Синдром Морганьи — Стюарта — Мореля
| Синдром Морганьи — Стюарта — Мореля | |
|---|---|
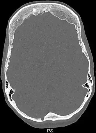
![]() Снимок компьютерной томографии черепа пациента с гиперостозом лобной кости | |
| МКБ-10 | M85.2 |
| МКБ-9 | 733.3 |
| OMIM | 144800 |
| DiseasesDB | 33260 |
Синдром Морганьи — Стюарта — Мореля (метаболическая краниопатия) — состояние, связанное с широким спектром эндокринных проблем, включая сахарный и несахарный диабеты и гиперпаратиреоз[1]. Другие признаки и симптомы включают головную боль, головокружение, избыточное оволосение по мужскому типу, проблемы с менструацией, галакторею, ожирение, депрессию и эпилептические припадки[1][2]. Утолщение внутренней поверхности лобной части черепа является, как правило, начальной стадией заболевания, известного как hyperostosis frontalis interna[1][3].
История открытия
Синдром впервые был описан в 1765 году итальянским патологоанатомом Джованни Баттиста Морганьи[3] и позднее, в 1928 году, английским неврологом Дугласом Стюартом.[4] Швейцарский врач Фердинанд Морель (1888—1957) в 1930 году к клинической картине добавил нарушения менструального цикла и импотенцию[5]. Термин «синдром Морганьи — Стюарта — Мореля» введён в 1937 году Фольке Хеншеном[6].
Этиология заболевания до конца не изучена, но оно связано с гипертрофией коры надпочечников в связи с гиперсекрецией адренокортикотропного гормона, влияние которой и обусловливает вторичные симптомы. Похожие симптомы были отмечены у женщин с повышенным пролактином на фоне гиперостоза лобной кости в 43 % случаев[7]. Ряд исследований показал аутосомно-доминантное наследование заболевания[8][9]. Заболевание характерно в основном для женщин.
Диагностика
Диагноз ставят на основе жалоб и клинической картины; также используют гистологические методы исследования. На рентгенограмме визуализируется утолщение лобной кости. Синдром Морганьи — Стюарта — Мореля дифференцируют в первую очередь от болезни Иценко — Кушинга и адипозогенитальной дистрофии.
Лечение
Лечение симптоматическое. В редких случаях может быть хирургически удалена разросшаяся внутренняя часть лобной кости.
Примечания
- 1 2 3 Nallegowda M., Singh U., Khanna M., Yadav S.L., Choudhary A.R., Thakar A. Morgagni Stewart Morel syndrome--additional features (англ.) // Neurology India : journal. — 2005. — March (vol. 53, no. 1). — P. 117—119. — doi:10.4103/0028-3886.15078. — PMID 15805672.
- ↑ Psychiatria. Podręcznik dla studentów medycyny / Bilikiewicz A. — 3. — Warszawa: Lekarskie PZWL, 2006. — P. 150. — ISBN 83-200-3388-8.
- 1 2 She R., Szakacs J. Hyperostosis frontalis interna: case report and review of literature (англ.) // Annals of Clinical and Laboratory Science : journal. — 2004. — Vol. 34, no. 2. — P. 206—208. — PMID 15228235.
- ↑ Stewart RM. Localized cranial hyperostosis in insane (англ.) // Journal of Neurology and Psychopathology. — 1928. — Iss. 8, no. 321.
- ↑ Morel F. L'hyperostose frontale interne. Syndrome de l'hyperostose frontale interne avec adipose et troubles cérébraux.. — Париж, 1930.
- ↑ Henschen F. Morgagni’s syndrome (англ.). — Jena, 1937.
- ↑ Hyperostosis frontalis, galactorrhoea/hyperprolactinaemia, and Morgagni-Stewart-Morel syndrome // The Lancet. — Elsevier, 1983-02-26. — Т. 1, вып. 8322. — С. 474. — PMID 6131191. Архивировано 16 ноября 2017 года.
- ↑ Koller M.F., Papassotiropoulos A., Henke K., Behrends B., Noda S., Kratzer A., Hock C., Hofmann M. Evidence of a genetic basis of Morgagni-Stewart-Morel syndrome. A case report of identical twins (англ.) // Neuro-degenerative diseases : journal. — 2005. — Vol. 2. — P. 56—60. — doi:10.1159/000089284. — PMID 16909048.
- ↑ Knies P.T., Le Fever H.E. Metabolic craniopathy: hyperostosis frontalis interna. (англ.) // Annals of Internal Medicine : journal. — 1941. — No. 14. — P. 1858—1892.
