Симптом Бэттла

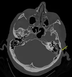
Симптом Бэттла (Бэттла признак) — кровоподтек (экхимоз) над сосцевидным отростком височной кости. Часто это единственный внешний признак базилярного (от лат. basilaris - основной, относящийся к основанию черепа) перелома черепа, чаще всего каменистой части височной кости.[1][2][3]
Симптом назван именем английского хирурга Уильяма Генри Баттла, который в 19 веке описал 17 пациентов с переломами основания черепа, имевших гематому в области сосцевидного отростка. Он также отмечал, что для появления этого симптома часто связано с тяжелой черепно-мозговой травмой, сопровождающейся повреждением мозга.[4][5] Однако первым связь между наличием кровоподтека за ухом или в области сосцевидного отростка и черепно-мозговой травмой описал другой английский хирург Сэр Прескотт Г. Хьюитт.[6]
Признак Бэттла проявляется за одним или обоими ушами. Существуют определенные сложности для выявления данного симптома у больных с черепно-мозговой травмой. Его можно не заметить из-за волос. Кроме того, при оказании скорой медицинской помощи сразу после получения травмы данного симптома может не быть т.к. он обычно через 24-48 часов после перелома и может сохраняться в течение нескольких дней или недель.[4] При переломе костей черепа симптом Бэттла может сопровождаться гематомами вокруг глаз (симптом глаз енота), истечением ликвора из носа (ликворея), повреждением лицевого нерва, кровоизлиянием в полость среднего уха, а также угнетением сознания при тяжелой черепно-мозговой травме.[1]
В исследовании, проведенном в Бразилии и включавшем 172 человека с черепно-мозговой травмой, показано, что чувствительность выявления симптома составила 66% для внутричерепной травмы и 100% для перелома основания черепа.[7]

Механизм
Приложение достаточно большого усилия для перелома основания черепа вызывает появление кровоподтеков в области сосцевидного отростка из-за повреждения прилегающих к нему тканей.Также признак Бэттла может проявиться вследствие поступления крови из места перелома в область сосцевидного отростка.[8]
Дифференциальный диагноз
Гематома расположенная в области сосцевидного отростка иногда может быть при переломе мыщелка нижней челюсти[7]
Примечания
- ↑ 1 2 Allison Becker, Heidi Metheny, Ben Trotter. Battle Sign // StatPearls. — Treasure Island (FL): StatPearls Publishing, 2025.
- ↑ Daniel Bell, Frank Gaillard. Battle sign (base of skull fracture) (англ.) // Radiopaedia.org. — Radiopaedia.org, 2017-11-13. — doi:10.53347/rID-56621.
- ↑ Daniel Bell, Frank Gaillard. Basilar fractures of the skull // Radiopaedia.org. — Radiopaedia.org, 2017-11-15.
- ↑ 1 2 W. H. Battle. Three Lectures on Some Points Relating to Injuries to the Head // BMJ. — 1890-07-19. — Т. 2, вып. 1542. — С. 141–147. — ISSN 0959-8138. — doi:10.1136/bmj.2.1542.141.
- ↑ R. Shane Tubbs, Mohammadali M. Shoja, Marios Loukas, W. Jerry Oakes, Aaron Cohen-Gadol. William Henry Battle and Battle's sign: mastoid ecchymosis as an indicator of basilar skull fracture: Historical vignette // Journal of Neurosurgery. — 2010-01. — Т. 112, вып. 1. — С. 186–188. — ISSN 0022-3085. — doi:10.3171/2008.8.JNS08241.
- ↑ Epperla N, Mazza JJ, Yale SH. A Review of Clinical Signs Related to Ecchymosis (англ.) // WMJ. — 2015.
- ↑ 1 2 Cibele Andres Solai, Cristiane de Alencar Domingues, Lilia de Souza Nogueira, Regina Marcia Cardoso de Sousa. Clinical Signs of Basilar Skull Fracture and Their Predictive Value in Diagnosis of This Injury // Journal of Trauma Nursing. — 2018-09. — Т. 25, вып. 5. — С. 301–306. — ISSN 1078-7496. — doi:10.1097/jtn.0000000000000392.
- ↑ Christopher L. Stark. Basilar Skull Fracture // The Atlas of Emergency Medicine / Kevin J. Knoop, Lawrence B. Stack, Alan B. Storrow, R. Jason Thurman. — New York, NY: McGraw-Hill, 2021.