Бактериальный вагиноз
| Бактериальный вагиноз | |
|---|---|
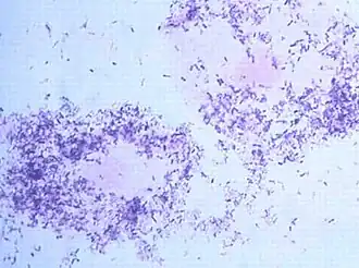
![]() Морфотипы Gardnerella vaginalis во влагалищном мазке, под микроскопом. | |
| МКБ-10 | B96, N76 |
| МКБ-9 | 616.1 |
| MeSH | D016585 |
Бактериа́льный вагино́з — полимикробный клинический невоспалительный синдром, возникающий в результате замещения нормальной микрофлоры влагалища (Lacto- bacillus spp.) анаэробной флорой в высоких концентрациях (Bacteroides/Prevotella spp., Mobiluncus spp., Veillonella spp., Gardnerella vaginalis, Atopobium vaginaе)
Многообразие различных микроорганизмов, участвующих в возникновении бактериального вагиноза, объясняет термин «бактериальный», а в связи с отсутствием в отделяемом влагалища лейкоцитов — клеток, ответственных за развитие воспалительной реакции, произошло изменение термина «вагинит» на термин «вагиноз».
Этиология

У здоровых девушек и женщин 16-40 лет ведущее место в вагинальном биоценозе занимают лактобактерии, имеющие историческое название «палочки Дедерлейна». Они занимают более 95 % всей микрофлоры влагалища.
Кроме лактобактерий, в состав влагалищной микрофлоры входят более 300 микроорганизмов, которые составляют оставшиеся 5 %. В состав нормальной микрофлоры влагалища могут входить всевозможные микроорганизмы (Таблица 1).
Таблица 1. Видовой состав нормальной микрофлоры влагалища женщин репродуктивного периода.
| Грамположительные палочки | Lactobacillus spp., Corynebacterium spp., Eubacterium spp., Bifidobacterium spp., Propionibacterium spp., Clostridium spp. |
| Грамотрицательные облигатно анаэробные палочки (14—55 %) | Bacteroides spp., Fusobacterium spp., Prevotella spp., Porphyromonas spp., Leptotrichia spp. |
| Грамположительные кокки (30—80 %) | Peptostreptococcus spp., Peptococcus spp., Staphylococcus spp., Micrococcus varians, Enterococcus spp., Streptococcus viridans и др. |
| Грамотрицательные кокки | Veilonella spp., Acidominococcus fermentans, непатогенные Neisseria spp. (не gonorrhoeae) |
| Энтеробактерии | Echeriсhia coli, Klebsiella spp., Enterobacter spp., Citrobacter spp. и др. |
Колонизируя слизистую влагалища, лактобациллы принимают участие в формировании экологического барьера и обеспечивают тем самым резистентность влагалищной микрофлоры. Защитные свойства лактобацилл реализуются по-разному: за счет антагонистической активности, способности продуцировать лизоцим, адгезивных свойств. Однако основным механизмом, обеспечивающим устойчивость влагалищной микрофлоры, являются кислотообразование и продукция перекиси водорода. В норме вагинальное содержимое имеет кислую реакцию (рН = 3,8—4,5), возникающую в результате образования молочной кислоты (продукта метаболизма лактобактерий). При низких показателях рН влагалища происходит подавление роста патогенных и условно-патогенных микроорганизмов, таких как гарднерелла, стрептококки и облигатные анаэробы.
Особенностью микрофлоры влагалища является её изменчивость под действием как экзогенных, так и эндогенных факторов. На биоценоз оказывают влияние физиологические и гормональные изменения (пубертатный период, беременность, менопауза), фазы менструального цикла, различные нарушения менструальной функции. Большое значение имеют степень половой активности, использование антибактериальных препаратов, гормонотерапия, хирургические вмешательства. При бактериальном вагинозе, развившемся в результате действия одного или сочетания перечисленных факторов, происходит существенное снижение количества лактобацилл, сопровождающееся колонизацией влагалища Gardnerella vaginalis и другими БВ-ассоциированными микроорганизмами (всего около 200 видов).
Факторы риска
- ранее перенесенные заболевания половых органов воспалительного характера;
- длительный и бесконтрольный прием антибактериальных препаратов;
- наличие различных нарушений менструального цикла;
- наличие фоновых процессов шейки матки;
- длительное применение ВМС с целью контрацепции;
- применение оральных контрацептивов.
Патогенез
Патогенез бактериального вагиноза достаточно сложен. Ключевым моментом является нарушение баланса вагинальной микрофлоры под влиянием эндо- и/или экзогенных факторов, в результате чего происходит снижение плотности обсеменённости слизистой влагалища лактобактериями, которые замещаются анаэробной и факультативно-анаэробной флорой. Анаэробы продуцируют летучие жирные кислоты и аминокислоты, которые расщепляются до летучих аминов, в результате чего появляется неприятный запах выделений у пациенток с бактериальным вагинозом. Важно отметить, что при бактериальном вагинозе не наблюдается воспалительной реакции организма (нет повышения количества лейкоцитов). Важным фактором, приводящим к персистенции и рецидивированию бактериального вагиноза, является формирование биоплёнки на поверхности эпителия влагалища. Биоплёнка препятствует самостоятельному восстановлению микрофлоры влагалища; более того, показано, что у женщин с рецидивирующим бактериальным вагинозом биоплёнка сохраняется и после лечения и элиминации клинических проявлений заболевания.
Следует отметить, что c развитием бактериального вагиноза могут быть ассоциированы более 200 видов микроорганизмов, в связи с чем выявление всех возможных бактерий не представляется возможным. Более того, в ряде исследований показано, что видовой состав микрофлоры уникален у каждой пациентки с бактериальным вагинозом. Однако наиболее распространённым маркерным микроорганизмом является Gardnerella vaginalis, выявляемая у 95—100 % пациенток с бактериальным вагинозом. Gardnerella vaginalis не только самый распространённый, но и самый патогенный микроорганизм из всех БВ-ассоциированных ввиду возможности образования биоплёнки, способности к адгезии, продукции цитотоксинов (в том числе вагинолизина).
Клинические проявления
Основной жалобой при бактериальном вагинозе является жалоба на обильные выделения из половых путей белого или серого цвета, часто с неприятным «рыбным» запахом. Выделения усиливаются перед менструациями или после полового акта. При осмотре на зеркалах эти выделения часто имеют пенистый характер, легко удаляются со слизистой ватным тампоном.
Другие жалобы — на зуд, нарушения мочеиспускания, боли во время полового акта — встречаются очень редко и чаще всего связаны с сопутствующими заболеваниями. У большого количества женщин с бактериальным вагинозом жалобы могут отсутствовать. Таким образом, в зависимости от наличия жалоб бактериальный вагиноз подразделяется на два варианта: бессимптомный и с клиническими проявлениями. Для бактериального вагиноза характерно рецидивирующее течение (рецидив заболевания развивается у 50 % женщин вне зависимости от схемы лечения).
Диагностика
В соответствии с европейскими руководствами, для диагностики бактериального вагиноза могут применяться следующие подходы:
А. Клинические критерии (критерии Amsel):
- Гомогенные серо-белые выделения;
- рН вагинальных выделений >4.5;
- «Рыбный» запах (непосредственно выделений или при добавлении 10 % КОН);
- Наличие «ключевых» клеток при микроскопии нативного препарата.
Наличие 3-х из 4-х критериев позволяет установить диагноз бактериальный вагиноз.
В. Микроскопический метод с оценкой баллов Nugent.
Баллы Nugent основаны на результатах микроскопии мазка, окрашенного по Граму, с оценкой соотношения различных морфотипов. В настоящее время этот метод считается «золотым стандартом» в диагностике бактериального вагиноза. Ответ выдается в виде баллов от 0 до 10. Нормальное состояние биоценоза влагалища констатируют при 0—3 баллах, при 4—6 баллах — промежуточное состояние, более 6 баллов — бактериальный вагиноз. При анализе не учитываются морфотипы, не связанные с бактериальным вагинозом; клиническая интерпретация промежуточных состояний затруднена.
С. Микроскопический метод в соответствии со шкалой Хэй-Айсон.
Значения шкалы Хэй-Айсон также основаны на результатах микроскопии мазка, окрашенного по Граму, но позволяют более полно отразить состояние вагинальной флоры, чем баллы Nugent, так как описывают не только морфотипы бактерий, ассоциированных с бактериальным вагинозом, но и другие возможные варианты нарушений микрофлоры влагалища. Ответ выдается в виде степени нарушения микрофлоры от 0 до 4.
- Уровень 0 — эпителиальные клетки, бактерии отсутствуют. Указывает на недавно проведенный курс антибиотикотерапии;
- Уровень I (Норма) — нормальная вагинальная микрофлора (доминирует морфотип лактобацилл)
- Уровень II (Промежуточное состояние) — смешанная бактериальная флора; наличие лактобацилл совместно с морфотипом Gardnerella vaginalis и/или Mobiluncus;
- Уровень III (Бактериальный вагиноз) — доминирует морфотип Gardnerella vaginalis и/или Mobiluncus; малое количество или полное отсутствие лактобацилл;
- Уровень IV — грамположительные кокки; лактобациллы не определяются.
Кроме того, в мировой практике широко применяют микроскопию нативного препарата или модифицированные системы анализа мазка, разработанные для упрощения процедуры анализа.
Стоит отметить, что клинические критерии Amsel применяются в РФ достаточно редко (<1 % врачей); кроме того, диагностическая чувствительность и диагностическая сецифичность данного метода не позволяют считать его «золотым стандартом» в диагностике бактериального вагинозам. Диагностика на основании подсчёта баллов Nugent, напротив, считается «золотым стандартом» в странах Европы, однако в РФ используется крайне редко.
В России широкое применение получили молекулярно-биологические исследования для определения ДНК БВ-ассоциированных микроорганизмов. В настоящее время зарегистрирован только один набор реагентов для диагностики бактериального вагиноза. Но стоит отметить, что часто наличие ДНК Gardnerella vaginalis воспринимается как достаточное основание для постановки диагноза бактериальный вагиноз, что в корне неправильно, так как Gardnerella vaginalis может встречаться во влагалище здоровых женщин в 5-60 % случаев.
Получение культуры Gardnerella vaginalis при культуральном исследовании не рекомендовано как метод диагностики бактериального вагиноза, так как факультатвно-анаэробные микроорганизмы, связанные с бактериальным вагинозом, часто являются компонентами нормальной микрофлоры влагалища, а диапазон ассоциированных с бактериальным вагинозом микроорганизмов слишком широк, в связи с чем нельзя рассчитывать, что при проведении культурального исследования будут обеспечены оптимальные условия для роста всех ассоциантов. Отдельно стоит отметить, что ряд БВ-ассоциированных микроорганизмов являются труднокультивируемыми (Atopobium vaginae) или некультивируемыми (BVAB 1—3).
Дифференциальная диагностика
- Вульвовагинальный кандидоз (молочница). При нём pH ≤4,5. Обычно эта патология не связана с изменённым запахом выделений
- Инфекция, вызванная Trichomonas vaginalis. Как и в случае бактериального вагиноза, pH>4,5. Однако в отличие от женщин с бактериальным вагинозом, пациенты с инфекцией T. vaginalis часто имеют вагинит и цервицит
- Инородное тело во влагалище, в частности оставлен тампон или презерватив
- Воспалительное заболевание органов малого таза
- Инфекции, передающиеся половым путем
- Пациенты с бактериальным вагинозом могут отмечать, что их выделения пахнут особенно плохо сразу после полового акта или после месячных
- Клиническое дифференцирование между молочницей и бактериальным вагинозом может оказаться сложным, однако измерения вагинального pH сможет помочь. Для пациентов с молочницей характерно pH ≤4,5, в то время как в случае бактериального вагиноза — pH> 4,5
- Женщины с молочницей или T. vaginalis обычно жалуются на зуд или раздражение вульвы, что не является характерным для бактериального вагиноза[1]
Лечение
В соответствии с Международными и Российскими Клиническими Рекомендациями, для лечения Бактериального Вагиноза используют
- Клиндамицин интравагинально или перорально;
- Препараты 5-нитроимидазолового ряда (метронидазол, орнидазол, тинидазол, секнидазол и др.) интравагинально или перорально;
- Ряд антисептиков интравагинально;
- Эпиген Интим спрей в составе комплексной терапии.
Так же ходят дискуссии о двухэтапном лечении БВ. На первом этапе используются антимикробные препараты, на втором — препараты для восстановления нормальной флоры влагалища.
Вне зависимости от используемой схемы лечения рецидивы развиваются примерно у 50 % пациенток.
Примечания
- ↑ Бактериальный вагиноз: клинические рекомендации по диагностике и лечению. Дата обращения: 9 мая 2019. Архивировано 9 мая 2019 года.
Литература
- В. Е. Радзинский, Кафедра акушерства и гинекологии (зав. — проф. В. Е. Радзинский) Российского университета дружбы народов, Москва; Особенности действия препарата «Бетадин» при восстановлении биоценоза влагалища
- А. Я. Сенчук, І.О. Доскоч Київський медичний університет УАНМ «Ефективність місцевого використання комбінованих препаратів для лікування вульвовагінітів у гінекологічній практиці» / Здоровье женщины № 1 (57) 2011 г. — С 177—180
- Інформаційний лист Головного спеціаліста України з акушерства та гінекологіі «Спосіб лікування неспецифічних вагінітів у жінок у другому-третьому триместрі вагітності»
- Молекулярная диагностика бактериального вагиноза. Ссылка на одноимённую статью на информационном портале «Мир врача».
- Laboratory diagnosis of sexually transmitted infections, including human immunodeficiency virus / edited by Magnus Unemo … [et al], 2013. (Руководство ВОЗ по лабораторной диагностике инфекций, передающихся половым путём (в том числе, ВИЧ.)
- CDC Sexually Transmitted Diseases Treatment Guidelines, 2015 (Руководство по лечению инфекций, передающихся половым путём Центра по контролю и профилактике заболеваемости, США, 2015)
- Лабораторная диагностика инфекционных болезней. Справочник. 2013
- Российское Общество Дерматовенерологов и Косметологов (РОДВиК, 2012 г.): «Рекомендации по ведению больных инфекциями, передаваемыми половым путём и урогенитальными инфекциями»
- Кира, Е. Ф. Бактериальный вагиноз / Е. Ф. Кира- М.: Медицинское информационное агентство, 2012. — 472 с.
- Румянцева Т. А. Оптимизация клинико-лабораторных подходов к диагностике вульвовагинальных и цервикальных инфекций. Диссертация на соискание ученой степени кандидата медицинских наук. Москва, 2014.
- А. М. Савичева, Ю. Н. Менухова, Н. Е. Воробьева, В. В. Назарова, К. В. Шалепо, Н. Ю. Ширшова, М. А. Башмакова, Опыт комбинированной терапии у больных с бактериальным Вагинозом, Российский вестник акушера-гинеколога 3, 2011