Дерево в почках
| Дерево в почках | |
|---|---|
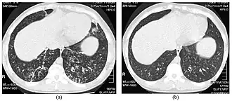
Инфекционный бронхиолит. КТ-скан наддиафрагмальных отделов грудной полости до и после лечения. | |
| Вид исследования | компьютерная томография |
| Область исследования | грудная клетка |
| Заболевания | бронхиолит |
«Дерево в почках» (англ. Tree-in-bud sign)[1] — радиологический симптом поражения терминальных отделов бронхиального дерева. Представляет собой мелкие центрилобулярные разветвлённые Y- или V-образные структуры толщиной до 1-2 мм с утолщениями на концах.
Морфологическим субстратом этих центрилобулярных узелков является утолщение стенок бронхиол и заполнение их расширенного просвета слизью или гноем (что позволяет визуализировать эти невидимые в норме анатомические структуры). Данная КТ-картина может выявляться как при эндобронхиальном распространении инфекционного процесса, так и при неинфекционных заболеваниях (силикоз, антракоз).
Примечания
- ↑ «Дерево в почках» в глоссарии «Новостей лучевой диагностики». Дата обращения: 30 января 2012. Архивировано 28 декабря 2014 года.
Источники
- И.Е. Тюрин. Дифференциальная диагностика очаговых изменений в легких при тонкослойной компьютерной томографии. Пульмонология и аллергология (2009). Дата обращения: 29 января 2012. Архивировано 18 мая 2012 года.
- Edith Eisenhuber. The Tree-in-Bud Sign. (англ.). Radiology (2002). Дата обращения: 29 января 2012. Архивировано 18 мая 2012 года.
