Ротовая амёба
| Ротовая амёба | ||||||||||
|---|---|---|---|---|---|---|---|---|---|---|
| ||||||||||
| Научная классификация | ||||||||||
|
Домен: Эукариоты Клада: Тип: Evosea Класс: Archamoebea Семейство: Entamoebidae Род: Entamoeba Вид: Ротовая амёба |
||||||||||
| Международное научное название | ||||||||||
| Entamoeba gingivalis Gros, 1849 | ||||||||||
| ||||||||||
Ротова́я амёба (лат. Entamoeba gingivalis) — это представитель царства простейшие (Protozoa), который встречается в кариозных зубах более чем у 25 % здоровых людей.
Патогенного действия не вызывает (т. е. не является паразитом), хотя обнаруживается при амфодонтозе, гайморите и остеомиелите челюстей. Некоторые авторы считают ротовую амёбу возбудителем заболеваний периодонта.
Локализируется в альвеолах зубов, белом зубном налёте и в криптах нёбных миндалин.
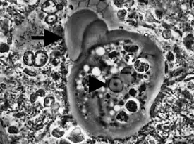
Существует только в форме трофозоита (вегетативная форма). Размеры колеблются от 6 до 60 мкм. Питается бактериями, образующими зубные камни, и клеточным детритом. Цитоплазма чётко разделена на два слоя, где можно рассмотреть фагоцитированные бактерии на разных стадиях пищеварения, при кровотечении из дёсен ротовая амёба может захватывать и эритроциты. Никогда не поглощает лимфоциты, что считается дифференциальным отличием от дизентерийной амёбы Entamoeba histolytica, особенно при совместном выделении из мокроты пациентов с лёгочными амёбными абсцессами. Цист не образует. Ядро живой амёбы не визуализируется. Движение медленное, ложноножки широкие.
Нередко выделяется в мазках из дёсневых карманов при воспалительно-дистрофической форме пародонтита[1].
Путь передачи — перорально. Способ передачи — контактный. Заражение происходит через грязную воду, немытые овощи и фрукты.
Диагностика — обнаружение в соскобе кариозных зубов и мокроте трофозоитов.
Профилактика включает соблюдение гигиены полости рта, кипячение воды, мытьё фруктов и овощей перед употреблением.
Примечания
- ↑ Новикова В. П., Шабалов A. M. Состояние полости рта у пациентов с гастроэзофагеальной рефлюксной болезнью (ГЭРБ) Архивная копия от 20 ноября 2011 на Wayback Machine // Гастроэнтерология Санкт-Петербурга. – 2009. – № 1. – с. 25–28.
Литература
- Медицинская микробиология / В. И. Покровский, О. К. Поздеев. — Москва: ГЭОТАР Медицина, 1999.
- А. А. Слюсарев, С. В. Жукова. Биология. — Киев: Вища школа, 1987.
