Лазерная коагуляция сетчатки

Лазерная коагуляция сетчатки (ЛКС) — современный метод лечения заболеваний сетчатки и сосудистой оболочки глаза (хориоидеи) основанный на тепловом повреждении лазером видимого или ближнего инфракрасного диапазона. Лазерная коагуляция сетчатки часто позволяет предотвратить отслойку сетчатки или закрепить сетчатку после отслойки сетчатки, замедлить или остановить просачивание жидкости под сетчатку из сосудистой оболочки глаза, лечить сосудистые поражения сетчатки.[1]

История

В 1956 году G. Meyer-Schvickerath применил ксеноновый дуговой коагулятор для фотокаогуляции тканей глаза впервые.

В 1960 году Т. Maiman создал первый в мире рубиновый лазер, который впоследствии нашел широкое применение в офтальмологии, благодаря возможности проведения неинвазивного лечения внутренних структур глаза.

В 1970 году H. Zweng впервые в офтальмологии применил аргоновый лазер на щелевой лампе.

Важным прорывом в начале 90-х было появление твердотельного Nd:YAG лазера с удвоением частоты и длиной волны 532 нм. Длина волны 532 нм обладала важными преимуществами перед аргоновыми лазерами. Во-первых излучение 532 нм обладало большей безопасностью при воздействии на ткани в центральной зоне сетчатки — макуле. Во-вторых твердотельная технология лазера была более практичной и компактной, по сравнению с аргоновым лазером[1].

В 2001 году была разработана новая аппаратная методика генерации коротких микросекундных лазерных импульсов, которая позволила ограничить тепловое воздействие по глубине и снизить нагрев внешней сетчатки. Данная методика нашла своё применение при субпороговом (неповреждающем) лечении заболеваний макулы (зоны сетчатки, ответственной за центральное зрение). Терапевтический эффект при этом воздействии обеспечивается за счет фотостимуляции пигментного эпителия и слоя хориокапилляров, и активации полезных внутриклеточных восстановительных биологических факторов и цитокинов без повреждения сетчатки и центрального зрения.[1]

В 2006 году была запущена в производство первая лазерная установка для офтальмологии с автоматизированным позиционированием лазерных импульсов на основе высокоскоростных зеркал и набора шаблонов. Лазер получил название PASCAL, от PAttern SCAnning Laser, что переводится как «лазер, сканирующий шаблонами»[2].

Следующим этапом развития автоматизированной лазерной коагуляции сетчатки было появление в 2008 году технологии цифровой навигации по сетчатке: NAVILAS, от Navigation Laser. Навигация по сетчатке использовала те же высокоскоростные зеркала, что и технология паттерн-сканирования, однако дополнительно включала в себя фотографирование сетчатки, цифровое планирование операции и непрерывное слежение за положением сетчатки во время операции для обеспечения безопасности и точности нанесения лазерных импульсов[1][3].

В 2019 году технология цифровой навигации была дополнена возможностью полностью бесконтактного выполнение лазерных процедур коагуляции сетчатки[4]. Бесконтактное выполнение лазерных процедур позволило дополнительно уменьшить негативные ощущения пациента и уменьшить риск перекрестной контаминации[1][1].

Виды лазерной коагуляции сетчатки

Чаще всего лазерная коагуляция сетчатки проводится амбулаторно, однако также она может проводиться интраоперационно при хирургическом лечении отслойки сетчатки.

Лазерная коагуляция сетчатки может выполняться через зрачок (транспупиллярно), через склеру (транссклерально) и с помощью лазерных эндозондов.

Эндолазерная коагуляция выполняется в операционной при хирургии отслойки сетчатки. Она использует специальные лазерные эндозонды, которые вводятся внутрь полости глаза пациента, через хирургические порты, по аналогии с хирургическими инструментами: канюлями, пинцетами или витреотомом. Хирург использует лазерное излучение для того, чтобы «приварить» сетчатку обратно к сосудистой оболочке глаза[5].

Лазерная коагуляция сетчатки
Транспупиллярная лазерная коагуляция сетчатки с использованием линзы

Транссклеральная коагуляция проводится, как правило, лазерами ближнего ИК диапазона, чаще всего с длиной волны 810 нм. Ближний ИК диапазон отличается высокой проникающей способностью по сравнению с видимым спектром, благодаря чему он может более эффективно доставлять энергию через склеру. При проведении транссклертальной коагуляции используются хирургические зонды для ретинопексии)[5].

Транспупиллярная коагуляция сетчатки в большинстве случаев применяется амбулаторно, для её выполнения лазер устанавливается на щелевую лампу, а врач использует специальные контактные линзы для фиксации глаза и век. Процедура может длиться от нескольких до нескольких десятков минут в зависимости от объёма вмешательства и опыта врача. При проведении ручной транспупиллярной коагуляции хирург вручную направляет лазерный луч или шаблон (при паттерн-сканирующей коагуляции) на поражённые зоны, стараясь избегать важных участков, таких как центральная ямка и диск зрительного нерва[5].

Транспупиллярная коагуляция может проводиться без использования контактной лазерной линзы.

  • С использованием навигационного лазера
  • С использованием бинокулярного лазерного офтальмоскопа

При навигационной транспупиллярной коагуляции NAVILAS врачу не требуется вручную наводить лазерный луч, так как лазер сам позиционирует его в нужной точке в соответствии с планом лечения, а важные зоны автоматически отслеживаются и защищаются от попадания лазера[6][7].

Коагуляция с использованием бинокулярного лазерного офтальмоскопа применяется для лежачих пациентов и в лечении ретинопатии недоношенных. Хирургия часто проводится под наркозом. Пациент лежит на операционном столе, а врач, с лазерным офтальмоскопом на голове и с помощью специальной бесконтактной линзы проводит коагуляцию[5].

Показания и противопоказания

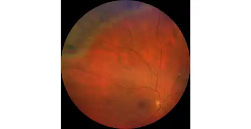
Решётчатая дистрофия
Решётчатая дистрофия сетчатки — левые верхний угол (снимок до лазерной коагуляции)
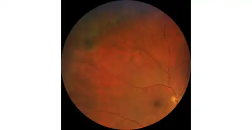
Решётчатая дистрофия после коагуляции
Решётчатая дистрофия сетчатки — левый верхний угол (снимок после выполнения лазерной коагуляции)

Профилактическая лазерная коагуляция сетчатки выполняется при наличии периферических разрывов и дегенераций сетчатки, не имеющих тенденций к самоограничению, сочетающихся с витреоретинальный тракцией, имеющих участок истончение сетчатки.

Абсолютные показания:

  • Решетчатая дистрофия
  • Дистрофия по типу «След улитки»
  • Клапанный разрывы
  • Отслойка сетчатки на парном глазу

Относительными показаниями являются:

  • Множественные сливные атрофические очаги по типу «булыжной мостовой» при высокой степени миопии
  • «Инеевидная» дистрофия и др.
  • Умеренно выраженная ПВХРД у лиц, занимающихся тяжелым физическим трудом
  • ПВХРД у беременных для возможности проведения физиологических родов.

Показаниями к лазерной коагуляции по типу решетки в центральной зоне сетчатки являются:

  • экссудативные резиниты (Коатса, Ильяса, микроаневризмы Лебера)
  • тромбозы центральной вены сетчатки
  • диабетический макулярный отёк
  • другие патологические состояния, связанные с отёком сетчтатки

Абсолютным показанием к панретинальной лазерной коагуляции сетчатки (ПРЛКС) является:

  • Диабетическая ретинопатия
    Фотография макулы пациента с диабетической ретинопатией и диабетическим отеком макулы
    пролиферативная диабетическая ретинопатия

Относительными показаниями к панретинальной лазерной коагуляции сетчатки (ПРЛКС) являются:

  • препролиферативная диабетическая ретинопатия
  • наличие петлеобразования и редупликация венул
  • диабетический макулярный отёк
  • рубеоз радужки или угла передней камеры

Противопоказания к выполнению панретинальной коагуляции:

  • грубый глиоз
  • тракционный ретиношизис
  • невозможность проведения ПРЛКС из-за гемофтальма или катаракты

Паттерн-сканирующая лазерная коагуляция сетчатки

Паттерн-коагуляция сетчатки
Шаблон для паттерн-коагуляции сетчатки

Выполняется только транспупиллярно на щелевой лампе со встроенным лазером, обладающим функцией паттерн-сканирования. Задача паттерн-сканирующей технологии — ускорить проведение коагуляции за счет практически единомоментного нанесения нескольких лазерных импульсов. Для ускоренного нанесения лазерных импульсов используется система на высокоскоростных зеркалах, одно зеркало отвечает за положение лазерного луча по оси X, другое по оси Y. Изначально технология была выпущена на рынок американской компанией OptiMedica.

Среди достоинств паттерн-сканирующих лазерных систем выделяют: скорость, комфорт для пациента, снижение болевых ощущений, более равномерное лазерное воздействие по сравнению с коагуляцией сетчатки единичным пятном. Недостатки технологии паттерн-сканирования: необходимость использования более короткой длительности импульса, которая обладает меньшей доказательной базой, чувствительность к оптическим искажениям и движениям пациента.

При выполнении паттерн-сканирующей лазерной коагуляции хирургу необходимо помнить о том, что использование более короткой длительности импульса, по сравнению с классической лазерной коагуляцией приводит к снижению осевой и латеральной диффузии тепла. Этот эффект, по всей видимости, ответственен за снижение болевых ощущений, так как сниженная осевая диффузия тепла приводит к ограничению нагрева болевых нервных окончаний в сосудистой оболочке глаза. В то же время он приводит к изменениям в эволюции лазерных коагулятов. Согласно исследованиям коагуляты выполненный на экспозиции 20 мс со временем имеет тенденцию к уменьшению, в то время как на экспозиции 100 мс — к расширению. В связи с этим при проведении паттерн-сканирующей коагуляции рекомендовано использование большего диаметра пятна, более плотного нанесения лазерных коагулятов и большее их количество[2].

Навигационная лазерная коагуляция сетчатки

В основе концепта навигационной коагуляции сетчатки лежит идея предварительного цифрового планирования операции: фотографирование — планирование — выполнение — отчет. На этапе фотографирования хирург делает предварительную фотографию сетчатки пациента, которая служит основой для последующего планирования операции.

Цифровой план навигационной коагуляции
Цифровой план навигационной микроимпульсной лазерной коагуляции сетчатки

На этапе планирования врач может импортировать сторонние изображения с других диагностических приборов, что позволяет лучше идентифицировать сосудистые и другие аномалии, требующие коагуляции лазером. Далее врач выделяет зоны запрета, которые отслеживаются лазером как приоритетные, эти зоны блокированы от лазерного воздействия. Последним этапом врач выделает зоны и участки сетчатки, которые необходимо прицельно обработать лазером.

Следующим после планирования идет этап выполнения операции. Во время него система автоматически позиционирует лазерный луч по тем зонам, которые выделены в плане и избегает зон, блокированных от лазерного воздействия. Врач управляет фокусировкой лазера, мощностью излучения, длительностью импульса и режимом модуляции излучения (микроимпульсное или непрерывное). Выполнение каждого лазерного импульса происходит по нажатию врачом педали, после чего система автоматически переходит к следующему участку. По окончании операции делается фотография результата для послеоперационного контроля[8].

Бесконтактная коагуляция
Бесконтактная лазерная коагуляция сетчатки

Технология навигационной лазеркоагуляции позволила дополнительно ускорить выполнение операции[9], повысить точность нанесения импульсов[6][7], повысить эффективность и безопасность выполняемого лазерного лечения[10][11][12][13], уменьшить количество необходимых сеансов лазерного лечения[14], облегчить выполнения процедуры для пациента, за счет снижения болевых ощущений[15][16]. При этом навигационная технология Navilas, в отличие от паттерн-сканирующих систем, имеет возможность использования любой длительности импульса, что позволяет использовать наиболее клинически обоснованные протоколы лечения[17].

Примечания

  1. 1 2 3 4 5 6 Российская Офтальмология Онлайн. eyepress.ru. Дата обращения: 17 августа 2020. Архивировано 13 июня 2021 года.
  2. 1 2 Pascal - новая полуавтоматическая патерн-сканирующая лазерная установка. cyberleninka.ru. Дата обращения: 17 августа 2020.
  3. Global Ophthalmic Laser Manufacturer I OD-OS (англ.). www.od-os.com. Дата обращения: 17 августа 2020. Архивировано 21 сентября 2020 года.
  4. Navilas® 577s Prime: The maximum innovation in retinal laser. www.od-os.com. Дата обращения: 17 августа 2020. Архивировано 13 августа 2020 года.
  5. 1 2 3 4 Российская Офтальмология Онлайн. eyepress.ru. Дата обращения: 18 августа 2020. Архивировано 13 июня 2021 года.
  6. 1 2 Marcus Kernt, Raoul E. Cheuteu, Sarah Cserhati, Florian Seidensticker, Raffael G. Liegl. Pain and accuracy of focal laser treatment for diabetic macular edema using a retinal navigated laser (Navilas) // Clinical Ophthalmology (Auckland, N.Z.). — 2012. — Т. 6. — С. 289–296. — ISSN 1177-5483. — doi:10.2147/OPTH.S27859. Архивировано 21 сентября 2020 года.
  7. 1 2 Igor Kozak, Stephen F. Oster, Marco A. Cortes, Dennis Dowell, Kathrin Hartmann. Clinical evaluation and treatment accuracy in diabetic macular edema using navigated laser photocoagulator NAVILAS // Ophthalmology. — 2011-06. — Т. 118, вып. 6. — С. 1119–1124. — ISSN 1549-4713. — doi:10.1016/j.ophtha.2010.10.007. Архивировано 22 октября 2020 года.
  8. Navilas Retina Laser for Ophthalmology I OD-OS (англ.). www.od-os.com. Дата обращения: 19 августа 2020. Архивировано 13 августа 2020 года.
  9. Michael D. Ober, Marcus Kernt, Marco A. Cortes, Igor Kozak. Time required for navigated macular laser photocoagulation treatment with the Navilas // Graefe's Archive for Clinical and Experimental Ophthalmology = Albrecht Von Graefes Archiv Fur Klinische Und Experimentelle Ophthalmologie. — 2013-04. — Т. 251, вып. 4. — С. 1049–1053. — ISSN 1435-702X. — doi:10.1007/s00417-012-2119-0.
  10. Tamas Somoskeoy, Paritosh Shah. Safety and efficacy of the use of navigated retinal laser as a method of laser retinopexy in the treatment of symptomatic retinal tears // Eye (London, England). — 2020-06-25. — ISSN 1476-5454. — doi:10.1038/s41433-020-1050-6. Архивировано 21 сентября 2020 года.
  11. Michael A. Singer, Colin S. Tan, Krishna R. Surapaneni, Srinivas R. Sadda. Targeted photocoagulation of peripheral ischemia to treat rebound edema // Clinical Ophthalmology (Auckland, N.Z.). — 2015. — Т. 9. — С. 337–341. — ISSN 1177-5467. — doi:10.2147/OPTH.S75842. Архивировано 12 августа 2020 года.
  12. John F. Payne, Charles C. Wykoff, W. Lloyd Clark, Beau B. Bruce, David S. Boyer. Long-term outcomes of treat-and-extend ranibizumab with and without navigated laser for diabetic macular oedema: TREX-DME 3-year results // The British Journal of Ophthalmology. — 2020-04-17. — ISSN 1468-2079. — doi:10.1136/bjophthalmol-2020-316176.
  13. Tina Rike Herold, Julian Langer, Efstathios Vounotrypidis, Marcus Kernt, Raffael Liegl. 3-year-data of combined navigated laser photocoagulation (Navilas) and intravitreal ranibizumab compared to ranibizumab monotherapy in DME patients // PloS One. — 2018. — Т. 13, вып. 8. — С. e0202483. — ISSN 1932-6203. — doi:10.1371/journal.pone.0202483.
  14. Aljoscha S. Neubauer, Julian Langer, Raffael Liegl, Christos Haritoglou, Armin Wolf. Navigated macular laser decreases retreatment rate for diabetic macular edema: a comparison with conventional macular laser // Clinical Ophthalmology (Auckland, N.Z.). — 2013. — Т. 7. — С. 121–128. — ISSN 1177-5467. — doi:10.2147/OPTH.S38559. Архивировано 22 октября 2020 года.
  15. Francesca Amoroso, Alexandre Pedinielli, Polina Astroz, Oudy Semoun, Vittorio Capuano. Comparison of pain experience and time required for pre-planned navigated peripheral laser versus conventional multispot laser in the treatment of diabetic retinopathy // Acta Diabetologica. — 2020-05. — Т. 57, вып. 5. — С. 535–541. — ISSN 1432-5233. — doi:10.1007/s00592-019-01455-x. Архивировано 20 апреля 2021 года.
  16. Umit Ubeyt Inan, Onur Polat, Sibel Inan, Safiye Yigit, Zeki Baysal. Comparison of pain scores between patients undergoing panretinal photocoagulation using navigated or pattern scan laser systems // Arquivos Brasileiros De Oftalmologia. — 2016-02. — Т. 79, вып. 1. — С. 15–18. — ISSN 1678-2925. — doi:10.5935/0004-2749.20160006. Архивировано 26 сентября 2020 года.
  17. Jay Chhablani, Annie Mathai, Padmaja Rani, Vishali Gupta, J. Fernando Arevalo. Comparison of conventional pattern and novel navigated panretinal photocoagulation in proliferative diabetic retinopathy // Investigative Ophthalmology & Visual Science. — 2014-05-01. — Т. 55, вып. 6. — С. 3432–3438. — ISSN 1552-5783. — doi:10.1167/iovs.14-13936. Архивировано 12 августа 2020 года.