Перелом палача

Перелом палача
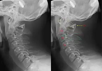
Рентгенограмма шейного отдела пациента с переломом палача
Рентгенограмма шейного отдела пациента с переломом палача
МКБ-10 S12.1
МКБ-9 805.02
Логотип Викисклада Медиафайлы на Викискладе

Перелом палача — перелом ножек дуги II шейного позвонка, сочетающийся с поперечным разрывом передней продольной связки на уровне между II и III шейными позвонками и смещением атланта и тела эпистрофея кпереди. Впервые был описан у повешенных в 1913 году[1]. В 1964 году R. C. Schneider и соавт. опубликовали статью, в которой указывалось на сходство повреждений шейного отдела позвоночника при дорожно-транспортных происшествиях и у повешенных[2][3].

Механизм возникновения

Необходимыми условиями переломов костных структур являются мягкотканные повреждения, а именно разрыв передней продольной связки и отрыв межпозвонкового диска CII—CIII от нижней и (или) верхней замыкательной пластинки. Это в свою очередь приводит к воздействию сгибательных сил на дугу эпистрофея и последующему её перелому. Перелом дуги обычно симметричный, происходит вблизи тела позвонка[4].

Основной причиной переломов палача являются дорожно-транспортные происшествия при которых удар приходится в нижнюю часть лица[3][5]. Описаны случаи возникновения при спортивной травме[6].

Эпидемиология

Согласно данным ретроспективного исследования 657 пациентов с переломами шейного отдела позвоночника у 74 (11 %) из них отмечались переломы палача. Возраст подавляющего большинства (57 пострадавших) из них составлял от 20 до 59 лет[7].

Классификация и лечение

В литературе нашла широкое применение классификация переломов палача предложенная в 1985 году Levine и Edwards[8]. Согласно ей выделяют несколько типов. Тип I предполагает наличие небольшого смещения тела II шейного позвонка до 3 мм кпереди. Такие переломы являются стабильными и требуют лишь ношения шейного воротника[8][3][9]. При типе II имеется смещение и (или) угловое отклонение тела эпистрофея более чем на 11°. Тип III характеризуется значительными смещением и угловым отклонением, которые сопровождаются также смещением суставных поверхностей II и III шейных позвонков. При 2-м типе перелома палача возможно консервативное лечение в виде ношения шейного ортеза Halo 12 недель. При III типе повреждений, а также неэффективности консервативного показано хирургическое вмешательство в виде установки систем, обеспечивающих спондилодез[3][10].

Примечания

  1. Wood-Jones F. The ideal lesion produced by judicial hanging // Lancet. — 1913. — Vol. 1. — P. 53.
  2. Schneider R. C., Livingston K. E., Cave A. J., Hamilton G. "Hangman`s fracture" of the cervical spine // J. Neurosurg.. — 1965. — Vol. 22. — P. 141—154. — PMID 14288425.
  3. 1 2 3 4 Boyarsky I. Common C2 Fractures (англ.). Medscape. Дата обращения: 22 июня 2015. Архивировано 15 июня 2015 года.
  4. Кассар-Пулличино, 2009, с. 41—42.
  5. Hadley M. N., Sonntag V. K., Grahm T. W. et al. Axis fractures resulting from motor vehicle accidents. The need for occupant restraints // Spine. — 1986. — Vol. 11. — P. 861—864. — PMID 3824060.
  6. Shaffrey C. I. Cervical Trauma in a Young Football Player (англ.). www.spineuniverse.com. Дата обращения: 22 июня 2015. Архивировано 30 июня 2015 года.
  7. Ryan M. D., Henderson J. J. The epidemiology of fractures and fracture dislocations of the cervical spine (недоступная ссылка — история) // Injury. — 1992. — Vol. 23. — P. 38—40.
  8. 1 2 Levine A. M., Edwards C. C. The management of traumatic spondylolisthesis of the axis // J Bone Joint Surg Am. — 1985. — Vol. 67. — P. 217—226. — PMID 3968113.
  9. Jenkins A. L. III, Vollmer D. G., Eichler M. E. Cervical Spine Trauma // Youmans Neurological Surgery / Winn H. R.. — 5th edition. — Philadelphia: Saunders, 2004. — Vol. 4. — P. 4905—4906. — ISBN 0-7216-8291-X.
  10. Marcon R. M., Cristante A. F., Teixeira W. J. et al. Fractures of the cervical spine // Clinics. — 2013. — Vol. 68. — P. 1455—1461. — doi:10.6061/clinics/2013(11)12.

Литература

  • Кассар-Пулличино В. Н., Имхоф Х. Спинальная травма в свете диагностических изображений. — М.: МЕДпресс-информ, 2009. — 264 с. — ISBN 5-98322-530-8.
  • Луцик А. А., Раткин И. К., Никитин М. Н. Краниовертебральные повреждения и заболевания. — Новосибирск: Издатель, 1998. — 557 с. — ISBN 588399-003-7.