Заворот кишки

Заворот кишки
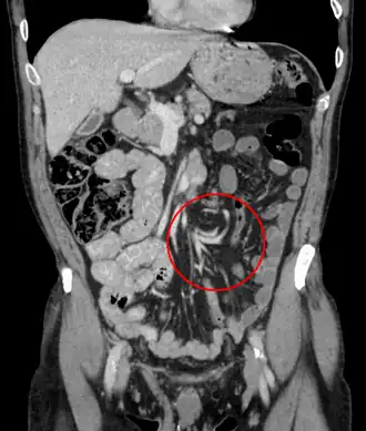
Корональная КТ органов брюшной полости, демонстрирующая заворот в виде скручивания кишечных петель
Специальность Общая хирургия
Симптомы Боли в животе, вздутие живота, рвота, запор, кровь в стуле[1][2]
Осложнение Ишемия кишечника[1]
Обычное начало Острое или постепенное[2]
Факторы риска Неполный поворот кишки, увеличение толстая кишка, Болезнь Гиршпрунга, брюшинные спайки, хронический запор[1][3]
Метод диагностики Медицинская визуализация (обзорная рентгенография, Рентгеновские исследования ЖКТ, Компьютерная томография)[1]
Лечение Ректороманоскопия, резекция кишки[3]
Частота 2.5 на 100,000 в год[2][4]

Заворот кишки — состояние, при котором петля кишечника закручивается вокруг себя и поддерживающей её брыжейки, что приводит к развитию кишечной непроходимости[1]. Симптомы включают боль в животе, вздутие живота, рвоту, запор и кровь в стуле[1][2]. Дебют симптомов может быть острым или постепенным[2]. Брыжейка может перекручиваться настолько туго, что прекращается приток крови к части кишечника и развивается ишемия кишечника[1]. В этой ситуации может появиться лихорадка или значительная боль при прикосновении к животу[2].

Факторы риска включают врожденный дефект, известный как неполный поворот кишечника, увеличение толстой кишки, болезнь Гиршпрунга и спайки брюшной полости[1]. Длительные запоры и диета с высоким содержанием клетчатки также могут увеличить риск[3]. Наиболее вовлекаемой частью кишечника у взрослых является сигмовидная кишка; на втором месте по степени поражения находится слепая кишка[1]. У детей чаще всего поражается тонкая кишка[5]. Также может пострадать желудок[6]. Диагноз обычно устанавливается с помощью медицинской визуализации, такой как снимки обзорной рентгенографии живота, серийная рентгеноскопия желудочно-кишечного тракта или компьютерная томография[1].

Разрешение заворота сигмовидной кишки в некоторых случаях может наступить во время проведения ректороманоскопии или ирригационной клизмы[3]. Из-за высокого риска рецидива обычно рекомендуется резекция кишечника в течение двух последующих дней[3]. Если кишечник сильно перекручен или прекращено кровоснабжение, требуется немедленная операция[1]. При завороте слепой кишки часто требуется хирургическое удаление части кишечника[3]. Если слепая кишка все ещё жизнеспособна, в некоторых случаях её можно вернуть и подшить в нормальном положении[1][3].

Случаи заворота были описаны в Древнем Египте ещё в 1550 г. до н.э[3]. Чаще всего заболевание встречается в Африке, на Ближнем Востоке и в Индии[3]. Частота встречаемости заворота кишки в Соединённых Штатах составляет около 2-3 случаев на 100 000 человек в год[2][4]. Заворот сигмовидной и слепой кишки обычно возникает в возрасте от 30 до 70 лет[1][7] Исходы заболевания зависят от того, произошла ли гибель ткани кишечника[2]. Термин volvulus происходит от латинского «volvere»; что означает «катиться»[3].

Примечания

  1. 1 2 3 4 5 6 7 8 9 10 11 12 13 Anatomic Problems of the Lower GI Tract. NIDDK (июль 2013). Дата обращения: 3 августа 2016. Архивировано 28 июля 2016 года.
  2. 1 2 3 4 5 6 7 8 Marx, John. 95 // Rosen's Emergency Medicine - Concepts and Clinical Practice : [англ.] / John Marx, Ron Walls, Robert Hockberger. — Elsevier Health Sciences, 2013. — ISBN 1455749877.
  3. 1 2 3 4 5 6 7 8 9 10 Gingold, D; Murrell, Z (December 2012). Management of colonic volvulus. Clinics in colon and rectal surgery. 25 (4): 236–44. doi:10.1055/s-0032-1329535. PMC 3577612. PMID 24294126.
  4. 1 2 Gordon, Philip H. Principles and Practice of Surgery for the Colon, Rectum, and Anus, Third Edition : [англ.] / Philip H. Gordon, Santhat Nivatvongs. — CRC Press, 2007. — P. 971. — ISBN 9781420017991. Архивная копия от 14 октября 2022 на Wayback Machine
  5. Wilkins, Lippincott Williams &. Professional Guide to Diseases : [англ.]. — Lippincott Williams & Wilkins, 2009. — P. 283. — ISBN 9780781778992.
  6. Feldman, Mark. Sleisenger and Fordtran's Gastrointestinal and Liver Disease: Pathophysiology, Diagnosis, Management, Expert Consult Premium Edition - Enhanced Online Features : [англ.] / Mark Feldman, Lawrence S. Friedman, Lawrence J. Brandt. — 9. — Elsevier Health Sciences, 2010. — P. 384. — ISBN 1437727670.
  7. Beck, David. 23 // Handbook of Colorectal Surgery: Third Edition : [англ.] / David Beck, David E. Beck. — JP Medical Ltd, 2012. — ISBN 9781907816208.