Пустое турецкое седло
| Пустое турецкое седло | |
|---|---|
| МКБ-10 | E23.6 |
| МКБ-9 | 253.8 |
| МКБ-9-КМ | 253.8[1] |
| OMIM | 130720 |
| DiseasesDB | 31523 |
| MedlinePlus | 000349 |
| MeSH | D004652 |
Синдро́м «пусто́го туре́цкого седла́» — инвагинация субарахноидального пространства в интраселлярную область[2] — состояние, обусловленное недостаточностью диафрагмы турецкого седла, в результате которой мягкая мозговая оболочка и субарахноидальное пространство внедряются в полость седла, сдавливая гипофиз[3]. Данный клинический вариант относят к первичному поражению. Ко вторичному синдрому «пустого турецкого седла» относят случаи его выявления после оперативного вмешательства или облучения хиазмально-селлярной области[4]. При этом диафрагма турецкого седла может быть не нарушена.
История
Термин «пустое турецкое седло» (ПТС) предложил в 1951 году патологоанатом В. Буш (нем. W. Busch) после изучения аутопсийного материала 788 умерших от заболеваний, не связанных с патологией гипофиза. В 40 случаях (34 женщины) была обнаружена комбинация почти полного отсутствия диафрагмы турецкого седла с распластыванием гипофиза в виде тонкого слоя ткани на его дне[5]. При этом седло казалось пустым[6]. Нейрогуморальная регуляция в организме человека обеспечивается гипоталамо-гипофизарой системой, в тесной анатомической связи с которой находится хиазма (неполный перекрёст) зрительных нервов. Развитие конфликта в хиазмально-гипоталамо-гипофизарной области приводит к расстройствам зрения[7][8].
Аналогичная патология описывалась и ранее другими патологоанатомами, однако В. Буш был первым, кто связал частично пустое турецкое седло с недостаточностью диафрагмы. Эта связь была подтверждена и более поздними исследованиями[9]. В литературе словосочетанием «пустое турецкое седло» (ПТС) обозначаются различные нозологические формы, общим признаком которых является расширение субарахноидального пространства в интраселлярную область. Гипофизарная ямка при этом, как правило, увеличена[6]. По данным Буша, у 40—50% людей имеет место недоразвитие или отсутствие диафрагмы турецкого седла.
В. Буш предложил классификацию форм турецкого седла в зависимости от объёма интраселлярных цистерн и типа строения диафрагмы[10][11][12][13].
Клинические симптомы, ассоциированные с «пустым» седлом, впервые описал в 1968 г. N Guiot[8]. Согласно данным различных авторов, встречаются они значительно реже — среди 10—23 % лиц группы нейроэндокринных больных)[14][15].
Weiss и Raskin указали на необходимость дифференцировать первичный (идиопатический) синдром «пустого» турецкого седла и вторичный (после лучевого и хирургического лечения)[7][11][12].
Савостьянов Т. Ф. в 1995 году модифицировал классификацию Буша[16].
Представления о турецком седле как о стабильном, не меняющем свой объём, пересматриваются как неверные и противоречащие анатомическим фактам[16]. Наряду с термином «синдром пустого турецкого седла» появляется термин «интраселлярная гипертензия»[16].
Анатомия турецкого седла

Турецкое седло (лат. sella turcica) в норме у взрослых имеет сагиттальный (расстояние между двумя наиболее удаленными точками передней и задней стенок седла) размер 9—15 мм. Вертикальный размер измеряется по перпендикуляру, восстановленному от самой глубокой точки дна до межклиновидной линии, которая соответствует положению соединительнотканной диафрагмы седла и в норме составляет 7—13 мм[17]. В норме гипофизарная ямка отделена от субарахноидального пространства твёрдой мозговой оболочкой, именуемой диафрагмой турецкого седла. В гипофизарной ямке расположен гипофиз. Гипофиз соединён с гипоталамусом ножкой (лат. infundibulum) (воронкой) гипофиза. В диафрагме турецкого седла имеется отверстие, пропускающее ножку гипофиза. Над областью турецкого седла частично перекрещиваются зрительные нервы (лат. nervus opticus) и зрительные тракты (лат. tractus opticus), образуя хиазму (лат. chiasma opticum), длиной 4—10 мм, шириной 9—11 мм, толщиной 5 мм, покрытую мягкой мозговой оболочкой. Хиазма снизу граничит с диафрагмой турецкого седла, сверху (в заднем отделе) — с дном III желудочка мозга, по бокам — с внутренними сонными артериями, сзади — с воронкой гипофиза[18]. Прикрепление диафрагмы, её толщина и характер отверстия подвержены значительным анатомическим вариациям. Диафрагма может быть недоразвитой, с резко увеличенным отверстием, через которое в полость седла в разной степени пролабирует супраселлярная цистерна[14][19][20][21][22][23]. «Пустое» турецкое седло не следует понимать буквально: оно заполнено ликвором, гипофизарной тканью, иногда в него могут «провисать» хиазма и зрительные нервы[23][24]. В 80 % случаев встречается переднее пролабирование супраселлярной цистерны[20][23].
Если размер отверстия в диафрагме превышает 5 мм, паутинная оболочка пролабирует в полость турецкого седла[25].
Эпидемиология
Данная аномалия встречается у 10% населения, чаще она бессимптомна и является случайной находкой при обследовании. Реже появляется патологическая симптоматика, позволяющая диагностировать у пациента синдром «пустого турецкого седла»[3].
Этиология и патогенез
Различают два варианта «пустого турецкого седла» — первичное и вторичное.
Первичное «пустое турецкое седло» является результатом врождённой недостаточности диафрагмы седла (которая обнаруживается в 40—50% случаев) и повышения внутричерепного давления, возникшего вследствие различных причин[26].
В равной степени правомочна и другая точка зрения на механизм возникновения синдрома «пустого» турецкого седла, связанная с существованием в норме арахноидальной цистерны гипофиза, расположенной под диафрагмой турецкого седла. Можно предположить, что первичное «пустое турецкое седло» образуется не в результате пролабирования супраселлярных цистерн в полость турецкого седла, а за счёт компенсаторного расширения гипофизарной цистерны при уменьшении объёма гипофиза, которое может быть вызвано различными причинами[4].
В частности, недостаточность диафрагмы может быть не только врождённой, но и развиваться вследствие физиологических процессов, изменяющих размер гипофиза, таких, как беременность, менопауза. При беременности происходит увеличение гипофиза примерно вдвое, причём у многорожавших или женщин, рожавших близнецов, он бывает ещё больших размеров, не возвращаясь к исходным размерам после родов вплоть до наступления менопаузы, когда объём гипофиза уменьшается. Дополнительным предрасполагающим фактором являются многочисленные беременности, завершившиеся абортами. Данные обстоятельства объясняют преимущественное развитие синдрома первичного «пустого» турецкого седла у женщин[4].
Также первичное ПТС может развиваться вследствие нарушений объёмных соотношений между гипофизом и турецким седлом[27]. Уменьшение объёма гипофиза может быть результатом ишемического некроза гипофиза (синдром Шиена), некроза аденомы гипофиза вследствие кровоизлияния в опухоль. Также доказано участие аутоиммунных реакций в патогенезе синдрома «пустого» турецкого седла[28].
В литературе также обсуждаются причинно-следственные связи между появлением первичного синдрома «пустого» турецкого седла и приёмом гормональных препаратов (контрацептивы, глюкокортикоиды), а также ранее перенесенными заболеваниями — менингоэнцефалит, арахноидит, черепно-мозговая травма и другими[4].
Ко вторичному синдрому «пустого» турецкого седла относят случаи его появления после операции или облучения хиазмально-селлярной области[4].
Клиническая картина
В ряде случаев «пустое турецкое седло» протекает бессимптомно. В связи с этим выделяют два варианта его течения — осложнённое[4]. Клиническая картина характеризуется сочетанием эндокринологических и неврологических симптомов.
Клиническая картина синдрома «пустого турецкого седла» отличается динамичностью, сменяемостью одного синдрома другим, спонтанными ремиссиями.
Наряду с вегетативными нарушениями больные с синдромом «пустого» турецкого седла подвержены эмоционально-личностным и мотивационным расстройствам. Клиническая симптоматика и течение болезни усугубляются в связи с острой или хронической стрессовой ситуацией.
«Пустое турецкое седло» вызывает головные боли, нейроэндокринные и зрительные расстройства.
Единство нейрогуморальной регуляции в организме человека обеспечивается гипоталамо-гипофизарой системой, в тесной анатомической связи с которой находятся зрительные нервы и хиазма. Развитие конфликта в хиазмально-гипоталамо-гипофизарной области приводит к нарушениям зрения.
Чаще болеют женщины (4/5) в возрасте от 35 до 55 лет. Около 75% больных страдают ожирением. Самым частым симптомом является головная боль (80-90%), не имеющая чёткой локализации, различной степени выраженности от лёгкой до нестерпимой, практически постоянной. Дисфункция гипоталамуса выражается вегетативными синдромами и вегетативными кризами с ознобом, резким подъёмом артериального давления, кардиалгиями, одышкой, чувством страха, болями в животе, в конечностях, подъёмом температуры.
Эндокринные симптомы в случае синдрома «пустого» турецкого седла обусловлены нарушением тропной функции гипофиза, проявляются в виде гипо- или гиперсекреции гормонов и по степени тяжести варьируют от субклинических форм до тяжёлых случаев. Per Bjerre отмечает, что гипофизарные нарушения при синдроме «пустого» турецкого седла аналогичны изменениям при аденоме гипофиза и часто имеет место сочетание «пустого турецкого седла» с микроаденомами. Гипотиреоз, гиперпролактинемия и половые нарушения (снижении потенции, либидо, олиго- и аменорея) наиболее характерны для больных этой группы. Brismar обнаружил «пустое турецкое седло» у пациентов с болезнью Иценко-Кушинга, Dominique сообщил о наличии «пустого турецкого седла» у 10% больных акромегалией. Причиной эндокринных расстройств при синдроме «пустого» турецкого седла принято считать не компрессию секреторных клеток гипофиза, которые продолжают функционировать даже при значительной гипоплазии, а нарушение гипоталамического контроля над гипофизом в результате затруднения поступления нейрогормонов гипоталамуса.
Неврологическая симптоматика
Неврологические симптомы характеризуются сочетанием проявлений астенического синдрома, вегетососудистых нарушений, нарушения зрения. Возможно развитие ликвореи. К проявлениям астенического синдрома относят постоянную головную боль, головокружение, шаткость и неуверенность походки, ухудшение памяти, быструю утомляемость, снижение работоспособности, эмоционально-личностные расстройства; вегетососудистых нарушений — потливость, сердцебиение, боль в области сердца, лабильность артериального давления, затруднение дыхания, обморочные состояния, боли в эпигастрии, расстройства стула[4].
Зрительные нарушения по данным разных авторов, выявляются в 50—80% случаев[4]. Изменения со стороны зрительной системы различны по характеру и степени выраженности. Чаще всего больных беспокоят ретробульбарные боли, сопровождаемые слезотечением, хемозом, диплопией, фотопсиями, «затуманиванием». Степень выраженности выявленных при обследовании снижения остроты зрения, ограничения полей зрения, отёка и гиперемии диска зрительного нерва (ДЗН) зависит от ликвороциркуляции в арахноидальных пространствах и кровоснабжения хиазмально-зрительного пути. По данным Obrador S., из 19 пациентов с синдромом «пустого» турецкого седла у 7 зрительные расстройства выражались только субъективными симптомами (неясное зрение, диплопии, фотопсии), у 3 офтальмоскопически выявлялся отёк диска зрительного нерва обоих глаз, у 2 при периметрии выявлены гемианопсии без очевидной причины. У 7 пациентов с синдромом «пустого» турецкого седла зрительных нарушений не отмечалось.
Для синдрома «пустого» турецкого седла характерны выпадения полей зрения. Чаще встречаются битемпоральные гемианопсии, центральные и парацентральные скотомы, реже — квадрантные и биназальные гемианопсии. Bosman and Bergstrand обнаружили дефекты полей зрения у 10 из 48 пациентов с синдромом «пустого» турецкого седла, Jaja-Albarran у 6 из 41, Per Bjerre у 3 из 20, Mortara and Non-ell у 4 из 7.
Сформированы две патогенетические концепции нарушения полей зрения при синдроме «пустого» турецкого седла: тракционная и ишемическая. Согласно первой концепции, к дефектам в полях зрения может привести натяжение между хиазмой и передним краем диафрагмы (при смещении последней в полость турецкого седла), а также натяжение между хиазмой и ножкой гипофиза (при смещении ножки назад и в сторону). В качестве ишемической теории рассматриваются варианты сдавления глазничной артерии в субарахноидальном пространстве, окружающем зрительный нерв, и ухудшения кровоснабжения самой хиазмы и зрительного нерва при удалении их от каротидного бассейна.
Биназальные и квадрантные гемианопсии подобны изменениям полей зрения при первичной открытоугольной глаукоме. Дифференциальная диагностика в этих случаях трудна, но имеет важное значение, так как глаукома с низким давлением не является редкостью и требует особого внимания офтальмолога. Имеются данные о нередком сочетании «пустого турецкого седла» с глаукомой: Beattie у 8 пациентов с глаукомой обнаружила синдром «пустого» турецкого седла: у 3-х выявлена глаукома с низким давлением, у 4-х — типичная открытоугольная глаукома и у 1-го — неоваскулярная глаукома. Глаукоматозная экскавация диска зрительного нерва была выявлена стереоскопической дискоскопией и подтверждена стереофотографией. Больные в течение 5 лет получали местную гипотензивную терапию с положительным эффектом: глаукома отличалась стабильным течением без прогрессирования дефектов полей зрения.
Существует иная точка зрения на эту проблему. Berke, Neelon, Yamayashi также описывают случаи глаукомы с низким давлением в сочетании с «пустым турецким седлом» и высказывают предположение о наличии у этих больных «псевдоглаукомы». Однако Rouhiainen, исследуя 15 пациентов с глаукомой низкого давления, имеющих синдром «пустого» турецкого седла, сделал вывод о случайном сочетании (совпадении) синдрома «пустого» турецкого седла и глаукомы.
Вегетативные кризы, характерные для синдрома «пустого» турецкого седла, усугубляют ситуацию и могут привести к нарушению кровообращения в центральной артерии сетчатки (ЦАС). Как правило, эти нарушения встречаются у молодых женщин, страдающих ожирением и эндокринными расстройствами. Синдром «пустого» турецкого седла выявляется у 10% больных с доброкачественной внутричерепной гипертензией (ДВГ), главными клиническими симптомами которой также являются головная боль и отёк зрительного нерва. Причина доброкачественной внутричерепной гипертензии остаётся неясной. Наиболее частым этиологическим фактором считают эндокринные нарушения: ожирение, гипо- и гипертиреоз, галакторея-аменорея, беременность, климакс. Per Bjerre сообщает о случаях внезапной потери зрения у пациентов с доброкачественной внутричерепной гипертензией, причиной которой является усиление отёка зрительных нервов и сдавление их в оптическом канале. Взаимосвязь «пустого турецкого седла» и доброкачественной внутричерепной гипертензии, вероятно, бывает двоякой.
Офтальмологическое обследование у пациентов с синдромом «пустого» турецкого седла имеет исключительную важность для диагностики заболевания и выбора тактики лечения. Угроза потери зрения является показанием для хирургического вмешательства.
Диагностика «пустого турецкого седла»
- Лабораторная — определение уровней гормонов гипофиза в плазме крови для исключения гипопитуитаризма, однако данная методика не обладает определённостью и стабильностью показателей, что также характерно для синдрома «пустого» турецкого седла[11][29][30][31].
- Лучевая диагностика:
- Обзорная рентгенограмма черепа в боковой проекции.
- Прицельный рентгеновский снимок боковой проекции черепа (область турецкого седла).
- КТ головы.
- МРТ головы.
Инструментальная диагностика
Для диагностики «пустого» турецкого седла использовались лучевые методы исследования: краниография, пневмоцистернография и компьютерная томография, которые были недостаточно информативны и безопасны[12][31][32].
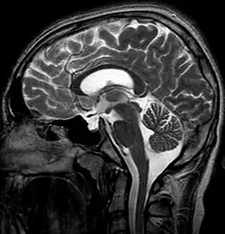
В современных реалиях магнитно-резонансная томография (МРТ) является безопасным и высокочувствительным методом визуализации хиазмально-селлярной области[22][23][24]. Данный метод позволяет проводить исследования в любой плоскости тонкими срезами в 1—1,5 мм, обладает высоким тканевым контрастом, отсутствием артефактов от костных структур черепа.
Для «пустого турецкого седла» характерна триада симптомов:
- наличие цереброспинальной жидкости в полости турецкого седла, о чём свидетельствуют зоны однородного низкоинтенсивного сигнала в режиме T1w и высокоинтенсивного сигнала в режиме T2w, гипофиз при этом деформирован, имеет форму серпа или полулуния толщиной до 2—4 мм, ткань его изоинтенсивна белому веществу мозга, воронка, как правило, расположена центрально;
- асимметричное пролабирование супраселлярной цистерны в полость седла, смещении воронки кпереди, кзади или латерально;
- истончение и удлинение воронки гипофиза.
Помимо основных изменений в параселлярной области МРТ позволяет выявить косвенные признаки внутричерепной гипертензии (расширение желудочков и ликворосодержащих пространств), сопутствующие этой патологии. Разные авторы приводят данные о почти 100 % чувствительности МРТ в диагностике синдрома «пустого» турецкого седла[20][22][23][33].
Лечебная тактика
При первичном синдроме пустого турецкого седла лечение обычно не требуется; больного нужно убедить в безопасности заболевания. Изредка возникает необходимость в заместительной гормональной терапии. Напротив, при вторичном синдроме заместительная гормональная терапия необходима почти всегда. Крайне редко встречается провисание зрительного перекреста в отверстие диафрагмы турецкого седла со сдавлением зрительных нервов и возникновением нарушений полей зрения. Очень редко наблюдается истечение из носа СМЖ, которая просачивается через истонченное дно турецкого седла. Только эти два осложнения служат показаниями к хирургическому вмешательству при первичном синдроме пустого турецкого седла. При вторичном синдроме может потребоваться лечение опухоли гипофиза.
Прогноз
При отсутствии клинической симптоматики — благоприятный. При наличии клинических проявлений гипопитуитаризма — зависит от степени выраженности симптоматики и адекватности заместительной гормональной терапии.
Литература
- Busch W. Die Morphologic der Sells tircica und ihre beziehungen zur Hypophyse // Virchow’s Arch.Pathol.Anat. — 1951. — Vol.320. — P.437-458.
Примечания
- ↑ Monarch Disease Ontology release 2018-06-29 — 2018-06-29 — 2018.
- ↑ Большая Медицинская Энциклопедия. Статья «Синдром „пустого“ турецкого седла» (недоступная ссылка)
- ↑ 1 2 Ефимов А. С. Малая энциклопедия врача-эндокринолога. — 1-е изд. — Киев: Медкнига, ДСГ Лтд, Киев, 2007. — С. 334—335. — 360 с. — («Библиотечка практикующего врача»). — 5000 экз. — ISBN 966-7013-23-5.
- ↑ 1 2 3 4 5 6 7 8 Бабарина М. Б., Кадашев Б. А. "Пустое" турецкое седло (ПТС) // Аденомы гипофиза: клиника, диагностика, лечение / Под ред. проф. Б. А. Кадашева. — М.:: ООО "Издательство Триада", 2007. — С. 173—179. — 368 с. — ISBN 978-5-94789-258-1.
- ↑ Busch W. Morphology of sella turcica and its relation to the pituitary gland // Virchows Arch.. — 1951. — Т. 320, № 5. — С. 437—458. — PMID 14942993.
- ↑ 1 2 Синдром «пустого турецкого седла». Дата обращения: 28 октября 2023. Архивировано из оригинала 4 марта 2016 года.
- ↑ 1 2 Bergland R. M., Ray B. S., Torac R. M. Anatomical variation in the pituitary gland and adjacent structures in 225 human autopsy cases // J. Neurosurg. — 1968. — Vol.28. — P. 93—99.
- ↑ 1 2 Gazioglu N., Akar Z., Ak H. et al. Extradural ballon obliteration of empty sella //Acta Neurochirurgica (Wien, Austria). — 1999. — Vol. 141, N5. — P. 487—494.
- ↑ Агарвал Дж. К., Сахай Р. К. и др. Синдром пустого турецкого седла. Пер. с англ. Н. Д. Фирсовой (2018)
- ↑ Заболевания гипоталамо-гипофизарной системы //Материалы Российской научно-практической конференции, Москва, 2001 г /Под ред. И. И. Дедова. — М.., 2001. — С.10—15, С. 46—51.
- ↑ 1 2 3 Bettie А.М, Glaucomatous optic neuroparthy and field loss in primary empty sella syndrome // Can J Ophtalmology. — 1991 — Vol.26, N7
- ↑ 1 2 3 Bjerre P. The empty sella. A reapprasal of etiology and pathogenesis //Acta Neurol. Scand. — 1990. — Vol.130. — P. 1—25.
- ↑ Busch W. Die Morphologic der Sells tircica und ihre beziehungen zur Hypophyse //Virchow’s Arch.Pathol.Anat. — 1951. — Vol.320. — P. 437—458.
- ↑ 1 2 Вейн А. М., Соловьева А. Д., Вознесенская Т. Г. Синдром «пустого» турецкого седла // Врачеб. дело. — 1987. — № 4. — С. 98—100.
- ↑ Battaglia Parodi М, Ramovecchy P, Ravalico G. Primary empty sella syndrom and central retiyal vein occlusion //Ophtalmology. — 1995. — Vol.209, N2. — P. 106—108.
- ↑ 1 2 3 Новое в медицине. Разработки в области нейрохирургической патологии. Дата обращения: 26 ноября 2010. Архивировано из оригинала 2 февраля 2012 года.
- ↑ «Оценку турецкого седла…» // Оценка краниограмм у больных с нейроэндокринными синдромами Архивная копия от 3 декабря 2011 на Wayback Machine
- ↑ «В полости черепа зрительные…» // Нормальная анатомия органа зрения человека Архивная копия от 4 января 2010 на Wayback Machine
- ↑ Bettie А. М. Glaucomatous optic neuroparthy and field loss in primary empty sella syndrome // Can J. Ophtalmology. — 1991 — Vol.26, N7.
- ↑ 1 2 3 Дедов И. И., Зенкова Т. С., Мельниченко Г. А. и соавт. Возможности магнитно-резонансной томографии в диагностике «пустого» турецкого седла // Проблемы эндокринологии. — 1993. — № 4. — С. 407—408.
- ↑ Медведев А. А., Савостьянов Т. Г., Деникина О. Э. Синдром сдавления гипофиза в турецком седле, механизмы развития // Арх. патологии. — 1997. — № 3. — С. 32—38.
- ↑ 1 2 3 Neuro-ophalmology / Ed by J. S. Glaser. — Philadelphia etc., 1999. — XIV, 667р.
- ↑ 1 2 3 4 5 Shields M. B. The Textbook of glaucoma — Baltimore. — 1992 — Vol 683
- ↑ 1 2 Дедов А. С., Беленков Ю. Н., Беличенко О. И., Мельниченко Г. А. Магнитно-резонансная томография в диагностике заболеваний гипоталамо-гипофизарной системы и надпочечников // Клин. эндокринология. — 1997. — С. 43—56.
- ↑ «Этиология и патогенез ПТС…» // «Пустое» турецкое седло: этиология, патогенез, нейроэндокринные и зрительные нарушения Архивная копия от 26 ноября 2011 на Wayback Machine
- ↑ Деев А. С. О "пустом" турецком седле при доброкачественной внутричерепной гипертензии // Журнал невропатологии и психиатрии им. С. С. Корсакова. — 1991. — № 10. — С. 106—108.
- ↑ Bjerre P. The empty sella. A reappraisal of etiology and pathogenesis // Acta Neurol Scand Suppl.. — 1990. — Т. 130. — С. 1—25. — PMID 2220326.
- ↑ Komatsu M, Kondo T, Yamauchi K et al. Antipituitary antibodies in patients with the primary empty sella syndrome // J Clin Endocrinol Metab.. — 1988. — Т. 67, № 4. — С. 633—638. — PMID 3417843.
- ↑ Бабарина М. Б. Клинико-гормональные аспекты синдрома «пустого» турецкого седла: Автореф. дис. канд. мед. наук. — М.., 1999.
- ↑ Мизецкая Е. А., Снигирева Р. Я. Эндокринные нарушения при «пустом» турецком седле // Вопр. нейрохирургии. — 1984. — № 6. — С. 12—17.
- ↑ 1 2 Jaja-Albarran A., Bayort J., Dejuan M., Benito C. Spontaneous partial empty sella: A study of 41 cases // Exp. Clin. Endocrinol. — 1984. — Vol.83. — P. 63—72.
- ↑ Brismar K. Prolactm sekretion in the empty sella syndrome, in prolaktinomas and in acromegaly // Acta Med. Scand. — 1981. — Vol.209. — P. 397—405.
- ↑ Егоров Е. А., Тагирова С. Б., Алябьева Ж. Ю. Роль сосудистого фактора в патогенезе глаукоматозной оптической нейропатии // Клин. офтальмология. — 2002. — № 2. — С. 61—65.
