Постсинаптическое уплотнение

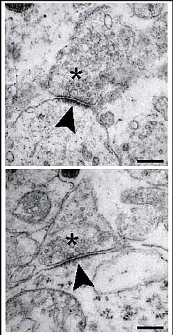
Постсинаптическое уплотнение, ПСУ (англ. Postsynaptic density, PSD) — плотная зона, присутствующая в некоторых синапсах, обычно глутаматергических, с внутренней стороны постсинаптической мембраны, и содержащая сложные конструкции из глутаматных рецепторов, молекул клеточной адгезии, белков цитоскелета и других. Многие белки ПСУ содержат PDZ-домены.
В постсинаптическом уплотнении встречается белок PSD-95, Нейролигины, NMDA-рецепторы, AMPA-рецепторы, CaMKII.