 6 — зрелая сперматида 7 — клетка Сертоли 8 — гемато-тестикулярный барьер | |
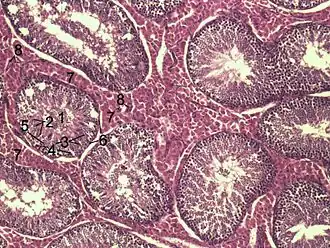
![]() Гистологический срез тестикулярной паренхимы кабана. 1 полость семенного канальца 2 – сперматиды, 3 — сперматициты, 4 — сперматогонии, 5 — клетки Сертоли, 6 — миофибробласты, 7 — клетки Лейдига, 8 — капилляры | |
| Прекурсор | сперматогониальная клетка |
| Каталоги | |
Сперматоцит — мужской гаметоцит. В процессе сперматогенеза появляется из сперматогоний путём мейотического деления. Процесс происходит в семенных канальцах тестикул.
Изображения
-
Аналогия между процессом образования яйцеклетки и сперматиды -
Поперечное сечение семенного канальца крысы (x250)

