Кифосколиоз
| Кифосколиоз | |
|---|---|
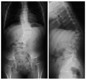
![]() Рентгеновский снимок позвоночника пациента с кифосколиозом. На проекциях хорошо видно искривление позвоночного столба вбок (сколиоз) и выпуклостью назад (увеличенный кифоз) | |
| МКБ-10 | M41 и Q67.5 |
| МКБ-9 | 737.30 и 756.19 |
Кифосколио́з (греч. kύφο – согнутый, горбатый и греч. σκολιός – кривой, лат. scoliōsis) – патологическое искривление позвоночника в сагиттальной и фронтальной плоскости, то есть одновременно в переднезаднем и боковом направлениях. Кифосколиоз сочетает в себе два заболевания – кифоз и сколиоз. Может быть как врождённым, так и приобретённым.
Классификация
Исходя из причин, вызвавших кифосколиоз, различают:
Врождённый кифосколиоз
Врождённый кифосколиоз является следствием нарушений внутриутробного развития отдельных позвонков или ребер.
Наследственный кифосколиоз
Наследственный кифосколиоз проявляется в аналогичной форме у нескольких поколений и передается по доминантному типу. Связан с такими генетическими заболеваниями, как болезнь Шейермана-Мау.
Приобретенный кифосколиоз
Причинами развития приобретенного кифосколиоза могут стать неправильная осанка, неравномерные физические нагрузки на разные части тела, психологический стресс, последствия травм и операций на позвоночнике, некоторые заболевания мышечной системы и опорно-двигательного аппарата, например, остеохондроз, опухолевые образования, рахит, полиомиелит, клещевой энцефалит, ДЦП.
Идиопатический кифосколиоз
Идиопатическим кифосколиоз называют в случаях, когда истинную причину кифосколиотического искривления установить не удаётся. Чаще всего данный вид патологии развивается у подростков в возрасте 11-15 лет в период усиленного роста. У юношей данный вид кифосколиоза встречается в четыре раза чаще, чем у девушек.
В зависимости от выраженности деформационных изменений выделяют четыре степени кифосколиоза:
- Кифосколиоз 1 степени – является искривлением с минимальным боковым смещением и скручиванием позвонков. Угол искривления позвоночника в переднезаднем направлении – 45-55°.
- Кифосколиоз 2 степени – отличается более выраженным боковым отклонением позвоночника и более заметным скручиванием. Угол искривления позвоночника в переднезаднем направлении – 55-65°.
- Кифосколиоз 3 степени – представляет собой начало необратимых деформационных процессов. Для данной степени характерна видимая деформация грудной клетки и образование реберного горба. Угол искривления позвоночника в переднезаднем направлении – 65-75°.
- Кифосколиоз 4 степени – характеризуется сильной деформацией позвоночного столба, грудной клетки и таза. Искривление сопровождается формированием переднего и заднего горба. Угол искривления позвоночника в переднезаднем направлении – более 75°.
В зависимости от направления бокового смещения позвоночника выделяют левосторонний и правосторонний кифосколиоз.
Клиническая картина
Первые признаки врождённого кифосколиоза становятся заметными по достижении ребенком 6-12 месяцев, то есть возраста, когда он начинает стоять или ходить. В это время в вертикальном положении тела у ребенка появляется едва заметный горбик, который в положении лежа исчезает. Со временем искривление становится стойким. Но на ранних стадиях развития врождённый кифосколиоз хорошо поддаётся лечению. В подростковом возрасте на развитие кифосколиоза указывают изменение осанки, усиление сутулости, боли в спине и шее, головокружения, быстрая утомляемость. Вследствие изменения формы грудной клетки возможно наличие одышки при физической нагрузке. Более поздние стадии кифосколиоза оказывает негативное влияние на состояние всего организма. Прежде всего, вторичная деформация грудной клетки приводит к нарушению функции расположенных в ней органов. В связи с ограничением подвижности грудной клетки возрастает нагрузка на дыхательные мышцы, снижается растяжимость лёгочной паренхимы, уменьшается объём лёгких. Из-за неадекватной вентиляции лёгких страдает газообмен: в крови увеличивается концентрация углекислого газа и снижается концентрация кислорода. В результате вероятно развитие лёгочной гипертензии и повреждение сердечной системы, вплоть до сердечной недостаточности и развития лёгочного сердца. Патологические искривления позвоночного столба приводят к постоянной перегрузке всех его структур и околопозвоночных мышц. В связи с этим при кифосколиозе возможно раннее развитие остеохондроза, образование протрузий и грыж межпозвоночных дисков и, как следствие, появление неврологической симптоматики. В тяжелых случаях кифосколиоз приводит к расстройству половой функции, ухудшению функционирования пищеварительной системы, недержанию мочи и кала.
Диагностика
При подозрении на кифосколиотическое искривление позвоночника необходимо пройти обследование у ортопеда. Диагноз «кифосколиоз» ставится на основании внешних признаков и данных инструментальных методов исследования. При внешнем осмотре выявляется усиленная сутулость (на поздних стадиях заболевания – горб), сужение грудной клетки и слабость мышц брюшного пресса, различная высота плеч, лопаток, асимметрия таза, видимое отклонение позвоночника от срединной линии при наклоне вперед и расширение межрёберных промежутков на противоположной боковому искривлению стороне. С помощью пальпации спины, шеи и конечностей производится оценка кожной чувствительности, сухожильных рефлексов и симметричности силы мышц. При выявлении неврологических нарушений обязательна консультация невролога. Из инструментальных методов обследования при подозрении на кифосколиоз в первую очередь проводится рентгенография позвоночника, позволяющая определить угол деформации. Наряду с двумя основными проекциями снимки могут выполняться в специальных положениях (лежа, стоя, при растягивании позвоночника). Для уточнения диагноза могут быть назначены методы послойного исследования позвоночника: магнитно-резонансная томография и компьютерная томография. При наличии симптомов нарушения работы внутренних органов может потребоваться дополнительная диагностика и консультация профильных специалистов: кардиолога, пульмонолога, гастроэнтеролога, уролога.
Лечение
Начальные степени кифосколиоза успешно поддаются консервативной терапии. Более выраженные искривления, как правило, требуют хирургического лечения.
Консервативная терапия
- Лечебная физкультура
Физические упражнения являются основным методом профилактики и коррекции кифосколиоза. Комплекс специальных упражнений для формирования и укрепления мышечного корсета, а также расслабления и растягивания отдельных групп мышц в индивидуальном порядке назначает врач. Поскольку эффективность лечебной физкультуры зависит от правильности выполнения упражнений, целесообразно проведение занятий под контролем инструктора ЛФК. Самолечение и чрезмерные нагрузки, в том числе прыжки и поднятие тяжестей, при кифосколиозе противопоказаны и могут привести к значительному ухудшению состояния.
- Ортезирование (корсетирование)
Механическая коррекция позвоночника с помощью индивидуально подобранных корригирующих ортопедических корсетов, реклинаторов и поясов для выработки правильной осанки и фиксации формы позвоночника эффективна на ранней стадии кифосколиоза.
- Физиотерапия
Физиотерапевтическое лечение применяют для снятия болевого синдрома, улучшения крово- и лимфообращения, устранения дистрофии мышц.
Грамотное воздействие на акупунктурные точки способствует избавлению от боли, нормализации кровообращения в позвоночнике, устранению застойных явлений.
Мануальные техники способствует улучшению осанки и походки, частично или полностью устраняют деформации позвонков, межпозвонковых дисков, суставов и смежных тканей.
Уникальные упражнения на специальных установках помогают укрепить корсетные мышцы и восстановить осанку.
- Лечебный массаж
Массаж назначается больным кифосколиозом с целью улучшения кровообращения, повышения пластичности мышц и активизации обменных процессов в мышечной ткани. Применяется в качестве дополняющего основной курс метода лечения.
- Медикаментозное лечение
Противовоспалительные и обезболивающие средства назначают для снятия болевого синдрома.
Лечение по методике Гитта В.Д. Включает в себя комплекс физических упражнений для изменения мышечного каркаса и восстановления хрящевой ткани.
Хирургическое лечение
Показанием к хирургическому лечению кифосколиоза являются тяжёлые случаи деформации позвоночника, сопровождающиеся выраженным болевым синдромом, прогрессирующими неврологическими нарушениями, ухудшением функций органов грудной клетки или таза. Хирургическая коррекция при кифосколиозе предусматривает установку специальных металлических конструкций: крючков, винтов и стержней, с помощью которых происходит выравнивание позвоночного столба и его локальная фиксация. В послеоперационном периоде пациенту в течение нескольких месяцев показано ношение гипсового корсета. Современные конструкции не требуют ношения гипсового корсета.
Прогноз
Благоприятность прогноза зависит от степени кифосколиоза и скорости прогрессирования заболевания. В большинстве случаев при кифосколиозе 1 и 2 степени удается добиться полного устранения искривления позвоночного столба. Однако стоит учитывать, что это возможно лишь до окончания периода активного роста человека, то есть до 13-15 лет, а потому очень важна своевременность всех проводимых мероприятий как в плане диагностики кифосколиоза, так и в плане его лечения. При кифосколиозе 3 и 4 степени прогноза менее благоприятный. Полное выпрямление позвоночника в подобных случаях практически невозможно. Однако адекватное лечение способно остановить прогрессирование деформации, а в ряде случаев можно провести частичную коррекцию.
