Тельца Гассаля

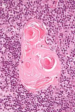
Тельца Гассаля (тельца вилочковой железы, "эпителиальные жемчужины") — слоистые эпителиальные тельца, расположенные в средней части мозгового вещества долек тимуса, образованы концентрически наслоёнными, плотными, сильно уплощёнными эпителиальными клетками. Диаметр до 50 мкм. Наибольшая концентрация наблюдается в 15 лет, затем резко убывает, но образование новых телец продолжается[1]. Название дано по имени английского врача А. Гассаля (1817—1894).
Функции, выполняемые тельцами, однозначно не установлены.
Существует несколько мнений:
- обладают фагоцитарной активностью, разрушают гибнущие тимоциты;
- способствуют дозреванию тимоцитов;
- синтезируют аутоантигены.
Тельца Гассаля состоят из эозинофильных эпителиальных ретикулярных клеток 6 типа. Функция телец Гассаля окончательно не установлена, но ряд данных свидетельствует об их роли в созревании дендритных клеток, участвующих в дифференцировке регуляторных Т-лимфоцитов.
В состав телец Гассаля входит два типа эпителиальных и семь типов вспомогательных клеток, которые на разных стадиях развития телец отличаются по ряду качественных и количественных признаков. Вспомогательные клетки активно взаимодействуют как между собой, так и с эпителиальными клетками обоих типов, влияя на развитие, функционирование и разрушение телец Гассаля. На основании полученных данных о развитии телец, нами предложен вариант их классификации, в основе которого лежат морфологические критерии и который отражает функциональные характеристики отдельных стадий развития телец. Основными клетками, формирующими тельца Гассаля, являются эпителиальные клетки мозгового вещества тимуса двух типов, которые отличаются друг от друга происхождением, строением и функциями.
Эпителиальные клетки I типа представляют собой субпопуляцию эпителиоцитов телец Гассаля, развивающихся из эпителиальных K14–К8+ клеток мозгового вещества. Они характеризуются округлой формой, синтезируют аутоантигены и подвергаются аутофагической гибели. Клетки II типа представлены субпопуляцией эпителиоцитов телец Гассаля, развивающихся из эпителиальных K14+К8– клеток мозгового вещества. Они характеризуются уплощенной формой, накапливают высокомолекулярные цитокератины и погибают в результате терминальной дифференцировки.
Состав и количество вспомогательных клеток телец Гассаля зависит от стадии развития тельца и включает дендритные клетки различной степени зрелости, макрофаги, эозинофилы, миоидные клетки, тимоциты, В-лимфоциты, некоторые нейроэндокринные клетки (синаптофизин- и нейронспецифическая енолаза – положительные). Взаимодействия телец с нейтрофилами, базофилами, гладкомышечными и эндотелиальными клетками обнаружено не было. Тельца Гассаля играют важную роль в дифференцировке дендритных клеток тимуса. Дендритные клетки, сконцентрированные возле телец, представляют собой преимущественно созревающие клетки.
В основе системной организации телец Гассаля лежит тесное взаимодействие всех элементов тельца, каждый из которых вносит свой вклад в поддержание структуры телец и осуществление их функций. Системообразующим фактором структурной организации телец Гассаля является процесс синтеза, мобилизации и передачи дендритным клеткам тканеспецифических аутоантигенов для презентации тимоцитам с целью формирования иммунной толерантности. Обнаружен ряд особенностей строения телец, облегчающих транспорт антигенов: система межклеточных каналов стенки тельца с обращенными в их полость микроворсинками и каналы-проводники, соединяющие просвет сосудов и полость телец Гассаля.
Примечания
- ↑ Вилочковая железа // Большая советская энциклопедия : [в 30 т.] / гл. ред. А. М. Прохоров. — 3-е изд. — М. : Советская энциклопедия, 1969—1978.