Клетки Березовского — Рид — Штернберга

Клетки Березовского — Рид — Штернберга — атипичные многоядерные гигантские клетки, пролиферация которых характерна для лимфогранулематоза[1].
Чаще всего образуются из В-клеток, присутствующих в герминативном центре или покинувших его. Одной из особенностей этих клеток является высвобождение ими факторов, индуцирующих накопление реактивных лимфоцитов, макрофагов и гранулоцитов, составляющих обычно более 90 % общего количества опухолевых клеток. Типичной формой клеточной гибели для этих клеток является мумификация[2].
Морфология
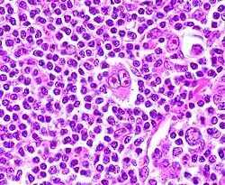
Морфологические варианты клеток Березовского — Рид — Штернберга[2]:
- Диагностические клетки: крупные (диаметром ≥ 45 мкм), много- или одноядерные, состоят из нескольких долей, содержащих «штампованные» ядрышки размером 5-7 мкм, имеют обильную цитоплазму.
- Мононуклеарные клетки: содержат одиночное ядро с большим, похожим на включение ядрышком.
- Лакунарные клетки: содержат складчатое или многодольчатое ядро, обильную бледную цитоплазму, которая часто утрачивается в процессе приготовления срезов и ядра остаются в пустой полости (лакуне).
- Лимфогистиоцитарные клетки: имеют полиплоидные ядра, плохо различимое ядрышко, умеренно обильную цитоплазму («кукурузные» клетки).
Молекулярный патогенез
В генах Ig клеток Березовского — Рид — Штернберга произошли рекомбинация V(D)J и соматическая гипермутация, что указывает на их происхождение из В-клеток. Однако, несмотря на это, клетки Березовского-Рид-Штернберга не экспрессируют большинство специфичных для В-клеток генов, включая гены Ig. На сегодняшний день мутации, способствующие образованию клеток Березовского-Рид-Штернберга, недостаточно изучены. Известно, что клетки Березовского-Рид-Штернберга секретируют цитокины (IL-5, IL-10, IL-13 и TGF-(3) и хемокины (TARC, MDC, IP-10 и CCL28), что приводит к накоплению реактивных клеток в пораженных тканях при классической лимфоме Ходжкина. Миграция реактивных клеток в опухоль приводит к продукции ими факторов, поддерживающие рост и выживаемость опухолевых клеток, и приводит к дальнейшим изменениям ответа реактивных клеток[2].
История
Лимфому Ходжкина впервые описал патологоанатом Томас Ходжкин в 1832 году. Многие годы после этого открытия исследователи, в том числе Карл Штернберг и Дороти Рид, расценивали болезнь Ходжкина как своеобразное туберкулёзное или воспалительное поражение лимфатического аппарата[3].
Карл Штернберг в 1904 году на IV съезде патологов в Вене предложил дать заболеванию название «лимфогранулематоз», чтобы подчеркнуть в названии сходство с туберкулёзом. В 1890 году ассистент госпитальной хирургической клиники Московского университета С. Я. Березовский дал подробную характеристику гигантских многоядерных клеток и предположил, что они являются специфичными для диагностики данного заболевания. Примерно в то же время Карл Штернберг также описал гигантские многоядерные клетки и счел их диагностическими для лимфомы Ходжкина. Подробную характеристику этим клеткам дала английская исследовательница Дороти Рид[3].
Примечания
- ↑ Струков А. И., Серов В. В.; под ред. Паукова В. С. Патологическая анатомия: учебник. — М. : ГЭОТАР-Медиа, 2015. — С. 880.
- ↑ 1 2 3 Кумар В., Аббас А. К., Фаусто Н., Астер Дж. К.; пер. с англ.; под ред. Е. А. Коган, Р. А. Серова, Е. А. Дубовой, К. А. Павлова. В 3 т. Том 2: главы 11-20 Основы патологии заболеваний по Роббинсу и Котрану. — М.: Логосфера, 2016.— С. 616. — Перевод изд. Robbins and Cotran Pathologic Basis of Disease, Vinay Kumar, et al., 8th ed.
- ↑ 1 2 Демина Е. А. Лимфома Ходжкина: от Томаса Ходжкина до наших дней // Клиническая онкогематология. Фундаментальные исследования и клиническая практика. — 2008. — № 2. Архивировано 5 апреля 2023 года.
Литература
- Струков А. И., Серов В. В.; под ред. Паукова В. С. Патологическая анатомия: учебник. — М.: ГЭОТАР-Медиа, 2015. — 880 с.: ил. — ISBN 978-5-9704-3260-0.
- Кумар В., Аббас А. К., Фаусто Н., Астер Дж. К.; пер. с англ.; под ред. Е. А. Коган, Р. А. Серова, Е. А. Дубовой, К. А. Павлова. В 3 т. Том 2: главы 11-20. Основы патологии заболеваний по Роббинсу и Котрану. — М.: Логосфера, 2016. — 616 с.; ил.; 21,6 см. — Перевод изд. Robbins and Cotran Pathologic Basis of Disease, Vinay Kumar, et al., 8th ed. — ISBN 978-5-98657- 053-2.