Инфаркт лёгкого
| Инфаркт лёгкого | |
|---|---|
| Инфаркт лёгкого, обнаруженный при вскрытии. | |
| МКБ-9 | 415.19 |
| DiseasesDB | 30749 |
| MeSH | D054060 |
Инфа́ркт лёгкого (лёгочный инфаркт) — заболевание, возникающее при блокировке лёгочной артерии, от чего часть лёгкого воспаляется[1]. Инфаркт лёгкого вызывается тромбоэмболией лёгочной артерии.
Благодаря двойному кровоснабжению лёгких как из бронхиального, так из лёгочного кровотока, ткань лёгкого более устойчива к инфаркту. Закупорка бронхиального кровообращения не вызывает инфаркта, но всё же он может возникать при тромбоэмболии лёгочной артерии, когда лёгочное кровообращение заблокировано и бронхиальное кровообращение не может полностью его компенсировать[2].
-
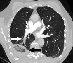
Компьютерная томография инфаркта лёгкого на фоне хронической тромбоэмболии легочной артерии (белая стрелка). Область инфаркта (чёрная стрелка) имеет обратный знак ореола.
Примечания
- ↑ Philip T. Cagle. Color atlas and text of pulmonary pathology. — 2. — Philadelphia : Lippincott Williams & Wilkins, 2008. — P. 291. — ISBN 9780781782081. Источник. Дата обращения: 22 сентября 2020. Архивировано 11 июня 2021 года.
- ↑ Thomas H. McConnell. The Nature of Disease: Pathology for the Health Professions. — Lippincott Williams & Wilkins, 2007. — P. 81–. — ISBN 978-0-7817-5317-3. Источник. Дата обращения: 22 сентября 2020. Архивировано 27 апреля 2021 года.
Литература
Фтизиатрия. — С. 256.