Вакуолизация

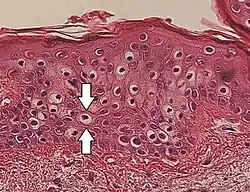
Вакуолизация (вакуольное или водяночное перерождение) — патологическое изменение клеток организма, заключающееся в появлении в их протоплазме или ядре одного или нескольких пузырьков-вакуолей, содержащих прозрачную, водяночную жидкость[1].
Вакуолизация зависит от нарушений диффузионного обмена между клеткой и окружающей её средой; чаще всего она имеет место при обильном пропитывании тканей жидкостью (при отёках, воспалении и т. п.)[2][1].
Примечания
- ↑ 1 2 Вакуолизация // Большая советская энциклопедия : в 66 т. (65 т. и 1 доп.) / гл. ред. О. Ю. Шмидт. — М. : Советская энциклопедия, 1926—1947.
- ↑ Вакуолизация // Большая медицинская энциклопедия : в 30 т. / гл. ред. Б. В. Петровский. — 3-е изд. — М. : Советская энциклопедия, 1974—1989.
Литература
- Вакуолизация // Большая советская энциклопедия : в 66 т. (65 т. и 1 доп.) / гл. ред. О. Ю. Шмидт. — М. : Советская энциклопедия, 1926—1947.
- Вакуолизация // Большая медицинская энциклопедия : в 30 т. / гл. ред. Б. В. Петровский. — 3-е изд. — М. : Советская энциклопедия, 1974—1989.