Прогрессирующий супрануклеарный парез взора
| Прогрессирующий супрануклеарный парез взора | |
|---|---|
| |
| МКБ-11 | 8A00.10 |
| МКБ-10 | G23.1 |
| МКБ-10-КМ | G23.1 |
| МКБ-9-КМ | 333.0[1] |
| OMIM | 610898, 601104 и 609454 |
| DiseasesDB | 10723 |
| MedlinePlus | 000767 |
| MeSH | D013494 |
Прогрессирующий супрануклеарный парез взора (ПСПВ; также прогрессирующий надъядерный парез взора, синдром Стила-Ричардсона-Ольшевского) — спорадическое нейродегенеративное заболевание, нейропатологически характеризующееся скоплением тау-белков в астроцитах, нейрональных отростках и нейронах; анатомически преимущественно в бледном шаре, субталамическом ядре, красном ядре, черной субстанции и зубчатом ядре. Результатом этого является прогрессирующий глиоз и атрофия этих областей, снижение концентрации нейротрансмиттеров допамина, ацетилхолина, норадреналина, гамма-аминомасляной кислоты и серотонина. Относится к так называемым атипичным синдромам паркинсонизма (синдромы «паркинсонизм плюс»).
История
Впервые заболевание было описано в 1964 году Джоном Стилом, Клифордом Ричардсоном и Джерси Ольшевским. Невролог Ричардсон консультировал одного знакомого, жалующегося на беспомощность, проблемы со зрением и легкую забывчивость. Ричардсон наблюдал за развитием заболевания и описал подобные же симптомы у нескольких других пациентов. Ольшевский и Стил, также врачи, исследовали патологию мозга у умерших пациентов с описанной симптоматикой.
Эпидемиологические исследования показали, что прогрессирующий супрануклеарный парез взора является самым частым среди всех атипичных синдромов паркинсонизма. Частота возникновения оценивается в 5,3 случаев в год на 100 тыс. населения старше 50 лет, таким образом частота возникновения ПСПВ сопоставима с таковой у бокового амиотрофического склероза. Средний возраст возникновения заболевания лежит между 60 и 65 годами, в среднем смерть наступает после 5,6 лет от начала заболевания. Заболевание протекает, постоянно прогрессируя. В последних стадиях заболевания пациенты привязаны к инвалидному креслу или к кровати. Больные ПСПВ умирают от осложнений, чаще всего от аспирационной пневмонии, нейрогенной дыхательной недостаточности и эмболии легочной артерии.
Заболевание относится к таупатиям, патогенез заболевания остается невыясненным. Несмотря на спорадическое возникновение заболевания, возможна генетическая предрасположенность, ассоциированная с Н1-тау-гаплотипом. Была доказана связь возникновения заболевания с полиморфизмом экзона 10 в тау-гене хромосомы 17.
Симптоматика
Основные клинические проявления:
- прогрессирующий акинетически-ригидный синдром (синдром паркинсонизма);
- прогрессирующий супрануклеарный вертикальный парез взора;
- нарушение постурального контроля и ходьбы, типичны падения пациента уже в ранней стадии заболевания (в первый год заболевания)
- когнитивные нарушения
- дисфагия и дизартрия
- нарушения сна
- отсутствие эффекта при лечении леводопой.
- Другие признаки
Глазные симптомы возникают, как правило, в среднем в течение первых четырех лет заболевания:
- вертикальный парез взора (ограничение движения взора более чем 50 % при взгляде наверх и значительное ограничение при взгляде вниз)
- в течение заболевания: нарушение удержания взора при взгляде в сторону, нарушение горизонтального взора и конвергенции
- нарушение координации «взор-движения головы»: при взгляде в сторону сначала поворачивается голова и только потом глазные яблоки в направлении цели;
- рефлекс моргания: «flashing light»-тест — при проверке реакции зрачков на свет вызывается рефлекс моргания, также и при многократном повторе теста.
Лобные нарушения: нарушение текучести речи, нарушение абстрактного мышления, нарушение контроля над автоматическими движениями, патологический смех и плач
Необязательные симптомы:
- застывшее выражение лица с заметно замедленными миганиями и гиперподвижностью лобовой мышцы, невозможность открывания глаз по требованию из-за блефароспазма или апраксии открывания век, палилалия или палилогия, быстрая микрография.
- Психические нарушения: эмоциональная лабильность, расстройства личности.
Другие неврологические симптомы: пирамидные знаки, тремор покоя, хорея, дистония конечностей, респираторные дискинезии, миоклонии.
В ранней стадии заболевание мало чем отличается от классической болезни Паркинсона — включая склонность к акцентированию акинетически-ригидного синдрома на одной стороне тела и типичного для болезни Паркинсона тремора покоя. Отличием прогрессирующего супрануклеарного пареза взора от болезни Паркинсона является лишь незначительное и кратковременное улучшение симптоматики в ответ на лечение препаратами леводопы, быстрый прогресс заболевания и раннее возникновение апатии и падений.
Диагностика
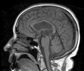
Диагностика клиническая. Дополнительно проводится магнитно-резонансная томография, однофотонная эмиссионная компьютерная томография, позитронно-эмиссионная томография.
Дифференциальная диагностика
Дифференциальный диагноз проводится с кортикобазальной дегенерацией, фронто-темпоральной дегенерацией, болезнью Паркинсона, мультисистемной атрофией и другими нейродегенеративными заболеваниями, сопровождающиеся супрануклеарным парезом взора; васкулярно обусловленным супрануклеарным парезом взора при ишемических очагах в базальных ганглиях, внутренней капсуле, среднем мозге; внутричерепной гипертензией, опухолями среднего мозга, болезнью Виппла.
Лечение
Из-за крайне низкого числа рандомизированных контролируемых исследований прагматическая терапия прогрессирующего супрануклеарного пареза взора основывается на так называемом эмпирическом уровне доказательности. Из-за весьма ограниченных фармакотерапевтических возможностей рекомендуется раннее подключение физиотерапии, эрготерапии и логопедических занятий. Особенное внимание стоит обратить на профилактику падений. При выраженном нарушении глотания рекомендуется подача питания через гастростому. Назогастральные зонды должны применяться только кратковременно. Несмотря на небольшие надежды на медикаментозное лечение, стоит начать его с леводопы. Препаратами второго выбора является амитриптилин и золпидем — оба препарата могут на период от недель до нескольких месяцев улучшить моторную симптоматику. Показал свою эффективность коэнзим Q10. На настоящий момент нет доказательств положительного действия холинэргических, серотонинэргических или норадренэргических препаратов у пациентов с ПСПВ. При апраксии открывания глаз и дистонии конечностей оказывают хороший эффект локальные инъекции токсина ботулина типа А. Применение призменных линз в очках не показало какого-либо эффекта.
Ссылки
- ↑ Monarch Disease Ontology release 2018-06-29 — 2018-06-29 — 2018.
Литература
- H. Steffen. Neuritis nervi optici» // Der Nervenarzt, № 12, 2013.
- Neurologie compact für Klinik und Praxis, herausgegeben von Andreas Hufschmidt, 6. Auflage, 2013.
- Therapie und Verlauf neurologischer Erkrankungen, 6. Auflage, 2013, s. 997 «Progressive supranukleäre Blickparese».
- Guy Arnold. Früh- und Differentialdiagnose von Parkinson-Syndromen. Habilitationsschrift, 2001.
