Гемифациальный спазм

Гемифациальный спазм
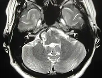
Аксиальная МР-томограмма. Конфликт артериального сосуда с правым лицевым нервом. Клиническая картина: правосторонний гемифациальный спазм.
Аксиальная МР-томограмма. Конфликт артериального сосуда с правым лицевым нервом. Клиническая картина: правосторонний гемифациальный спазм.
МКБ-10 G51.3 (клонический гемифациальный спазм)
OMIM 141405
DiseasesDB 33934
MeSH D019569
Логотип Викисклада Медиафайлы на Викискладе

Гемифациальный спазм (лицевой гемиспазм, фациальный гемиспазм) — заболевание, проявляющееся безболезненными непроизвольными односторонними тоническими или клоническими сокращениями лицевой мускулатуры, иннервируемой ипсилатеральным лицевым нервом[неизвестный термин].[1][2]

История

В 1875 году F.Schultze описал клинику одностороннего лицевого спазма, причиной которого являлась аневризма левой позвоночной артерии[3].

Подробное описание клинической картины ГФС принадлежит французскому неврологу E.Brissaud[4]. Уже в XIX веке ГФС рассматривался исследователями как отдельная нозологическая единица и выделялся из группы других лицевых гиперкинезов. За прошедшие 100 лет с момента публикации классических описаний ГФС была выявлена этиология этого заболевания и разработаны эффективные методы лечения. Однако заслуживает внимания следующий факт: в 2004 г. E.Tan с соавт. продемонстрировали видеозапись пациента, страдающего ГФС, 203 семейным врачам — только 9,4 % из них смогли правильно поставить диагноз и 46,3 % врачей смогли правильно выбрать тактику дальнейшего ведения этого пациента[5]. Врачи первичного звена плохо информированы об этом заболевании, не могут назначить адекватное лечение и направить пациента к соответствующему специалисту.

Клиническая картина гемифациального спазма

Гемифациальный спазм имеет характерную клиническую картину, в основе диагностики лежит тщательный неврологический осмотр пациента, по меткому выражению N.Goldstein: "В игре в бридж существует старое выражение «лучше один раз подглядеть карты соперника, чем сделать два хитроумных хода»; в неврологии, как и игре в бридж, один взгляд на аномальные движения лица или конечностей намного полезнее, чем их длинные описания «[6].

В классических случаях приступ гемифациального спазма начинается с редких сокращений круговой мышцы глаза, затем, постепенно прогрессируя, приступ спазма затрагивает всю половину лица, частота сокращения мышц нарастает и достигает такой степени, что пациент не может видеть глазом пораженной стороны (типичный гемифациальный спазм). При атипичном и вторичном гемифациальном спазме приступ начинается с сокращения мышц щеки, далее спазм распространяется вверх по лицу[7]. Приступы спазма возникают спонтанно и могут сохраняться даже во время сна, провоцируются переутомлением, стрессом, тревожным состоянием.

В 1905 г. французский невролог J.Babinski описал парадоксальную синкинезию мышц лица при гемифациальном спазме: „На стороне спазма m. orbicularis oculi сокращается, глаз закрывается, в это время внутренняя часть m. frontalis на стороне поражения также сокращается, что приводит к подниманию брови во время смыкания глазной щели“[8]. J.Devoize назвал этот симптом „the other Babinski’s sign“ („другой симптом Бабинского“, чтобы отличать его от симптома Бабинского при поражении пирамидного тракта), некоторые авторы считают его патогномоничным для ГФС[9]. Описанная синкинезия характерна для гемиспазма, и не встречается при других лицевых гиперкинезах, например, при блефароспазме[10]. Спустя длительное время после начала заболевания у пациентов может развиваться умеренный парез лицевой мускулатуры на стороне поражения. Слабость мышц лица объективно выявляется при тестировании мышц век в 47 % случаев и в 77 % при оценке силы других мышц лица[11]. Двухсторонний гемиспазм встречается крайне редко, частота встречаемости в клинических сериях наблюдений 0,6-5 %.

Описание гемифациального спазма в мировой художественной литературе и изображения в кинематографе

….. Прокурор с весьма черными густыми бровями и несколько подмигивавшим левым глазом … человека, впрочем, серьёзного и молчаливого …с вечно неподвижною своей физиономией, густыми бровями и моргавшим глазом.

Николай Гоголь, Мертвые души (1852 г.)

Гемиспазмом страдал следователь Порфирий Петрович в романе Ф. М. Достоевского Преступление и наказание.

Учитель Китано (Такэси Китано) из фильма Королевская битва (2000 год) также страдает лицевым гемиспазмом. Интересно, что актёр Такэси Китано страдает не первичным, а постпаралитическим гемифациальным спазмом: в середине 90-х годов он перенес тяжелую травму лицевого нерва в результате автокатастрофы.[12]

Эпидемиология (распространенность) гемифациального спазма

По данным Миннесотского эпидемиологического исследования 1960—1984 гг. коэффициент распространенности этого заболевания составил 7,4 на 100 000 мужского населения и 14,5 на 100 000 женского населения. Средний годовой показатель роста заболеваемости, стандартизированный по возрасту белого населения США на 1970 г. — 0,74 на 100 000 мужчин и 0, 81 у женщин. Показатель роста заболеваемости и коэффициент распространенности заболевания был наивысшим в возрастной группе от 40 до 79 лет[13]. В г. Осло, Норвегия, частота распространенности ГФС составляет 9,8 на 100 000 населения [14].

Причины гемифациального спазма

Несмотря на то, что клиническая картина гемифациального спазма была описана в конце XIX века, причина этого заболевания долгие годы оставалась загадкой для исследователей. В 1947 г. американские ученые E.Camblell и C.Keedy, а затем E.Lain и P.Nyrac (1948) из Франции выдвинули предположение, что причиной гемифациального спазма является сдавление лицевого нерва эктазированными сосудами основания головного мозга. А в 1962 г. исследователи из США W.J.Gardner и G.A.Sava подтвердили эту догадку при хирургической ревизии задней черепной ямки у больных со спазмом.

Теория микроваскулярной компрессии черепных нервов

Приоритет в разработке и популяризации теории микроваскулярной компрессии как причины нейроваскулярных компрессионных синдромов черепных нервов (невралгия тройничного нерва, гемифациальный спазм, языкоглоточная невралгия, спастическая кривошея) принадлежит американскому нейрохирургу P. J. Jannetta.

В основе теории микроваскулярной компрессии лежит понятие нейроваскулярного конфликта — конфликта корешка черепного нерва в месте его входа\выхода из ствола головного мозга с прилежащим сосудом.

Основным этиопатогенетическим фактором развития синдромов микроваскулярной компрессии краниальных нервов является механическое воздействие пульсирующего сосуда на ствол нерва с последующим распространением патологической импульсации и развитием пароксизмальной функциональной активности соответствующего краниального нерва (парокзимальная лицевая боль — при воздействии на тройничный нерв, пароксизмы сокращения мышц лица — при воздействии на лицевой нерв). Согласно литературным данным, полученным на больших сериях наблюдений, чаще всего наблюдается конфликт нерва с артериальным сосудом (передней нижней мозжечковой артерией, задней нижней мозжечковой артерией, позвоночной артерией, базилярной артерией), редко отмечается конфликт нерва с венозным сосудом[15]. С развитием методов нейровизуализации, внедрением в широкую практику операционной микроскопии и, как следствие, улучшением техники хирургических вмешательств, компрессия лицевого нерва эктазированными сосудами стала считаться основной причиной гемифациального спазма, а концепция нейроваскулярного конфликта в генезе синдромов микроваскулярной компрессии стала приобретать все большее количество сторонников[16],[17],[18],[19]. Согласно постулатам P.Jannetta, сдавление нерва происходит в зоне входа\выхода корешка нерва (REZ — root exit\entry zone). В зоне выхода корешка более тонкий центральный глиальный миелин переходит в толстый, периферический «шванновский миелин», впервые эта анатомическая особенность описана H.Obersteiner и E.Redlich в 1894 г. (зона Obersteiner-Redlich). Контакт сосудов с зоной выхода корешка вестибулярного нерва приводит к появлению в клинической картине жалоб на головокружение, а при контакте сосудов с зоной выхода корешка кохлеарного нерва появляются жалобы на снижение слуха и шум в ушах. Возможна сочетанная компрессия корешков V и VII нервов, в этом случае гемиспазм будет сопровождаться лицевой болью (сочетание невралгии тройничного нерва и гемифациального спазма).

Таким образом, в зависимости от этиологии можно разделить гемифациальный спазм на

  • «первичный», причинами которого является нейроваскулярный конфликт в зоне области выхода нерва из ствола, и
  • «вторичный» — обусловленный другими патологическими процессами.

Разделение на первичный и вторичный в настоящее время является общепринятым в литературе. Употребление термина «идиопатический гемифациальный спазм» некорректно, так как причина спазма установлена. В настоящее время теория микроваскулярной компрессии позволяет объяснить клинические и нейрофизиологические особенности гемифациального спазма. На основе этой концепции разработан самый эффективный метод лечения лицевого гемиспазма — операция микроваскулярной декомпрессии. Этот факт как никакой другой свидетельствует в пользу разработанной P.Jannetta теории. Несомненно, что она требует дальнейшего развития и дополнения. В некоторых исследованиях подчеркивается связь между артериальной гипертензией и гемифациальным спазмом. Артериальная гипертензия рассматривается как фактор риска для возникновения гемиспазма, так как гипертензия способствует прогрессированию атеросклеротических изменений сосудов, что в свою очередь приводит к их эктазии и патологической извитости, предрасполагающих для развития васкулярной компрессии. В свою очередь, компрессия вентролатеральных отделов продолговатого мозга эктазированными сосудами может приводить к артериальной гипертензии[20]. В этом вопросе пока нет ясности, и причинно-следственная связь окончательно не установлена. Развитие методов нейровизуализации, прежде всего магнитно-резонансной томографии (МРТ), позволило получить дополнительные доказательства в пользу теории нейроваскулярного конфликта, так как стала возможной прямая визуализация нервного корешка и компримирующего его сосуда. Магнитно-резонансная-томография и магнитно-резонансная ангиография с высоким разрешением являются довольно чувствительными методами для выявления нейроваскулярного конфликта.[21]

Причины вторичного (симптоматического) гемифациального спазма

Иногда фациальный гемиспазм вызывают объемные образования мосто-мозжечкового угла (опухоли, сосудистые мальформации, аневризмы).[22],[23],[24] В работе, содержащей анализ результатов лечения 1642 случаев гемифациального спазма, пациенты с симптоматическим гемиспазмом вследствие опухолей мостомозжечкового угла составили 0,4 %.[25] Объемные образования изменяют нейро-сосудистые взаимоотношения, приводя к смещению сосудов и их контакту с нервными корешками, либо оказывают прямое компримирующее воздействие на лицевой нерв.[26] , аналогичный механизм лежит в основе развития симптоматической невралгии тройничного нерва при опухолях мостомозжечкового угла[27].

Также причинами гемиспазма могут быть рассеянный склероз, лакунарный инфаркт в области моста, воспалительные заболевания среднего уха и деформации костей черепа (например, при болезни Педжетта). В литературе описаны редкие случаи лицевого гемиспазма при компрессии экстракраниальной порции лицевого нерва — при травмах нижней челюсти, опухолях околоушной слюнной железы, гемангиоме височной кости.

Патологическая физиология гемифациального спазма

Причиной первичного гемифациального спазма считается нейроваскулярный конфликт, однако патологические процессы, происходящие в лицевом нерве вследствие компрессии не совсем ясны. В настоящее время существует две основных гипотезы. «Центральная», объясняющая симптоматику изменениями (гипервозбудимостью) ядра лицевого нерва, и «периферическая», объясняющая симптомы гемиспазма результатом повреждения миелиновой оболочки и эфаптической передачи нервного импульса между различными волокнами нерва.

V.Nielsen в 1984 г. выдвинул теорию эфаптической передачи: в результате компрессии нерва и последующей его демиелинизации происходит формирование «ложных» синапсов, по которым эктопическая активность может запускаться вследствие механической ирритации в смежных нервных волокнах. V.Nielsen показал, что в основе электрофизиологического феномена, так называемого аномального мышечного ответа при гемифациальном спазма, лежит именно этот механизм. Этот феномен исчезает после декомпрессии лицевого нерва при микроваскулярной декомпрессии.

A.Moller и P.Jannetta считают, что в основные патологические процессы происходят в ядре лицевого нерва в ответ на периферические стимулы (сосудистую компрессию). K.Digre и J.Corbett выдвинули альтернативную гипотезу: в результате компрессии в лицевом нерве происходит аберрантная регенерация, которая приводит к перестройке аксональных волокон.

Диагностика

В основе диагностики лежат анализ клинической картины и тщательный неврологический осмотр, однако некоторые дополнительные методы могут помочь при постановке диагноза.

Методы нейровизуализации

В 70-80-е гг. методы лучевой диагностики, такие как компьютерная и магнитно-резонансная томография (КТ и МРТ), рассматривались как вспомогательные и служили в основном для исключения органической патологии (опухоли, сосудистые мальформации, аневризмы), которая могла вызывать вторичный гемиспазм, или для выявления компримирующих сосудов большого диаметра (например, эктазированной позвоночной артерии).

В 90-е гг. с появлением высокопольных МР-томографов с высокой разрешающей способностью и последующей разработкой специального программного обеспечения (программ трехмерной реконструкции) возможности метода значительно расширились. Появилась возможность неинвазивной визуализации нейроваскулярного конфликта.

Многочисленными исследованиями показано, что МРТ и МР-ангиография с высоким разрешением являются довольно чувствительными методами для выявления нейроваскулярного конфликта.[21], [28]

Nagaseki с соавт. (1998) в своей работе продемонстрировал, что выявление сосудов небольшого диаметра (ПНМА и ЗНМА) возможно в 75,9 %, а сосудов большого диаметра (позвоночная артерия) в 100 %, ложно-отрицательные результаты составили 0 %. Авторы подчеркивают, что диагностические возможности МРТ зависят от корректной проекции (косая сагиттальная проекция МРТ) и правильно выбранной импульсной последовательности[29].

Однако M.Samii (2002) считает, что, несмотря на то, что МРТ в ряде случаев помогает визуализировать нейроваскулярный конфликт, отсутствие его по данным МРТ не означает, что на самом деле конфликта не существует (ложно-отрицательный результат). В серии из 143 пациентов с гемифациальным спазмом у 23,4 % при выполнении МРТ деформации или контакта сосуда с лицевым нервом выявлено не было, но конфликт был выявлен интраоперационно, причем, у этих пациентов имела место сочетанная компрессия нерва в нескольких точках сосудами небольшого диаметра, которые не могли быть визуализированы с помощью МРТ.

На современном этапе развития МРТ в большинстве случаев позволяет выявить причину гемифациального спазма (опухоль, аневризма, сосудистая мальформация в области мосто-мозжечкового угла, очаг демиелинизации, очаг лакунарного инфаркта) и визуализировать нейроваскулярный конфликт, то есть дифференцировать вторичный и первичный спазм.

Построение моделей нейрососудистых взаимоотношений в зоне мосто-мозжечкового угла с помощью трехмерной реконструкции оказывается полезным при проведении предоперационного планирования. Возможна также интраоперационная интерактивная трехмерная реконструктивная МР-ангиография во время микроваскулярной декомпрессии.

Методы нейрофизиологии

Для гемифациального спазма характерен ещё один электронейрофизиологический феномен: при электрической стимуляции одной из ветвей лицевого нерва происходит сокращение мышц лица, иннервируемых другими ветвями лицевого нерва, например, при стимуляции височной ветви регистрируются сокращения m. mentalis. Этот феномен получил название феномена аномального мышечного ответа (abnormal muscle response) или феномена латерального расширения (lateral spread). Считается, что этот эффект обусловлен перекрестной передачей антидромной активности, возникающей вследствие микротравматизации нерва при нейроваскулярном конфликте.

Многие исследователи использовали этот феномен не только для диагностики, но применяли его для интраоперационного мониторинга при микроваскулярной декомпрессии.

Дифференциальный диагноз

Заболевания и синдромы, с которыми необходимо проводить дифференциальный диагноз:

1. Эссенциальный блефароспазм 2. Лицевая миокимия(псевдофасцикуляции) 3. Тик (психогенный лицевой спазм) 4. Фокальные кортикальные судорожные приступы, затрагивающие лицевую мускулатуру. 5. Аберрантная регенерация нервных волокон после травмы или паралича Белла (постпаралитический гемиспазм) 6. Отсроченная (поздняя) дискинезия (как осложнение вследствие приема нейролептиков).

Также к этому перечню можно отнести синдром Мейджа (сочетание блефароспазма и оромандибулярной дистонии), гемимастикаторный спазм.

Лечение

Консервативная терапия

Для лечения используются лекарственные препараты из разных фармакологических групп. Карбамазепин, клоназепам, габапентин, леветирацем, баклофен, однако эффект препаратов изучался на небольших выборках пациентов, не проводилось плацебо-контролируемых исследований, поэтому долгосрочный эффект медикаментозного лечения представляется сомнительным.

Требуется постоянный прием медикаментов в довольно высоких дозах, у всех этих препаратов отмечается выраженное седативное побочное действие, что не может не отражаться на качестве жизни пациентов.

Ботулотоксин (ботулинический токсин)

В лечении хорошо зарекомендовал себя Ботулотоксин типа А. Исследование эффективности этого лекарственного средства проводилось с учётом принципов доказательной медицины — изучение действия ботулотоксина проводилось на больших выборках пациентов (до 2000) методом двойного слепого плацебо-контролируемого исследования. Препарат вводят подкожно или внутримышечно в пораженные мышцы. Особенно привлекательно использование ботулотоксина на ранних стадиях заболевания.

Однако инъекции необходимо выполнять в среднем каждые 3-4 месяца, стоимость препарата довольно высока, кроме того, он требует строгого соблюдения правил хранения. Эффективность лечения (значительный регресс симптомов) составляет 70-75 % по данным разных авторов. Описаны следующие осложнения — птоз, кератит, диплопия, эпифора (ретенционное слезотечение), слюнотечение, страбизм (косоглазие), частота осложнений 2-14 %.

Микроваскулярная декомпрессия

До эры микроваскулярной декомпрессии лечение спазма обычно сводилось к нанесению тяжелой или умеренной травмы периферической части лицевого нерва или части нерва в области мосто-мозжечкового угла. Выполнялась полная или частичная деструкция периферической части лицевого нерва или его ветвей хирургическим путём или с помощью инъекции глицерина или этанола, вместо спазма развивался парез лицевого нерва. Спустя 3-6 месяцев обычно возникал рецидив спазма вследствие регенерации нерва. Также выполнялась миоэктомия — односторонняя резекция m. orbicularis oculi и m. corrugator supericiliaris.

В настоящее время экстракраниальные деструктивные процедуры практически не применяются в связи с их низкой эффективностью и имеют лишь историческое значение.

Учитывая свой опыт лечения тригеминальной невралгии, P.Jannetta выдвинул предположение, что решающую роль в развитии гемиспазма играет сосудистая компрессия в зоне выхода нерва, где периферический миелин переходит в центральный. Им была детально разработана и популяризирована операция микроваскулярной декомпрессии при нейроваскулярных синдромах. Свою первую декомпрессию при гемифациальном спазме он выполнил в феврале 1966 г. В 1970 г. в свет вышла первая статья P.Jannetta, посвященная микроваскулярной декомпрессии в лечении гемиспазма.

Операция заключается в установке протектора (обычно используется тефлон) между конфликтующим сосудом и нервом, таким образом устраняется цепь патологической импульсации. В 1999 г. опубликована работа M.McLaughlin, P.J. Jannetta с соавт., в которой обобщен более чем 30-летний опыт выполнения микроваскулярной декомпрессии при нейроваскулярных синдромах, анализируются результаты 4 400 операций.[15].

За прошедшие годы во многих научных центрах накоплен достаточный материал по микроваскулярной декомпрессии при лицевом гемиспазме, опубликован ряд исследований, позволяющих утверждать, что микроваскулярная декомпрессия лицевого нерва является эффективным методом лечения первичного лицевого спазма, причиной которого является нейроваскулярный конфликт. Эффективность операции составляет, по данным разных авторов, от 86 до 93 %.

Ссылки

Примечания

  1. Wilkins R.H. Hemifacial spasm: a review// Surg. Neurol. — 1991. — Vol. 36. — P. 251—277.
  2. Wang A., Jankovic J. Hemifacial spasm: clinical findings and treatment// Muscle Nerve. — 1998. — Vol.21. — P.1740-1747.
  3. Schultze F. Linksoeitziger Facialiskrampf in folge eines Aneurisma der Arteria vertebralis sinistra// Arch. Pathol.Anat. — 1875. — Vol.65. — P.391-395.
  4. Brissaud E. Lecons sur les meladies nerveuses. Tics et spasms de fac// Paris. — 1884.
  5. Tan N.C., Tan E.K., Khin L.W. Diagnosis and misdiagnosis of hemifacial spasm: a clinical and video study// J.Clin.Neurosci. — 2004. — Vol. 11. — P. 1421-44.
  6. Goldstein N.P. Unilateral aberrant facial movement: hemifacial spasm or fasciculations? // JAMA. — 1977. — Vol.238. — P.2541.
  7. Jannetta P.J., Typical or atypical hemifacial spasm//J.Neurosurg. — 1998. — Vol. 89. — P. 346—347.
  8. Babinski J. Hémispasme facial périphérique//Nouvelle iconographie de la Salpétrière. — 1905. — Vol.18. — P. 418—423.
  9. Devoize J.L. „The other“ Babinski’s sign: paradoxical raising of the eyebrow in hemifacial spasm// J. Neurol. Neurosurg. Psychiatry. — 2001. — Vol. 70. — P.516.
  10. Stamey W., Jankovic J. The other» Babinski’s sign in hemifacial spasm// Neurology. — 2007. — Vol. 69. — P. 402—404
  11. Frueh B.R., Preston R.A., Musch D.C. Facial nerve injury and hemifacial spasm// Am. J. Ophthalmol. −1990. — Vol. 110. — P. 421—423.
  12. Такеши Китано — актёр режиссёр человек Takeshi Kitano. Дата обращения: 14 августа 2011. Архивировано 14 августа 2011 года.
  13. Auger R., Whishant J.P. Hemifacial spasm in Rochester and Olmsted Country, Minnesota, 1960 to 1984// Arch. Neurol. — 1990.-Vol. 47. — P. 1233—1234.
  14. Nilsen B., Le K-D., Dietrichs E. Prevalence of hemifacial spasm in Oslo, Norway// Neurology — 2004. — Vol. 63. — P. 1532—1533.
  15. 1 2 McLaughlin M., Jannetta P.J., Clyde B.L. et al. Microvascular decompression of cranial nerves: Lessons learned after 4400 operations// J. Neurosurg. — 1999. — Vol. 90. — P. 1-8.
  16. Аксик И. А. Микрососудистая декомпрессия при лицевом гемиспазме// Журн. Вопросы нейрохирургии им. Н. Н. Бурденко. — 1993. — Том.3.- С.6-
  17. Григорян Ю. А., Ситников А. Р. Нейроваскулярные взаимоотношения при гемифациальном спазме// Журн. Вопр.нейрохирургии им. Н. Н. Бурденко. — 2009. — № 4. — с.11-17.
  18. Шулёв Ю. А., Гордиенко К. С., Посохина О. В. Микроваскулярная декомпрессия в лечении тригеминальной невралгии.// Журнал «Нейрохирургия». — 2004. — № 2. — с. 7-14.
  19. Шулёв Ю. А., Трашин А. В., Гордиенко К. С., Посохина О. В. Микроваскулярная декомпрессия в лечении гемифациального спазма: анализ отдаленных результатов// Журнал Вопросы нейрохирургии им. акад. Н. Н. Бурденко. — 2010. — № 3. с. 42-48. https://www.ncbi.nlm.nih.gov/pubmed/21260935 Архивная копия от 21 сентября 2014 на Wayback Machine
  20. Jannetta P.J., Gendell H.M. Clinical observations on etiology of essential hypertension// Surg.Forum. — 1979. — Vol.30. — P. 431—432.
  21. 1 2 Tan E.K., Chan L.L., Lim S. Magnetic resonance imaging and magnetic resonance angiography in patients with hemifacial spasm// Ann. Acad. Med. Singapore. — 1999. — Vol. 28. — P. 169—173.
  22. Tash R.R., Kier E.I., Chyatte D. Hemifacial spasm caused by tortuous vertebral artery: MR demonstration// J.Comp.Tomogr. — 1988. — Vol.12. — P. 492—494.
  23. Uchino M., Nomoto J., Ohtsuka T., Kuramitsu T. Fusiform aneurysm of the vertebral artery presenting with hemifacial spasm treated by microvascular decompression//Acta Neurochir (Wien). — 2005. -Vol. 147. — P. 901—903.
  24. Shulev Y., Gordienko K., Trashin A.: Secondary Trigeminal Neuralgia in Cerebellopontine Angle Tumors// Skull Base — An Interdisciplinary Approach. — Thieme, New York. — 2011. Issue 05, Volume 21, p. 287—295 https://www.thieme-connect.com/ejournals/abstract/sbs/doi/10.1055/s-0031-1284218 (недоступная ссылка)
  25. Han I.B., Chang J.H., Chang J.W., Huh R., Chung S.S. Unusual cases and presentation of hemifacial spasm// Neurosurgery. — 2009. — Vol. 65 (1). — P.130-137.
  26. Kobata H., Kondo A., Iwasaki K. Cerebellopontine angle epidermoids presenting with cranial nerve hyperactive dysfunction : pathogenesis and long-term surgical results in 30 patients// Neurosurgery. — 2001. — Vol. 50. — P. 276—285.
  27. Шулев Ю. А., Гордиенко К. С., Трашин А. В., Черных Е. Н. Симптоматическая невралгия тройничного нерва при опухолях мосто-мозжечкового угла// Российский нейрохирургический журнал им.проф. А. Л. Поленова. — 2010. — Том II. — № 1. — с. 59-66.
  28. Girard N., Poncet. M., Cases F. et al. Three-dimensional MRI of hemifacial spasm with surgical correlation// Neuroradiology. — 1997. — Vol. 39. — P. 46-51.
  29. Nagaseki Y., Omata T., Ueno T. et al. Prediction of vertebral artery compression in patients with hemifacial spasm using oblique saggital MR imaging// Acta Neurochir (Wien). — 1998. — Vol. 140. — P. 565—571.