Бабезиозы
| Бабезиозы | |
|---|---|
| |
| МКБ-11 | 1F52 |
| МКБ-10 | B60.0 |
| МКБ-10-КМ | B60.0 |
| МКБ-9 | 088.82 |
| МКБ-9-КМ | 088.82[1][2] |
| DiseasesDB | 1200 |
| MeSH | D001404 |
Бабезиозы (бабезиеллёзы) (лат. Babesiosis) — инвазионные трансмиссивные болезни животных и человека, вызываемые простейшими рода бабезия.
Болезни протекают с проявлениями лихорадки, анемии, желтухи, гемоглобинурии. Наибольшее ветеринарное значение имеют бабезиозы мелкого и крупного рогатого скота, а также собак. Возможно заболевание человека. Распространены на всех континентах, кроме Антарктики, в пределах ареалов переносчиков — нескольких видов пастбищных клещей. В России — в основном на северо-западе и юге Европейской части и в лесостепных районах юга Сибири.
Из-за недостаточной изученности и различия мнений исследователей, часто бабезиоз отождествляют с пироплазмозом, что не вполне корректно из-за различий в этиологии возбудителей, а также клинической картины заболеваний. По Международной классификации болезней МКБ-10 бабезиоз человека имеет код B60.0.
Этиология
Возбудитель бабезиоза (более 100 видов с различной патогенностью) в основном специфичен для различных видов животных:
- Babesia divergens (bovis) — крупный рогатый скот
- Babesia bigemina — Техасская лихорадка (крупный рогатый скот)
- Babesia ovis — овцы
- Babesia canis — собаки
- Babesia odocoilei — олени
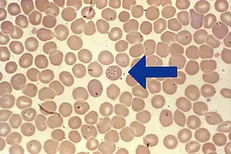
- Babesia microti (Северная Америка) и Babesia divergens (Европа) — человек
Чувствительны к бабезиям также архар, муфлон, лань и другие виды.
Эпизоотология
Передаётся через укусы клещей почти всех родов семейства Ixodidae, наиболее известны как передатчики клещи родов Dermacentor, Rhipicephalus, Hyalomma. Передача происходит через слюну во время питания клеща.
Естественным резервуаром возбудителей в природе служат больные бабезиозом животные. Промежуточные резервуары — мелкие грызуны.
Переболевшие животные в течение 2-3 лет невосприимчивы к повторному острому заражению, но при этом остаются бессимптомными носителями и являются источником заражения для клещей. Во многих эндемичных районах заражено большинство или всё поголовье скота.
Собаки могут болеть бабезиозом (пироплазмозом) ежегодно или даже по 2 раза в год.
Течение и симптомы
Продолжительность инкубационного периода при заражении Babesia divergens через клещей 10-15 суток, через кровь — 6-12 суток, при заражении овец Babesia ovis соответственно 8-12 и 5-7 суток. У больных животных резко повышается температура тела (до 40-41 °C), нарушается работа сердца, учащается дыхание. Общее состояние угнетённое, запоры чередуются с поносами. Животные быстро худеют. Удои коров снижаются в 4-5 раз. Молоко становится жёлтым, иногда красноватым, горьким на вкус. На 2—3-й день болезни появляется кровавая моча. У овец часто наступает прерывание беременности. Продолжительность острого периода болезни 4-8 суток.
Летальность у крупного рогатого скота 40 % и более, у овец и коз — до 80 % от числа заболевших острой формой.
Бабезиоз у человека развивается в основном на фоне пониженного иммунного статуса (пожилые или перенёсшие тяжёлые операции, больные СПИДом). К симптомам относятся: лихорадка до 40°, увеличение печени и селезёнки. Случаи заболевания начали фиксировать лишь во второй половине 20-го века, описано несколько десятков случаев заболевания. Высока вероятность недостаточного уровня диагностики этого заболевания у человека, для его повышения проводится значительная работа во многих странах. У человека с нормальной иммунной системой протекает бессимптомно, несмотря на высокую степень паразитемии (1-2 %).
Лечение
Хороший лечебный эффект дают пироплазмил, беренил, гемоспоридин, акаприн, ихтарган, альбаргин, тиарген, наганин и др. Больным животным предоставляют полный покой (их нельзя перегонять), обеспечивают зелёными и сочными кормами.
Для тяжёлых форм бабезиоза у человека рекомендованы комбинации клиндамицина и хинина или азитромицина и атоваквона. В тяжёлых случаях необходимо переливание крови.
Профилактика
Уничтожение клещей и грызунов на пастбищах, обработка животных акарицидами. Для человека — применение противоклещевых препаратов и использование специальных противоэнцефалитных костюмов.
Примечания
- ↑ Disease Ontology (англ.) — 2016.
- ↑ Monarch Disease Ontology release 2018-06-29 — 2018-06-29 — 2018.
Литература
- Шевцов А. А. Ветеринарная паразитология. — М. 1965
- Колабский Н. А. Бабезиозы. в кн.: Ветеринарная энциклопедия. т. 1. — М. 1968.
- Васильева И. С. Новые болезни, передаваемые клещами рода Ixodes (Ixodidae). Бабезиозы человека. (недоступная ссылка)
Ссылки
- Комбинированная химиопрофилактика бабезиоза крупного рогатого скота (недоступная ссылка)
