Рентгеноанатомия

Рентгеноанатомия (рентгеновская анатомия) — теоретическая дисциплина на стыке анатомии и рентгенологии, изучающая структурные закономерности рентгенографических изображений тела человека. Индивидуальные и возрастные рентгеноанатомические варианты строения рассматривает клиническая рентгеноанатомия. Функциональные особенности анатомических структур изучаются функциональной рентгеноанатомией.
Выделение рентгеноанатомии, как самостоятельной анатомической дисциплины, обусловлено характером получения изображения внутренних структур организма при рентгенографии. Рентгеновский снимок представляет собой двухмерное изображение трёхмерного объекта, что сопряжено с проекционным наслоением различных анатомических структур; это требует наличия определённых навыков для корректной трактовки подобных изображений. С учётом возможностей рентгенографии, выделяют рентгеноанатомию костей скелета, органов грудной клетки, других внутренних органов (пищеварительной, сердечно-сосудистой, мочеполовой систем и др.).
Рентгеноанатомия является необходимой составляющей обучения врачей лучевой диагностики, а также используется как вспомогательный метод при обучении студентов анатомии в медицинских вузах.
Иногда к рентгеновской анатомии относят также область знаний о структуре изображений человеческого тела в аксиальной проекции, получаемых при компьютерной томографии (КТ-анатомию)[1].
Ветеринарная медицина изучает рентгеновскую анатомию животных[2].
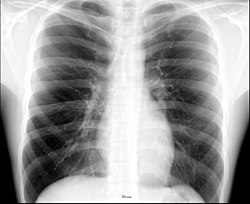
Рентгеноанатомия органов грудной клетки.
-

-
Рентгеноанатомия органов грудной клетки. Зелёным обозначены трахея и крупные бронхи, синим — ветви лёгочных артерий, красным — дуги тени сердца, цифрами отмечены сегменты лёгких.
При изучении рентгеноанатомии органов грудной клетки обращают внимание на рентгеновскую структуру видимых костей и мягких тканей грудной клетки; форму и прозрачность для рентгеновских лучей областей, на которые проецируется лёгочная ткань (так называемых «лёгочных полей»), а также их структуру, сформированную тенями сосудов лёгких («лёгочный рисунок»); расположение и структурность корней лёгких; положение, форму куполов диафрагмы и синусов плевральных полостей; форму и размеры тени средостения (в том числе сердца).
Рентгеноанатомия структур грудной стенки.
Рёбра являются ориентиром для оценки расположения других структур грудной клетки. При обзорной рентгенографии лёгких в прямой проекции в норме визуализируются передние отрезки верхних пяти или шести пар рёбер. Рёберный хрящ на рентгенограмме не виден (при отсутствии его обызвествления), в связи с чем изображение грудинных концов рёбер прерывается на некотором расстоянии от грудины. Тени передних отрезков рёбер направляются кнаружи и кверху от срединной линии; задних отрезков — кнаружи и книзу. Помимо изображения рёбер, на рентгенограммах грудной клетки визуализируются тени ключиц и лопаток (последние при правильно выполненном снимке не накладываются на лёгочные поля). На рентгенограмме, выполненной с оптимальными условиями, также различимы тела первых трёх грудных позвонков. Среди теней мягких тканей, покрывающих грудную клетку, различимы изображения грудино-ключично-сосцевидных мышц (в проекции медиальных отделов верхушек лёгких); грудных мышц (в верхне-латеральных отделах лёгочных полей); молочных желез и сосков. Иногда над ключицами можно увидеть тонкие тени кожных складок.[3][4]
Рентгеноанатомия лёгких в прямой проекции.
Лёгкие на рентгенограмме образуют лёгочные поля, располагающиеся по обе стороны от интенсивной тени средостения. Правое лёгочное поле короче и шире левого. В лёгочных полях различают верхушки (зоны выше ключиц), верхние отделы — от верхушек до передних отрезков вторых рёбер, средние отделы — между вторыми и четвёртыми парами рёбер, и нижние отделы — от четвёртых рёбер до диафрагмы. Лёгочные поля в норме очень светлые (тёмные на негативе) из-за высокой рентгенопроницаемости заполненной воздухом лёгочной ткани. Структура лёгочных полей называется лёгочным рисунком, анатомическим субстратом которого являются лёгочные сосуды и, в малой степени, лёгочный интерстиций. Лёгочный рисунок визуализируется в виде переплетения сосудистых теней тяжистого, округлого и овального вида, более интенсивных в местах их пересечений. В направлении от корней лёгких к периферии рисунок лёгочных сосудов становится беднее и совсем не визуализируется на расстоянии 1—1,5 см от края лёгочных полей. Лёгочный рисунок наиболее густой в нижних отделах лёгочных полей, обедняясь к верхушкам. Тени бронхов на рентгенограмме визуализируется в виде двойных полосок или колец с просветлением внутри.[3][4]
Корни лёгких.
Тень корней лёгких определяется парамедиастинально на уровне передних отрезков II—IV рёбер, левый корень располагается несколько выше правого и частично скрыт тенью средостения. Ведущим анатомическим субстратом в формировании тени корней лёгких являются лёгочные артерии и бронхи, в меньшей степени — лёгочные вены и другие структуры. В норме корни лёгких имеют неоднородное изображение, представляя собой структурированную совокупность элементов различной плотности. В корнях лёгких различают головку, тело и хвост. Правый корень визуализируется на всём протяжении в виде лентовидной, суживающейся книзу изогнутой тени средней интенсивности, отделённой от тени сердца промежуточным и нижнедолевым бронхами. К периферии от корней лёгких отходят лёгочные сосуды, причём артериальные ветви имеют более вертикальное направление, венозные — более горизонтальное. Ширина корня лёгкого соответствует ширине его основного артериального ствола; в норме она равна ширине бронха, отделяющего корень от средостения, и не превышает 1,5 см.[3][4]
Рентгеноанатомия куполов диафрагмы и плевральных синусов.
Нижние границы лёгочных полей образованы тенью диафрагмы. Куполы диафрагмы имеют вид изогнутых кверху дуг, направляющейся от боковых отделов грудной стенки к средостению. Правый купол диафрагмы при глубоком вдохе располагается на уровне передних отрезков V—VI рёбер, левый — на одно ребро ниже. В боковых отделах куполы диафрагмы образуют острые углы с рёбрами, формируя рёберно-диафрагмальные синусы. В медиальных отделах куполы диафрагмы, пересекаясь с тенью средостения, формируют менее глубокие кардио-диафрагмальные синусы, форма которых варьирует. Правый купол диафрагмы снизу не дифференцируется от тени печени, под левым куполом диафрагмы обычно видны единичные просветления, соответствующие скоплениям газа в желудке и селезёночном углу ободочной кишки.[3][4]
Тень средостения.
Сердечно-сосудистая тень занимает центральное положение на рентгенограмме органов грудной клетки. На рентгенограмме в прямой проекции её контуры в норме формируют две дуги справа и четыре — слева. Нижняя дуга правого контура образована правым предсердием, верхняя, более медиальная — восходящей частью аорты и верхней полой веной. Первая (верхняя) левая дуга образована дугой и начальным отделом нисходящей аорты, вторая — лёгочным стволом, третья — ушком левого предсердия, четвёртая — левым желудочком. В области второй и третьей дуг контур тени средостения вогнут и носит на этом уровне название «талия сердца»; эта зона является границей между сердцем и связанными с ним сосудами.[5]
Рентгеноанатомия костей.
Присутствие солей кальция в костях делает их менее «прозрачными» для лучей рентгена, чем окружающие мягкие ткани; при этом в связи с различиями в гистологической структуре компактного и губчатого вещества кости отличается и характер их рентгеновского отображения. Компактное вещество кости образует на рентгенограмме интенсивную «тень» в виде светлых полос большей или меньшей ширины, а губчатое — ячеистый, сетеподобный рисунок.
В местах соединения костей друг с другом отмечается тёмная полоса («полоса просветления») — рентгеновская суставная щель, отграниченная более светлыми линиями субхондральных отделов сочленяющихся костей. Ширина рентгеновской суставной щели зависит от толщины «прозрачного» для рентгеновских лучей суставного хряща.
Рентгенография позволяет идентифицировать «костный возраст» человека — визуализировать точки окостенения, замещение эпифизарного хряща костной тканью, сращение отделов кости (формирование синостоза). Данные возрастные особенности оссификации являются предметом изучения клинической рентгеноанатомии.
См. также
Примечания
- ↑ Юдин А. Л., Фоминых Е. В., Кулагин А. Л., Кутовой В. С. Рентгеноанатомия человека в аксиальной проекции, 1998
- ↑ Clinical Radiology of the Horse / Janet A. Butler, Christopher M. Colles, Sue Dyson, Svende Kold, Paul Poulos. Изд.: Wiley-Blackwell; 2 edition, 2000, ISBN 0632052686 [1] Архивная копия от 5 марта 2016 на Wayback Machine
- ↑ 1 2 3 4 Л. Д. Линденбратен, И. П. Королюк — Медицинская радиология. ISBN 5-225-04403-4
- ↑ 1 2 3 4 Саламов Р. Ф., Семенова Н. А. — Органы грудной клетки здорового человека в рентгеновском изображении. Дата обращения: 25 января 2011. Архивировано из оригинала 29 марта 2010 года.
- ↑ Рентгеноанатомия сердца. Контуры сердца. Дата обращения: 25 января 2011. Архивировано 6 декабря 2010 года.
Литература
- Сапин М. Р., Билич Г. Л. Анатомия человека: учебник в 3 т. ГЭОТАР-Медиа, 2007. — Том 1. — 608 с. ISBN 978-5-9704-0600-7 (т. 1)
- Коваль Г. Ю. Клиническая рентгеноанатомия. — Киев: ЗДОРОВ`Я, 1975. — 600 с.