Гастроэзофагеальная рефлюксная болезнь

Гастроэзофагеальная рефлюксная болезнь
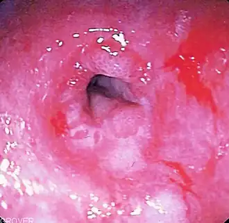
Пептическая стриктура (сужение) пищевода около НПС, являющаяся осложнением хронической гастроэзофагеальной рефлюксной болезни
Пептическая стриктура (сужение) пищевода около НПС, являющаяся осложнением хронической гастроэзофагеальной рефлюксной болезни
МКБ-11 DA22
МКБ-10 K21
МКБ-10-КМ K21.9 и K21
МКБ-9 530.81
МКБ-9-КМ 530.81[1][2]
OMIM 109350
DiseasesDB 23596
MedlinePlus 000265
eMedicine med/857 ped/1177 radio/300
MeSH D005764
Логотип Викисклада Медиафайлы на Викискладе

Гастроэзофагеа́льная рефлю́ксная боле́знь (ГЭРБ) — хроническое рецидивирующее заболевание, обусловленное нарушением моторно-эвакуаторной функции органов гастроэзофагеальной зоны и характеризующееся регулярно повторяющимся забросом в пищевод содержимого желудка, а иногда и двенадцатиперстной кишки, что приводит к появлению клинических симптомов, ухудшающих качество жизни пациентов, повреждению слизистой оболочки дистального отдела пищевода с развитием в нём дистрофических изменений неороговевающего многослойного плоского эпителия, катарального или эрозивно-язвенного эзофагита (рефлюкс-эзофагит), а у части больных — цилиндроклеточной метаплазии (пищевод Баррета)[3].

Распространённость в мире

Распространенность еженедельных симптомов ГЭРБ в России варьирует от 6,4 % до 23,6 %, в среднем 14,5 %, что сравнимо с данными по распространенности еженедельных симптомов ГЭРБ в западных странах. Наиболее высокая распространенность симптомов ГЭРБ не менее 1 раза в неделю отмечается в Северной Америке (США) — 20,8 %, затем в Европе — 18,9 %, Австралии и Южной Америке — 13,4 %, и существенно реже в Азии — 10,2 %. Выявлен общий тренд в сторону увеличения еженедельных симптомов ГЭРБ во всех регионах мира. Причем у 45—80 % больных с ГЭРБ обнаруживают эзофагит[4].

РегионРаспространенность, %
Северная Америка 20,8
Европейские страны 18,9
Южная Америка 13,4
Средний Восток 10,9—22,5
Австралия 13,4
Восточноазиатские страны 5,25—10,7
Россия 6,4—23,6 

Среди больных эзофагитом распространённость пищевода Баррета колеблется от 5 до 30 %. На фоне данного прогрессирования диспластических изменений в метаплазированном по кишечному типу эпителия слизистой оболочки дистального отдела пищевода наблюдается рост заболеваемости аденокарциномы пищевода[3].

Этиология

Развитию гастроэзофагеальной рефлюксной болезни способствуют следующие причины:

На развитие гастроэзофагеальной рефлюксной болезни влияют и особенности образа жизни, такие как стресс, работа, связанная с наклонным положением туловища, ожирение, беременность, курение, факторы питания (жирная пища, шоколад, кофе, фруктовые соки, алкоголь, острая пища), а также приём повышающих периферическую концентрацию дофамина препаратов (фенамин, первитин, прочих производных фенилэтиламина).

Клиника

Проявляется ГЭРБ в первую очередь изжогой, кислой отрыжкой, которые чаще возникают после еды, при наклоне туловища вперёд или в ночное время. Вторым по частоте проявлением данного заболевания является загрудинная боль, которая иррадиирует в межлопаточную область, шею, нижнюю челюсть, левую половину грудной клетки.

К внепищеводным проявлениям заболевания относят лёгочные симптомы (кашель, одышка, чаще возникающие в положении лёжа), отоларингологические симптомы (охриплость голоса, сухость в горле, тонзиллит, синусит, белый налёт на языке) и желудочные симптомы (быстрое насыщение, вздутие, тошнота, рвота), также к симптомам относят лимфаденопатию и железодефицитную анемию[5].

Диагностика

Диагностика ГЭРБ включает в себя следующие методы исследования:[6][7]

Методы исследования Возможности метода
Суточное мониторирование pH в нижней трети пищевода
Фрагмент суточной pH-граммы у больного с гастроэзофагеальной рефлюксной болезнью
Определяет количество и продолжительность эпизодов, при которых показатели pH меньше 4 и больше 7, их связь с субъективными симптомами, приёмом пищи, положением тела, приёмом лекарств. Даёт возможность индивидуального подбора терапии и контроля эффективности действия препаратов.
Рентгенологическое исследование пищевода Выявляет грыжу пищеводного отверстия диафрагмы, эрозии, язвы, стриктуры пищевода.
Эндоскопическое исследование пищевода Выявляет воспалительные изменения пищевода, эрозии, язвы, стриктуры пищевода, Пищевод Барретта. Классификация эзофагитов Савари-Миллера является наиболее часто используемой среди врачей-эндоскопистов[8]
Манометрическое исследование пищеводных сфинктеров Позволяет выявить изменение тонуса пищеводных сфинктеров.
Сцинтиграфия пищевода Позволяет оценить пищеводный клиренс.
Импедансометрия пищевода Позволяет исследовать нормальную и ретроградную перистальтику пищевода и рефлюксы различного происхождения (кислые, щелочные, газовые).

Лечение

Лечение ГЭРБ включает изменение образа жизни, медикаментозную терапию, в наиболее сложных случаях — хирургическое вмешательство. Лечение должно быть направлено на уменьшение рефлюкса, снижение повреждающих свойств рефлюктата, улучшение пищеводного клиренса и защиту слизистой оболочки пищевода[9].

Изменение образа жизни

Пациентам, страдающим ГЭРБ, рекомендуется:

  • Нормализация массы тела — лишний вес является одной из сопутствующих причин для возникновения ГЭРБ. Обычно физические упражнения являются одним из основных средств для борьбы с лишним весом, однако чрезмерная физическая нагрузка может привести к ухудшению симптомов заболевания.
  • Важно не переедать, принимать пищу малыми порциями, с перерывом в 15—20 минут между блюдами, не есть позже, чем за 3—4 часа до сна.
  • Исключение нагрузок, связанных с повышением внутрибрюшного давления, а также ношение тесных поясов, ремней и т. п.
  • Приподнятое положение (15—20 см) головного конца кровати ночью.

Диета

Изменение диеты может в некоторой степени влиять на ход лечения заболевания. На сегодняшний день не существует какой-либо стандартной диеты для больных ГЭРБ, но врачи рекомендуют придерживаться диет, во многом общих для кислотных заболеваний желудка.[10][11]

Необходимо исключить из рациона следующие продукты:

  • жирную и жареную пищу;
  • острую пищу (включая пряные специи, лук, чеснок, имбирь и т. п.);
  • шоколад;
  • кофе и чёрный чай (из-за содержания в них кофеина);
  • газированные напитки (углекислый газ растягивает стенки желудка, вызывая тошноту и повышая вероятность выброса содержимого желудка в пищевод)[12];
  • цитрусовые и кислые продукты (включая напитки);
  • грибы (крайне тяжелы для желудка);
  • свежий ржаной хлеб;
  • сладкое: халва, шоколад, мороженое, торты;
  • соленые, квашеные и маринованые овощи.

Можно употреблять следующие продукты:

  • сухой хлеб из пшеничной муки первого или второго сорта, сухари, несдобную выпечку;
  • нежирные мясо и рыбу;
  • сладкие, спелые фрукты, желательно в запечённом виде;
  • жидкие крупы (овсяная, манная, гречневая, рисовая каши); пшено, перловку, ячневую и кукурузные крупы лучше не употреблять слишком часто;
  • блюда из молока и творога;
  • сладкое: варенье, зефир, мед, пастила, сливочные и молочные пудинги;
  • напитки: любые негазированные напитки, кроме кислых, острых и содержащих кофеин, травяные чаи, например, с мелиссой или мёдом[13].

Рекомендуется прекратить курение на время лечения болезни[14], а также ограничить употребление алкоголя[15].

Есть некоторые доказательства того, что нежирное молоко и щёлочная минеральная вода по отдельности способны временно нейтрализовывать желудочные кислоты.[16][17][18]

Медикаментозная терапия

Медикаментозная терапия ГЭРБ направлена, в основном, на нормализацию кислотности и улучшение моторики. Для лечения ГЭРБ применяются антисекреторные средства (ингибиторы протонного насоса, блокаторы H2-гистаминовых рецепторов), прокинетики и антациды.

Ингибиторы протонного насоса (ИПН) более эффективны, чем блокаторы H2-гистаминовых рецепторов и имеют меньше побочных эффектов. Рекомендуется принимать ИПН рабепразол в дозе 20—40 мг/сутки, омепразол в дозе 20—60 мг/сутки или эзомепразол в дозе 20—40 мг/сутки в течение 6—8 недель[7]. При лечении эрозивных форм ГЭРБ ИПН принимаются длительное время, несколько месяцев или даже годы. В этой ситуации становится важным вопрос безопасности ИПН. В настоящее время имеются предположения об увеличении ломкости костей, кишечных инфекций, внебольничной пневмонии, остеопороза. При длительном лечении ГЭРБ ингибиторами протонного насоса, особенно у пожилых пациентов, часто приходится учитывать взаимодействие с другими лекарствами. При необходимости приёма одновременно с ИПН других лекарственных средств для лечения или профилактики иных заболеваний, предпочтение отдаётся рабепразолу и пантопразолу, как наиболее безопасным в отношении взаимодействия с другими лекарствами[19].

При лечении ГЭРБ применяют невсасывающиеся антациды — фосфалюгель, маалокс, мегалак, алмагель и другие, а также альгинаты топалкан, гевискон и другие. Наиболее эффективны невсасывающиеся антациды, в частности, маалокс. Его принимают по 15—20 мл 4 раза в день через час-полтора после еды в течение 4—8 недель. При редкой изжоге антациды применяются по мере её возникновения[7].

Для нормализации моторики принимают прокинетики[7] — специальные лекарственные препараты, которые усиливают перистальтику желудочно-кишечного тракта. Некоторые представители прокинетиков: Домперидон и Метоклопрамид.

Могут быть назначены витаминные препараты: пантотеновая кислота (витамин B5) и метилметионинсульфония хлорид. Пантотеновая кислота восстанавливает слизистые оболочки и стимулирует перистальтику кишечника, что способствует более быстрому выведению пищи из желудка. Таким образом обеспечивается «запирание» сфинктера, расположенного между желудком и пищеводом[20]. Метилметионинсульфония хлорид способствует сокращению желудочной секреции и обеспечивает обезболивающий эффект[21].

Хирургическое лечение

Подтвержденные методы лечения включают:

  1. Магнитный браслет Linx[22], надеваемый на пищевод и не допускающий забрасывания содержимого желудка в пищевод, но не препятствующий попаданию пищи вовнутрь.
  2. Операция TIF c использованием EsophyX[23], возвращающая желудку естественное состояние и предотвращающая причину болезни.

В настоящее время среди специалистов отсутствует единое мнение в отношении показаний для хирургического лечения. Для лечения ГЭРБ применяется операция фундопликации, выполняемая лапароскопическим способом. Однако даже хирургическое вмешательство не даёт гарантии полного отказа от пожизненной терапии ИПН. Хирургическая операция проводится при таких осложнениях ГЭРБ, как пищевод Барретта, рефлюкс-эзофагит III или IV степени, стриктуры или язвы пищевода, а также при низком качестве жизни, обусловленном:

  • сохраняющимися или постоянно возникающими симптомами ГЭРБ, не устраняемыми с помощью изменения образа жизни или медикаментозной терапии;
  • зависимостью от приёма лекарств или в связи с их побочными эффектами;
  • грыжей пищеводного отверстия диафрагмы.

Решение об операции должно приниматься с участием врачей разных медицинских специальностей (гастроэнтеролога, хирурга, возможно, кардиолога, пульмонолога и других) и после проведения таких инструментальных исследований, как эзофагогастродуоденоскопия, рентгенологическое исследование верхних отделов ЖКТ, манометрия пищевода[24], если выполнены все мероприятия по нормализации образа жизни и доказано (с помощью рН-импедансометрии) наличие патологического желудочно-пищеводного рефлюкса[25].

Примечания

  1. Disease Ontology (англ.) — 2016.
  2. Monarch Disease Ontology release 2018-06-29 — 2018-06-29 — 2018.
  3. 1 2 В. Т. Ивашкин, И. В. Маев, А. С. Трухманов и др. Клинические рекомендации Российской гастроэнтерологической ассоциации по диагностике и лечению гастроэзофагеальной рефлюксной болезни // Российский журнал гастроэнтерологии, гепатологии, колопроктологии. — 2017. Т. 27, № 4. doi:10.22416/1382-4376-2017-27-4-75-95. Архивировано 23 сентября 2020 года.
  4. Маев И. В., Баркалова Е. В., Овсепян М. А. и др. Возможности pH-импедансометрии и манометрии высокого разрешения при ведении пациентов с рефрактерной гастроэзофагеальной рефлюксной болезнью // Терапевтический архив. — Терапевтический архив. № 89(2). С. 76—83. ISSN 0040-3660.
  5. Архивированная копия. Дата обращения: 11 марта 2019. Архивировано 22 декабря 2018 года.
  6. Маев И. В., Вьючнова Е. С., Щекина М. И. Гастроэзофагеальная рефлюксная болезнь Архивная копия от 9 ноября 2006 на Wayback Machine // «Лечащий врач». — 2004. — № 4.
  7. 1 2 3 4 Рапопорт С. И. Гастроэзофагеальная рефлюксная болезнь Архивная копия от 24 января 2016 на Wayback Machine (Пособие для врачей). — М.: «Медпрактика-М». — 2009. — 12 с. — ISBN 978-5-98803-157-4.
  8. Классификации рефлюкс-эзофагита и их критический анализ. ЭндоЭксперт. Дата обращения: 21 сентября 2020. Архивировано 17 апреля 2021 года.
  9. Ивашкин В.Т. Гастроэзофагеальная рефлюксная болезнь. Клинические рекомендации по диагностике и лечению. Москва - 2014. Дата обращения: 18 июня 2019. Архивировано 21 января 2021 года.
  10. Правильное питание при ГЭРБ. Клиника на Ленинском (9 апреля 2019). Дата обращения: 5 февраля 2021. Архивировано 13 февраля 2021 года.
  11. Лечебное питание при гастроэзофагеальной рефлюксной болезни. tniikip.rospotrebnadzor.ru. Дата обращения: 5 февраля 2021. Архивировано 9 февраля 2021 года.
  12. Best drinks for acid reflux: Tips, best practices, and drinks to avoid (англ.). www.medicalnewstoday.com (6 ноября 2018). Дата обращения: 5 февраля 2021. Архивировано 11 февраля 2021 года.
  13. Honey for Acid Reflux: Does It Work? (англ.). Healthline (25 мая 2016). Дата обращения: 5 февраля 2021. Архивировано 3 марта 2021 года.
  14. GERD: Controlling Heartburn by Changing Your Habits. www.uofmhealth.org. Дата обращения: 5 февраля 2021. Архивировано 5 марта 2021 года.
  15. Shao-hua Chen, Jie-wei Wang, You-ming Li. Is alcohol consumption associated with gastroesophageal reflux disease? // Journal of Zhejiang University. Science. B. — 2010-6. Т. 11, вып. 6. С. 423—428. ISSN 1673-1581. doi:10.1631/jzus.B1000013. Архивировано 11 ноября 2020 года.
  16. «Боржоми»: изучая тайну целебных свойств (рус.). Дата обращения: 5 февраля 2021. Архивировано 25 июня 2021 года.
  17. Jamie A. Koufman, Nikki Johnston. Potential benefits of pH 8.8 alkaline drinking water as an adjunct in the treatment of reflux disease // The Annals of Otology, Rhinology, and Laryngology. — 2012-07. Т. 121, вып. 7. С. 431—434. ISSN 0003-4894. doi:10.1177/000348941212100702. Архивировано 10 февраля 2021 года.
  18. What Is Alkaline Water, and Can It Really Help With Heartburn? (англ.). Health.com. Дата обращения: 5 февраля 2021. Архивировано 12 ноября 2020 года.
  19. Бордин Д. С. Безопасность лечения как критерий выбора ингибитора протонной помпы больному гастроэзофагеальной рефлюксной болезнью Архивная копия от 21 ноября 2011 на Wayback Machine. // Consilium Medicum. — 2010. — Т. 12. — № 8.
  20. Н. Б. Губергриц, С. В. Налётов, П. Г. Фоменко. И снова репаранты… // Современная гастроэнтерология. — 2013. — № 1 (69). — С. 157—165.
  21. Смирнов В. А., Климочкин Ю. Н. Витамины и коферменты. Учебное пособие. Ч. II. — Самара: Изд-во СГТУ, 2008. — 91 с.
  22. The LINX Reflux Management System: Stop Reflux at its Source. www.toraxmedical.com. Дата обращения: 16 июня 2016. Архивировано из оригинала 15 марта 2016 года.
  23. ESOPHYX Norwalk | Incisionless Acid Reflux Surgery New London | GERD Treatment Stamford | FCB Surgical Specialists Shelton, CT. www.antireflux.com. Дата обращения: 16 июня 2016. Архивировано из оригинала 21 марта 2016 года.
  24. Стандарты диагностики и лечения кислотозависимых и ассоциированных с Helicobacter pylori заболеваний (четвертое московское соглашение) Архивная копия от 19 ноября 2011 на Wayback Machine. Приняты X съездом Научного общества гастроэнтерологов России 5 марта 2010 года.
  25. Ивашкин В. Т., Маев И. В., Трухманов А. С. и др. Рекомендации Российской гастроэнтерологической ассоциации по диагностике и лечению гастроэзофагеальной рефлюксной болезни // РЖГГК. — 2020. Т. 30, № 4. С. 70—97. Архивировано 15 июля 2021 года.

Литература