Гепатоспленомегалия
| Hepatosplenomegaly | |
|---|---|
| |
| МКБ-11 | ME10.02 |
| МКБ-10 | R16.2 |
| МКБ-9 | 571.8 |
| MedlinePlus | 003275 |
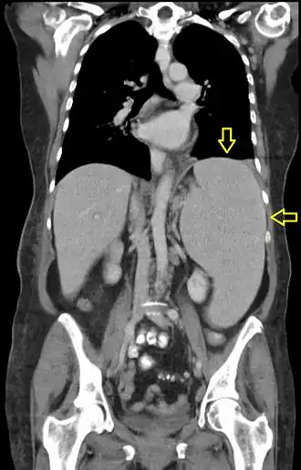
Гепатоспленомегалия (лат. Hepatosplenomegaly) — синдром, характеризующийся одновременным увеличением селезёнки и печени[1]. Диагностируется методами пальпации и перкуссии, а также при ультразвуковом или КТ-исследовании. Визуально при данном синдроме в области правого подреберья может наблюдаться выбухание, смещающееся при вдохе, обусловленное увеличенной печенью.
Основная особенность гепатоспленомегалии — это признаки начинающегося гиперспленизма: тромбоцитопения, эритроцитопения, лейкопения, обнаруживающиеся в клиническом анализе крови[2].
Причины
Инфекционные заболевания
- Острый вирусный гепатит
- Малярия
- Краснуха
- Цитомегаловирус
- Инфекционный мононуклеоз
- Лейшманиоз
- Фасциолёз
- Шистосомоз
Гематологические болезни
- Миелопролиферативные опухоли
- Лейкемия
- Серповидноклеточная анемия
- Талассемия
- Миелофиброз
- Лимфома
- Злокачественная анемия
Нарушение обмена веществ
- Болезнь Ниманна — Пика
- Болезнь Пфаундлера — Гурлер
- Болезнь Гоше
- Акромегалия
- Хронические заболевания печени и портальной гипертензии
- Саркоидоз
- Амилоидоз
Аутоиммунные заболевания
См. также
- Гепатомегалия — патологическое увеличение размеров печени.
Примечания
- ↑ Гепатоспленомегалия — что это такое? Дата обращения: 15 апреля 2014. Архивировано 16 апреля 2014 года.
- ↑ Гепатоспленомегалия причины и лечение " Luxmama. ru. Дата обращения: 15 апреля 2014. Архивировано из оригинала 16 апреля 2014 года.
.jpg)