Патологический перелом
| Патологический перелом | |
|---|---|
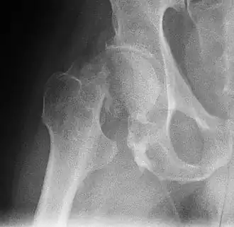
![]() Шейка бедра - типичная локализация патологического перелома | |
| МКБ-11 | FB80.B |
| МКБ-10 | M80 |
| МКБ-9 | 733.1 |
| DiseasesDB | 9720 |
| MeSH | D005598 |
Патологический перелом кости — перелом кости в зоне её патологической перестройки (поражения каким-либо заболеванием — остеопорозом, опухолью, остеомиелитом и др.).
Наиболее ярким симптомом, свидетельствующим о патологическом характере, является возникновение перелома от неадекватной по силе травмы (наиболее часто при падении с высоты роста или меньшей) или без таковой. В некоторых случаях в анамнезе можно выявить боли или дискомфорт в области перелома перед его появлением. Более достоверны в диагностике патологического характера перелома методы рентгенографии, компьютерной или магнитно-резонансной томографии. В отдельных случаях природу патологического процесса, вызвавшего перелом, позволяет установить только биопсия.[1]
Типичная локализация патологических переломов — шейка бедренной кости, позвонки, дистальный эпифиз лучевой кости (перелом Коллиса). После исключения иных причин патологического перелома (неопластический процесс и др.) пациенту ставится диагноз «остеопороз», вне зависимости от данных денситометрии костей.
Консолидация патологических переломов часто затруднена в связи с фоновой патологией костной ткани, из-за чего пациенты могут оставаться длительное время обездвиженными, что приводит к осложнениям, зачастую летальным. Так, в Великобритании смертность в течение первого года после перелома шейки бедра колеблется от 20% до 35% у пациентов с возрастом 82±7 лет, из которых 80% составляют женщины[2].
Примечания
- ↑ Справочник по травматологии и ортопедии. Патологические переломы. Детская ортопедия. Дата обращения: 11 октября 2009. Архивировано 23 декабря 2007 года.
- ↑ Mortality after admission to hospital with fractured neck of femur: database study (англ.)
