Дистрофия роговицы Шнайдера

Дистрофия роговицы Шнайдера
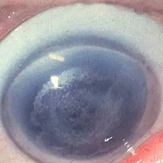
Роговичная дистрофия Шнайдера. Помутнения кристаллического характера заметны в центральной части роговицы. (Снимок получен доктором G.N. Foulks)
Роговичная дистрофия Шнайдера. Помутнения кристаллического характера заметны в центральной части роговицы. (Снимок получен доктором G.N. Foulks)
МКБ-10-КМ H18.5
OMIM 121800
eMedicine article/1196212 
MeSH C535475 и C535475
Логотип Викисклада Медиафайлы на Викискладе

Кристаллическая дистрофия роговицы Шнайдера (англ. Schnyder crystalline corneal dystrophy, SCCD) — редкая форма дистрофии роговой оболочки глаза. Болезнь вызывается мутациями гена UBIAD1. Первые описания кристаллической дистрофии датируются 1950-ми годами.[1]

Альтернативные названия (англ.)

  • Crystalline stromal dystrophy
  • Schnyder crystalline dystrophy sine crystals
  • Hereditary crystalline stromal dystrophy of Schnyder

Примечания

  1. Fry W.E., Pickett W.E. Crystalline Dystrophy of the Cornea (неопр.) // Trans Am Ophthalmol Soc. — 1950. — Т. 48. — С. 220—227. — PMID 16693508. — PMC 1312847.