Диабетическая нефропатия
| Диабетическая нефропатия | |
|---|---|
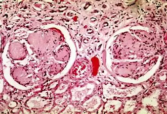
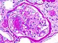
![]() Микрофотография узелкового гломерулосклероза при синдроме Киммельстил-Уилсона. | |
| МКБ-10 | E10.2, E11.2, E12.2, E13.2, E14.2 |
| МКБ-9 | 250.4 |
| МКБ-9-КМ | 583.81[1], 250.40[1] и 250.4[1] |
| MedlinePlus | 000494 |
| MeSH | D003928 |
Диабети́ческая нефропа́тия (от др.-греч. διαβαίνω, — «перехожу, пересекаю», др.-греч. νεφρός — «почка» и др.-греч. πάθος — «страдание, болезнь») (нефропатия при сахарном диабете, синдром Киммельстила-Уилсона, диабетический гломерулосклероз) — термин, объединяющий весь комплекс поражений артерий, артериол, клубочков и канальцев почек, возникающих в результате нарушения метаболизма углеводов и липидов в тканях почки. Распространённость диабетической нефропатии достигает 75% лиц с сахарным диабетом, чаще других наблюдается следующая патология почек[2]:
- Артериосклероз почечной артерии и её ветвей.
- Артериолосклероз.
- Диабетический «гломерулосклероз»:
- а) узелковый (синдром Киммельстил-Уилсона);
- б) диффузный;
- в) экссудативный.
- Отложение гликогена, жира и мукополисахаридов в канальцах.
- Пиелонефрит.
- Некротизирующий почечный папиллит.
- Некронефроз.
Патогенез
Основой диабетической нефропатии является нефроангиосклероз почечных клубочков, чаще диффузный, реже узелковый (хотя именно узелковый гломерулосклероз был впервые описан Киммельстил и Уилсоном в 1936 году как специфичное проявление диабетической нефропатии). Патогенез диабетической нефропатии сложен, предложено несколько теорий её развития, наиболее изучены три из них:
- метаболическая,
- гемодинамическая,
- генетическая.
Метаболическая и гемодинамическая теории роль пускового механизма отводят гипергликемии, а генетическая — наличию генетической предрасположенности[3].
Морфология
-
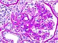
Гистопатологическая картина диабетического гломерулосклероза с нефротическим синдромом. -
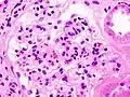
Гистопатологическая картина диабетического гломерулосклероза с нефротическим синдромом. Другой почечный клубочек. -
Гистопатологическая картина диабетического гломерулосклероза с нефротическим синдромом. Другой почечный клубочек. -
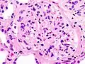
Гистопатологическая картина диабетического гломерулосклероза с нефротическим синдромом. -
Гистопатологическая картина диабетического гломерулосклероза с нефротическим синдромом. -
Гистопатологическая картина диабетического гломерулосклероза с нефротическим синдромом. -
Гистопатологическая картина диабетического гломерулосклероза с нефротическим синдромом.
Клиническая картина
Бессимптомное течение заболевания на ранних стадиях приводит к запоздалой диагностике диабетической нефропатии на поздних стадиях. Поэтому у всех пациентов с сахарным диабетом рекомендуется проведение ежегодного скрининга для раннего выявления диабетической нефропатии[4] (анализ крови на креатинин с расчетом скорости клубочковой фильтрации и анализ мочи). В значительном числе случаев при сахарном диабете 2 типа больные изначально обращают внимание на симптомы сахарного диабета (полиурию, кожный зуд, жажду и другие), что вынуждает их обращаться к эндокринологам, а не нефрологам. Выраженность клинических симптомов при диабетической нефропатии (отёки, артериальная гипертензия), ответ на лечение и скорость прогрессирования почечной дисфункции во многом зависит от уровня альбумина в моче и скорости клубочковой фильтрации. При развитии хронической почечной недостаточности и выраженном снижении скорости клубочковой фильтрации замедляется выведение ряда сахароснижающих препаратов и скорость катаболизма инсулина в почках, поэтому следует уделять особое внимание подбору адекватного режима дозирования инсулина и сахароснижающих препаратов[4], чтобы избежать развития гипогликемических состояний.
Синдром Киммельстила-Уилсона
Синдром Киммельстил-Уилсона (диабетический гломерулосклероз) — узелковая форма гломерулосклероза, специфическая для сахарного диабета, получила название в честь патологоанатомов Киммельстил и Уилсона, обнаруживших и описавших в 1936 году своеобразное узелковое склеротическое поражение клубочков почек у лиц с сахарным диабетом. При диабете наблюдаются диффузный и узелковый варианты поражения почечных клубочков. Узелковая форма, описанная Киммельстил и Уилсоном, чаще встречается при сахарном диабете 1-го типа уже вскоре после манифестации заболевания, постепенно прогрессирует, приводя в итоге к диабетическому гломерулосклерозу и развитию ХПН. В клинической практике термином «синдром Киммелльстил-Уилсона» характеризуют нефросклеротическую, азотемическую стадию поражения почек при сахарном диабете. Последнее время этим термином пользуются реже, пользуясь диагнозом «Диабетическая нефропатия, хроническая болезнь почек 5 стадии» (Ефимов А. С. и соавт.)[3].
Диагностика
В диагностике диабетической нефропатии и определении прогноза лечения необходимо ориентироваться на два показателя: альбуминурию и скорость клубочковой фильтрации.
Ранним признаком диабетической нефропатии является выявление повышенной экскреции альбумина с мочой (альбуминурии), превышающей нормальные значения (до 30 мг/сутки или менее 20 мкг/минуту в разовой порции мочи). В настоящее время не рекомендуется использовать термины микроальбуминурия (соответствующая экскреции альбумина от 30 до 300 мг/сутки) и макроальбуминурия (экскреция более 300 мг/сутки), а вместо этого использовать градации А2 и А3 современной классификации KDIGO[5], которые в числовом выражении соответствуют терминам микро- и макроальбуминурия. Альтернативной суточному определению альбуминурии может быть экспресс-диагностика с помощью тест-полосок (которая может давать ложно-положительные или ложно-отрицательные результаты), либо более точное определение соотношения альбумин/креатинин в утренней порции мочи (показатель менее 3 мг/ммоль считается нормальным, значения от 3 до 30 соответствуют градации альбуминурии А2, значения выше 30 мг/ммоль соответствуют градации А3)[5].
На ранних стадиях диабетической нефропатии возможно выявление повышенной скорости клубочковой фильтрации (140 мл/минуту/1,73м2 и более), которая при прогрессировании почечной дисфункции снижается. В настоящее время[5] для расчета скорости клубочковой фильтрации рекомендуется использовать специальные формулы (у взрослых: CKD-EPI, MDRD, менее предпочтительна формула Кокрофта-Голта, у детей: формула Шварца) с учетом концентрации креатинина крови. В ряде случаев предпочтительно определение скорости фильтрации на основании клиренса экзогенных препаратов, тогда как использование пробы Реберга-Тареева с определением клиренса эндогенного креатинина за сутки практически не используется.
Лечение
Главным условием является лечение диабета. Существенную роль играет нормализация артериального давления и липидного метаболизма, одним из основных лечебных мероприятий является диета[5][6][7]. При развитии диабетической нефропатии показано назначение нефропротективной терапии, аналогично почечной патологии другой этиологии.
Диетотерапия при развитии диабетической нефропатии
Диета должна ограничивать простые углеводы, и содержать достаточное количество белка (0,8 г/кг массы тела/сут)[6]. Жидкость нельзя ограничивать, но обязательно следует добавлять несладкие соки, содержащие калий. При выраженном снижении скорости клубочковой фильтрации следует рассмотреть вопрос перехода на низкобелковую диету (но не менее 30—40 грамм в сутки) под обязательным регулярным контролем врача и обеспечении достаточной калорийности пищи (последнее необходимо чтобы не допустить развития белково-энергетической недостаточности). При сочетании диабетической нефропатии и артериальной гипертензии важно придерживаться малосолевой диеты (менее 5 г/сутки поваренной соли, что соответствует менее 2 г/сутки элементарного натрия)[5].
Профилактика
Единственным надёжным фактором профилактики диабетической нефропатии и основой лечения всех её стадий является оптимальная компенсация сахарного диабета (уровень гликозилированного гемоглобина HbA1C < 7,0%)[3].
Первичная профилактика
Профилактика микроальбуминурии. К факторам риска развития микроальбуминурии относят[3]:
- уровень гликозилированного гемоглобина HbA1C > 7,0%,
- мужской пол,
- длительность течения сахарного диабета 1-го типа более 5 лет (при СД-2 типа появление микроальбуминурии связано с первичным поражением эндотелия клубочков и может появляться задолго до манифестации диабета),
- манифестация сахарного диабета 1-го типа в возрасте до 20 лет (при СД-2 типа возраст значения не имеет),
- отягощённую наследственность по гипертонической болезни,
- полиморфизм гена АПФ (ангиотензин превращающего фермента), кодирующего киназу II типа),
- высокий Na/Li противотранспорт в эритроцитах (более 400 мкмоль/Li/л клеток/ч),
- скорость клубочковой фильтрации более 140 мл/мин для СД-1 типа (для СД-2 типа не установлено),
- отсутствие функционального почечного резерва (СД-1 типа),
- гиперлипидемию,
- наличие ретинопатии,
- курение.
Вторичная профилактика
Замедление прогрессирования нефропатии у пациентов с уже повышенным уровнем альбумина в моче и/или сниженной скоростью клубочковой фильтрации. Включает[5][6][7]:
- контроль гликемии,
- контроль уровня артериального давления,
- нормализацию липидного профиля крови,
- нормализацию внутрипочечной гемодинамики с помощью блокаторов ренин-ангиотензин-альдостероновой системы (в настоящее время убедительные доказательства эффективности имеются для блокаторов ангиотензин-превращающего фермента и блокаторов рецепторов ангиотензина II,
- низкобелковую диету (требует обязательного врачебного контроля).
Третичная профилактика
Лечение диабетической нефропатии на стадии протеинурии. На этой стадии необходимо минимизировать риск быстрого развития ХПН, к факторам которого относятся[3]:
- плохая компенсация углеводного обмена (HbA1C > 8,0%),
- артериальная гипертония (АД > 130/85 мм Hg),
- гиперлипидемия (уровни общего холестерина > 6,5 ммоль/л, триглицеридов > 2,3 ммоль/л),
- высокая протеинурия (> 2 грамм в сутки),
- высокобелковая диета (более 1 г белка на кг массы тела в день),
- отсутствие систематического антигипертензивного лечения блокаторами РААС.
См. также
- Пиелонефрит
- Гломерулосклероз
Примечания
- ↑ 1 2 3 Monarch Disease Ontology release 2018-06-29 — 2018-06-29 — 2018.
- ↑ Детская нефрология / Игнатова М. С., Вельтищев Ю. Е. — 2-е изд., перераб. и доп. — Л.: Медицина, 1989. — С. 287-290.. — 456 с. — 60 000 экз. — ISBN 5-225-00059-2.
- ↑ 1 2 3 4 5 Малая энциклопедия врача-эндокринолога / Ефимов А. С. — 1-е изд. — Киев: Медкнига, ДСГ Лтд, Киев, 2007. — С. 149—163. — 360 с. — («Библиотечка практикующего врача»). — 5000 экз. — ISBN 966-7013-23-5.
- ↑ 1 2 Medical Care in Diabetes - Clinical Practice Recommendations. Diabetes Care, Volume 36, Supplement 1, 2013
- ↑ 1 2 3 4 5 6 Kidney Disease: Improving Global Outcomes (KDIGO) CKD Work Group. KDIGO 2012 Clinical Practice Guideline for the Evaluation and Management of Chronic Kidney Disease. Kidney international, Suppl.2013; 3: 1–150
- ↑ 1 2 3 KDOQI Clinical Practice Guidelines and Clinical Practice Recommendations for Diabetes and Chronic Kidney Disease. Am J Kidney Dis, 2007: 49 (Suppl 2):S12-154
- ↑ 1 2 KDOQI Clinical Practice Guideline for Diabetes and CKD: 2012 Update. Am J Kidney Dis, 2012: 60(5): 850-886
Ссылки
Перевод на русский язык обновления рекомендаций KDOQI 2012 года по лечению пациентов с сахарным диабетом и диабетической нефропатией Архивная копия от 4 мая 2014 на Wayback Machine
