Лимфоцитарная интерстициальная пневмония
| Лимфоцитарная интерстициальная пневмония | |
|---|---|
| |
| МКБ-10 | J84.1 |
| DiseasesDB | 31904 |
| MeSH | C562489 |
Лимфоцитарная интерстициальная пневмония — одно из наиболее редко встречающихся заболеваний группы идиопатических интерстициальных пневмоний, которое характеризуется распространенной гомогенной инфильтрацией легочного интерстиция лимфоцитами.
Впервые в 1969 году заболевание было описано, как доброкачественное лимфопролиферативное заболевание, ограниченное легкими [1].
Эпидемиология
Заболеванием чаще страдают женщины в возрасте от 40 до 60 лет. 75% больных лимфоцитарной интерстициальной пневмонией некурящие. В литературе описаны случаи заболевания у детей с гипогаммаглобулинемией и вирусом иммунодефицита человека[2].
Клиническая картина
Заболевание начинается постепенно. Ведущими симптомами болезни являются:
- одышка;
- сухой кашель, однако, иногда регистрируют небольшое отхождение мокроты;
- утомляемость;
- артралгии;
- снижение массы тела;
- симптом "барабанных палочек".
Аускультативно выслушивается крепитация, иногда - сухие свистящие хрипы
При проведении функции внешнего дыхания выявляют нарушения по рестриктивному типу и умеренное снижение диффузии газов в легких[2].
Дифференциальная диагностика
Дифференциальную диагностику следует проводить со следующими заболеваниями:
- псевдолимфома;
- первичная лимфома;
- лимфоматозный гранулёматоз;
- доброкачественный лимфоматоидный ангиит с гранулёматозом;
- ангиоиммунобластная лимфаденопатия[2].
Диагностика
Ведущие методы диагностики лимфоцитарной интерстициальной пневмонии :
- ФВД
- Рентгенография грудной клетки, выявляют ретикулярные изменения в базальных клетках
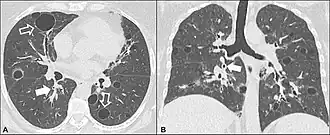
- КТ высокого разрешения, на которой выявляют утолщение межальвеолярных перегородок, центролобулярные узелки, кистозные полости и небольшие участки консолидации легочной ткани. Для КТ картины характерны участки пониженной прозрачности паренхимы по типу «матового стекла».
- Цитологическое исследование бронхоальвеолярного лаважа. Выявляют повышенный цитоз и значительное число лимфоцитов, нейтрофилов и эозинофилов[3].
Точно поставить диагноз можно лишь после проведение открытой биопсии легких.
Лечение
Основу терапии составляют глюкокортикостероиды и цитостатики. У 80% пациентов наблюдается стабилизация и улучшение состояния на фоне проводимой терапии.
Примечания
- ↑ Liebow, A. and Carrington, C.B. Idiopathic Interstitial Pneumonias (IIPs): Review of Clinical, Radiographic and High-Resolution Computed Tomography (HRCT) // Grune & Stratton, New York, 102-141.. — 1969.
- ↑ 1 2 3 А. Г. Чучалин. Респираторная медицина. Том 3. — Издательство «Литтерра». — Издательство «Литтерра», 2017. — С. 26-28. — 464 с. — ISBN 978-5-4235-0272-0.
- ↑ S.-I. Cha, M. B. Fessler, C. D. Cool, M. I. Schwarz, K. K. Brown. Lymphoid interstitial pneumonia: clinical features, associations and prognosis (англ.) // European Respiratory Journal. — 2006-08-01. — Vol. 28, iss. 2. — P. 364–369. — ISSN 1399-3003 0903-1936, 1399-3003. — doi:10.1183/09031936.06.00076705. Архивировано 26 ноября 2020 года.
