Гемоспоридии
| Гемоспоридии | ||||||||
|---|---|---|---|---|---|---|---|---|
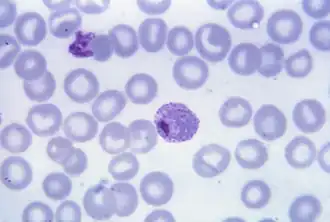
![]() Трофозоит малярийного плазмодия в эритроците | ||||||||
| Научная классификация | ||||||||
|
Домен: Эукариоты Клада: Клада: Sar Клада: Тип: Класс: Aconoidasida Отряд: Гемоспоридии |
||||||||
| Международное научное название | ||||||||
| Haemospororida Danilewsky, 1885 | ||||||||
| Синонимы | ||||||||
|
||||||||
| Семейства[1] | ||||||||
|
||||||||
| ||||||||
Гемоспори́дии, или кровяны́е споровики́[2] (лат. Haemospororida), — отряд протистов из типа Apicomplexa. Внутриклеточные паразиты со сложным жизненным циклом, включающим обязательную смену хозяев. Насчитывают свыше 500 видов, объединяемых в 15 родов[3]. Среди представителей рода Plasmodium есть опасные паразиты человека, вызывающие малярию.
Жизненный цикл
В качестве основного хозяина гемоспоридий выступают кровососущие двукрылые, в качестве промежуточного — позвоночные (пресмыкающиеся, птицы или млекопитающие)[1]. Согласно традиционным представлениям, переход паразита от одного хозяина к другому осуществляется исключительно во время питания насекомого на жертве: позвоночные заражаются в результате попадания в кровь слюны двукрылого, двукрылые — при заглатывании содержащей паразитов крови[1]. Существует предположение, что некоторые рептилии могут заражаться иначе — при поедании насекомых[1].
Попавшие в кровь позвоночного спорозоиты приступают к интенсивному бесполому размножению — мерогонии, или шизогонии[1]. На первых этапах мерогония протекает вне кровяного русла (например, для некоторых Plasmodium характерно заражение клеток паренхимы печени), позже меронты заражают эритроциты[1]. После лавинообразного увеличения численности, часть паразитов прекращает деление и переходит к образованию половых стадий — гамогонии[1]. На этом этапе гемоспоридии проявляют половой диморфизм, в частности, находящиеся в эритроцитах макрогамонты и микрогамонты отличаются по окраске[1]. Когда такие эритроциты попадают в кишечник насекомого, гамонты преобразуются в гаметы: макрогамонт превращается в единственную макрогамету, тогда как микрогамонт делится с образованием восьми обладающих жгутиками микрогамет и остаточного тела[1]. Гаметы покидают эритроциты и сливаются в просвете кишечника насекомого[1]. Подвижная зигота — оокинета — мигрирует под эпителий кишечника, где хозяин образует вокруг неё капсулу[1]. Под её оболочками зигота приступает к спорогонии — претерпевает мейотическое деление, образуя несколько спорозоитов, которые мигрируют в слюнные железы двукрылого[1].
Значение для ветеринарии
Гемоспоридиозы домашних животных объединяют большую группу болезней, возбудителями которых служат беспигментные простейшие, относимые условно к гемоспоридиям, паразитирующим обычно в эритроцитах. Это трансмиссивные заболевания. В результате инвазии у животных нарушаются все системы организма, что сопровождается специфическими клиническими признаками. При отсутствии своевременной врачебной помощи заболевания могут закончиться гибелью животных[4].
Примечания
- ↑ 1 2 3 4 5 6 7 8 9 10 11 12 Валькюнас Г. Отряд Haemosporida Danilewsky, 1885 — Гемоспоридии. В кн.: Протисты. Руководство по зоологии. — СПб.: Наука, 2007. — Ч. 2. — 1144 с.
- ↑ Гемоспоридии : [арх. 3 января 2023] / Карпов С. А. // Восьмеричный путь — Германцы. — М. : Большая российская энциклопедия, 2006. — С. 528. — (Большая российская энциклопедия : [в 35 т.] / гл. ред. Ю. С. Осипов ; 2004—2017, т. 6). — ISBN 5-85270-335-4.
- ↑ Martinsen E. S., Perkins S. L., Schall J. J. (2008). A three-genome phylogeny of malaria parasites (Plasmodium and closely related genera): Evolution of life-history traits and host switches. Molecular Phylogenetics and Evolution 47: 261—273. doi:10.1016/j.ympev.2007.11.012.
- ↑ Ершов В. С. и др. Паразитология и инвазионные болезни сельскохозяйственных животных. — М., 1959. — 492 с.
