Псориатический артрит
| Псориатический артрит | |
|---|---|
| | |
| МКБ-11 | FA21 |
| МКБ-10 | L40.5, M07 |
| МКБ-10-КМ | L40.5 и L40.50 |
| МКБ-9 | 696.0 |
| МКБ-9-КМ | 696.0[1] |
| MedlinePlus | 000413 |
| eMedicine | radio/578 |
| MeSH | D015535 |
Псориатический артрит (Psoriatic Arthritis, ПсА) — хроническое прогрессирующее заболевание суставов, сопровождающееся псориазом. В основном поражаются мелкие суставы (межфаланговые пальцев кистей и стоп, позвоночника, крестцово-подвздошные)[2].

Эпидемиология
Распространённость псориаза в популяции составляет 2—3 %, а распространённость артрита среди больных псориазом колеблется от 13.5 до 47 %. Наиболее часто псориатический артрит начинается в возрасте от 20 до 50 лет, причём мужчины и женщины заболевают одинаково часто. Встречаются случаи особенно тяжелого течения псориатического артрита у молодых мужчин. Профилактика псориатического артрита не разработана, из-за отсутствия знания о его причине. Проводится так называемая вторичная профилактика (то есть профилактика ухудшения состояния больных после начала заболевания), направленная на сохранение функциональной способности суставов и замедление темпов прогрессирования псориатического артрита.
Этиология
Этиология псориатического артрита до сих пор не известна, предполагают влияние генетических, иммунологических и средовых факторов[3].
Патогенез
Главную роль в патогенезе синовита и деструктивных изменений суставов играет ФНО-α, который активирует клетки эндотелия, стимулирует пролиферацию фибробластов, способствует экспрессии матриксных металлопротеиназ, стимулирует синтез коллагеназы и простагландина Е2, активирует остеокласты, регулирует продукцию ряда хемокинов.
Клинические формы
Дистальная форма — поражаются в основном дистальные межфаланговые суставы стоп и кистей. Изолированное поражение дистальных межфаланговых суставов стоп и кистей встречается у 5 % больных.
Асимметричный моно-, олигоартрит — поражаются коленные, лучезапястные, голеностопные, локтевые суставы и проксимальные межфаланговые суставы стоп и кистей. Встречается у 70 % больных псориатическим артритом.
Ревматоидоподобная — поражаются парные суставы областей как при ревматоидном артрите. Встречается у 15-20 % больных, в основном симметричный полиартрит, но бывает и асимметричный.
Псориатический изолированный или в сочетании с периферическим артритом — воспалительное поражение позвоночника, крестцово-подвздошного сочленения как при анкилозирующем спондилите. Достаточно часто сочетается с периферическим артритом, лишь в 2-4 % случаев изолированный спондилит.
Мутилирующий артрит — остеолиз с укорочением пальцев кистей и (или) стоп с формированием «телескопической» деформации, разнонаправленных подвывихов пальцев. Редкая форма, встречается лишь у 7 % больных, локальный остеолиз может развиться при всех клинических формах псориатического артрита[4].
Клиническая картина
Основными проявлениями псориатического артрита являются периферический артрит, дактилит, энтезит, спондилит.
- Периферический артрит клинически проявляется болью, припуханием, ограничением подвижностью суставов. Характерными признаками являются асимметричное поражение суставов нижних конечностей, которое со временем трансформироваться в полиартрит; осевой артрит; дактилит и сосискообразная деформация пальцев кистей и стоп.
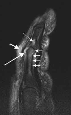
- Дактилит — это острое или хроническое воспаление пальца, клинически проявляющееся болью, цианотическим окрашиванием пальцев, плотным отеком пальцев, болевым ограничением сгибания, характерной для псориатического артрита сосискообразной деформацей пальцев. Является типичным признаком псориатического артрита, возникающий в результате одновременного поражения сгибателей и (или) разгибателей пальцев, а также артрита межфаланговых суставов. Может явиться результатом ногтоеды, когда воспаление распространяется с окружности ногтя дальше по клетчатке, сухожильным влагалищам мышц пальца и по надкостнице пальца[5].
- Теносиновит проявляется болью, припуханием по ходу сухожилий, а также ограничением функции (сгибание пальцев).
- Спондилит характеризуется воспалительной болью в спине и ограничением в разных отделах позвоночника[4].
Диагностика
Диагноз ПсА устанавливают на основании критериев CASPAR. Согласно критериям СASPAR, пациенты должны иметь признаки воспалительного заболевания суставов (артрит, спондилит или энтезит) и ≥3 баллов из следующих пяти категорий.
| Признак | Балл |
|---|---|
1. Псориаз:
|
2
1 1 |
| 2. Псориатическая дистрофия ногтей (точечные вдавления, онихолизис, гиперкератоз) | 1 |
| 3. Отрицательный ревматоидный фактор (кроме латекс-теста) | 1 |
4. Дактилит:
|
1
1 |
| 5. Рентгенологические признаки внесуставной костной пролиферации по типу краевых
разрастаний (кроме остеофитов) на рентгенограммах кистей и стоп. |
1 |
Дифференциальная диагностика
Псориатический артрит следует дифференцировать со следующими воспалительными и дегенеративными заболеваниями суставов:
- Ревматоидный артрит.
- Реактивный артрит.
- Анкилозирующий спондилит.
- Остеоартрит.
- Микрокристалические артриты (подагра, пирофосфатная артропатия).
- Болезнь Рейтера.
Лечение
Для лечения ПсА используют следующие группы лекарственных препаратов:
- Нестероидные противовоспалительные препараты: диклофенак, индометацин.
- Глюкокортикоиды: метилпреднизолон, бетаметазон.
- Базисные противовоспалительные препараты: сульфасалазин, метотрексат.
- Таргетные синтетические базисные противовоспалительные препараты: апремиласт, тофацитиниб[4], упадацитиниб.
- Моноклональные антитела: цертолизумаб пегол, голимумаб, устекинумаб, секукинумаб, иксекизумаб, гуселькумаб.
Примечания
- ↑ Disease Ontology (англ.) — 2016.
- ↑ Артрит Псориатический (Psoriatic Arthritis) - артрит, течение которого сопровождается псориазом. Данная разновидность а... www.eurolab-portal.ru. Дата обращения: 23 августа 2019. Архивировано 23 августа 2019 года.
- ↑ Геппе Н.А. Детские болезни. — 2018. — С. 418. — 759 с. — ISBN 978-5-9704-4470-2.
- ↑ 1 2 3 Коротаева Т.В., Корсакова Ю.Л., Логинова Е.Ю., Губарь Е.Е., Чамурлиева М.Н. Псориатический артрит. Клинические рекомендации по диагностике и лечению // С О В P E М Е Н Н А Я Р Е В М А Т О Л О Г И Я № 2 ’ 1 8. — С. 23.
- ↑ ЭСБЕ/Дактилит
- ↑ Psoriatic Arthritis · RheumTutor (англ.). RheumTutor. Дата обращения: 19 сентября 2019. Архивировано 12 июля 2020 года.