Амелобластома
| Амелобластома | |
|---|---|
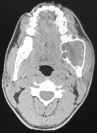
![]() Компьютерная томография амелобластомы | |
| МКБ-11 | XH1SV4 |
| МКБ-10 | D16.5 |
| МКБ-10-КМ | C41.1 |
| МКБ-9 | 213.1 |
| МКБ-О | 9310/0 |
| DiseasesDB | 31676 |
| MeSH | D000564 |
Амелобластома — доброкачественная опухоль, происходящая из эпителия зубного сосочка[1], клеточных элементов эмалевого органа или дериваты его глубоких слоев — клеток Малассе и Серре.
Независимо от происхождения адамантинома (1,0 % всех кистозных образований челюстей, возникают у лиц молодого и среднего возраста, в 80,0 — 92,0 % случаев локализуется в нижней челюсти, в зоне угла, ветви и дистальных отделов тела челюсти — участки моляров и премоляров) эмали не производит.
Формы амелобластомы
Различают солидную и кистозную форму заболевания, при новообразованиях значительной величины процесс распространяется на окружающие мягкие ткани.
Кистозная форма представлена значительным количеством пустот мультицикличного характера, разделенных перегородками из костной ткани. Изредка кистозная форма адамантиномы может быть однокамерной, заключая в себе непрорезанный зуб, напоминая фолликулярную кисту; однокамерность при этом обусловлена слиянием кистозных полостей. Челюсть в месте патологии деформируется, лицо становится асимметричным в дистальных отделах. Периостальная реакция, как правило, отсутствует, зубы не смещены. Прозрачность тени многокамерной опухоли неоднородная, максимальная — в центре, иногда наблюдаются воспалительные осложнения в одной из кист, эрозии корней, в отличие от остеобластокластомы, не наблюдается.
При солидной форме визуализируется округлой или овальной формы одиночное просветление преимущественно в области угла нижней челюсти. Дифференцировать солидные адамантиномы следует исходя из эпителиальных кист и дрибносотистых образований, в частности остеобластокластомы.
Примечания
- ↑ Зубной сосочек — это закладка зубной пульпы
Литература
- Черкасов Е. Ф. Радиационная гигиена. М.: Медицина, 1974.
- Дергачёв А. И. Ультразвуковая диагностика заболеваний внутренних органов. М. 1995 г.
- Зедгенидзе Г. А. Клиническая рентгено-радиология . — М.: Медицина, 1983. — Т.3. — С. 90 — 169, 272 — 323.
- Милько В. Рентгенология. — К.: Вища школа, 1983. — С. 228 — 230, 233 — 236.
- Бакланова В. Ф., Филиппкина М. А. Рентгенодиагностика в педиатрии. — 1988. — С. 265 — 266.
