МР-ангиография

Магнитно-резонансная ангиография (МР-ангиография, МРА) — метод получения изображения кровеносных сосудов при помощи магнитно-резонансного томографа. Исследование проводится на томографах с напряжённостью магнитного поля не менее 0.3 Тл. Метод позволяет оценивать как анатомические, так и функциональные особенности кровотока.
Суть метода

Под воздействием сильного магнитного поля спины протонов ядер водорода изменяют своё положение и располагаются вдоль оси магнитного поля. Воздействие магнитного поля и радиочастотного излучения на протоны не постоянно, с заданными силой, частотой и временем, а протоны после воздействия на них радиочастотного сигнала вновь возвращаются в исходное положение — так называемое «время релаксации» (T1 и T2). Воздействие магнитного поля и радиочастотного импульса на протоны ядер водорода заставляет их вращаться относительно новых осей в течение очень короткого периода времени, что сопровождается выделением и поглощением энергии, формированием своего магнитного поля. Регистрация этих энергетических изменений и является основой МРТ-изображения. Способность подобного смещения зависит от гидрофильности тканей, их химического состава и структуры. Она практически отсутствует в костной ткани и наибольшая в жидкостных структурах. Метод магнитно-резонансной ангиографии позволяет получать изображения сосудов без использования каких-либо рентгеноконтрастных средств, хотя для получения ещё более четкого изображения применяются особые контрастные вещества на основе гадолиния.
Варианты МР-ангиографии в зависимости от импульсных последовательностей
Времяпролётная ангиография — (Time of Flight, ToF)
При проведении времяпролётной ангиографии используется импульсная последовательность «градиентное эхо» с коротким TR (временем спин-релаксации). Срезы формируются перпендикулярно направлению тока крови. Высокий сигнал текущей крови — это результат втекания в срез спинов(векторов), не подавленных между радиочастотными (РЧ) возбуждениями. Подавленные неподвижные спины подвергаются неполной релаксации между РЧ-возбуждениями, давая меньший сигнал.
Фазово-контрастная ангиография (Phase-contrast, PC)
Фазоконтрастная ангиография позволяет визуально оценить скорость кровотока; сигнал содержит как амплитудную, так и фазовую информацию. Фазоконтрастная ангиография в 4 раза медленнее TOF.
4D-ангиография
Позволяет разделять артериальную и венозную фазы кровотока с визуализацией его динамики. Этот метод применяется для диагностики нарушений гемодиамики, таких как мальформации и фистулы. Время исследования значительно меньше в сравнении с другими методами МРА.
Виды проводимых МР-ангиографических исследований
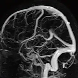
Ангиография артерий головного мозга (времяпролётная ангиография)
Ангиография артерий шеи (времяпролётная ангиография)
Ангиография вен головного мозга (фазово-контрастная ангиография)
Применение
Магнитно-резонансная ангиография применяется для диагностики следующих заболеваний:
- аневризма — локальное расширение стенки сосуда
- расслоение аневризмы
- врождённые пороки сердца
- стеноз сосудов
- воспаление сосудистой стенки (васкулит)
- атеросклероз артерий
Противопоказания
Существуют как относительные противопоказания, при которых проведение исследования возможно при определённых условиях, так и абсолютные, при которых исследование недопустимо.
Абсолютные противопоказания
- установленный кардиостимулятор (изменения магнитного поля могут имитировать сердечный ритм).
- ферромагнитные или электронные имплантаты среднего уха.
- большие металлические имплантаты, ферромагнитные осколки.
- кровоостанавливающие клипсы сосудов головного мозга (риск развития внутримозгового или субарахноидального кровотечения).
Относительные противопоказания
- инсулиновые насосы
- нервные стимуляторы
- неферромагнитные имплантаты внутреннего уха,
- протезы клапанов сердца (в высоких полях, при подозрении на дисфункцию)
- кровоостанавливающие клипсы (кроме сосудов мозга),
- декомпенсированная сердечная недостаточность,
- беременность (на данный момент собрано недостаточное количество доказательств отсутствия тератогенного эффекта магнитного поля)
- клаустрофобия (панические приступы во время нахождения в тоннеле аппарата могут не позволить провести исследование)
- необходимость в физиологическом мониторинге