Хламидомонада снежная

Хламидомонада снежная
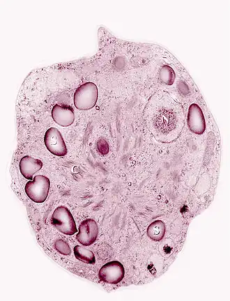
Срез клетки, визуализированный средствами трансмиссионной электронной микроскопии (окраска добавлена при цифровой обработке)
Срез клетки, визуализированный средствами трансмиссионной электронной микроскопии (окраска добавлена при цифровой обработке)
Научная классификация
Царство:
Подцарство:
Семейство:
Хламидомонадовые
Вид:
Хламидомонада снежная
Международное научное название
Chlamydomonas nivalis (F.A.Bauer) Wille, 1903
Логотип Викивидов
Систематика
в Викивидах
Логотип Викисклада
Изображения
на Викискладе
ITIS  5480
NCBI  47906
EOL  926003
IPNI  ???

Хламидомона́да сне́жная[1] (лат. Chlamydomonas nivalis) — вид одноклеточных зелёных водорослей из порядка Chlamydomonadales. Благодаря способности существовать при низких температурах и наличию красного пигмента астаксантина, вызывают явление «красного снега».

Описание

Известна своей особенностью существовать при низких температурах. Кроме неё открыто еще более 350 видов таких водорослей. Попадая в атмосферу при испарении воды, они окрашивают снег в оттенки черного, бурого или желтого[2].

Водоросль может развиваться на поверхности воды, снега и льда[2]. Зацветает после самого темного и холодного периода зимы, при незначительном нагреве воды, которая зеленеет и, по мере того, как погода проясняется, розовеет или краснеет. Температура +4 °С уже гибельна[2]. Благодаря защите от ультрафиолетового излучения, которое опасно для других организмов на высотах, может размножаться на высоте до 3,7 км над уровнем моря[2].

Аналоги

Существуют и другие водоросли снега и льда, обеспечивающие природное явление «цветение снега»[3]:

  • Рафидонема снежная (лат. Rhaphidonema nivale) — зелёная окраска снега
  • Анцилонема Норденшельда (лат. Ancylonema nordenskioeldii) — коричневая окраска снега и льда

Иллюстрации

Примечания

  1. Водоросли снега и льда // Биология. Большой биологический энциклопедический словарь / Гл. ред. М. С. Гиляров. — Москва: Большая Российская энциклопедия, 1998. — С. 688. — 864 с. — ISBN 5-85270-252-8.
  2. 1 2 3 4 В Колорадо выпал розовый снег, по вкусу похожий на арбуз. Дата обращения: 22 декабря 2010. Архивировано 28 октября 2012 года.
  3. Голлербах М. М. Водоросли снега и льда // Жизнь растений / под ред. М. М. Голлербаха. — Москва: Просвещение, 1977. — Т. 3. — С. 68—70. — 487 с.

См. также

Литература

Ссылки