Десквамативная интерстициальная пневмония
| Десквамативная интерстициальная пневмония | |
|---|---|
| |
| МКБ-11 | CB03.3 |
| МКБ-10 | J84.9 |
| МКБ-10-КМ | J84.117, J84.115 и J84.1 |
| МКБ-9-КМ | 516.37[1][2] и 516.34[1][2] |
| OMIM | 263000 |
| MeSH | C562470 |
Десквамативная интерстициальная пневмония (ДИП) —довольно редкое заболевание из группы ИИП, которое характеризуется мононуклеарно-клеточной инфильтрацией просвета альвеол[3].
В первые ДИП было описано в 1965 году[4].
Эпидемиология
Эпидемиология ДИП изучена плохо. Известно, что чаще всего страдают люди среднего возраста 40-48, которые на протяжении длительного времени курили.
Патоморфология
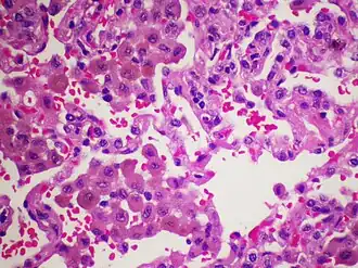
Ключевым признаком данного заболевания является содержание большого количества макрофагов в просвете альвеол. Альвеолярные перегородки инфильтрированы лимфоцитами, эозинофилами, иногда мезенхимальными клетками, однако, фиброз либо отсутствует, либо выражен не значительно[5]. Поражена практически вся легочная паренхима[3].
Клиническая картина
Основные клинические симптомы при ДИП:
- одышка (в начале заболевания возникает при физической нагрузке, при прогрессировании патологии — в покое);
- сухой кашель;
- крепитация;
- симптом «барабанных палочек»;
- боли в грудной клетки.
Диагностика
Диагноз ДИП ставится на основании клинической картины, эпидемиологических факторах (курение, возраст), лабораторных и инструментальных методах исследования.
Ключевыми инструментальными методами исследования являются:
- рентгенологическое исследование грудной клетки - картина "матового стекла";
- ФВД - снижение диффузной способности газов в легких;
- биопсия легких (при сомнительной картине)[3].
Лечение
Первым и, наверное, главным шагом является отказ от курения, который приводит к обратному развитию заболевания. Основным медикаментозным лечением являются глюкокортикоиды (преднизолон).
Примечания
- ↑ 1 2 Disease Ontology (англ.) — 2016.
- ↑ 1 2 Monarch Disease Ontology release 2018-06-29 — 2018-06-29 — 2018.
- ↑ 1 2 3 А. Г. Чучалин. Респираторная медицина. Том 3. — Издательство «Литтерра». — Издательство «Литтерра», 2017. — С. 18-22. — 464 с. — ISBN 978-5-4235-0272-0.
- ↑ A A LIEBOW, A STEER, J G BILLINGSLEY. DESQUAMATIVE INTERSTITIAL PNEUMONIA. Архивировано 18 октября 2020 года.
- ↑ Ю. И. Фещенко, В. К. Гаврисюк, Н. Е. Моногарова. [http://www.ifp.kiev.ua/doc/journals/upj/07/pdf07-2/5.pdf ИДИОПАТИЧЕСКИЕ ИНТЕРСТИЦИАЛЬНЫЕ ПНЕВМОНИИ: КЛАССИФИКАЦИЯ, ДИФФЕРЕНЦИАЛЬНАЯ ДИАГНОСТИКА] // Український пульмонологічний журнал. — 2007. Архивировано 24 июля 2020 года.
_2.jpg)