Пинеалоциты

Пинеалоциты
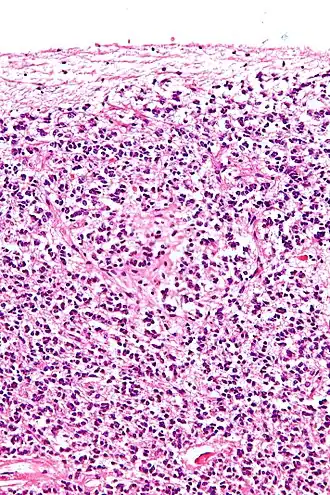
Поперечный разрез шишковидной железы, на котором видны пинеалоциты и другие клетки.
Поперечный разрез шишковидной железы, на котором видны пинеалоциты и другие клетки.

Пинеалоциты — это основные клетки, содержащиеся в шишковидной железе, расположенной за третьим желудочком и между двумя полушариями головного мозга. Основной функцией пинеалоцитов является секреция гормона мелатонина, важного в регуляции циркадных ритмов(сна). У людей супрахиазматическое ядро гипоталамуса передает пинеалоцитам сигнал темноты и, как следствие, контролирует дневной и ночной цикл[1]. Было высказано предположение, что пинеалоциты происходят из фоторецепторных клеток[2]. Исследования также показали снижение количества пинеалоцитов путем апоптоза с увеличением возраста организма[3]. Существует два разных типа пинеалоцитов, тип I и тип II, которые были классифицированы на основе определенных свойств, включая форму, наличие или отсутствие складчатости ядерной оболочки и состав цитоплазмы.

Типы пениалоцитов

Пениалоциты первого типа

Пинеалоциты типа 1 также известны как светлые пинеалоциты, потому что они окрашиваются с низкой плотностью при просмотре под световым микроскопом и кажутся более светлыми для человеческого глаза. Эти клетки типа 1 были идентифицированы в ходе исследований как имеющие круглую или овальную форму, их диаметр от 7 до 11 микрометров. Пинеалоциты типа 1, как правило, более многочисленны как у детей, так и у взрослых, чем пинеалоциты второго типа[4]. Они также считаются более активными клетками из-за наличия определенного клеточного содержимого, включая высокую концентрацию митохондрий[5]. Другой особенностью пинеалоцитов типа 1, является увеличение количества лизосом и плотных гранул, присутствующих в клетках, по мере увеличения возраста организма, что, возможно, указывает на важность аутофагоцитоза в этих клетках[4]. Исследования также показали, что пинеалоциты типа 1 содержат Нейромедиатор серотонин, который позже преобразуется в мелатонин, основной гормон, секретируемый шишковидной железой[6].

Пениалоциты второго типа

Пинеалоциты типа 2 также известны как темные пинеалоциты, потому что они окрашиваются с высокой плотностью при просмотре под световым микроскопом и кажутся темнее для человеческого глаза. Как показали исследования и микроскопия, они представляют собой круглые, овальные или удлиненные клетки диаметром около 7-11,2 микрометров.(они в среднем больше чем пениалоциты первого типа) Ядро пинеалоцита типа 2 содержит множество складок, которые содержат большое количество грубого эндоплазматического ретикулума и рибосом[4]. В этих клетках типа 2 шишковидной железы также было обнаружено обилие ресничек и центриолей. Уникальным для типа 2 является наличие вакуолей, содержащих 2 слоя мембраны. Поскольку клетки типа 1 содержат серотонин, клетки типа 2 содержат мелатонин и, как полагают, имеют схожие характеристики с эндокринными и нейрональными клетками[5].

Синаптические ленты

Синаптические ленты — это органеллы, которые можно увидеть в пинеалоцитах с помощью электронной микроскопии . Синаптические ленты обнаружены в пинеалоцитах как у детей, так и у взрослых, но не обнаружены у эмбрионов[4]. Исследования на крысах выявили больше информации об этих органеллах. Характерным белком синаптических лент является RIBEYE, что было обнаружено с помощью световой и электронной микроскопии. У низших позвоночных синаптические ленты служат фоторецепторным органом, но у высших позвоночных они выполняют секреторные функции внутри клетки. Наличие таких белков, как Munc13-1, указывает на то, что они важны для высвобождения нейромедиаторов. Ночью синаптические ленты крыс кажутся больше и слегка изогнутыми, но днем они кажутся меньше и похожими на палочки[7].

Эволюция пениалоцитов

Распространенная теория эволюции пинеалоцитов заключается в том, что они произошли от фоторецепторных клеток . Предполагается, что у предков позвоночных пинеалоциты выполняли ту же функцию, что и фоторецепторные клетки, такие как клетки сетчатки; у многих позвоночных, не относящихся к млекопитающим, пинеальные клетки сетчатки по-прежнему активно фоторецепторны, хотя эти клетки не вносят вклад в зрительное изображение.[8] Между двумя типами клеток существуют структурные, функциональные и генетические сходства. Структурно оба развиваются из промежуточного мозга, во время эмбрионального развития. Оба типа клеток имеют схожие черты, включая реснички, складчатые мембраны и полярность. Функциональные доказательства этой теории эволюции можно увидеть у позвоночных, не относящихся к млекопитающим. Сохранение светочувствительности пинеалоцитов у рыб, амфибий, рептилий и птиц, а также секреция мелатонина некоторыми из этих низших позвоночных предполагает, что пинеалоциты млекопитающих могли когда-то служить фоторецепторными клетками[9].

Синтез мелатонина

Регуляция

Структура мелатонина

Регуляция синтеза мелатонина важна для основной функции мелатонина в циркадных ритмах . Основным молекулярным механизмом контроля, который существует для секреции мелатонина у позвоночных, является фермент AANAT (арилалкиламин N-ацетилтрансфераза). Экспрессия AANAT контролируется фактором транскрипции(выделения) pCREB. AANAT активируется через систему протеинкиназы A, в которой участвует циклический АМФ (цАМФ). Активация AANAT приводит к увеличению выработки мелатонина. Хотя существуют некоторые различия, характерные для определенных видов позвоночных, влияние цАМФ на AANAT и AANAT на синтез мелатонина остается довольно постоянным[9].

Синтез мелатонина также регулируется нервной системой. Нервные волокна в ретиногипоталамическом тракте соединяют сетчатку с супрахиазматическим ядром (SCN). SCN стимулирует высвобождение норадреналина из симпатических нериных волокон и из верхних шейных ганглиев, которые образуют синапсы с пинеалоцитами. Норадреналин вызывает выработку мелатонина в пинеалоцитах, стимулируя выработку цАМФ[9]. Поскольку высвобождение норадреналина из нервных волокон происходит ночью, эта система регуляции поддерживает циркадные ритмы организма[1].

Синтез

Synthesis of Melatonin
Synthesis of Melatonin

Пинеалоциты синтезируют мелатонин, сначала преобразуя аминокислоту триптофан в серотонин. Затем серотонин ацетилируется ферментом AANAT и превращается в N-ацетилсеротонин . N-ацетилсеротонин превращается в мелатонин ферментом гидроксииндол O-метилтрансферазой (HIOMT), также известным как ацетилсеротонин O-метилтрансфераза (ASMT). Активность этих ферментов высока ночью и регулируется ранее обсуждавшимися механизмами, включающими норадреналин[1].

Примечания

  1. 1 2 3 S. R. Pandi-Perumal, V. Srinivasan, G. J. M. Maestroni, D. P. Cardinali, B. Poeggeler, R. Hardeland. Melatonin (англ.) // The FEBS Journal. — 2006. Vol. 273, iss. 13. P. 2813–2838. ISSN 1742-4658. doi:10.1111/j.1742-4658.2006.05322.x.
  2. Hiroaki Mano, Yoshitaka Fukada. A Median Third Eye: Pineal Gland Retraces Evolution of Vertebrate Photoreceptive Organs (англ.) // Photochemistry and Photobiology. — 2007. Vol. 83, iss. 1. P. 11–18. ISSN 1751-1097. doi:10.1562/2006-02-24-IR-813.
  3. V. O. Polyakova, N. S. Linkova, S. A. Pichugin. Changes in apoptosis and cell proliferation in human pineal gland during aging // Bulletin of Experimental Biology and Medicine. — 2011-02. Т. 150, вып. 4. С. 468–470. ISSN 1573-8221. doi:10.1007/s10517-011-1170-x.
  4. 1 2 3 4 S. M. Al-Hussain. The pinealocytes of the human pineal gland: A light and electron microscopic study // Folia Morphologica. — 2006-08. Т. 65, вып. 3. С. 181–187. ISSN 0015-5659.
  5. 1 2 J. Calvo, J. Boya. Ultrastructure of the pineal gland in the adult rat // Journal of Anatomy. — 1984-05. Т. 138 ( Pt 3), вып. Pt 3. С. 405–409. ISSN 0021-8782.
  6. V. Kh. Khavinson, N. S. Linkova, I. M. Kvetnoy, T. V. Kvetnaia, V. O. Polyakova, H.-W. Korf. Molecular Cellular Mechanisms of Peptide Regulation of Melatonin Synthesis in Pinealocyte Culture (англ.) // Bulletin of Experimental Biology and Medicine. — 2012-06-01. Vol. 153, iss. 2. P. 255–258. ISSN 1573-8221. doi:10.1007/s10517-012-1689-5.
  7. Isabella Spiwoks-Becker, Christian Maus, Susanne tom Dieck, Anna Fejtová, Lydia Engel, Tanja Wolloscheck, Uwe Wolfrum, Lutz Vollrath, Rainer Spessert. Active zone proteins are dynamically associated with synaptic ribbons in rat pinealocytes (англ.) // Cell and Tissue Research. — 2008-08-01. Vol. 333, iss. 2. P. 185–195. ISSN 1432-0878. doi:10.1007/s00441-008-0627-3.
  8. G A Pu, J E Dowling. Anatomical and physiological characteristics of pineal photoreceptor cell in the larval lamprey, Petromyzon marinus. // Journal of Neurophysiology. — 1981-11. Т. 46, вып. 5. С. 1018–1038. ISSN 0022-3077. doi:10.1152/jn.1981.46.5.1018.
  9. 1 2 3 David C. Klein. Evolution of the vertebrate pineal gland: the AANAT hypothesis // Chronobiology International. — 2006. Т. 23, вып. 1—2. С. 5–20. ISSN 0742-0528. doi:10.1080/07420520500545839.