Цистицеркоз
| Цистицеркоз | |
|---|---|
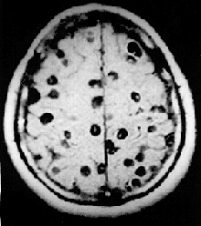
![]() Цистицерки в головном мозге. Магнитно-резонансное изображение. | |
| МКБ-11 | 1F70 |
| МКБ-10 | B69 |
| МКБ-10-КМ | B69.9, B69, B69.1, B69.8 и B69.0 |
| МКБ-9 | 123.1 |
| МКБ-9-КМ | 123.1[1][2] |
| DiseasesDB | 3341 |
| MedlinePlus | 000627 |
| eMedicine | emerg/119 med/494 ped/537 |
| MeSH | D003551 |
Цистицеркоз (лат. Cysticercosis) — гельминтоз из группы цестодозов, характеризующийся в зависимости от локализации паразита поражением кожи, подкожной клетчатки, мышц, головного и спинного мозга, глаз, внутренних органов, костей. По данным ВОЗ патология относится к забытым болезням.
Этиология. Эпидемиология

Возбудитель — личинки свиного цепня (Taenia solium).
Цистицеркоз развивается в результате попадания в желудок яиц свиного цепня с загрязненными продуктами, через грязные руки, при забрасывании зрелых члеников из кишечника в желудок при рвоте у лиц, зараженных половозрелой формой свиного цепня (то есть как осложнение тениоза).
Цистицерк представляет собой наполненный прозрачной жидкостью пузырь размером от горошины до грецкого ореха (от 3 до 15 мм в диаметре). На внутренней поверхности пузыря располагается головка финны — сколекс с крючьями и присосками.
Для развития цистицеркоза необходимо попадание яиц гельминта в желудок и кишечник, где под влиянием желудочного сока плотная оболочка яиц растворяется и освободившиеся зародыши по кровеносным сосудам разносятся по тканям и органам человека.
Источником возбудителя инвазии является больной человек, выделяющий с фекалиями зрелые яйца и членики цепня. Заражение происходит через загрязненные руки, пищу, воду; помимо заражения яйцами цепня из окружающей среды больной тениозом человек может заразиться цистицеркозом при антиперистальтике, рвоте с последующим заглатыванием онкосфер (аутоинвазия).
Патогенез
При проглатывании онкосферы в тонкой кишке личинка освобождается от оболочки, головка личинки выворачивается наружу, и личинка активно внедряется в стенку кишки, попадает в кровеносные сосуды и током крови разносится по организму. Помимо токсического и сенсибилизирующего действия ферментов и метаболитов личинок при миграции в дальнейшем важным фактором патогенеза является механическое давление растущего паразита. Токсико-аллергическое воздействие паразита, например при гибели и лизисе паразита, может вызвать анафилактический шок.
Цистицеркоз головного мозга
Чаще всего (более 60 %) цистицерк попадает в головной мозг, реже в скелетные мышцы и глаза. Продолжительность жизни паразита в мозге от 5 до 30 лет. В большинстве случаев в головном мозге имеются сотни и тысячи паразитов, однако встречаются и единичные цистицерки. Они локализуются в мягких мозговых оболочках на основании мозга, в поверхностных отделах коры, в полости желудочков, где они могут свободно плавать. Погибая, паразит обызвествляется, однако, оставаясь в мозге, поддерживает хронический воспалительный процесс.
На нервную систему цистицеркоз оказывает токсическое влияние и вызывает реактивное воспаление окружающей мозговой ткани и оболочек. Цистицеркоз сопровождается отеком мозга, гидроцефалией вследствие повышенной секреции цереброспинальной жидкости хориоидальными сплетениями, механической преграды ликворообращению, реактивного лептоменингита.
В связи с небольшим размером пузырей и малой их плотностью в клинической картине цистицеркоза наблюдаются в основном симптомы раздражения. Признаки выпадения функции нейронов долго отсутствуют или выражены очень слабо. У больных могут быть неглубокие парезы, незначительные расстройства чувствительности, лёгкие нарушения речи. Симптомы раздражения проявляются приступами локальных джексоновских и общих судорожных эпилептических припадков. Часты длительные светлые промежутки между припадками, а также эпилептический статус. Характерен полиморфизм джексоновских припадков, что свидетельствует о множественности очагов в коре головного мозга.
Для цистицеркоза типичны разнообразные изменения психики, выраженные невротическими проявлениями, иногда в возбуждении, депрессии, галлюцинаторно-бредовых явлениях, корсаковском синдроме. Ликворная гипертензия и отёк мозга проявляются приступообразной интенсивной головной болью, рвотой, головокружением, застойными дисками зрительных нервов.
При локализации цистицерка в желудочке возникает синдром Брунса, заключающийся в приступообразной резчайшей головной боли, рвоте, вынужденном положении головы, расстройстве дыхания и сердечной деятельности, иногда нарушении сознания. В основе синдрома лежит раздражение цистицерком дна IV желудочка. В других случаях синдром Брунса развивается вследствие острой ликворной гипертензии при окклюзии цистицерком отверстий IV желудочка.
Цистицеркоз боковых желудочков протекает по типу опухоли лобной или каллезной локализации с периодическим нарушением сознания при закупорке отверстия Монро.
Цистицеркоз основания мозга (обычно рацемозный в виде грозди винограда) даёт картину базального менингита, протекающего с головной болью, рвотой, брадикардией, поражением зрительных нервов и параличом VI и VII черепных нервов.
Течение. Длительное, ремиттирующее, резко выраженными периодами ухудшения и светлыми промежутками в течение нескольких месяцев и даже лет. Спонтанного излечения не наблюдается.
При исследовании цереброспинальной жидкости выявляют лимфоцитарный и эозинофильный цитоз, иногда повышение уровня белка (от 0,5 до 2 г/л), в некоторых случаях — сколекс и обрывки капсулы цистицерка. Люмбальную пункцию следует производить осторожно, так как при цистицеркозе IV желудочка взятие цереброспинальной жидкости может вызвать внезапную смерть больного.
В крови часто отмечается эозинофилия. Диагностическую ценность имеет РСК крови и особенно цереброспинальной жидкости с использованием цистицеркозного антигена. Реакция Ланге имеет паралитический характер.
На краниограмме иногда обнаруживаются рассеянные мелкие образования с плотными контурами — обызвествленные цистицерки, которые могут находиться также в мышцах конечностей, шеи, груди. Иногда цистицерк обнаруживается на глазном дне. Как проявление ликворной гипертензии на глазном дне отмечаются застойные диски зрительных нервов.
Диагностировать цистицеркоз головного мозга исключительно трудно из-за отсутствия патогномоничных симптомов. В постановке диагноза опираются на следующие особенности заболевания: множественность симптомов, указывающая на многоочаговое поражение мозга, преобладание явлений раздражения, наличие признаков повышения внутричерепного давления, смена тяжелого состояния больного периодами благополучия. Диагностике помогают рентгенографические данные, КТ, МРТ, а также эозинофилия крови и цереброспинальной жидкости, положительная РСК с цистицеркозным антигеном.
Дифференцировать цистицеркоз следует от опухоли мозга, нейросифилиса, менингоэнцефалита, эпилепсии и др.
Лечение проводят празиквантелом и хирургическим удалением паразитов.
Прогноз при множественном цистицеркозе и цистицеркозе IV желудочка неблагоприятный. Смерть может наступить во время эпилептического статуса или при развитии острой окклюзионной гидроцефалии. В отношении трудоспособности прогноз также неблагоприятный вследствие повышения внутричерепного давления, что сопровождается упорными головными болями, частыми эпилептическими припадками, изменениями психики[3].
Цистицеркоз кожи
При расположении личинок в подкожном жировом слое возникают опухолевидные образования, возвышающиеся над поверхностью кожи, при их пальпации можно определить полостный характер опухолей. Наиболее частая локализация: внутренние поверхности плеч, верхняя половина грудной клетки, ладони.
Болезнь сопровождается выраженной эозинофилией в крови (до 40 %), крапивницей.
Гистология: обнаруживаются полостные образования с толстой фиброзной стенкой, наполненные прозрачной белесоватой жидкостью, внутри которых обнаруживается личинка.
Цистицеркоз кожи, мышц протекает бессимптомно.
Лечение хирургическое.
Цистицеркоз спинного мозга
Цистицеркоз спинного мозга чаще развивается вторично в результате заноса паразитов по ликворным пространствам из полости черепа в субарахноидальные пространства спинного мозга. Цистицерки обнаруживаются в веществе спинного мозга, на его корешках или оболочках. Воспалительный процесс вызывает развитие спаек в оболочках и корешках спинного мозга или распространенный продуктивный рубцовый процесс с образованием в спайках кистозных полостей. В зоне паразитирования цистицерков в веществе спинного мозга возможны микроабсцессы, эндоваскулиты с облитерацией крупных сосудов, очаги ишемического размягчения. Начальными проявлениями заболевания являются симптомы оболочечно-корешкового раздражения — боли в конечностях, спине, опоясывающие боли в животе, на уровне груди. Нарастание сопутствующего спаечного процесса в оболочках и корешках спинного мозга приводит к блоку субарахноидальных ликворных пространств и локальному сдавлению спинного мозга. Развиваются спастические парапарезы, параличи, проводниковые нарушения чувствительности, расстройство функции тазовых органов. При интрамедуллярной локализации процесса нарушения носят сегментарный характер. Увеличение размеров паразитарных кист может привести к поперечному поражению спинного мозга: нарушению функции тазовых органов, расстройству чувствительности и движений соответственно локализации паразита. Раздражением клеток передних рогов объясняются фибрилляции отдельных мышечных групп.
Диагностика: применение серологической реакции — реакции связывания комплемента в ликворе и сыворотке крови. Проводят гельминтологическое исследование, миелографию, информативной является магнитно-резонансная томография.
Специфическое лечение не разработано. В послеоперационном периоде проводится рассасывающая десенсибилизирующая терапия при регулярном наблюдении за динамикой неврологического процесса.
Цистицеркоз глаза
При цистицеркозе глаз паразиты локализуются в стекловидном теле (в который он попадает из собственно сосудистой оболочки), передней камере глазного яблока, сетчаткой, конъюнктивой, и вызывают преходящие расстройства зрения. Паразит оказывает токсическое влияние на ткани глаз, что сопровождается их воспалительными и дистрофическими изменениями. Развиваются реактивные увеиты, ретиниты, конъюнктивиты, нередко приводящие к слепоте. Цистицеркоз приводит к атрофии глазного яблока. При цистицеркозе глаз отслойка сетчатки и поражение хрусталика ведут к постепенному снижению остроты зрения и слепоте.
Цистицеркоз сердца
При локализации паразитов в сердце, в области предсердно-желудочного пучка, нарушается сердечный ритм.
Цистицеркоз лёгких
Цистицеркоз лёгких в большинстве случаев протекает без выраженных клинических симптомов и обнаруживается случайно при рентгенологическом исследовании. На рентгенограмме видны круглые тени, в основном интенсивные с четкими границами величиной от зерна перца до маленькой вишни. Эти тени, как правило, разбросаны в обоих легочных полях, число их может быть различным от нескольких единиц до нескольких десятков. Очаги паразитов могут быть частично или полностью обызвествлены.
Диагностика
Диагноз устанавливают на основании обнаружения округлых образований в коже и мягких тканях туловища, конечностей. На рентгенограмме выявляются овальные или веретенообразные образования с четко контурированной оболочкой, нередко кальцифицированные. Распознаванию болезни способствуют данные эпидемиологического анамнеза, наличие у больного тениоза. Диагноз подтверждают положительные результаты серологических реакции (связывание комплемента, непрямая гемагглютинация, иммуноферментный анализ) с антигенами цистицерка, положительная реакция с ними цереброспинальной жидкости, обнаружение в ликворе цитоза с высоким процентом лимфоцитов и умеренной эозинофилией.
Лечение
При поражении мягких тканей цистицерками, если они не вызывают механического раздражения и исключено поражение ЦНС и глаз, лечение не проводится, больной остается под наблюдением. Это связано с тем, что специфические препараты — альбендазол и празиквантел вызывают гибель паразитов, продукты распада которых могут давать тяжёлые побочные реакции аллергического характера.
Лечение цистицеркоза глаза и единичных цистицерков головного мозга хирургическое. Дополнительно — этиотропная терапия альбендазолом по 400—800 мг в сутки в течение 8-30 дней перорально на фоне применения дексаметазона по 4-16 мг в сутки . Альтернативная этиотропная терапия празиквантелом по 50 мг/кг в сутки в течение 15 дней проводится также в неоперабельных случаях цистицеркоза головного мозга .
Прогноз
Прогноз при цистицеркозе мягких тканей, даже множественном, благоприятный, при поражении глаз и ЦНС — неблагоприятный, особенно при поздней диагностике и отсутствии возможности хирургического лечения.
Цистицеркоз крупного рогатого скота
Возбудителем является Cysticercus bovis. У животных при цистицеркозе поражаются главным образом мышечные ткани, чаще всего язык, жевательные, шейные и межрёберные мышцы, сердце, а при интенсивном поражении — вся мускулатура[4].
Цистицеркоз свиней
Возбудителем является Cysticercus cellulosae. При этом заболевании поражаются преимущественно мышцы, реже паренхиматозные органы и головной мозг. Для данного возбудителя человек является дефинитивным и промежуточным хозяином. Заражение свиней имеет место при поедании ими фекалий людей, содержащих членики и яйца вооруженного цепня[4].
Цистицеркоз в кино
- В первой серии первого сезона сериала «Доктор Хаус» (англ. House, M.D.) описан случай цистицеркоза мозга у молодой пациентки.
- Также случай цистицеркоза описывается в 15 серии 5 сезона телесериала «Анатомия страсти».
См. также
Литература
- Гельминтозы человека / Под ред. Ф. Ф. Сопрунова. — М., 1985.
- Озерецковская Н. Н., Зальнова Н. С., Тумольская Н. И. Клиника и лечение гельминтозов. — М., 1984.
