Абфракция

Абфра́кция (англ. abfraction) — это микроструктурная потеря зубного вещества в областях концентрации напряжения, в целом — то же, что и клиновидный дефект зуба.
Происхождение термина
Существуют различия в стоматологической терминологии (особенно в иностранной литературе), которые в целом затрудняют употребление понятия «абфракции» (abfraction). Однако в целом он соответствует клиновидному дефекту зубов. Если суммировать, для его обозначения используются следующие термины: некариозный пришеечный дефект, пришеечный дефект неуточнённой этиологии, пришеечная эрозия, пришеечное истирание тканей, абфракция, абразия (abrasion) пришеечной области, абразивный износ зубов в пришеечной области, истощение-абфракция, абразия-абфракция, коррозия-абфракция, коррозия напряжения (англ. stress corrosion), а в ряде случаев также откалывание или отламывание (англ. to break away). Обширный список названий, отражающих различные варианты патогенеза, но определяющих один и тот же дефект твёрдых тканей зубов, свидетельствует о неоднозначности мнения учёных на этио-патогенез заболевания.[1]:56
Места локализации
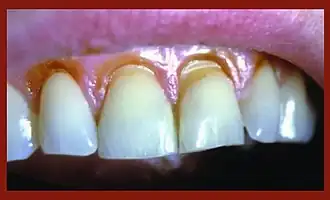
Абфракция как правило возникает в пришеечной области зубов, где сгибание может привести к повреждению чрезвычайно тонкого слоя эмалевых призм и к микроперелому цемента корня зуба и дентина. Силы могут быть статическими (возникают во время сжатия челюстей) и циклическими (возникают во время жевания).
Причины возникновения
Абфракция возникает под влиянием двух факторов: нагрузки на изгиб и материальной усталости тканей зуба в местах расположенных далеко от точки приложения силы. Степень разрушения твёрдых тканей зависит от величины, продолжительности, направления, частоты и места приложения сил.
Системный подход в обосновании этиопатогенеза абфракции, как одной из форм некариозных поражений зубов (эрозий, клиновидных дефектов, патологической стираемости и гиперестезии), их дальнейшего развития, а также полный алгоритм обследования и лечения пациенток впервые был представлен Г. Е. Соловьёвой-Савояровой в диссертации «Некариозные поражения зубов как маркеры гормонально-метаболических нарушений у женщин» (2006—2009), а затем в профильной монографии «Эстрогены и некариозные поражения зубов» (2012). Последние исследования российских учёных и медиков указывают на то, что важнейшую роль в патогенезе некариозных поражений зубов у женщин играют системные гормонально-метаболические нарушения, и в первую очередь — снижение базального уровня эстрадиола в крови.[2]:53-54.
В частности, у женщин с некариозными поражениями зубов выявлено пониженное содержание ионизированного кальция и магния в крови, повышение биохимических маркёров костной резорбции, снижение показателей минеральной плотности костной ткани (по данным денситометрии).[3]:152 Низкая концентрация эстрогенов в крови является ведущей патогенетической причиной развития эрозий, клиновидных дефектов и патологической стираемости зубов у женщин. В то же время женщины, имеющие эту патологию, входят в группу риска развития остеопороза. Именно вследствие этого некариозные поражения зубов (эрозия, абфракция, патологическая стираемость) считаются ранними маркёрами, внешними «сигналами тревоги» формирования остеопении и остеопороза,[2]:131 а сама гиперестезия зубов выполняет функцию осязаемого болевого сигнала организма на растущую дисфункцию.
«Женщины, имеющие некариозные поражения зубов (эрозии, клиновидные дефекты и повышенную стираемость), входят в группу риска развития остеопороза, при этом сами некариозные поражения зубов являются видимыми маркёрами (сигналами тревоги) гормонально-метаболических нарушений в организме».[2]:131
— Соловьёва-Савоярова Г.Е., «Эстрогены и некариозные поражения зубов»
Примечания
- ↑ Соловьёва-Савоярова Г.Е., Дрожжина В.А., Силин А.В. Некариозные поражения зубов, этиопатогенетический подход к их реконструкции. Материалы IX научно-практической конференции «Современные методы диагностики, лечения и профилактики стоматологических заболеваний. Эндодонтия и реставрации. — СПб.: СПбИНСТОМ, 2012. — С. 55—59. — 121 с. — ISBN 978-5-88711-329-6.
- ↑ 1 2 3 Соловьёва-Савоярова Г.Е., Дрожжина В.А. «Эстрогены и некариозные поражения зубов» / Силин А.В.. — СПб.: Издательство СЗГМУ им. И.И. Мечникова, 2012. — 140 с. — 700 экз. — ISBN 978-5-89588-049-4.
- ↑ Соловьёва-Савоярова Г.Е., Силин А.В., Дрожжина В.А. Некариозные поражения зубов у женщин как проявление остеопении и остеопороза. Материалы конференции. XVIII Международная конференция челюстно-лицевых хирургов и стоматологов «Новые технологии в стоматологии». — СПб.: Министерства здравоохранения и соц. Развития РФ, 2013. — С. 152—153. — 188 с.
Литература
- Боровский Е. В., Леус П. А., Лебедева Г. К. «Некариозные поражения зубов, клиника и лечение», (методические рекомендации). — М., 1978.— 16 с.
- Быков В. Л. «Гистология и эмбриология органов полости рта человека». Учебное пособие. — СПб.: Специальная литература, 1999. — 247 с.
- Грошиков М. И. «Некариозные поражения тканей зуба». — М.: Медицина, 1985. — 176 с.
- Олейник Е. А. Результаты исследования твёрдых тканей зубов у лиц с аномалиями структуры твёрдых тканей зубов. Стоматология детского возраста и профилактика. — 2008. — № 1
- Патрикеев В. К., Клинические и электронно-микроскопические исследования твёрдых тканей зубов при некариозных поражениях. — М., 1978.
- Соловьёва-Савоярова Г. Е., Дрожжина В. А. «Эстрогены и некариозные поражения зубов». — СПб., Издательство СЗГМУ им. И. И. Мечникова, 2012. — 140 с.
- Соловьёва-Савоярова Г. Е., Дрожжина В. А., Силин А. В. «Некариозные поражения зубов, этиопатогенетический подход к их реконструкции». Материалы IX научно-практической конференции "Современные методы диагностики, лечения и профилактики стоматологических заболеваний. Эндодонтия и реставрации. — СПб., СПбИНСТОМ, 2012, — 121 с.
- Соловьёва-Савоярова Г. Е., Силин А. В., Дрожжина В. А. «Некариозные поражения зубов у женщин как проявление остеопении и остеопороза». Материалы конференции. XVIII Международная конференция челюстно-лицевых хирургов и стоматологов «Новые технологии в стоматологии». — СПб., издательство Министерства здравоохранения и соц. Развития РФ. — 188 с.
- «Стоматология». Учебник для медицинских вузов и последипломной подготовки специалистов / под ред. В. А. Козлова. — СПб.: «СпецЛит», 2003. — 478 с.
- Фёдоров Ю. А., Дрожжина В. А. «Клиника, диагностика и лечение некариозных поражений зубов». — М.: Научно-практический журнал «Новое в стоматологии», 1997, № 10 (60) спец. выпуск. — 146 с.
- Фёдоров Ю. А., Туманова С. А., Леонова Е. В., Рубежова Н. В., Киброцашвили И. А., Абрамова Н. Е. «Повышенная чувствительность зубов. Клиническая картина, диагностика и лечение».— СПб.: СПбМАПО, 2010.— 56 с.
- Чурилов Л. П., Дубова М. А., Каспина А. И., Строев Ю. И., Сурдина Э. Д., Утехин В. И., Чурилова Н. И. «Механизмы развития стоматологических заболеваний». Учебное пособие / под ред. Л. П. Чурилова. — СПб.: «ЭЛБИ-СПб», 2006. —534 с.
- Ali DA, Brown RS, Rodriguez LO, Moody EL, Nasr MF. «Dental erosion caused by silent gastroesophageal reflux disease». — J. Am. Den.t Assoc., 2002, Vol.133, № 6.
- Grippo JO. «Abfraction: a new classification of hard tissue lesions of teeth». — J. Esth. Dent, 1991, № 3.
- Hayman H.O., Sturdevant J.R., Bayne S., Wilder A.D., Sluder T.B., Brunson W.D. «Examining tooth flexure effects». — J. Am Dent Assoc, 1991, Vol. 122.
- Irwin C.R., McCusker P «Prevalence of dentine hypersensitivity in a general dental population». — J. Ir. Dent. Assoc., 1997, Vol. 43, № 1.
- James B., J. William Robbins, Richard S. Schwartz. «Fundamentals of Operative Dentistry: A Contemporary Approach.» — J. Cont. Dent. Pract., Summit, 2 edit. — Illinois, Quintessence Publishing Co, Inc., 2001.
- Kramer E. «Grundlagen der Zahngesundheitsvorsorge». — Prophylaxefibel, Deutscher Ärzteverlag, 2004, ISBN 3934280668.
- Lee W.C., Eakle W.S. «Possible role of tensile stress in the etiology of cervical erosive lesions of teeth». — J. Prosthet. Dent., 1984, Vol. 52, № 3.
- Lussi A. «Dental erosion: from diagnosis to therapy». — Monogr. Oral Sci. Basel, Karger, 2006, Vol. 20, ISBN 9783805580977.
- Orchardson R, Gillam D.G. «The efficacy of potassium salts as agents for treating dentin hypersensitivity». — Division of Neuroscience and Biomedical Systems, Institute of Biomedical and Life Sciences, University of Glasgow, J. Orofac Pain, 2000, Vol.14, № 1.
- Pace F., Pallotta S., Tonini M., Vakil N., Bianchi Porro G. «Systematic review: gastro-oesophageal reflux disease and dental lesions». — Aliment. Pharmacol. Ther., 27, 2008.
- Rees J.S., Hammadeh M, Jagger D.C. «Abfraction lesion formation in maxillary incisors, canines and premolars: A finite element study». — Eur. J. Oral. Sci., 2003, Vol. 111.
См. также
- Некариозные поражения зубов
- Патологическая анатомия твёрдых тканей зуба
- Эрозия эмали зубов
- Клиновидный дефект
- Гипоплазия зубов
- Гиперестезия зубов
- Патологическая стираемость зубов
- Кариес
- Бруксизм