Прионы
| Прионы | |
|---|---|
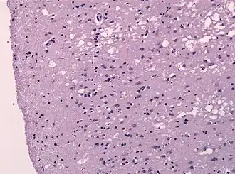
![]() Гистологический препарат — ткань лобной доли головного мозга больного болезнью Крейтцфельдта — Якоба | |
| МКБ-11 | XN7AM |
| МКБ-10 | A81 |
| МКБ-9 | 046 |
| MeSH | D011328 |
Прио́ны (англ. prion от protein «белок» + infection «инфекция»; слово было предложено в 1982 году Стенли Прузинером[1]) — особый класс инфекционных патогенов, не содержащих нуклеиновых кислот. Прионы представляют собой белки с аномальной третичной структурой. Это положение лежит в основе прионной гипотезы[2], однако насчёт состава прионов существуют и другие точки зрения.
Прионы способны увеличивать свою численность, используя функции живых клеток (в этом отношении прионы схожи с вирусами). Прион способен катализировать конформационное превращение гомологичного ему нормального клеточного белка в себе подобный (прион). Как правило, при переходе белка в прионное состояние его α-спирали превращаются в β-слои. Появившиеся в результате такого перехода прионы могут в свою очередь перестраивать новые молекулы белка; таким образом, запускается цепная реакция, в ходе которой образуется огромное количество неправильно свёрнутых молекул[3]. Прионы — единственные известные инфекционные агенты, размножение которых происходит без участия нуклеиновых кислот.
Все известные прионы вызывают формирование амилоидов — белковых агрегатов, включающих плотно упакованные β-слои. Амилоиды представляют собой фибриллы, растущие на концах, а разлом фибриллы приводит к появлению четырёх растущих концов. Инкубационный период прионного заболевания определяется скоростью экспоненциального роста количества прионов, а она, в свою очередь, зависит от скорости линейного роста и фрагментации агрегатов (фибрилл)[4]. Для размножения приона необходимо исходное наличие нормально уложенного клеточного прионного белка; организмы, у которых отсутствует нормальная форма прионного белка, не страдают прионными заболеваниями.
Прионная форма белка чрезвычайно стабильна и накапливается в поражённой ткани, вызывая её повреждение и, в конечном счёте, отмирание[5]. Стабильность прионной формы означает, что прионы устойчивы к денатурации под действием химических и физических агентов, поэтому уничтожить эти частицы или сдержать их рост тяжело. Прионы существуют в нескольких формах — штаммах, каждый со слегка отличной структурой.
Прионы вызывают заболевания — трансмиссивные губчатые энцефалопатии (ТГЭ) у различных млекопитающих, в том числе губчатую энцефалопатию крупного рогатого скота («коровье бешенство»). У человека прионы вызывают болезнь Крейтцфельдта — Якоба, вариант болезни Крейтцфельдта — Якоба (vCJD), синдром Герстмана — Штраусслера — Шейнкера, фатальную семейную бессонницу и куру[6]. Все известные прионные заболевания поражают головной мозг и другие нервные ткани, в настоящее время неизлечимы и в конечном итоге смертельны[7].
Все известные прионные заболевания млекопитающих вызываются белком PrP. Его форма с нормальной третичной структурой называется PrPC (от англ. common «обычный» или cellular «клеточный»), а инфекционная, аномальная форма называется PrPd (от англ. disease — болезнь)[8], а также встречаются варианты PrPSc (от англ. scrapie [скрепи] «почесуха овец», одно из первых заболеваний с установленной прионной природой)[9][10] или PrPTSE (от англ. Transmissible Spongiform Encephalopathies)[11]. В зарубежной литературе встречаются сокращения с указанием на прионы, полученные от конкретного вида, то есть из тканей определённого животного или человека (PrPSc, PrPBSE, PrPCJD, PrPCWD, PrPСSE — от овец, коров, человека, оленей, кошек)[8].
Белки, образующие прионы, обнаружены и у некоторых грибов[12]. Большинство прионов грибов не имеют заметного отрицательного влияния на выживаемость, но до сих пор идёт дискуссия о роли грибных прионов в физиологии организма-хозяина и роли в эволюции[13]. Выяснение механизмов размножения прионов грибов оказалось важным для понимания аналогичных процессов у млекопитающих.
В 2016 году появилось сообщение о наличии у растения Arabidopsis thaliana (резуховидка Таля) белков с прионными свойствами[14][15].
История
Описание прионных заболеваний
.jpg)
Первая открытая трансмиссивная губчатая энцефалопатия — почесуха овец (скрепи). Первые её случаи были отмечены в Великобритании в 1700-х годах. При этом заболевании овцы страдали от сильнейшего зуда, из-за чего животным приходилось непрерывно тереться (англ. scrape) о деревья, откуда и пошло название болезни. Кроме этого, овцы испытывали боль при движении ногами и страдали от сильнейших припадков. Все эти симптомы являются классическими признаками повреждения мозга, и эта странная болезнь вводила учёных в заблуждение. Гораздо позже, в 1967 году, Чандлер (англ. Chandler) установил, что скрепи могут болеть и мыши, что, несомненно, было прогрессом в изучении этого заболевания[16].
В XX-ом веке были описаны и прионные заболевания человека. В 1920-х годах Ганс Герхард Крейцфельдт и Альфонс Мария Якоб исследовали новое неизлечимое заболевание нервной системы человека, главным признаком которого было образование полостей в ткани мозга. Впоследствии эта болезнь была названа их именем[16].
В 1957 году Карлтон Гайдузек и Винсент Зигас описали неврологический синдром, распространённый у народа форе, живущего в высокогорьях Папуа — Новой Гвинеи[17]. Эта болезнь характеризовалась тремором, атаксией, на ранних стадиях — атетоидными движениями. К этим симптомам впоследствии прибавлялась слабость, деменция, болезнь неизбежно заканчивалась летальным исходом[16]. На языке форе эта болезнь называется «куру», что в переводе означает «дрожь» или «порча»; под этим названием эта болезнь известна и сегодня. Оказалось, что причиной распространения куру был нередкий среди форе ритуальный каннибализм. В ходе религиозных ритуалов они поедали органы убитых родичей. Мозг при этом ели дети, поскольку считалось, что от него у детей «прибавлялось ума». Инкубационный период заболевания может составлять до 50 лет, однако у девушек, особенно подверженных куру, он может составлять всего лишь 4 года или менее[16]. За открытие инфекционного характера болезни куру Карлтон Гайдузек был удостоен Нобелевской премии по физиологии или медицине в 1976 году[18].
Развитие представлений о прионах
В 1960-х годах в Лондоне два исследователя, радиобиолог Тиква Альпер и биофизик Джон Стенли Гриффит, выдвинули гипотезу, что некоторые трансмиссивные губчатые энцефалопатии вызываются патогенами, состоящими исключительно из белков[19][20]. Альпер и Гриффит таким образом пытались объяснить тот факт, что таинственный инфекционный агент, вызывающий почесуху овец и болезнь Крейтцфельдта — Якоба, очень устойчив к ионизирующему излучению. Доза радиации, необходимая для уничтожения половины частиц инфекционного агента, зависит от их размера: чем меньше такая частица, тем меньше вероятность попадания в неё заряженной частицы. Так и было установлено, что прион слишком мал для вируса.
Фрэнсис Крик признал важность белковой гипотезы Гриффита для объяснения распространения почесухи овец во втором издании «Центральной догмы молекулярной биологии» (1970). Хотя Крик отстаивал точку зрения, что поток информации от белка к белку или от белка к ДНК или РНК невозможен, он заметил, что гипотеза Гриффита содержала возможное тому противоречие (однако сам Гриффит свою гипотезу так не рассматривал)[21]. Позже он сформулировал свою уточнённую гипотезу с учётом существования обратной транскрипции, открытой в 1970 году Дейвидом Балтимором и Хоуардом Темином.
В 1982 году Стенли Прузинер из Калифорнийского университета в Сан-Франциско сообщил, что его группа выделила гипотетический инфекционный агент (прион) и что он состоит в основном из одного белка, хотя они изолировали этот белок только через 2 года после сообщения Стенли Прузинера[22]. За свои исследования в области прионов Прузинер в 1997 году был удостоен Нобелевской премии по физиологии или медицине[1].
Структура
Изоформы

Белок, из которого состоят прионы (PrP), можно найти во всех частях тела у здоровых людей и животных. Однако в поражённых тканях присутствует PrP, имеющий аномальную структуру и устойчивый к протеазам (ферментам, гидролизующим белки). Как сказано выше, нормальная форма называется PrPC, а инфекционная — PrPSc[23]. При определённых условиях можно достичь сворачивания более или менее структурированных изоформ PrP in vitro, которые способны к заражению здоровых организмов, хотя и с меньшей степенью эффективности, чем выделенный из больных организмов[24].
PrPC
PrPC — нормальный мембранный белок млекопитающих, который у человека кодируется геном PRNP. мРНК PRNP человека кодирует полипептид длиной 253 аминокислотных остатка (а. о.), который в процессе созревания укорачивается клеточными ферментами. Зрелая форма PrP состоит из 208 аминокислотных остатков и имеет молекулярную массу 35—36 кДа[25]. Помимо ограниченного протеолиза, PrP подвергается и другим посттрансляционным модификациям: N-гликозилированию по положениям Asn-181 и Asn-197, присоединению гликозилфосфатидилинозитола к Ser-230 и образованию дисульфидной связи между Cys-179 и Cys-214[26]. Аминокислотные остатки, вовлечённые во все перечисленные посттрансляционные модификации, высоко консервативны у млекопитающих[27].
В пространственной структуре PrP выделяют неструктурированный N-концевой участок (а. о. 23—125 у человека) и глобулярный домен (а. о. 126—231), состоящий из трёх α-спиралей и двухцепочечного антипараллельного β-листа[28][29].
Известно несколько топологических форм PrP по отношению к мембране: две трансмембранные и одна закреплённая на мембране гликолипидным якорем[30].
Образование PrPC происходит в ЭПР, дальнейшее созревание — в комплексе Гольджи, откуда он при помощи мембранных везикул доставляется к плазматической мембране. После этого он либо закрепляется на мембране после разрушения эндосомы, либо же подвергается эндоцитозу и разрушается в лизосомах[31].
В отличие от нормальной, растворимой формы белка, прионы осаждаются высокоскоростным центрифугированием, что является стандартным тестом на наличие прионов[9]. PrPC обладает высоким сродством к катионам двухвалентной меди[32]. Значение этого факта неясно, но, возможно, это имеет какое-то отношение к его структуре или функциям. Есть данные, что PrP играет важную роль в прикреплении клеток, передаче внутриклеточных сигналов, а потому может быть вовлечён в коммуникацию клеток мозга[33]. Тем не менее, функции PrP исследованы недостаточно.
PrPSc
Инфекционная изоформа PrP — PrPSc — способна превращать нормальный белок PrPC в инфекционную изоформу, изменяя его конформацию (то есть третичную структуру); это, в свою очередь, изменяет взаимодействия PrP с другими белками. Хотя точная пространственная структура PrPSc неизвестна, установлено, что в ней вместо α-спиралей преобладают β-слои[34]. Такие ненормальные изоформы объединяются в высокоструктурированные амилоидные волокна, которые, скапливаясь, формируют бляшки. Неясно, являются ли эти образования причиной повреждения клеток или всего лишь побочным продуктом патологического процесса[35]. Конец каждого волокна служит своего рода затравкой, к которой могут прикрепляться свободные белковые молекулы, в результате чего фибрилла растёт. В большинстве случаев присоединяться могут только молекулы PrP, идентичные по первичной структуре PrPSc (поэтому обычно передача прионов видоспецифична)[9]. Однако, возможны и случаи межвидовой передачи прионов[36].
Механизм размножения прионов


Первой гипотезой, объясняющей размножение прионов без участия других молекул, в частности, нуклеиновых кислот, была гетеродимерная модель[37]. Согласно этой гипотезе, одна молекула PrPSc присоединяется к одной молекуле PrPC и катализирует её переход в прионную форму. Две молекулы PrPSc после этого расходятся и продолжают превращать другие PrPC в PrPSc. Однако модель размножения (репликации) прионов должна объяснять не только механизм размножения прионов, но и то, почему спонтанное появление прионов столь редко. Манфред Эйген (лат. Manfred Eigen) показал, что гетеродимерная модель требует, чтобы PrPSc был фантастически эффективным катализатором: он должен повышать частоту обращения нормального белка в прионную форму в 1015 раз[38]. Такой проблемы не возникает, если допустить, что PrPSc существует только в агрегированной (например, амилоидной) форме, где кооперативность выступает как барьер для спонтанного перехода в прионную форму. Вдобавок к этому, несмотря на приложенные усилия, выделить мономерный PrPSc так и не удалось.
Альтернативная фибриллярная модель предполагает, что PrPSc существует только в виде фибрилл, при этом концы фибрилл связывают PrPС, где он превращается в PrPSc. Если бы это было только так, то численность прионов возрастала бы линейно. Однако по мере развития прионного заболевания наблюдается экспоненциальный рост количества PrPSc и общей концентрации инфекционных частиц[39][40][41]. Это можно объяснить, если принять во внимание разлом фибрилл[42]. В организме разламывание фибрилл осуществляется белками-шаперонами, которые обычно помогают очистить клетку от агрегированных белков[43].
Скорость роста числа инфекционных частиц прионов в значительной мере определяется величиной квадратного корня из концентрации PrPSc[4]. Продолжительность инкубационного периода определяется скоростью роста, и это подтверждается исследованиями in vivo на трансгенных мышах[4]. Такая же коренная зависимость наблюдается в экспериментах с различными амилоидными белками in vitro[44].
Механизм репликации прионов имеет значение для разработки лекарств. Поскольку инкубационный период прионных заболеваний чрезвычайно долог, эффективному лекарству вовсе необязательно уничтожить все прионы, достаточно лишь снизить скорость экспоненциального роста их количества. Моделирование предсказывает, что самым эффективным препаратом был бы такой, который связывается с концами фибрилл и блокирует их рост[45].
Функции PrP
Одним из объяснений нейродегенерации, вызываемой прионами, может быть нарушение функционирования PrP. Однако нормальная функция этого белка изучена плохо. Данные in vitro указывают на множество разнообразных ролей, а эксперименты на мышах, «нокаутных» по этому гену, дали относительно немного информации, поскольку у этих животных наблюдались лишь малые отклонения от нормы. Недавние исследования, проведённые на мышах, показали, что расщепление PrP в периферических нервах активирует восстановление их миелинового слоя шванновскими клетками и что отсутствие PrP приводит к демиелинизации нервов[46].
В 2005 году было выдвинуто предположение, что в норме PrP играет роль в поддержании долговременной памяти[47]. Кроме того, у мышей, лишённых гена Prnp, наблюдается изменённая гиппокампальная долговременная потенциация[48][49].
В 2006 году учёные из Института биомедицинских исследований Уайтхед показали, что экспрессия гена Prnp в гемопоэтических стволовых клетках необходима для самоподдержания костного мозга. В исследовании было выявлено, что долгоживущие гемопоэтические стволовые клетки несут PrP на клеточной мембране, а кроветворные ткани со стволовыми клетками, лишёнными PrP, имеют большую чувствительность к клеточному истощению[50].
Гипотезы о составе прионов
Согласно наиболее устоявшейся точке зрения, прионы представляют собой чисто белковые инфекционные агенты[12]. Однако у этой гипотезы («чисто белковой») имеются свои недостатки, в связи с чем появились и альтернативные мнения о сущности прионов. Все перечисленные гипотезы рассматриваются ниже.
«Чисто белковая» гипотеза
До открытия прионов считалось, что все инфекционные агенты используют для размножения нуклеиновые кислоты. «Чисто белковая» гипотеза постулирует, что белковая структура может размножаться без участия нуклеиновых кислот. Первоначально считалось, что эта гипотеза противоречит центральной догме молекулярной биологии, согласно которой нуклеиновые кислоты служат единственным способом передачи наследственной информации, однако в настоящее время считается, что хотя прионы способны к переносу информации без участия нуклеиновых кислот, они неспособны передавать информацию на нуклеиновые кислоты[12].
Доказательства, говорящие в пользу «чисто белковой» гипотезы[51]:
- прионные заболевания не удалось достоверно связать ни с вирусными, ни с бактериальными, ни с грибковыми возбудителями, хотя у дрожжей Saccharomyces cerevisiae известны нелетальные прионы, например, Sup35p (см. прионы грибов);
- инфективность прионов, насколько известно, не связана с нуклеиновыми кислотами; прионы устойчивы к нуклеазам и ультрафиолетовому излучению, губительно сказывающихся на нуклеиновых кислотах;
- у организма, заражённого прионом от другого вида, не обнаруживается PrPSc с аминокислотной последовательностью приона вида-донора. Следовательно, репликации приона донора не происходит;
- в семьях с мутацией гена PrP имеют место наследственные прионные заболевания. У мышей с мутацией этого гена тоже развивается прионное заболевание, несмотря на жёсткий контроль условий содержания, исключающий заражение извне;
- животные, не имеющие белка PrPC, не подвержены прионным заболеваниям.
- в 2018 году в искусственных условиях в отсутствие НК были получены рекомбинантные изоформы PrPd (от disease — болезнь)[52]
Мультикомпонентная гипотеза
Низкая инфекционность прионов, полученных из чистого белка in vitro привела к появлению так называемой мультикомпонентной гипотезы, которая постулирует, что для образования инфекционного приона требуются другие молекулы-кофакторы[53].
В 2007 году биохимик Surachai Supattapone и его коллеги из Дартмутского колледжа получили очищенные инфекционные прионы из PrPC, соочищающихся липидов с белком и синтетической полианионной молекулы[54]. Они также показали, что полианионная молекула, потребовавшаяся для образования приона, обладала высоким сродством к PrP и образовывала с ним комплексы. Это дало им основания предположить, что в состав инфекционного приона входит не только белок, но и другие молекулы организма, в том числе липиды и полианионные молекулы[55].
В 2010 году Ма Цзиянь (Jiyan Ma) с коллегами из Университета штата Огайо получили инфекционный прион из синтезированного бактериальными клетками рекомбинантного PrP, фосфолипида POPG и РНК, что тоже подтверждает мультикомпонентную гипотезу[56]. Напротив, в других экспериментах из одного только рекомбинантного PrP удалось получить только слабоинфективные прионы[57][58].
В 2012 году Supattapone и коллеги выделили мембранный липид фосфатидилэтаноламин как эндогенный кофактор, который способен катализировать формирование большого количества рекомбинантных прионов различных штаммов без участия других молекул[59]. Они также сообщили, что этот кофактор необходим для поддержания инфекционной конформации PrPSc, а также определяет штаммовые свойства инфекционных прионов[60].
Вирусная гипотеза
«Чисто белковая» гипотеза встретила критику со стороны тех, кто считает, что простейшим объяснением прионных заболеваний является их вирусная природа[61]. Более десяти лет невролог Йельского университета Лаура Мануелидис (англ. Laura Manuelidis) пытается доказать, что прионные заболевания вызываются неизвестным медленным вирусом. В январе 2007 года она и её коллеги сообщили, что обнаружили вирус в 10 % (или менее) клеток, заражённых скрепи в культуре[62][63].
Вирусная гипотеза утверждает, что ТГЭ вызываются способными к репликации информационными молекулами (скорее всего, нуклеиновыми кислотами), связывающимися с PrP. Известны штаммы прионов при ТГЭ, в том числе губчатой энцефалопатии крупного рогатого скота и скрепи, которые характеризуются специфическими биологическими свойствами, что, по мнению сторонников вирусной гипотезы, не объясняется «чисто белковой» гипотезой.
Аргументы, говорящие в пользу вирусной гипотезы[51]:
- вариации между штаммами: прионы различаются по инфективности, инкубационному периоду, симптоматике и скорости развития заболевания, что напоминает различия между вирусами, особенно РНК-содержащими вирусами (вирусы, содержащие РНК в качестве единственного наследственного материала);
- долгий инкубационный период и быстрое развитие симптомов прионных болезней напоминает лентивирусную инфекцию. Например, схожим образом протекает ВИЧ-индуцированный СПИД;
- в некоторых клетках линий, заражённых скрепи или болезнью Крейтцфельдта — Якоба, были найдены вирусоподобные частицы, не состоящие из PrP[63].
Недавние исследования распространения губчатой энцефалопатии крупного рогатого скота в бесклеточных системах[64] и в химических реакциях с очищенными компонентами[54] чётко свидетельствуют против вирусной природы этого заболевания. Кроме того, против вирусной гипотезы говорит и вышеупомянутая работа Jiyan Ma[56].
Прионные заболевания

| Поражаемые животные | Заболевания |
|---|---|
| овцы, козы | скрепи[65] |
| коровы | губчатая энцефалопатия крупного рогатого скота (ГЭКРС), или коровье бешенство[65] |
| норки[65] | Трансмиссивная энцефалопатия норок (TME) |
| белохвостый олень, вапити, лоси, чернохвостый олень[65] | Хроническая изнуряющая болезнь (CWD) |
| кошки[65] | Губчатая энцефалопатия кошачьих (FSE) |
| антилопа ньяла, орикс, большой куду[65] | Губчатая энцефалопатия экзотических копытных (EUE) |
| страус[66] | Губчатая энцефалопатия (случаи передачи не зафиксированы) |
| человек | болезнь Крейтцфельдта — Якоба (CJD)[65] |
| Ятрогенная болезнь Крейтцфельдта — Якоба (iCJD) | |
| вариант болезни Крейтцфельдта — Якоба (vCJD) | |
| наследственная болезнь Крейтцфельдта — Якоба (fCJD) | |
| спорадическая болезнь Крейтцфельдта — Якоба (sCJD) | |
| синдром Герстмана — Штраусслера — Шейнкера (GSS)[65] | |
| Фатальная семейная бессонница (FFI)[67] | |
| Куру[65] |
Прионы вызывают нейродегенеративные заболевания, так как образуют внеклеточные скопления в центральной нервной системе и формируют амилоидные бляшки, которые разрушают нормальную структуру ткани. Разрушение характеризуется образованием «дыр» (полостей) в ткани, и ткань принимает губчатую структуру из-за формирования вакуолей в нейронах[68]. Другие наблюдаемые при этом гистологические изменения — астроглиоз (увеличение численности астроцитов из-за разрушения близлежащих нейронов) и отсутствие воспалительных реакций[69]. Хотя инкубационный период прионных заболеваний, как правило, очень долог, после появления симптомов болезнь прогрессирует быстро, приводя к разрушению мозга и смерти[70]. Проявляющимися при этом нейродегенеративными симптомами могут быть конвульсии, деменция, атаксия (расстройство координации движений), поведенческие и личностные изменения.
Все известные прионные заболевания, объединяемые под названием «трансмиссивные губчатые энцефалопатии» (ТГЭ), неизлечимы и фатальны[71]. Для мышей была разработана специальная вакцина, возможно, это поможет разработать вакцину против прионных заболеваний и для человека[72]. Кроме того, в 2006 году учёные заявили, что методами генной инженерии ими была получена корова, лишённая необходимого для образования прионов гена, то есть теоретически она обладает иммунитетом к ТГЭ[73]. Этот вывод основан на результатах исследования, что мыши, лишённые прионного белка в нормальной форме, проявляли устойчивость к приону скрепи[74].
Прионы поражают множество различных видов млекопитающих, и белок PrP очень схож у всех млекопитающих[75]. Из-за небольших различий между PrP у различных видов для прионной болезни передача от одного вида к другому необычна. Однако вариант человеческого прионного заболевания (болезни Крейтцфельдта — Якоба) вызывается прионом, обычно поражающим коров и вызывающим губчатую энцефалопатию крупного рогатого скота, который передаётся через заражённое мясо[76].
Пути возникновения
Считается, что прионное заболевание может быть приобретено 3 путями: в случае прямого заражения, наследственно или спорадически (спонтанно)[77]. В некоторых случаях для развития болезни требуется комбинация этих факторов[78]. Например, для развития скрепи необходимо как заражение, так и определённая генотипом чувствительность[79]. В большинстве случаев прионные заболевания возникают спонтанно по невыясненным причинам[80]. На долю наследственных заболеваний приходится около 15 % всех случаев[11]. Наконец, меньшинство являются результатом действия окружающей среды, то есть имеют ятрогенную природу или появляются в результате прионного заражения[11].
Спонтанное возникновение
Спорадическая (то есть спонтанная) прионная болезнь возникает в популяции у случайной особи. Таков, например, классический вариант болезни Крейтцфельдта — Якоба. Существуют 2 основные гипотезы относительно спонтанного появления прионных болезней. Согласно первой из них спонтанное изменение происходит в самом доселе нормальном белке в мозге, то есть имеет место посттрансляционная модификация[11]. Альтернативная гипотеза гласит, что одна или несколько клеток организма в какой-то момент претерпевают соматическую мутацию (то есть не передающуюся наследственно) и начинают производить дефектный белок PrPSc[81]. Как бы то ни было, конкретный механизм спонтанного возникновения прионных болезней неизвестен[11].
Наследственность

Был идентифицирован ген, кодирующий нормальный белок PrP — PRNP[82], локализованный на 20-й хромосоме. При всех наследственных прионных заболеваниях имеет место мутация этого гена. Было выделено много различных мутаций (около 30[11]) этого гена, и получающиеся при этом мутантные белки более склонны к укладке в ненормальную (прионную) форму[79]. Все такие мутации наследуются аутосомно-доминантно[11]. Это открытие показало дыру в общей теории прионов, гласящей, что прионы могут переводить в прионную форму только белки идентичного аминокислотного состава. Мутации могут иметь место по всему гену. Некоторые мутации приводят к растяжению октапептидных повторов на N-конце белка PrP. Другие мутации, приводящие к появлению наследственной прионной болезни, могут происходить в позициях 102, 117 и 198 (синдром Герстмана — Штраусслера — Шейнкера), 178, 200, 210 и 232 (болезнь Крейтцфельдта — Якоба) и 178 (фатальная семейная бессонница).
Заражение
По данным современных исследований, основной путь приобретения прионных заболеваний — поедание заражённой пищи. Считается, что прионы могут оставаться в окружающей среде в останках мёртвых животных, а также присутствуют в моче, слюне и других жидкостях и тканях тела. Из-за этого заражение прионами может произойти и в ходе пользования нестерильными хирургическими инструментами (об этом см. раздел «Стерилизация»). Они также могут долго сохраняться в почве за счёт связывания с глиной и другими почвенными минералами[83].
Группа исследователей из Калифорнийского университета во главе с нобелевским лауреатом Стенли Прузинером доказала, что прионная инфекция может развиться из прионов, содержащихся в навозе[84]. А поскольку навоз присутствует вокруг многих водоёмов и на пастбищах, это даёт возможность для широкого распространения прионных болезней. В 2011 году было сообщено об открытии прионов, передающихся по воздуху в частицах аэрозоля (то есть воздушно-капельным путём)[85]. Это открытие было сделано в ходе эксперимента на заражённых скрепи мышах. Также в 2011 году было опубликовано предварительное доказательство того, что прионы могут передаваться с получаемым из мочи человеческим менопаузальным гонадотропином, применяемым для лечения бесплодия[86].
Стерилизация
Размножение инфекционных агентов, содержащих нуклеиновые кислоты, зависит от нуклеиновых кислот. Однако прионы увеличивают свою численность, изменяя структуру нормальной формы белка на прионную. Поэтому стерилизация против прионов должна включать их денатурацию до состояния, в котором бы они были неспособны изменять конфигурацию других белков. Прионы в большинстве своём устойчивы к протеазам, высокой температуре, радиации и хранению в формалине[87], хотя эти меры и снижают их инфективность. Эффективная дезинфекция против прионов должна включать гидролиз прионов или повреждение/разрушение их третичной структуры. Это можно достичь обработкой хлорной известью, гидроксидом натрия и сильнокислыми моющими веществами[88]. Пребывание в течение 18 минут при температуре 134 °C в герметичном паровом автоклаве не может деактивировать прионы[89][90]. Как потенциальный метод для деактивации и денатурации прионов в настоящее время изучается озоновая стерилизация[91]. Ренатурация полностью денатурированного приона до инфективного состояния зафиксирована не была, однако для частично денатурированных прионов в некоторых искусственных условиях это возможно[92].
Прионы и тяжёлые металлы
Согласно недавним исследованиям, нарушение обмена тяжёлых металлов в мозге играет важную роль в нейротоксичности, связанной с PrPSc, хотя на основе имеющейся пока информации сложно объяснить механизм, стоящий за всем этим. Есть гипотезы, объясняющие это явление тем, что PrPC играет некоторую роль в метаболизме металлов, и его нарушение из-за агрегации этого белка (в виде PrPSc) в фибриллы вызывает дисбаланс обмена тяжёлых металлов в мозге. Согласно другой точке зрения, токсичность PrPSc усиливается из-за включения в агрегаты PrPC-связанных металлов, что приводит к образованию комплексов PrPSc с окислительно-восстановительной активностью. Физиологическое значение некоторых комплексов PrPC с металлами известно, а значение других — нет. Патологическое действие PrPC-связанных металлов включает индуцированное металлом окислительное повреждение и в некоторых случаях переход PrPC в PrPSc-подобную форму[93].
Потенциальное лечение и диагностика
Благодаря компьютерному моделированию учёным удалось найти соединения, которые могут быть лекарством против прионных заболеваний. Например, одно соединение может связываться с углублением в PrPC и стабилизировать его структуру, снижая количество вредоносных PrPSc[94].
Недавно были описаны антитела к прионам, способные проходить через гематоэнцефалический барьер и действующие на цитозольные прионы[95].
В последнее десятилетие XX века был достигнут некоторый прогресс в инактивации инфективности прионов в мясе при помощи сверхвысокого давления[96].
В 2011 году было открыто, что прионы могут разлагаться лишайниками[97][98].
Большое практическое значение имеет проблема диагностики прионных заболеваний, в частности, губчатой энцефалопатии крупного рогатого скота и болезни Крейтцфельдта — Якоба. Их инкубационный период составляет от месяца до десятилетий, в течение которых человек не испытывает никаких симптомов, даже если процесс превращения нормальных мозговых белков PrPC в прионы PrPSc уже начался. В настоящее время фактически нет способа обнаружить PrPSc, кроме как при помощи проверки ткани мозга нейропатологическими и иммуногистохимическими методами уже после смерти. Характерной чертой прионных заболеваний является накопление прионной формы PrPSc белка PrP, однако в легко получаемых жидкостях и тканях тела, как кровь и моча, он содержится в очень низких концентрациях. Исследователи пытались разработать метод измерения доли PrPSc, но сейчас по-прежнему нет полностью признанных методов по использованию для этих целей таких материалов, как кровь.
В 2010 году группа исследователей из Нью-Йорка описала способ обнаружить PrPSc даже тогда, когда его доля в ткани мозга равна одной на сто миллиардов (10−11). Этот метод сочетает амплификацию с новой технологией, называемой Surround Optical Fiber Immunoassay (SOFIA) («оптический иммунологический анализ прилежащих волокон»), и некоторыми специфическими антителами против PrPSc. После амплификации с концентрированием всех PrPSc, возможно содержащихся в образце, образец помечается флуоресцентным красителем с антителами для специфичности и в конце загружается в микрокапиллярную трубку. Потом эта трубка помещается в специальный аппарат так, что она оказывается полностью окружённой оптическими волокнами и весь свет, испускаемый на трубку, поглощается красителем, предварительно возбуждённым лазером. Эта техника позволяет обнаружить PrPSc даже после небольшого количества циклов перехода в прионную форму, что, во-первых, снижает возможность искажения результата артефактами эксперимента, и, во-вторых, ускоряет ход процедуры. Исследователи проверяли по этой технике кровь кажущихся здоровыми овец, в действительности заражённых скрепи. Когда болезнь стала очевидной, был исследован и их мозг. Таким образом, исследователи получили возможность сравнить анализы крови и мозговой ткани животных с симптомами болезни, со скрытой болезнью и неинфицированных. Результаты наглядно показали, что вышеописанная техника позволяет обнаружить PrPSc в организме задолго до появления первых симптомов[99][100].
Антиприонная активность была обнаружена у астемизола[101].
Прионы грибов
| Формирование прионов [PSI+] отменяет накопление красного пигмента, образующегося в результате мутации в гене ade1 (снизу), в результате чего колонии дрожжей становятся белыми (сверху) |
Белки, способные к передаче их конформации по наследству, то есть неменделевской наследственности, были открыты у дрожжей Saccharomyces cerevisiae Ридом Уикнером (англ. Reed Wickner) в начале 1990-х. Из-за сходства с прионами млекопитающих эти альтернативные наследуемые конформации белков были названы прионами дрожжей. Позже прионы были открыты и у гриба Podospora anserina.
Группа Сьюзан Линдквист (англ. Susan Lindquist) из Института Уайтхед показала, что некоторые прионы грибов не связаны с каким-либо болезненным состоянием, а могут играть полезную роль. Однако, исследователи из NIH предоставили аргументы в пользу того, что прионы грибов могут снижать жизнеспособность клеток[102]. Поэтому вопрос о том, являются ли прионы грибов болезнетворными агентами или же они играют некую полезную роль, остаётся нерешённым[103].
По состоянию на 2012 год известно 11—12 прионов у грибов, в том числе: семь у Saccharomyces cerevisiae (Sup35, Rnq1, Ure2, Swi1, Mot3, Cyc8, Sfp1, Mca1', вакуолярная протеаза B и Mod5) и один у Podospora anserina (НЕТ-s, МАР-киназы).
Из них наиболее хорошо изучен фактор терминации трансляции Sup35 (гомолог eRF3). Клетки, в которых присутствует прионная форма Sup35, называются клетками [PSI+] (см. илл.). Такие клетки имеют изменённое физиологическое состояние и изменённый уровень экспрессии некоторых генов, что позволило выдвинуть гипотезу о том, что у дрожжей образование прионов может играть адаптативную роль[104].
Статья об открытии приона Mca1 была впоследствии отвергнута, так как воспроизвести результаты эксперимента не удалось[105]. Большинство прионов грибов основаны на глутамин/аспарагин-богатых повторах, исключениями являются Mod5 и HET-s.
Исследования прионов грибов убедительно подтверждают «чисто белковую» гипотезу, так как очищенные белки, выделенные из клеток с белками в прионной форме, демонстрировали способность перестраивать белки нормальной формы в прионную in vitro, и при этом свойства данного штамма приона сохраняются. Был также отчасти пролит свет на прионные домены, то есть домены белка, осуществляющие изменение конформации другого белка в прионную. Прионы грибов помогли представить возможный механизм перехода из нормальной формы в прионную, относящийся ко всем прионам, хотя прионы грибов и отличаются от инфекционных прионов млекопитающих отсутствием кофактора, необходимого для размножения. Особенности прионного домена могут варьировать у различных видов. Например, свойства, присущие прионным доменам прионов грибов, не встречаются у прионов млекопитающих.
Как упоминалось выше, прионы грибов, в отличие от прионов млекопитающих, передаются следующему поколению. Иными словами, у грибов существует механизм прионной (белковой) наследственности, который может служить ярким примером истинно цитоплазматического наследования[12].
| Прионы грибов | |||||
|---|---|---|---|---|---|
| Белок | Хозяин | Нормальная функция | Прионная форма | Прионный фенотип | Год открытия |
| Ure2p | S. cerevisiae | Репрессор усвоения азота | [URE3] | Способность усваивать уреидосукцинат в качестве источника азота[12] | 1994 |
| Sup35p | S. cerevisiae | Фактор терминации трансляции | [PSI+] | Повышение частоты прочитывания стоп-кодонов | 1994 |
| HET-S | P. anserina | Фактор цитоплазматической несовместимости[12] | [Het-s] | Образование гетерокариона только между совместимыми штаммами | 1997 |
| Вакуолярная протеаза B | S. cerevisiae | Уменьшение продолжительности жизни клеток, нарушения мейоза | [β] | Нарушения деградации клеточных белков в условиях голода | 2003 |
| MAP-киназы | P. anserina | Усиление пигментации, медленный рост | [C] | 2006 | |
| Rnq1p | S. cerevisiae | Фактор, усиливающий образование прионов | [RNQ+], [PIN+] | Способствует агрегации других белков | |
| Mca1* | S. cerevisiae | Предполагаемая каспаза дрожжей | [MCA+] | Неизвестен | 2008 |
| Swi1 | S. cerevisiae | Изменение конформации хроматина | [SWI+] | Плохой рост на некоторых источниках углерода | 2008 |
| Cyc8 | S. cerevisiae | Транскрипционный репрессор | [OCT+] | Дерепрессия транскрипции многих генов | 2009 |
| Mot3 | S. cerevisiae | Ядерный транскрипционный фактор | [MOT3+] | Транскрипционная дерепрессия анаэробных генов | 2009 |
| Sfp1[106] | S. cerevisiae | Предполагаемый регулятор транскрипции | [ISP+] | Антисупрессия | 2010 |
| Mod5[107] | S. cerevisiae | [MOD+] | 2012 | ||
' — неподтверждённое открытие.
См. также
- Коровье бешенство
- Колыбель для кошки
- Тау-белок
- Прионные заболевания
- Прионы грибов
Примечания
- ↑ 1 2 Stanley B. Prusiner — Autobiography. NobelPrize.org. Дата обращения: 18 июня 2013. Архивировано 14 июня 2013 года.
- ↑ Somerville RA. TSE agent strains and PrP: reconciling structure and function (англ.) // Trends : journal. — 2002. — Vol. 27, no. 12. — P. 606—612. — PMID 12468229.
- ↑ Aguzzi A. Unraveling prion strains with cell biology and organic chemistry (англ.) // Proceedings of the National Academy of Sciences of the United States of America : journal. — 2008. — Vol. 105, no. 1. — P. 11—2. — doi:10.1073/pnas.0710824105. — . — PMID 18172195. — PMC 2224168.
- ↑ 1 2 3 Masel J., Jansen VAA, Nowak M. A. Quantifying the kinetic parameters of prion replication (англ.) // Biophysical Chemistry : journal. — 1999. — March (vol. 77, no. 2—3). — P. 139—152. — doi:10.1016/S0301-4622(99)00016-2. — PMID 10326247. Архивировано 13 июля 2021 года.
- ↑ Christopher M. Dobson. The structural basis of protein folding and its links with human disease (англ.) // Philosophical Transactions of the Royal Society B : journal. — 2001. — February (vol. 356, no. 1406). — P. 133—145. — doi:10.1098/rstb.2000.0758. — PMID 11260793. — PMC 1088418.
- ↑ CDC — Prion Diseases. Дата обращения: 30 сентября 2017. Архивировано из оригинала 4 марта 2010 года.
- ↑ Prusiner S. B. Prions (англ.) // Proceedings of the National Academy of Sciences of the United States of America. — 1998. — Vol. 95, no. 23. — P. 13363—13383. — doi:10.1073/pnas.95.23.13363. — . — PMID 9811807. — PMC 33918.
- ↑ 1 2 Зуев В. А. и др. Современное состояние проблемы прионных болезней и причины их опасности для человека и животных //Вопросы вирусологии. — 2020. — Т. 65. — №. 2. — С. 71-76.
- ↑ 1 2 3 Krull, Ira S.; Brian K. Nunnally. Prions and mad cow disease (неопр.). — New York, N.Y: Marcel Dekker, 2004. — С. 6. — ISBN 0-8247-4083-1.
- ↑ Laurén J., Gimbel D. A., Nygaard H. B., Gilbert J. W., Strittmatter S. M. Cellular prion protein mediates impairment of synaptic plasticity by amyloid-beta oligomers (англ.) // Nature : journal. — 2009. — February (vol. 457, no. 7233). — P. 1128—1132. — doi:10.1038/nature07761. — . — PMID 19242475. — PMC 2748841.
- ↑ 1 2 3 4 5 6 7 Prion Diseases (Transmissible Spongiform Encephalopathies). Дата обращения: 16 июня 2013. Архивировано 1 июня 2013 года.
- ↑ 1 2 3 4 5 6 Инге-Вечтомов, 2010, с. 298.
- ↑ Lindquist S., Krobitsch S., Li L., Sondheimer N. Investigating protein conformation-based inheritance and disease in yeast (англ.) // Philosophical Transactions of the Royal Society B : journal. — 2001. — February (vol. 356, no. 1406). — P. 169—176. — doi:10.1098/rstb.2000.0762. — PMID 11260797. — PMC 1088422.
- ↑ Chernoff Y. O. Are there prions in plants? (англ.) // Proceedings of the National Academy of Sciences of the United States of America. — 2016. — Vol. 113, no. 22. — P. 6097—6099. — doi:10.1073/pnas.1605671113. — PMID 27217577.
- ↑ Chakrabortee S., Kayatekin C., Newby G. A., Mendillo M. L., Lancaster A., Lindquist S. Luminidependens (LD) is an Arabidopsis protein with prion behavior. (англ.) // Proceedings of the National Academy of Sciences of the United States of America. — 2016. — Vol. 113, no. 21. — P. 6065—6070. — doi:10.1073/pnas.1604478113. — PMID 27114519.
- ↑ 1 2 3 4 History of prions. Дата обращения: 14 июня 2013. Архивировано из оригинала 18 апреля 2013 года.
- ↑ Пескин, 2023, с. 124.
- ↑ The Nobel Prize in Physiology or Medicine 1976 (англ.). Нобелевский фонд. Дата обращения: 19 июня 2013. Архивировано 15 октября 2012 года.
- ↑ Alper T., Cramp W. A., Haig D. A., Clarke M. C. Does the agent of scrapie replicate without nucleic acid? (англ.) // Nature : journal. — 1967. — May (vol. 214, no. 5090). — P. 764—766. — doi:10.1038/214764a0. — . — PMID 4963878.
- ↑ Griffith J. S. Self-replication and scrapie (англ.) // Nature. — 1967. — September (vol. 215, no. 5105). — P. 1043—1044. — doi:10.1038/2151043a0. — . — PMID 4964084.
- ↑ Crick F. Central dogma of molecular biology (англ.) // Nature. — 1970. — August (vol. 227, no. 5258). — P. 561—563. — doi:10.1038/227561a0. — . — PMID 4913914.
- ↑ Taubes Gary, Prusiner Stanley. Gary Taubes, “The Name of the Game Is Fame. But Is It Science? Stanley Prusiner, ‘Discoverer’ of Prions” (англ.) // Discover. — 1986. — December (vol. 7, no. 12). — P. 28—52.
- ↑ Priola S. A., Chesebro B., Caughey B. Biomedicine. A view from the top—prion diseases from 10,000 feet (англ.) // Science : journal. — 2003. — Vol. 300, no. 5621. — P. 917—919. — doi:10.1126/science.1085920. — PMID 12738843.
- ↑ Barria MA, Mukherjee A, Gonzalez-Romero D, Morales R, Soto C. De novo generation of infectious prions in vitro produces a new disease phenotype // PLoS Pathog.. — 2009. — Вып. 5(5). — doi:10.1371/journal.ppat.1000421. Архивировано 28 июля 2014 года.
- ↑ Yusa S., Oliveira-Martins J. B., Sugita-Konishi Y., Kikuchi Y. Cellular prion protein: from physiology to pathology // Viruses. — 2012. — Т. 4, вып. 11. — С. 3109—3131. — doi:10.3390/v4113109. — PMID 23202518. Архивировано 25 апреля 2023 года.
- ↑ PrP в базе данных UniProt. Дата обращения: 25 июня 2013. Архивировано 2 июля 2013 года.
- ↑ van Rheede T., Smolenaars M. M., Madsen O., de Jong W. W. Molecular evolution of the mammalian prion protein // Mol Biol Evol. — 2003. — Т. 20, вып. 1. — С. 111—121. — PMID 12519913. Архивировано 21 мая 2016 года.
- ↑ Riek R., Hornemann S., Wider G., Billeter M., Glockshuber R., Wüthrich K. NMR structure of the mouse prion protein domain PrP(121-231) (англ.) // Nature. — 1996. — Vol. 382, iss. 6587. — P. 180—182. — PMID 8700211.
- ↑ Ronga L., Tizzano B., Palladino P., Ragone R., Urso E., Maffia M., Ruvo M., Benedetti E., Rossi F. The prion protein: Structural features and related toxic peptides // Chem Biol Drug Des. — 2006. — Т. 68, вып. 3. — С. 139—147. — PMID 17062011.
- ↑ Hegde R.S., Mastrianni J. A., Scott M. R., et al. A transmembrane form of the prion protein in neurodegenerative disease (англ.) // Science : journal. — 1998. — Vol. 279, no. 5352. — P. 827—834. — doi:10.1126/science.279.5352.827. — . — PMID 9452375.
- ↑ Liberski P. P., Brown D. R,, Sikorska B., Caughey B., Brown P. Cell death and autophagy in prion diseases (transmissible spongiform encephalopathies) // Folia Neuropathol.. — 2008. — № 46(1). — С. 1—25.
- ↑ Brown D.R., Qin K., Herms J.W., et al. The cellular prion protein binds copper in vivo (англ.) // Nature. — 1997. — Vol. 390, no. 6661. — P. 684—687. — doi:10.1038/37783. — . — PMID 9414160.
- ↑ Málaga-Trillo E., Solis G.P., Schrock Y., et al. Regulation of embryonic cell adhesion by the prion protein (англ.) // PLOS Biology : journal / Weissmann, Charles. — 2009. — March (vol. 7, no. 3). — P. e55. — doi:10.1371/journal.pbio.1000055. — PMID 19278297. — PMC 2653553.
- ↑ Pan K. M., Baldwin M., Nguyen J., et al. Conversion of alpha-helices into beta-sheets features in the formation of the scrapie prion proteins (англ.) // Proceedings of the National Academy of Sciences of the United States of America : journal. — 1993. — December (vol. 90, no. 23). — P. 10962—10966. — doi:10.1073/pnas.90.23.10962. — . — PMID 7902575. — PMC 47901.
- ↑ Baker, Harry F., and Rosalind M. Ridley, eds. Prion diseases. Totowa, N.J: Humana, 1996
- ↑ Grassmann A, Wolf H, Hofmann J, Graham J, Vorberg I. Cellular aspects of prion replication in vitro // Viruses.. — 2013. — Вып. 5(1). — С. 374—405. — doi:10.3390/v5010374..
- ↑ Cohen F.E., Pan K.M., Huang Z., Baldwin M., Fletterick R.J., Prusiner S. B. Structural clues to prion replication (англ.) // Science. — 1994. — Vol. 265, no. 5178. — P. 530—531. — doi:10.1126/science.7909169. — . — PMID 7909169.
- ↑ Eigen M. Prionics or the kinetic basis of prion diseases (неопр.) // Biophysical Chemistry. — 1996. — Т. 63, № 1. — С. A1—18. — doi:10.1016/S0301-4622(96)02250-8. — PMID 8981746.
- ↑ Bolton D. C., Rudelli R. D., Currie J. R., Bendheim P. E. Copurification of sp33-37 and scrapie agent from hamster brain prior to detectable histopathology and clinical-disease (англ.) // Journal of General Virology : journal. — Microbiology Society, 1991. — Vol. 72, no. 12. — P. 2905—2913. — doi:10.1099/0022-1317-72-12-2905. — PMID 1684986.
- ↑ Jendroska K., Heinzel F. P., Torchia M., Stowring L., Kretzschmar H. A., Kon A., Stern A., Prusiner S. B., DeArmond S. J. Proteinase-resistant prion protein accumulation in syrian-hamster brain correlates with regional pathology and scrapie infectivity (недоступная ссылка — история) (англ.) // Neurology : journal. — Wolters Kluwer, 1991. — Vol. 41, no. 9. — P. 1482—1490. — PMID 1679911.
- ↑ Beekes M., Baldauf E., Diringer H. Sequential appearance and accumulation of pathognomonic markers in the central nervous system of hamsters orally infected with scrapie (англ.) // Journal of General Virology : journal. — Microbiology Society, 1996. — Vol. 77, no. 8. — P. 1925—1934. — doi:10.1099/0022-1317-77-8-1925. — PMID 8760444.
- ↑ Bamborough P., Wille H., Telling G. C., Yehiely F., Prusiner S. B., Cohen F. E. Prion protein structure and scrapie replication: theoretical, spectroscopic, and genetic investigations (англ.) // Cold Spring Harbor Symposium on Quantitative Biology : journal. — 1996. — Vol. 61. — P. 495—509. — doi:10.1101/SQB.1996.061.01.050. — PMID 9246476.
- ↑ Winkler J, Tyedmers J, Bukau B, Mogk A. Chaperone networks in protein disaggregation and prion propagation // J Struct Biol.. — 2012. — Вып. 179(2). — С. 152—160. — doi:10.1016/j.jsb.2012.05.002..
- ↑ Knowles TPJ, Waudby C.A., Devlin G. L., Cohen SIA, Aguzzi A., Vendruscolo M., Terentjev E. M., Welland M. E., Dobson C. M. An Analytical Solution to the Kinetics of Breakable Filament Assembly (англ.) // Science : journal. — 2009. — Vol. 326, no. 5959. — P. 1533—1537. — doi:10.1126/science.1178250. — . — PMID 20007899.
- ↑ Masel J., Jansen VAA. Designing drugs to stop the formation of prions and other amyloids (англ.) // Biophysical Chemistry : journal. — 2000. — Vol. 88, no. 1—3. — P. 47—59. — doi:10.1016/S0301-4622(00)00197-6. — PMID 11152275.
- ↑ Abbott A. Healthy prions protect nerves (англ.) // Nature. — 2010. — 24 January. — doi:10.1038/news.2010.29.
- ↑ Shorter J., Lindquist S. Prions as adaptive conduits of memory and inheritance (англ.) // Nature Reviews Genetics : journal. — 2005. — June (vol. 6, no. 6). — P. 435—450. — doi:10.1038/nrg1616. — PMID 15931169.
- ↑ Maglio L. E., Perez M. F., Martins V. R., Brentani R. R., Ramirez O. A. Hippocampal synaptic plasticity in mice devoid of cellular prion protein (англ.) // Molecular Brain Research : journal. — 2004. — Vol. 131, no. 1—2. — P. 58—64. — doi:10.1016/j.molbrainres.2004.08.004. — PMID 15530652.
- ↑ Caiati M.D., Safiulina V. F., Fattorini G., Sivakumaran S., Legname G., Cherubini E. PrPC Controls via Protein Kinase A the Direction of Synaptic Plasticity in the Immature Hippocampus (англ.) // Journal of Neuroscience : journal. — 2013. — Vol. 33, no. 7. — P. 2973—2983. — doi:10.1523/JNEUROSCI.4149-12.2013. — PMID 23407955.
- ↑ Zhang C. C., Steele A. D., Lindquist S., Lodish H. F. Prion protein is expressed on long-term repopulating hematopoietic stem cells and is important for their self-renewal (англ.) // Proceedings of the National Academy of Sciences of the United States of America : journal. — 2006. — Vol. 103, no. 7. — P. 2184—2189. — doi:10.1073/pnas.0510577103. — . — PMID 16467153. — PMC 1413720.
- ↑ 1 2 Baker & Ridley. Prion Disease (неопр.). — New Jersey: Humana Press, 1996. — ISBN 0-89603-342-2.
- ↑ Kim C. et al. Artificial strain of human prions created in vitro //Nature communications. — 2018. — Т. 9. — №. 1. — С. 1-11.
- ↑ Supattapone. What makes a prion infectious? (англ.) // Science. — 2010. — Vol. 327, no. 5969. — P. 1091—1092. — doi:10.1126/science.1187790. — PMID 20185716.
- ↑ 1 2 Deleault N.R., Harris B.T., Rees J.R., Supattapone S. Formation of native prions from minimal components in vitro (англ.) // Proceedings of the National Academy of Sciences of the United States of America : journal. — 2007. — Vol. 104, no. 23. — P. 9741—9746. — doi:10.1073/pnas.0702662104. — . — PMID 17535913. — PMC 1887554.
- ↑ Geoghegan J.C., Valdes P.A., Orem N. R., et al. Selective incorporation of polyanionic molecules into hamster prions (англ.) // Journal of Biological Chemistry : journal. — 2007. — Vol. 282, no. 50. — P. 36341—36353. — doi:10.1074/jbc.M704447200. — PMID 17940287. — PMC 3091164.
- ↑ 1 2 Wang F., Wang X., Yuan C. G., Ma J. Generating a prion with bacterially expressed recombinant prion protein (англ.) // Science : journal. — 2010. — Vol. 327, no. 5969. — P. 1132—1135. — doi:10.1126/science.1183748. — . — PMID 20110469. — PMC 2893558.
- ↑ Legname G., Baskakov I. V., Nguyen H. O., et al. Synthetic mammalian prions (англ.) // Science. — 2004. — Vol. 305, no. 5684. — P. 673—676. — doi:10.1126/science.1100195. — . — PMID 15286374.
- ↑ Makarava N., Kovacs G. G., Bocharova O., et al. Recombinant prion protein induces a new transmissible prion disease in wild-type animals (англ.) // Acta Neuropathologica : journal. — 2010. — Vol. 119, no. 2. — P. 177—187. — doi:10.1007/s00401-009-0633-x. — PMID 20052481. — PMC 2808531.
- ↑ Deleault N.R., Piro J.R., Walsh D.J., et al. Isolation of phosphatidylethanolamine as a solitary cofactor for prion formation in the absence of nucleic acids (англ.) // Proceedings of the National Academy of Sciences of the United States of America : journal. — 2012. — May (vol. 109, no. 22). — P. 8546—8551. — doi:10.1073/pnas.1204498109. — PMID 22586108.
- ↑ Deleault N.R., Walsh D.J., Piro J.R., et al. Cofactor molecules maintain infectious conformation and restrict strain properties in purified prions (англ.) // Proceedings of the National Academy of Sciences of the United States of America : journal. — 2012. — July (vol. 109, no. 28). — P. E1938—46. — doi:10.1073/pnas.1206999109. — PMID 22711839.
- ↑ Manuelidis L. A 25 nm virion is the likely cause of transmissible spongiform encephalopathies (англ.) // Journal of Cellular Biochemistry : journal. — 2007. — March (vol. 100, no. 4). — P. 897—915. — doi:10.1002/jcb.21090. — PMID 17044041.
- ↑ Pathogenic Virus Found in Mad Cow Cells. Yale. 2 февраля 2007. Архивировано 3 мая 2012. Дата обращения: 28 февраля 2010.
- ↑ 1 2 Manuelidis L., Yu Z.X., Barquero N., Banquero N., Mullins B. Cells infected with scrapie and Creutzfeldt-Jakob disease agents produce intracellular 25-nm virus-like particles (англ.) // Proceedings of the National Academy of Sciences of the United States of America : journal. — 2007. — Vol. 104, no. 6. — P. 1965—1970. — doi:10.1073/pnas.0610999104. — . — PMID 17267596. — PMC 1794316.
- ↑ Castilla J., Saá P., Hetz C., Soto C. In vitro generation of infectious scrapie prions (англ.) // Cell. — Cell Press, 2005. — Vol. 121, no. 2. — P. 195—206. — doi:10.1016/j.cell.2005.02.011. — PMID 15851027.
- ↑ 1 2 3 4 5 6 7 8 9 90. Prions. ICTVdB Index of Viruses. U.S. National Institutes of Health website (14 февраля 2002). Дата обращения: 28 февраля 2010. Архивировано 27 августа 2009 года.
- ↑ Hussein M. F., Al-Mufarrej S. I. Prion Diseases: A Review; II. Prion Diseases in Man and Animals (англ.) // Scientific Journal of King Faisal University (Basic and Applied Sciences) : journal. — 2004. — Vol. 5, no. 2. — P. 139. Архивировано из оригинала 10 мая 2011 года.
- ↑ BSE proteins may cause fatal insomnia. BBC News. 28 мая 1999. Архивировано 7 февраля 2021. Дата обращения: 28 февраля 2010.
- ↑ Robbins pathologic basis of disease (неопр.) / Robbins S. L., Cotran R. S., Kumar V., Collins T.. — Philadelphia: Saunders, 1999. — ISBN 0-7216-7335-X.
- ↑ Belay E.D. Transmissible spongiform encephalopathies in humans (англ.) // Annual Reviews : journal. — 1999. — Vol. 53. — P. 283—314. — doi:10.1146/annurev.micro.53.1.283. — PMID 10547693.
- ↑ Prion Diseases. US Centers for Disease Control (26 января 2006). Дата обращения: 28 февраля 2010. Архивировано из оригинала 15 июня 2013 года.
- ↑ Gilch S., Winklhofer K.F., Groschup M.H., et al. Intracellular re-routing of prion protein prevents propagation of PrP(Sc) and delays onset of prion disease (англ.) // The EMBO Journal. — 2001. — August (vol. 20, no. 15). — P. 3957—3966. — doi:10.1093/emboj/20.15.3957. — PMID 11483499. — PMC 149175.
- ↑ New York University Medical Center and School of Medicine. Active Vaccine Prevents Mice From Developing Prion Disease. Science Daily (14 мая 2005). Дата обращения: 28 февраля 2010. Архивировано 15 июня 2013 года.
- ↑ Weiss, Rick (1 января 2007). Scientists Announce Mad Cow Breakthrough. The Washington Post. Архивировано 6 ноября 2012. Дата обращения: 28 февраля 2010.
Scientists said yesterday that they have used genetic engineering techniques to produce the first cattle that may be biologically incapable of getting mad cow disease.
- ↑ Büeler H., Aguzzi A., Sailer A., et al. Mice devoid of PrP are resistant to scrapie (англ.) // Cell. — Cell Press, 1993. — Vol. 73, no. 7. — P. 1339—1347. — doi:10.1016/0092-8674(93)90360-3. — PMID 8100741.
- ↑ Collinge J. Prion diseases of humans and animals: their causes and molecular basis (англ.) // Annual Reviews : journal. — 2001. — Vol. 24. — P. 519—550. — doi:10.1146/annurev.neuro.24.1.519. — PMID 11283320.
- ↑ Ironside J. W. Variant Creutzfeldt-Jakob disease: risk of transmission by blood transfusion and blood therapies (англ.) // Haemophilia : the Official Journal of the World Federation of Hemophilia. — 2006. — Vol. 12 Suppl 1. — P. 8—15; discussion 26—8. — doi:10.1111/j.1365-2516.2006.01195.x. — PMID 16445812.
- ↑ Groschup M. H., Kretzschmar H. A., eds. Prion Diseases Diagnosis and Pathogeneis (англ.) // Archives of Virology. — New York: Springer, 2001. — Vol. Suppl 16.
- ↑ Geissen M., Krasemann S., Matschke J., Glatzel M. Understanding the natural variability of prion diseases (англ.) // Vaccine : journal. — Elsevier, 2007. — Vol. 25, no. 30. — P. 5631—5636. — doi:10.1016/j.vaccine.2007.02.041. — PMID 17391814.
- ↑ 1 2 Goldmann W. PrP genetics in ruminant transmissible spongiform encephalopathies (англ.) // Veterinary Research : journal. — 2008. — Vol. 39, no. 4. — P. 30. — doi:10.1051/vetres:2008010. — PMID 18284908.
- ↑ Prion Clinic: Prion disease. Дата обращения: 16 июня 2013. Архивировано 15 июля 2013 года.
- ↑ Prion Clinic: Sporadic Prion Disease. Дата обращения: 16 июня 2013. Архивировано 15 марта 2013 года.
- ↑ Oesch B., Westaway D., Wälchli M., et al. A cellular gene encodes scrapie PrP 27–30 protein (англ.) // Cell. — Cell Press, 1985. — Vol. 40, no. 4. — P. 735—746. — doi:10.1016/0092-8674(85)90333-2. — PMID 2859120.
- ↑ Johnson C. J., Pedersen J. A., Chappell R. J., McKenzie D., Aiken J. M. Oral transmissibility of prion disease is enhanced by binding to soil particles (англ.) // PLOS Pathogens : journal. — 2007. — Vol. 3, no. 7. — P. e93. — doi:10.1371/journal.ppat.0030093. — PMID 17616973. — PMC 1904474.
- ↑ Tamgüney, Gültekin; Miller, Michael W., Wolfe, Lisa L., Sirochman, Tracey M., Glidden, David V., Palmer, Christina, Lemus, Azucena, DeArmond, Stephen J., Prusiner, Stanley B. Asymptomatic deer excrete infectious prions in faeces (англ.) // Nature : journal. — 2009. — 9 September (vol. 461, no. 7263). — P. 529—532. — doi:10.1038/nature08289. — . — PMID 19741608. — PMC 3186440.
- ↑ MacKenzie, Debora (13 января 2011). Prion disease can spread through air. New Scientist. New Science Publications. Health. OCLC 60637733. Архивировано 24 марта 2011. Дата обращения: 3 апреля 2011.
- ↑ Dorsselaer, Alain Van; Carapito, Christine; Delalande, François; et al. (10 февраля 2011). Darlix, Jean-Luc (ed.). Detection of Prion Protein in Urine-Derived Injectable Fertility Products by a Targeted Proteomic Approach. PLoS One. Vol. 6, no. 3. Public Library of Science (published 2011-03-23). p. e17815. doi:10.1371/journal.pone.0017815. ISSN 1932-6203. OCLC 70662135. PMC 3063168. PMID 21448279. Архивировано 11 мая 2011. Дата обращения: 3 апреля 2011.
{{cite news}}: Википедия:Обслуживание CS1 (не помеченный открытым DOI) (ссылка) - ↑ Qin K., O'Donnell M., Zhao R.Y. Doppel: more rival than double to prion (англ.) // Neuroscience. — Elsevier, 2006. — August (vol. 141, no. 1). — P. 1—8. — doi:10.1016/j.neuroscience.2006.04.057. — PMID 16781817.
- ↑ Race R.E., Raymond G.J. Inactivation of transmissible spongiform encephalopathy (prion) agents by environ LpH (англ.) // Journal of Virology : journal. — 2004. — Vol. 78, no. 4. — P. 2164—2165. — doi:10.1128/JVI.78.4.2164-2165.2004. — PMID 14747583. — PMC 369477.
- ↑ Collins S.J., Lawson V.A., Masters C.L. Transmissible spongiform encephalopathies (англ.) // The Lancet. — Elsevier, 2004. — Vol. 363, no. 9402. — P. 51—61. — doi:10.1016/S0140-6736(03)15171-9. — PMID 14723996.
- ↑ Brown P., Rau E.H., Johnson B.K., Bacote A.E., Gibbs C.J., Gajdusek D.C. New studies on the heat resistance of hamster-adapted scrapie agent: threshold survival after ashing at 600 degrees C suggests an inorganic template of replication (англ.) // Proceedings of the National Academy of Sciences of the United States of America : journal. — 2000. — Vol. 97, no. 7. — P. 3418—3421. — doi:10.1073/pnas.050566797. — . — PMID 10716712. — PMC 16254.
- ↑ Ozone Sterilization. UK Health Protection Agency (14 апреля 2005). Дата обращения: 28 февраля 2010. Архивировано 22 мая 2008 года.
- ↑ Weissmann C., Enari M., Klöhn P.C., Rossi D., Flechsig E. Transmission of prions (англ.) // Proceedings of the National Academy of Sciences of the United States of America. — 2002. — Vol. 99 Suppl 4, no. 90004. — P. 16378—16383. — doi:10.1073/pnas.172403799. — . — PMID 12181490. — PMC 139897.
- ↑ Singh N et al. Prion Protein and Metal Interaction: Physiological and Pathological Implications // The Prion Protein (неопр.). — Savanna Press, 2010. — ISBN 978-0-9543335-2-2.
- ↑ Kuwata K., Nishida N., Matsumoto T., et al. Hot spots in prion protein for pathogenic conversion (англ.) // Proceedings of the National Academy of Sciences of the United States of America : journal. — 2007. — Vol. 104, no. 29. — P. 11921—11926. — doi:10.1073/pnas.0702671104. — . — PMID 17616582. — PMC 1924567.
- ↑ Daryl Rhys Jones, William Alexander Taylor, Clive Bate, Monique David, Mourad Tayebi. A Camelid Anti-PrP Antibody Abrogates PrPSc Replication in Prion-Permissive Neuroblastoma Cell Lines (англ.) // PLOS One. — Public Library of Science, 2010. — No. 5(3). — doi:10.1371/journal.pone.0009804. Архивировано 15 марта 2022 года.
- ↑ Brown, P. Ultra-high-pressure inactivation of prion infectivity in processed meat: A practical method to prevent human infection (англ.) // Proceedings of the National Academy of Sciences. — National Academy of Sciences, 2003. — No. 100(10). — P. 6093—6097. — doi:10.1073/pnas.1031826100.
- ↑ Christopher J. Johnson , James P. Bennett, Steven M. Biro, Juan Camilo Duque-Velasquez, Cynthia M. Rodriguez, Richard A. Bessen, Tonie E. Rocke. Degradation of the Disease-Associated Prion Protein by a Serine Protease from Lichens (англ.) // PLoS ONE : journal / Bartz, Jason C.. — 2011. — Vol. 6, no. 5. — P. 9836. — doi:10.1371/journal.pone.0019836. — .
- ↑ Yam, Philip. Natural Born Prion Killers: Lichens Degrade "Mad Cow" Related Brain Pathogen. Scientific American. Дата обращения: 18 июня 2013. Архивировано 19 июня 2013 года.
- ↑ Detecting Prions in Blood (неопр.) // Microbiology Today. — 2010. — August. — С. 195. Архивировано из оригинала 1 октября 2011 года.
- ↑ SOFIA: An Assay Platform for Ultrasensitive Detection of PrPSc in Brain and Blood. SUNY Downstate Medical Center. Дата обращения: 19 августа 2011. Архивировано 9 ноября 2011 года.
- ↑ Scripps Research Institute Scientists Identify First Potentially Effective Therapy for Human Prion Disease Архивная копия от 17 мая 2013 на Wayback Machine; Unique drug screening approach for prion diseases identifies tacrolimus and astemizole as antiprion agents Архивная копия от 5 сентября 2013 на Wayback Machine / PNAS April 23, 2013 vol. 110 no. 17
- ↑ Dong J., Bloom J.D., Goncharov V., et al. Probing the role of PrP repeats in conformational conversion and amyloid assembly of chimeric yeast prions (англ.) // Journal of Biological Chemistry : journal. — 2007. — Vol. 282, no. 47. — P. 34204—34212. — doi:10.1074/jbc.M704952200. — PMID 17893150. — PMC 2262835.
- ↑ Halfmann R., Alberti S., Lindquist S. Prions, protein homeostasis, and phenotypic diversity (англ.) // Trends : journal. — 2010. — Vol. 20, no. 3. — P. 125—133. — doi:10.1016/j.tcb.2009.12.003. — PMID 20071174. — PMC 2846750.
- ↑ Galkin A. P., Mironova L. N., Zhuravleva G. A., Inge-Vechtomov SG. Yeast prions, mammalian amyloidoses, and the problem of proteomic networks (англ.) // Genetica : journal. — 2006. — Vol. 42, no. 11. — P. 1558. — PMID 17163073.
- ↑ Nemecek, J; Nakayashiki, T., Wickner, R.B. Retraction for Nemecek et al.: A prion of yeast metacaspase homolog (Mca1p) detected by a genetic screen (англ.) // Proceedings of the National Academy of Sciences of the United States of America : journal. — 2011. — 14 June (vol. 108, no. 24). — P. 10022. — doi:10.1073/pnas.1107490108. — PMID 21628591. — PMC 3116407.
- ↑ Rogoza T., Goginashvili A., Rodionova S., Ivanov M., Viktorovskaya O., Rubel A., Volkov K., Mironova L. Non-Mendelian determinant [ISP+] in yeast is a nuclear-residing prion form of the global transcriptional regulator Sfp1. (англ.) // Proceedings of the National Academy of Sciences of the United States of America : journal. — 2010. — Vol. 107, no. 23. — P. 10573—10577. — doi:10.1073/pnas.1005949107. — PMID 20498075. — PMC 2890785.
- ↑ Genjiro Suzuki, Naoyuki Shimazu, Motomasa Tanaka. A Yeast Prion, Mod5, Promotes Acquired Drug Resistance and Cell Survival Under Environmental Stress (англ.) // Science : journal. — 2012. — Vol. 336, no. 6079. — P. 355—359. — doi:10.1126/science.1219491. Архивировано 13 ноября 2012 года.
Литература
- Шкундина И. С., Тер-Аванесян М. Д. Прионы // Успехи биологической химии, т. 46, 2006 (обзор)
- Григорьев В. Б. Прионные болезни человека и животных // Вопросы вирусологии. — 2004. — Т. 49, № 5. — С. 4—12.
- Покровский В. И., Киселёв О. И., Черкасский Б. Л. Прионы и прионные болезни / Рос. акад. мед. наук. — 2-е изд. — М.: Издательство РАМН, 2004. — 384 с. — ISBN 5-7901-0038-4. [1]
- Инге-Вечтомов С. Г. Генетика с основами селекции. — СПб.: Издательство Н-Л, 2010. — 718 с. — ISBN 978-5-94869-105-3. [2]
- Prusiner S. B. Prion biology and diseases. — New York: Cold Spring Harbor, 1999. — ISBN 0-87969-547-1.
- Сара Мэннинг Пескин. В молекуле от безумия. Истории о том, как ломается мозг = Sara Manning Peskin. A Molecule Away from Madness: Tales of the Hijacked Brain. — М.: Альпина Паблишер, 2023. — С. 224. — ISBN 978-5-9614-7697-2.
- Список русскоязычной литературы по теме «Прионы и прионные болезни»
- Прионные заболевания человека: современные аспекты / Н. Н. Заваденко, Г. Ш. Хондкарян, Р. Ц. Бембеева, А. А. Холин, Е. Н. Саверская; ФГБОУ ВО «Российский национальный исследовательский медицинский университет им. Н. И. Пирогова» Минздрава России, Институт медико-социальных технологий ФГБОУ ВО «Московский государственный университет пищевых производств» // Журнал неврологии и психиатрии имени С. С. Корсакова. — 2018. — Т. 118, № 6. — С. 88-95. [3] (обзор)
Ссылки
На английском языке
- Mad Cow Disease Информация о коровьем бешенстве, Center for Global Food Issues.
- Madcowering A BSE-TSE blog.
- The Pathological Protein — Mad Cow, Chronic Wasting, and Other Deadly Prion Diseases (2003, updated online 2005). Philip Yam, Scientific American magazine writer and News Editor.
- Прионные заболевания (2003). Dr. Sean Heaphy, Leicester University.
- Prion Diseases and the BSE Crisis (1997). Статья Stanley Prusiner — первооткрывателя прионов, из Science magazine.
- Britannica Nobel: Прион, 1997
- ICTVdb 90.001.0.01. Mammalian Prions
- Сайт о болезни коровьего бешенства Mad Cow Disease
- News & Views on Mad Cow Disease, Mad Deer Disease, Chronic Wasting Disease, and Bovine Spongiform Encephalopathy
- Biography of Dr Prusiner
- Science Daily статья о вакцине против прионных заболеваний
- Science Daily article on transmission of prions through soil
- Обзор по прионам из Science Creative Quarterly
- Prion disease animation
На русском языке
- Зуев В. А., НИИ эпидемиологии и микробиологии им. Н. Ф. Гамалеи РАМН, Москва. Прионы — новый класс возбудителей инфекционных заболеваний // Антибиотики и химиотерапия. 1999. № 10. С. 33-38.
- Патогенез и патологоанатомическая картина прионных болезней (недоступная ссылка) (недоступная ссылка) (недоступная ссылка) (недоступная ссылка) (недоступная ссылка)
- Прионы // Успехи биологической химии, т. 46, 2006, с. 3-423
- С. Э. Шноль, Белки Прионы (видеолекция) // Univertv.ru и МГУ, 27.02.2009
- Пирютко, Юрий. Прионы: опасные и удивительные. // Сайт Biomolecula.ru (27 сентября 2017). Дата обращения: 26 марта 2018.
- Балахонова, Вероника. Прионы: исследования таинственных молекул продолжаются. // Сайт Biomolecula.ru (3 ноября 2012). Дата обращения: 26 марта 2018.
- Паевский, Алексей. Разоблачитель белков-убийц. // Сайт Biomolecula.ru (26 апреля 2015). Дата обращения: 26 марта 2018.
- Чугунов, Антон. Идентифицированы белки, «слипающиеся» при болезни Гентингтона. // Сайт Biomolecula.ru (14 мая 2007). Дата обращения: 26 марта 2018.
- Дергалёв, Александр. Прионные и неприонные амилоиды: определяет ли конформация разницу в инфекционности? // Сайт Biomolecula.ru (25 ноября 2015). Дата обращения: 26 марта 2018.
- Якупова, Эльмира. Агрегация белков: смерть или выживание? // Сайт Biomolecula.ru (25 сентября 2017). Дата обращения: 26 марта 2018.
- Кондратенко, Юлия. Мутация, защищающая от всех известных прионных болезней. // Сайт Biomolecula.ru (9 июля 2015). Дата обращения: 26 марта 2018.
- Григорьев Я. А. Прионные заболевания человека: симптоматика и перспективы лечения // Молодой учёный. — 2019. — № 42 (280). — С. 39-44.
- Леонова З. А. Прионы и прионовые заболевания // Acta Biomedica Scientifica. Бюллетень ВСНЦ СО РАМН. — 2010. — № 6(76). — Часть 1.
Видео
- Белковая наследственность, прионы и амилоиды // Президент России — молодым учёным. 29 сентября 2021. (Лектор Антон Нижников, доктор биологических наук)
