Агенезия мозолистого тела
| Врожденная аномалия мозолистого тела | |
|---|---|
![]() | |
| МКБ-11 | LA05.3 |
| МКБ-10 | Q04.0 |
| OMIM | 217990 |
| DiseasesDB | 29900 |
| MeSH | D061085 |
Агенези́я мозо́листого те́ла (АМТ) — редкий врожденный дефект (врожденное заболевание), при котором наблюдается полное или частичное отсутствие мозолистого тела. АМТ может быть обнаружена изолированно на МРТ, но чаще сочетается с множественными пороками развития[1].
Классификация
Нарушения развития мозолистого тела в нейроонтогенезе могут приводить к следующим аномалиям:
- Агенезия мозолистого тела (АМТ) — полное отсутствие мозолистого тела.
- Гипогенезия мозолистого тела (частичная АМТ) — мозолистое тело сформировано частично, отсутствие должно быть очевидно с рождения и не быть проявлением дегенеративного состояния.
- Дисгенезия мозолистого тела — мозолистое тело имеет аномальную, нетипичную форму.
- Гипоплазия мозолистого тела — мозолистое тело сформировано, однако имеет явный дефицит объёма за счет участия в его формировании недостаточного количества комиссуральных волокон[2].
Различают первичную и вторичную АМТ[уточнить].
Отличие гипогенетических изменений структуры мозолистого тела от вторичных повреждений позволяет опереться на последовательность формирования различных отделов мозолистого тела: например, гипотрофическое или отсутствующее колено при нормальном теле и валике всегда свидетельствует о вторичном повреждении МТ[2].
Этиология
Причины возникновения аномалий развития мозолистого тела могут быть генетическими, инфекционными, сосудистыми или токсическими.
Генетические причины
Существует более 60 генетических и хромосомных аномалий, в которых патология мозолистого тела является неспецифическим признаком.
Генетика АМТ у людей разнообразна и отражает всю сложность развития мозолистого тела. Сочетание генетических механизмов, в том числе менделевской мутации одного гена, спорадической мутации одного гена и сложной генетики (что может являться сочетанием унаследованных и спорадических мутаций) может играть роль в этиологии АМТ. Причины 30-45 % случаев АМТ могут быть установлены. У 10 % присутствуют хромосомные отклонения, а у оставшихся 20-35 % — определяемые генетические синдромы.
У большинства индивидов с АМТ не прослеживается очевидной наследственной причины или генетического синдрома, что позволяет предположить, что АМТ может быть вызвана случайными новыми (de novo) генетическими мутациями.
Диагностика
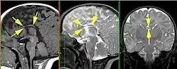
Диагностика нарушения осуществляется внутриутробно, либо после рождения с помощью УЗИ, МРТ, либо КТ.
Основные диагностические критерии, позволяющие заподозрить наличие АМТ:
- радиальный паттерн борозд медиальной поверхности мозга — борозды медиальной поверхности гемисфер мозга отходят от крыши III желудочка, поясная извилина не сформирована;
- параллельность тел боковых желудочков головного мозга
- расстояние между телами боковых желудочков увеличено
- аномальное расширение задних рогов боковых желудочков
- отсутствие прозрачной перегородки
- высокое расположение III желудочка.
Внутриутробная диагностика АМТ
Кафедрой лучевой диагностики СПбГМА им. Мечникова проводилась МРТ-диагностика АМТ внутриутробно. С 2004 по 2009 год проведено 270 МРТ плода с различной патологией, при этом идентифицировано 35 случаев АМТ. Было выявлено 35 случаев АМТ. В 29 случаях АМТ была полной (83 %), в 2 — частичной (5,7 %), в 4 — атипичной (11,4 %). Мозолистое тело не определялось в 33 случаях (94 %); увеличение расстояния между телами боковых желудочков и параллельность боковых желудочков — 28 (80 %), деформация передних рогов боковых желудочков — 30 (86 %); расширение боковых желудочков — 28 (80 %); кольпоцефалия (аномальное расширение затылочных рогов мозга) — 27 (77 %); деформация борозд медиальной поверхности гемисфер (радиальный паттерн борозд) — 17 (49 %). В 12 случаях (35 %) АМТ была изолированная, у 23 плодов (65 %) сочеталась с другими аномалиями головного мозга, в 7 случаях аномалии были множественными[3].
Лечение
На данный момент не существует специфического лечения врожденных аномалий мозолистого тела. Для помощи и коррекции используются различные методы и методики, направленные на помощь в физическом развитии и формировании различных навыков. Важно проконсультироваться с различными специалистами в области медицины, здравоохранения, образования и социальной работы. К таким специалистам относятся неврологи, нейропсихологи, трудотерапевты, физиотерапевты, логопеды, педиатры, генетики, социальные работники, специальные педагоги, специалисты раннего развития.
Прогноз
Прогноз зависит от причины аномалии мозолистого тела, основного заболевания и сопутствующих патологий. Прогноз при изолированной форме агенезии мозолистого тела остается неизученным. Многие авторы полагают, что агенезия мозолистого тела не приводит к значительным последствиям для неврологического развития. Однако величина показателя специфического риска в настоящее время неизвестна[4][1].
Группы поддержки
В США организована Национальная организация патологии мозолистого тела (National Organization of Disorders of the Corpus Callosum), которая занимается поддержкой лиц с нарушением развития мозолистого тела, их родственников. При поддержке организации проводятся ежегодные тематические конференции с участием представителей научного медицинского сообщества, занимающихся изучением патологий мозолистого тела[5].
Также организованы группы поддержки в социальных сетях и мессенджерах.
Примечания
- ↑ 1 2 Timothy J. Edwards, Elliott H. Sherr, A. James Barkovich and Linda J. Richards. Clinical, genetic and imaging findings identifynew causes for corpus callosum developmentsyndromes // BRAINA JOURNAL OF NEUROLOGY. — 2014. — Январь.
- ↑ 1 2 А.А. Алиханов. Фенотипы нарушения структуры мозолистого тела: данные нейровизуализации (лекция) // Русский журнал детской неврологии. — 2010. — Т. 5, № выпуск 4.
- ↑ А.Д.Халиков. МРТ диагностика агенезии мозолистого тела плода // Кубанский научный медицинский вестник. — 2010. — № 6.
- ↑ MedUniver Агенезия мозолистого тела у плода. Диагностика и прогноз при агенезии мозолистого тела плода. Дата обращения: 5 сентября 2019. Архивировано 5 сентября 2019 года.
- ↑ National Organization of Disorders of the Corpus Callosum.
