Врождённая эндотелиальная дистрофия роговицы, тип 2

Врождённая эндотелиальная дистрофия роговицы, тип 2
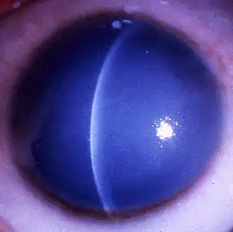
Помутнение роговицы из-за отёка стромы, вызванного дисфункцией клеток эндотелия. (Снято доктором Ahmed A. Hidajat)
Помутнение роговицы из-за отёка стромы, вызванного дисфункцией клеток эндотелия. (Снято доктором Ahmed A. Hidajat)
МКБ-10-КМ H18.5
OMIM 217700
MeSH C536439
Логотип Викисклада Медиафайлы на Викискладе

Врождённая эндотелиальная дистрофия роговицы, тип 2 — редкая форма дистрофии роговой оболочки человека. Наследуется по аутосомно-рецессивному пути, в отличие от первого типа эндотелиальной врождённой дистрофии. Выявлена ассоциация с геном SLC4A11,[1] причём с этим геном также ассоциирован редкий синдром, характеризующийся аутосомно-рецессивной дистрофией роговицы и перцептивной глухотой (англ. Autosomal recessive corneal dystrophy and perceptive deafness; CDPD; OMIM 217400). Ген SLC4A11 кодирует транспортер, предположительно регулирующий внутриклеточную концентрацию бора.

Примечания

  1. Vithana E.N., Morgan P., Sundaresan P., Ebenezer N.D., Tan D.T., Mohamed M.D., Anand S., Khine K.O., Venkataraman D., Yong V.H., Salto-Tellez M., Venkatraman A., Guo K., Hemadevi B., Srinivasan M., Prajna V., Khine M., Casey J.R., Inglehearn C.F., Aung T. Mutations in sodium-borate cotransporter SLC4A11 cause recessive congenital hereditary endothelial dystrophy (CHED2) (англ.) // Nat. Genet. : journal. — 2006. — July (vol. 38, no. 7). P. 755—757. doi:10.1038/ng1824. PMID 16767101.