Вывих

Вывих
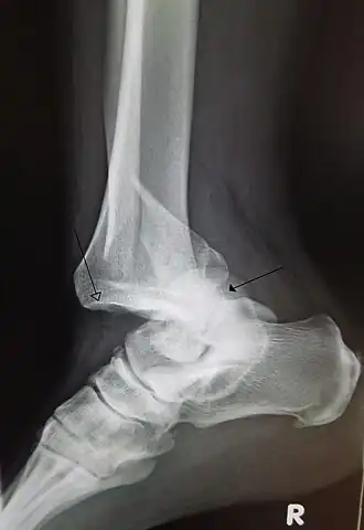
Перелом нижней трети правой малоберцовой кости со смещением и вывихом стопы кзади
Перелом нижней трети правой малоберцовой кости со смещением и вывихом стопы кзади
МКБ-10 T14.3
МКБ-9 830-848
MedlinePlus 000014
MeSH D004204
Логотип Викисклада Медиафайлы на Викискладе

Вы́вих — нарушение конгруэнтности суставных поверхностей костей, как с нарушением целостности суставной капсулы, так и без нарушения, под действием механических сил (травма) либо деструктивных процессов в суставе (артрозы, артриты).

Классификация вывихов

По степени смещения

Вывих может быть полным (полное расхождение суставных концов) и неполным — подвывих (суставные поверхности остаются в частичном соприкосновении). Вывихнутой считается дистальная (дальняя от туловища) часть конечности.

Исключения составляют:

  1. позвоночник — вывихнутым считается вышележащий позвонок.
  2. ключица (различают вывихи стернального и акромиального конца ключицы, но не вывих лопатки).

По происхождению

Различают врождённые и приобретённые вывихи.

Врождённые

Такие повреждения возникают в результате неправильного внутриутробного развития плода — недоразвитие суставной впадины и головки бедра (дисплазия). Чаще отмечаются врождённые вывихи тазобедренных суставов (2–5 на 1000 новорождённых), реже — вывихи надколенника, коленного сустава. У грудного ребёнка вывих бедра проявляется асимметрией складок по внутренней поверхности бёдер, ограничением отведения ноги и т. п.; когда ребёнок начинает ходить и позже — хромотой и относительным укорочением одной нижней конечности, при двустороннем вывихе — «утиной» походкой. Врождённый вывих надколенника проявляется болями, полной неподвижностью сустава, его воспалением, гемартрозом; ходят дети плохо, часто падают. Лечение врождённого вывиха бедра (вправление, наложение специальных шин или гипсовых повязок) должно начинаться как можно раньше — наилучшие результаты даёт у детей 3 мес., но возможно и до 2 лет. При безрезультатности такого лечения в 2–4 года — хирургическая операция. Профилактика: ортопедическое обследование новорождённых. Нельзя туго пеленать (и тем более свивать), насильственно выпрямлять ножки, преждевременно ставить ребёнка (раньше, чем ребёнок встанет на ножки сам).

Приобретённые

Возникают при травме — травматические или при заболеваниях (остеомиелит, полиомиелит и др.) — патологические, или самопроизвольные.

Травматические вывихи в большинстве случаев происходят под влиянием непрямой травмы, когда место приложения силы отдалено от повреждающегося сустава (например, при падении на кисть вытянутой руки происходит вывих в плечевом суставе). Причиной травматического вывиха может быть резкое сокращение мышц, вызывающее движение, выходящее за пределы нормальной подвижности данного сустава (например, вывих нижней челюсти при чрезмерном открывании рта). Значительно реже возникают вывихи от прямой травмы — удар в область сустава. У детей в возрасте 1–3 лет наблюдаются так называемые «вывихи от вытягивания», возникающие в суставах (плечевом, локтевом) от резкого рывка ребёнка за руку (когда его ведут за ручку и он оступился). Проявляются сильными болями в области сустава, деформацией, нарушением или утратой движений.

При вывихах почти всегда происходит разрыв капсулы суставов, могут быть повреждены сухожилия, мышцы, кости, сосуды и нервы; такие вывихи называются осложнёнными. Вывихи могут быть закрытыми — без повреждения кожи над суставом и открытыми, когда образуется рана, проникающая в полость сустава. Иногда вследствие значительного растяжения суставной сумки и связок при вывихе, а также без правильного лечения вывиха возникает вновь даже при небольшом усилии. Это так называемый привычный вывих (наиболее частый в плечевом суставе).

Патологический вывих возникает в суставах обычно в результате разрушения суставных поверхностей вследствие патологического процесса; паралитический вывих наблюдается при параличе или парезе окружающих сустав мышц. Эти вывихи возникают без заметного приложения внешней силы, как бы самопроизвольно, например, во время ходьбы, поворачивания в постели и т. п.

Лечение

Первая помощь

Фиксация повреждённой конечности косынкой, шиной и т. п. (иммобилизация). Холод на область поражения. Небольшие вывихи могут быть вправлены самостоятельно, если есть уверенность в отсутствии повреждения костей. Вправление осуществляется обратно механизму травмы. Вправление суставных концов производится только врачом во избежание дополнительной травматизации тканей сразу же после установления диагноза с последующей иммобилизацией; в дальнейшем — функциональное лечение (гимнастика, массаж и т. д.). При застарелых вывихах (3 недели после повреждения) — хирургическая операция. При патологических вывихах — лечение заболевания, приведшего к вывиху. Для восстановления функции иногда необходима хирургическая операция.

Способы вправления

Вправление вывиха тем проще, чем мельче вправляемый сустав. Существует несколько наиболее распространённых методик вправления вывихов. Для примера рассмотрим вывих плеча, как одну из наиболее распространённых травм этого типа.

  • Способ Гиппократа — Купера.
  • Способ Кохера.
  • Способ Джанелидзе.

В целом все эти методы направлены на восстановление соотношения костей в суставе за счёт повторения в обратном порядке пути, который прошла вывихнутая кость. То есть если вывих плеча произошёл вследствие падения на разогнутую руку и плечевая кость сместилась вверх и медиально, то для вправления вывиха врач прикладывает силу так, чтобы кость сместилась вниз и латерально, то есть повторила свой путь в обратном порядке.

Вправление вывиха бедра трудно осуществимо без применения миорелаксантов или наличия одного-двух физически крепких помощников. Мышечная группа вокруг тазобедренного сустава наиболее массивна, что значительно затрудняет вправление.

Реабилитация

Порядок реабилитационных мероприятий определяется врачом, в зависимости от тяжести травмы. Как правило, назначается мягкая повязка. В типичном случае, чтобы вернуть в нормальное состояние сустав, требуется не более месяца. Для профессиональных спортсменов требуется более длительное лечение, чтобы сустав был стабилен при больших нагрузках.

Прогноз

Прогноз заболевания благоприятный. При адекватной терапии происходит полное восстановление трудоспособности.

Примечания

Ссылки

Литература

  • Вывих кости // Энциклопедический словарь Брокгауза и Ефрона : в 86 т. (82 т. и 4 доп.). — СПб., 1890—1907.
  • ПОЛЯКОВ В. А. Избранные лекции по травматологии. М.: Медицина, УДК 617—001(081) 1980, 272 с., ил.
  • Петров С. В. Общая хирургия: Учебник для вузов. — 2-е издание. — 2004 год. — 768 с. — ISBN 5-318-00564-0.