Андрогеновый рецептор

Андрогеновый рецептор
Идентификаторы
Псевдонимыdihydrotestosterone receptorARnuclear receptor subfamily 3 group C member 4androgen receptorsReceptorsAndrogen
Внешние IDGeneCards:
Паттерн экспрессии РНК
Bgee
ЧеловекМышь (ортолог)
    н/д
    н/д
BioGPS
Дополнительные справочные данные
Ортологи
ВидЧеловекМышь
Entrez

н/д

н/д

Ensembl

н/д

н/д

UniProt

н/д

н/д

RefSeq (мРНК)

н/д

н/д

RefSeq (белок)

н/д

н/д

Локус (UCSC)н/дн/д
Поиск по PubMedн/дн/д
Логотип Викиданных Информация в Викиданных
Смотреть (человек)

Андроге́новый реце́птор, или андроге́нный рецептор (англ. androgen receptor, AR), или NR3C4 — один из рецепторов стероидных гормонов, активируемый андрогенами — тестостероном или дигидротестостероном[1]. Относится к подсемейству 3, группе С (ген 4) семейства ядерных рецепторов, способных непосредственно взаимодействовать с ядерной ДНК[2][3]. Андрогеновый рецептор активируется при связывании с андрогенами в цитоплазме, а затем переносится в ядро.

Андрогеновый рецептор — фактор транскрипции, который регулирует экспрессию генов[4] путём взаимодействия с ДНК, а также выполняет другие функции, не связанные с взаимодействием с ДНК[5]. Гены, регулируемые андрогенами посредством AR, имеют важное значение для развития и поддержания мужского фенотипа[6].

У человека андрогеновый рецептор кодируется геном AR, расположенным на Х-хромосоме в локусе Xq11.2-12[7][8].

В 1953 году Джон Моррис (англ. John Morris), акушер из Йельского университета, сообщил о 82 индивидуумах, имевших женский фенотип, несмотря на наличие яичек. Проведённые после этого эндокринологические, патофизиологические, биохимические и молекулярно-биологические исследования позволили установить, что такой фенотип обусловлен синдромом нечувствительности к андрогенам. Эти исследования пролили свет на роль андрогенов в определении мужского пола, механизмы действия андрогенов, а также строение и функционирование андрогеновых рецепторов[9].

Ген

Ген андрогенового рецептора человека. Показана локализация на Х-хромосоме, строение гена с указанием длины последовательностей экзонов в тысячах оснований (кб), строение зрелого транскрипта (кДНК) с указанием длины последовательностей экзонов в парах оснований (п. о.) и строение зрелого рецептора с указанием функций доменов

Ген андрогенового рецептора (AR) человека располагается на длинном плече Х-хромосомы в локусе Xq11.2-12, причём 5′-конец гена обращён к центромере. Нуклеотидная последовательность гена содержит 90 тысяч пар оснований[10] и включает 8 экзонов. Их структурная организация аналогична генам других рецепторов стероидных гормонов. Экзон 1 кодирует N-концевой домен (NTD) белка, экзоны 2 и 3 — центральный ДНК-связывающий домен (DBD), а экзоны 4—8 — С-концевой домен. В различных клеточных линиях были выявлены 2 альтернативные формы мРНК AR длиной 8,5 и 11 тысяч оснований соответственно; они являются результатом альтернативного сплайсинга 3′-нетранслируемой области. Никаких структурных и функциональных различий между продуктами трансляции этих мРНК не было обнаружено, однако возможно, что наличие в определённой ткани той или иной формы мРНК определяется специфическими тканевыми регуляторами. В предстательной железе и фибробластах кожи, покрывающей половые органы, преимущественно экспрессируется более длинная мРНК[3]. Ген AR содержит 2 полиморфных участка, состоящих из тринуклеотидных повторов, кодирующих полиглутаминовый и полиглициновый участки N-концевого трансактивационного домена рецептора (подробнее см. раздел #Структура)[11][10].

Строение гена AR консервативно среди млекопитающих — от грызунов до человека. Ген локализован на Х-хромосоме и у других млекопитающих, таких как сумчатые и однопроходные, что может отражать связь между AR и другими синтеническими генами[10].

CAG-повторы

Первый экзон AR содержит несколько участков с повторяющимися последовательностями. Наиболее примечательный из таких повторов начинается с кодона 58 и состоит из 21 ± 2 повтора триплета CAG, поскольку при синдроме Кеннеди именно в нём чаще происходит увеличение количества CAG-повторов[12]. Повторы CAG эволюционно консервативны: у крыс и мышей имеются короткие участки CAG-повторов, соответствующие аналогичному участку гена AR человека, который кодирует полиглутаминовый участок андрогенового рецептора, начинающийся с позиции 57. Регион с повторами CAG имеется и в генах AR приматов, причём его длина тем меньше, чем вид более далёк от человека. Как и у других генов, имеющих участки CAG-повторов, длина этого участка у AR широко варьирует из-за проскальзывания ДНК-полимеразы на матрице, поэтому общее число реплицированных триплетов CAG может различаться. Число CAG-повторов варьирует от 14 до 35 и может быть связано с этнической и расовой принадлежностью. Длина полиглутаминового участка AR, кодируемого CAG-повторами, может влиять на активность рецептора и оказывать влияние на риск развития рака предстательной железы[10].

Регуляция экспрессии

Транскрипция гена AR зависит от типа клеток, а в некоторых тканях — и от возраста. Более того, уровень мРНК AR регулируется андрогенами и другими стероидными гормонами. Промотор гена AR не имеет типичных ТАТА- и СААТ-боксов. В отличие от большинства генов, лишённых ТАТА-бокса, 5'-нетранслируемая область AR содержит GC-обогащённые последовательности, которые связываются с транскрипционным фактором Sp1. Кроме Sp1, положительно экспрессию AR регулируют такие белки, как CREB и C-myc, а отрицательно — транскрипционный фактор NF-κB и конститутивно активный фактор NF-1[13]. Ген AR может транскрибироваться по крайней мере с двух разных промоторов, активность которых зависит от типа клеток. Исследования промотора AR крысы показали наличие множества сайтов связывания с различными коактиваторами транскрипции. AR экспрессируется в самых различных тканях, не имеющих отношения к первичным и вторичным половым органам, что согласуется с его многогранными эффектами. Действительно, сложно найти ткань, в которой не экспрессировалось хотя бы небольшое количество AR (исключение составляет селезёнка). В печени крысы была выявлена также зависимость уровня экспрессии AR от возраста, что обусловлено связыванием различных транскрипционных факторами со специфическими последовательностями-мишенями в промоторе AR[10].

У крысы промотор AR содержит палиндромные последовательности ДНК, служащие сайтами связывания для андрогенового рецептора, глюкокортикоидного рецептора и прогестеронового рецептора. В связи с этим существует отрицательная обратная связь, регулирующая транскрипцию AR посредством самого AR. Кастрация приводит к увеличению уровня мРНК AR, однако этот эффект устраняется при приёме андрогенов. Экспрессия AR у крысы отрицательно регулируется андрогенами и гонадотропином фолликулостимулирующим гормоном, причём эта регуляция может быть опосредована циклическим АМФ, для которого в промоторе AR имеется элемент отклика[10].

Эволюционная консервативность

Консервативность некоторых сегментов гена AR в ходе эволюции отражает критическое значение этих сегментов для функционирования молекулы рецептора. Наиболее консервативный участок — DBD, который практически неизменен в ряду от лягушки Xenopus до человека; кроме того, высокую консервативность демонстрируют лиганд-связывающий домен (LBD) и шарнир (англ. hinge) участок. Поскольку AR у различных организмов связываются с очень близкими по строению лигандами, консервативные кодоны 12—43 LBD соответствуют лиганд-связывающему участку. Мутации, затрагивающие LBD, приводят к синдрому нечувствительности к андрогенам, проявляющемуся у широкого ряда видов позвоночных, от лягушек до человека. Кроме того, шарнирный участок, в частности, его N-концевой домен, также высококонсервативен — от лягушек до грызунов. В NTD, кодируемым первым экзоном, начиная с 539 кодона, не наблюдается практически никакой консервативности от грызунов до человека. Однако, анализ последовательностей на участках от кодона 1 до 53 и от кодона 360 до 429 показал, что они кодируют участок белка, консервативный среди различных организмов. Эти участки важны для димеризации AR, и их консервативность отражает функциональное сходство AR у всех приматов[10].

Структура

Изоформы

Схематическое представление двух изоформ андрогенового рецептора с указанием ключевых функциональных участков и номеров аминокислотных остатков

Две различные изоформы андрогенового рецептора — AR-A и AR-B — впервые были описаны у человека в фибробластах кожи половых органов. AR-A имеет массу 87 кДа и имеет укороченный, по сравнению с изоформой AR-B (110 кДа), N-концевой домен. В остальном эти изоформы идентичны. Предполагается, что трансляция AR-A начинается с первого внутреннего остатка метионина (Met-188) на том же транскрипте, с которого транслируется полная форма AR-B. Обе изоформы экспрессируются в различных тканей как зародышей, так и взрослых людей (и мужчин, и женщин), однако наиболее обильная экспрессия наблюдается в репродуктивных тканей. Соотношение AR-B:AR-A варьирует в разных тканях и различно на разных стадиях развития. В теменной кости развивающегося плода уровень AR-B относительно низок, в то время как AR-A там не было обнаружено вообще. В человеческих остеобластах были обнаружены обе изоформы. Неизвестно, могут ли эти изоформы участвовать в различных сигнальных путях у людей, но, по-видимому, их функции всё же различаются[14].

У других позвоночных также было обнаружено несколько изоформ AR. В гортани лягушки Xenopus laevis были описаны две различные изоформы AR, различающиеся N-концевым доменом (AR α и AR β). Экспрессия AR β связана с пролиферацией и дифференцировкой гортанных мышц у молодых особей и хрящей у самцов, в то время как экспрессия AR α сохраняется на протяжении последующих стадий развития. Две различные формы AR (AR1 и AR2) были также обнаружены у рыбы Micropogonias undulatus. У этой рыбы две изоформы AR различаются сродством связывания с агонистами, физическими свойствами и распределением по тканям. AR1 экспрессируется в основном в мозге, AR2 — в мозге, яичниках и семенниках. AR2 имеет высокое сродство к большому спектру андрогенов, в то время как AR2 может связываться лишь с тестостероном. Эти данные указывают на то, что у X. laevis и M. undulatus две различные формы андрогеновых рецепторов выполняют различные функции в тканях-мишенях[14].

Домены

Схематическое представление андрогенового рецептора с указанием доменов и основных функциональных областей.

Как и другие ядерные рецепторы, андрогеновый рецептор состоит из С-концевого α-спирального глобулярного домена, отвечающего за связывание с лигандом и димеризацию, который через шарнирный участок связан со вторым α-спиральным глобулярным доменом, отвечающим за специфичное связывание с ДНК и димеризацию, и пластичного N-концевого домена с вариабельной структурой, который в некоторых случаях участвует в регуляции транскрипции[15]. N-концевой домен, который содержит функциональный участок активации 1 (AF-1) между остатками 101—370, необходимый для полной лиганд-активируемой транскрипционной активности, функциональный участок активации 5 (AF-5) между остатками 360—485, ответственный за конститутивную активность (активность без связанного лиганда)[16] и поверхность димеризации, включающую остатки 1—36 (содержащие мотив FXXLF, где F — фенилаланин, L — лейцин, а Х — любой аминокислотный остаток) и 370—494 (обе эти поверхности взаимодействуют с LBD во внутримолекулярном[17][18][19] взаимодействии типа «голова к хвосту»[20][21][22]). Шарнирный участок содержит лиганд-зависимый сигнал ядерной локализации[23]. Лиганд-связывающий домен (LBD) содержит функциональный участок активации 2 (AF-2), ответственный за агонист-индуцированную активность (активность в присутствии связанного агониста). AF-2 связывается либо внутримолекулярно с N-концевым мотивом FXXFL, либо с белками-коактиваторами (содержащими мотивы LXXLL или, предпочтительнее, FXXFL)[22]. Кроме того, в LBD находится лиганд-зависимый сигнал ядерного экспорта[24].

N-Концевой домен

N-Концевой домен андрогенового рецептора (NTD) кодируется экзоном 1 и содержит два основных функциональных участка активации транскрипции и несколько структурных субдоменов. Как и у других рецепторов стероидных гормонов, NTD AR от природы не имеет упорядоченной структуры и существует в виде множества различных конформационных вариантов. Его структура представляет собой расплавленную глобулу, которая способная формировать спиральные участки. Среди его 539 аминокислот находятся два независимых функциональных активационных участка: AF-1 (расположенный между остатками 103—372), который необходим для трансактивации полной формы AR, и AF-5 (расположенный между остатками 362—486), который нужен для трансактивации конститутивно активный AR, лишённых лиганд-связывающего домена (LBD). В настоящее время известно, что AF-5 взаимодействует с обогащёнными глутамином доменами кофакторов семейства р160, например, SRC-1 и TIF2/GRIP1 (подробнее о взаимодействиях AR с другими белками см.)[3].

Другой функцией NTD AR является его связывание с LBD, расположенном на C-конце (N/C-взаимодействие). Для связывания с LBD необходимы следующие участки NTD: первые 36 аминокислот и аминокислоты 372—495. Гормонзависимое взаимодействие NTD с LBD может играть роль в стабилизации димера AR и стабилизации комплекса лиганд-рецептор, замедляя скорость диссоциации лиганда и уменьшая деградацию рецептора. Агонисты, такие как тестостерон и дигидростерон, но не антагонисты (например, гидроксифлутамид и бикалутамид) индуцируют N/C-взаимодействие в полной форме AR. Методом флуоресцентного резонансного переноса энергии (FRET) было показано, что внутримолекулярное N/C-взаимодействие начинается в цитоплазме вскоре после связывания с гормоном, а в ядре, при димеризации рецептора, происходит ещё одно N/C-взаимодействие, на этот раз межмолекулярное (между двумя молекулами AR). N/C-взаимодействие происходит преимущественно в подвижных AR, где оно защищает участок связывания с коактиваторами от ненужных белок-белковых взаимодействий. После связывания с ДНК внутримолекулярная N/C-связь разрывается, позволяя различным кофакторам связаться с рецептором. Некоторые мутации в LBD у пациентов с синдромом нечувствительности к андрогенам, нарушают нормальное взаимодействие NTD с LBD, что не позволяло андрогену связаться с рецептором[3].

NTD — наименее консервативный домен AR; доля совпадения аминокислотных остатков между NTD AR человека и крысы составляет всего лишь 20 %[10].

ДНК-связывающий домен

ДНК-связывающий домен андрогенового рецептора
Схема строения ДНК-связывающего домена андрогенового рецептора с указанием ключевых аминокислотных остатков. Атомы цинка обозначены зелёными точками

ДНК-связывающий домен (DBD) — наиболее консервативный домен AR: сходство между последовательностями аминокислотных остатков DBD человека и крысы достигает 100 %. Совпадение аминокислотных последовательностей между DBD AR и прогестеронового рецептора достигает 79 %, глюкокортикоидного рецептора — 76 % и эстрогенового — 56 %[10]. Он содержит 70 аминокислотных остатков и кодируется экзонами 2 и 3. Он характеризуется большой долей основных аминокислот и девятью консервативными цистеиновыми остатками. DBD имеет компактную глобулярную структуру, в которой хорошо различимы три субструктуры: два цинковых кластера и менее плотное упакованное С-концевое удлинение (CTE). В обоих цинковых кластерах содержится один атом цинка, который посредством координационных связей взаимодействует с четырьмя остатками цистеина. Каждый цинковый кластер с С-конца фланкируется α-спиралью. Два цинковых кластера структурно и функционально различны и кодируются разными экзонами. α-Спираль цинкового кластера, наиболее ближнего к N-концу, непосредственно взаимодействует с особыми последовательностями в ДНК. За специфическое узнавание этих ответных элементов в ДНК отвечают три ключевые аминокислоты (остатки глицина, серина и валина), в совокупности образующие так называемый Р-бокс (от «proximal» — ближний) (подробнее о взаимодействии AR с ДНК см.). Второй цинковый кластер, по-видимому, участвует в белок-белковых взаимодействиях (например, димеризации) и называется D-боксом (от «distal» — дальний)[3].

Шарнирный участок

Между ДНК-связывающим доменом и лиганд-связывающим доменом располагается неконсервативный шарнирный участок, размер которого у различных рецепторов стероидных гормонов варьирует. Он кодируется экзоном 4. Его можно рассматривать как гибкий линкер между лиганд-связывающим доменом и остальной частью молекулы. Шарнирный участок важен для ядерной локализации и содержит соответствующий сигнал. Кроме того, с шарнирным участок могут связываться некоторые корепрессоры AR. Кроме того, AR может ацетилироваться по мотиву [KLLKK] в шарнирном участке[3].

Лиганд-связывающий домен

Лиганд-связывающий домен андрогенового рецептора в комплексе с лигандом метилтриенолоном (R1881)

Лиганд-связывающий домен (англ. ligand binding domain, LBD) — второй по консервативности после DBD домен андрогенового рецептора, кодируется экзонами 5—8. Этот домен образуют порядка 250 аминокислотных остатков на С-конце AR. Была определена пространственная структура AR человека в комплексе с синтетическим агонистом метилтриенолоном (R1881) и дигидростероном. Его пространственная укладка соответствует типичной укладке лиганд-связывающих доменов ядерных рецепторов, хотя идентичность аминокислотных последовательностей с некоторыми другими рецепторами стероидных гормонов может составлять всего 20 %. LBD этих рецепторов включает 12 α-спиралей (согласно некоторым источникам, у AR спираль 2 плохо различима). Связывающий карман включает 18 аминокислотных остатков, более или менее непосредственно взаимодействующих с лигандом. Остатки глутамина 711, метионина 745, аргинина 752 связываются с циклом A стероидного лиганда, а лейцин 704 и аспарагин 705 связываются с его С-кольцом. В связи с этим со связанным лигандом в основном контактируют спирали 4, 5 и 10. Связывающий карман имеет некоторую гибкость и может связываться с лигандами, имеющими различные структуры. При связывании лиганда спираль 12 закрывает собой карман и «закрывает» лиганд внутри. При связывании рецептора с антагонистом спираль 12 отводится назад, где она мешает связыванию коактиваторов в специальной бороздке, формирующейся на LBD после связывания с гормоном. В AR после связывания с лигандом происходит не только закрывание связывающего кармана спиралью 12, но и закрытие бороздки, обеспечивающей связывание LBD с NTD. С этой бороздкой могут связываться некоторые коактиваторы, но основная часть коактиваторов связывается с AR в области NTD[3][10].

В LBD находится ещё функциональный активационный участок, AF-2. Его работа в LBD строго зависит от присутствия коактиваторов ядерных рецепторов. В экспериментах in vivo показано наличие благоприятного функционального лиганд-зависимого взаимодействия между AF-2 и NTD[3] (AF-2 взаимодействует в мотивом FXXFL в NTD). AF-2 также может взаимодействовать с белками-коактиваторами, содержащими мотивы LXXLL или, предпочтительнее, FXXFL[22].

На поверхности LBD была обнаружена особая регуляторная щель, названная BF-3. Она включает остатки Ile-673, Phe-674, Pro-724, Gly-725, Asn-728, Phe-827, Glu-830, Asn-834, Glu-838 и Arg-841. При связывании с BF-3 гормона щитовидной железы трийодтиронина (Т3) и некоторых противовоспалительных препаратов нестероидной природы транскрипционная активность AR и его способность связываться с коактиваторами уменьшалась; причины этого явления до сих пор не ясны. Кроме того, некоторые мутации, затрагивающие BF-3, приводят или к синдрому нечувствительности к андрогенам (мутации потери функции), или к раку предстательной железы (мутации, изменяющие функции). Мутационный анализ показал необходимость некоторых из этих аминокислот для трансактивации AR. Однако это было установлено лишь в присутствии дигидростерона[3].

Молекулярные основы функционирования

Геномное действие

Нормальное функционирование андрогенового рецептора. Тестостерон (T) проникает в клетку и при наличии 5-альфа-редуктазы преобразуется в дигидротестостерон (DHT). При связывании со стероидом андрогеновый рецептор (AR) подвергается конформационным изменениям и высвобождает белки теплового шока (hsps). Фосфорилирование (P) происходит до или после связывания со стероидом. AR перемещается в ядро, где димеризуется, связывается с ДНК и рекрутирует коактиваторов. Гены-мишени транскрибируются в мРНК и транслируется в белок[9][25][26][27]

Сигнальный путь андрогенового рецептора включает в себя следующие этапы. После проникновения тестостерона в клетку-мишень он связывается с андрогеновым рецептором или непосредственно, или после превращения в более метаболически активную форму — 5α-дигидростерон (DHT) — под действием фермента 5-альфа-редуктазы[28]. DHT образует более стабильный комплекс с AR, и действие комплекса AR-DHT в 3—10 раз более сильное, чем комплекса AR-тестостерон. Связывание лиганда с рецептором в цитоплазме вызывает диссоциацию комплексов шаперонов (в том числе белков теплового шока, а именно Hsp70, Hsp90 и p23), которые в состоянии покоя находятся в связанном с AR состоянии и защищают его от деградации. Одновременно в рецепторе происходят конформационные изменения и фосфорилирование, в результате которых он транслоцируется в ядро. В ходе этих преобразований образуется сайт связывания с коактиваторами (AF-2-сайт)[3][29], а домен LBD перестраивается из трёхслойной, напоминающей сэндвич структуры из α-спиралей в более компактную структуру путём перемещения С-концевой спирали (спираль 12) в коровую часть белка[13].

В ядре комплекс рецептора с лигандом связывается с последовательностями-мишенями ДНК (элементами отклика на андрогены, ARE), которые располагаются в промоторах генов-мишеней. Структура ARE различается у различных генов, благодаря чему AR может выполнять множество регуляторных функций в пределах одного ядра. Усилению и большей специфичности взаимодействия AR с ДНК способствует наличие нескольких ARE (в самом деле, единичный ARE обычно обеспечивает лишь малую активность). Более того, специфичности ответа промотора на связывание с AR и усилению взаимодействия способствует наличие двух основных классов ARE. Последовательности ARE первого класса имеют вид RGAACA-NGN-TGTNCT (AR связывается с подчёркнутыми остатками гуанина); второго — RGGACA-NNA-AGCCAA (это связывание обеспечивает кооперацию двух соседних связанных с ДНК рецепторов и усиливает специфичность)[10]. Кроме того, ARE, как правило, являются сложными элементами и рядом с последовательностями связывания с AR содержат последовательности для взаимодействия с другими транскрипционными факторами[30], в числе которых транскрипционные факторы «домашнего хозяйства» (Sp1, CCAAT и NF-1), индуцибельные (NF-kB, Ets и AP-1) и тканеспецифичные транскрипционные факторы. Таким образом, AR регулирует экспрессию генов ещё и за счёт взаимодействия с различными транскрипционными факторами[13].

Связывание с ДНК обеспечивает мотив из двух цинковых пальцев в домене DBD (аминокислотные остатки 550—624). Ключевую роль в этом процессе играют две α-спирали, расположенные перпендикулярно одна другой. N-концевая спираль играет роль распознающего элемента, причём для этого наиболее важны такие её остатки, как глицин 568, серин 569 и валин 572, которые вместе образуют так называемый Р-бокс. Наличие Р-бокса характерно и для ряда других рецепторов стероидных гормонов, а именно глюкокортикоидного, минералокортикоидного и прогестеронового рецепторов. Помимо Р-бокса, для связывания AR c ДНК также важны 12 аминокислотных остатков, расположенных в С-концевой спирали внутри кора AR[13].

При связывании с ДНК андрогеновый рецептор димеризуется со второй молекулой AR, образуя антипараллельный димер[31]. В то время как для некоторых рецепторов стероидных гормонов показано образование гомодимеров в растворе и кристаллическом виде, AR не может образовывать димер in vitro[10]. Образовавшийся гомодимер рекрутирует дополнительные белки (РНК-полимеразу II, другие компоненты транскрипционного аппарата — TBP, TAF, другие общие факторы транскрипции (GTF) и другие ДНК-связывающие белки, например, сывороточный фактор отклика[32]) путём специфичного взаимодействия структурных мотивов. Это в конечном счёте приводит к активации или супрессии генов-мишеней андрогенов[3][29].

К настоящему моменту описано 146 генов-мишеней андрогенового рецептора, среди которых гены, кодирующие белки, участвующие в фолдинге белков, клеточном метаболизме, секреции, управлении цитоскелетом и внутриклеточной передаче сигнала. Например, AR положительно регулирует экспрессию простатического специфического антигена (PSA), пробазина, фактора роста кератиноцитов (KGF), ингибитора апоптоза р21, циклин-зависимых киназ 2 и 4, рецептора инсулиноподобного фактора роста I (IGF-1R)[33]. AR проявляет отрицательную регуляцию экспрессии ингибитора клеточного цикла р16, результатом чего становится усиленная пролиферация клеток[34], а также генов-супрессоров опухолей, кодирующих белки серпин и маспин[13].

Хотя в некоторых исследованиях AR было показано, что его связывание с лигандом происходит в цитоплазме, возможно, что эндогенный AR на самом деле накапливается в ядре. Внутриклеточная локализация AR может также зависеть от типа клеток. Нахождение AR в ядре в значительной мере зависит от шарнирного участка, причём делеции, затрагивающие этот участок, значительно снижают лиганд-индуцированное перемещение AR в ядро, хотя и не полностью блокирует передачу сигнала[3].

Под корегуляторами андрогенового рецептора понимаются белки, которые могут усиливать или подавлять действие AR на транскрипцию. Было идентифицировано свыше 170 корегуляторов AR, среди которых и активаторы, и репрессоры. Некоторые коактиваторы, такие как c-jun или коактиватор рецепторов стероидов-2 (SRC-2), связываются с N-концевым доменом андрогенового рецептора и способствуют его димеризации. Интересно, что сверхэкспрессия или амплификация гена SRC-2 наблюдается в 11 % случаев рака предстательной железы[29]. (Подробнее о взаимодействиях AR с другими белками см.)

Андрогеновый рецептор может принимать участие в эпигенетических процессах. Например, AR может изменять специфичность LSD1 — фермента, который в несвязанном с AR виде удаляет метильные группы с Н3К4 (остаток лизина 4 в гистоне H3) и с помощью этого осуществляет репрессию транскрипции гена-мишени. Однако при связывании с AR LSD1 изменяет свою специфичность: комплекс LSD1-AR деметилирует Н3К9 вместо Н3К4 и таким образом активирует, а не подавляет транскрипцию. Кроме того, AR может привлекать к промоторам генов-мишеней деметилазу JHDM2A, которая деметилирует Н3К9 и активирует транскрипцию[35].

Негеномное действие

Функция андрогенового рецептора не ограничивается связыванием со специфическими последовательностями ДНК в ядре. В частности, он может быстро и независимо от пола оказывать влияние на сигнальный путь Src/Raf-1/Erk-2. Показано, что андрогеновый рецептор принимает участие в опосредованном андрогенами созревании ооцитов у лягушки Xenopus через сигнальный путь МАРК независимо от транскрипции[3]. И AR, и эстрогеновый рецептор могут связываться с гомологичными или гетерологичными лигандами в цитоплазме и демонстрируют ингибирующее действие на клеточную смерть. Однако эти эффекты относительно слабо выражены по сравнению с значительным эффектом на клеточный рост, выживание и дифференцировку, которые оказывает лиганд-связывающий комплекс в ядре[10].

Функции

В некоторых типах клеток тестостерон взаимодействует непосредственно с андрогеновыми рецепторами, в то время как в других тестостерон сначала превращается ферментом 5-альфа-редуктазой в дигидротестостерон, ещё более мощный агонист андрогенового рецептора[28]. Тестостерон, по-видимому, является основным активирующим гормоном андрогенового рецептора в вольфовом канале, в то время как дигидротестостерон является основным андрогеновым гормоном в мочеполовом синусе, мочеполовом бугорке и волосяных фолликулах[36]. Таким образом, тестостерон отвечает, прежде всего, за развитие мужских первичных половых признаков, тогда как дигидротестостерон — за развитие вторичных. Кроме того, установлено, что полиморфизм в гене AR может быть связан с возрастным облысением у мужчин[37].

Андрогены замедляют созревание костей, но ещё более выраженный замедляющий эффект на кости оказывает эстроген, образующийся при ароматизации андрогенов. У людей, принимающих стероиды в подростковом возрасте, возможно замедление роста от избытка андрогенов и/или эстрогена. Индивиды со слишком низким уровнем половых гормонов могут иметь небольшой рост во время полового созревания, но по мере взросления их рост увеличивается до нормального, как в случае синдрома нечувствительности к андрогенам или синдрома нечувствительности к эстрогенам[38].

Кроме того, исследования на мышах, у которых был удалён ген AR (нокаутные мыши), показали, что AR имеет важное значение для нормальной женской фертильности, поскольку он необходим для развития и полноценного функционирования фолликулов яичника и овуляции, действуя как через внутрияичниковый, так и нейроэндокринный механизмы[39].

Действуя через андрогеновые рецепторы, андрогены играют ключевую роль в поддержании целостности мужского скелета. Регулирование этой целостности через сигнальные пути андрогеновых рецепторов (AR) может касаться как остеобластов, так и остеоцитов[40]. Андрогены важны для регуляции активности и чувствительности к половым гормонам, поддержания массы тела и определения телосложения у обоих полов[41].

Андрогены оказывают существенное влияние на клетки сосудистого эндотелия и гладких мышц сосудов, а также на процесс ангиогенеза. Установлено, что дигидростерон, связываясь с клетками эндотелия, индуцирует экспрессию в них белка сосудистой клеточной адгезии-1 (VCAM-1), что усиливало связывание моноцитов с эндотелием. Кроме того, тестостерон быстро усиливает образование оксида азота (NO) в клетках эндотелия аорты у человека[42].

Регуляция

Для осуществления регуляции транскрипции необходимо, во-первых, путём ремоделирования хроматина сделать доступными для связывания регуляторные элементы в промоторах, и, во-вторых, привлечь основной аппарат транскрипции к промоторам для усиления инициации и/или элонгации транскрипции. Потенциально андрогеновый рецептор может регулировать два этих процесса, приводя к повышению содержания мРНК гена-мишени. Было продемонстрировано доказательство гормон-зависимого ремоделирования хроматина в промоторе вируса опухоли молочной железы мыши (MMTV), запускаемого AR. В дальнейшем было показано, что для AR-зависимого изменения топологии ДНК и активации генов необходимы BRG-1 и АТР-азная субъединица комплекса ремоделирования хроматина SWI/SNF. Предполагается, что SWI/SNF рекрутируется не непосредственно, а при помощи коактиваторов SRC и CREBBP (CBP), причём наличие у последнего белка гистонацетилтрансферазной активности важно для рецептор-зависимой активации и стабилизации SWI/SNF. Впрочем, при работе AR могут ацетилироваться не только гистоны, но и сам AR при помощи коактиваторных белков р300 и p300/CBP-ассоциированного фактора (PCAF), а также Tip60. Поэтому ацетилирование может и непосредственно активировать AR, и «открывая» хроматин в генах-мишенях[13].

Другими посттрансляционными модификациями (кроме ацетилирования), которым может подвергаться AR, являются фосфорилирование, метилирование, убиквитинирование и сумоилирование. Все эти реакции обратимы, поэтому возможны также дефосфорилирование, деметилирование, деубиквитинирование и десумоилирование. Около 23 сайтов AR могут непосредственно подвергаться той или иной модификации. Метилирование AR может осуществлять гистонметилтрансфераза SET9; убиквитинирование — RNF6. И метилирование, и убиквитинирование, и сумоилирование происходят по остаткам лизина. Интересно, что большинство сайтов фосфорилирования лежат в пределах региона AR-NTD и AF-1; это подтверждает, что эти модификации непосредственно модулируют рецептор-зависимую трансактивацию. Возможные механизмы, лежащие в основе этого — изменение белок-белковых взаимодействий и/или изменения в структуре и стабильности белка[13]. AR может фосфорилироваться по остаткам серина, треонина и тирозина, и это может осуществляться такими белками, как циклин-зависимая киназа 9 (CDK9), МАРК, TFIIH (по остаткам серина); Ack1 (по остаткам тирозина); киназа Aurora A (по остаткам треонина)[3].

Посттрансляционные модификации андрогенового рецептора. Показаны сайты фосфорилирования (Р), сумоилирования (SUMO-1) и ацетилирования (Ac)[13]

Функционирование AR может подавляться кошапероном BAG1[43]; фактором определения клеточной судьбы DACH1[44]; DAXX[45]; DJBP, который рекрутирует гистондеацетилазу[46]; киназой гликогенсинтазы 3-β (GSK3B); гистондеацетилазой 1 (HDAC1), которая деацетилирует гистоны и мешает работе AR[47]; SRY[48]. С лиганд-связывающим доменом AR и его N-концом может связываться бета-катенин[49]. Гелсолин, ещё один корегулятор AR, связывается с DBD и LBD рецептора[50]. Белок антигена меланомы MAGEA11 регулирует функционирование AR, изменяя взаимодействие его доменов[51].

Установлено, что AR может регулировать инициацию транскрипции генов-мишеней путём взаимодействия с одним из общих факторов транскрипции — TFIIF. Кроме того, AR может взаимодействовать с другим фактором транскрипции — P-TEFb. Сайты связывания с этими белками находятся в пределах региона AF1. В этом же домене находятся сайты связывания андрогенового рецептора с такими белками, как семейство коактиваторов p160, регулятор клеточного цикла циклин Е1, факторы транскрипции SMAD3 и STAT3, новый коактиватор ART-27 и корепрессор SMRT[13].

С регионом AR-NTD также связывается множество различных белков. Среди них:

  • компоненты общего транскрипционного аппарата: TFIIF, TFIIH, P-TEFb;
  • коактиваторы: ARA160, ART27, CREBBP, семейство коактиваторов р160, AES;
  • корепрессоры: SMRT, SMAD3;
  • факторы транскрипции: STAT3, ANT-1;
  • корегуляторные белки: ARNIP, BRCA1, кавеолин-1, циклин D1, циклин Е, pRb[13].

Подводя итог, можно сказать, что AR-зависимая регуляция генов складывается из совместного действия с другими факторами транскрипции (в том числе тканеспецифичными) и многочисленных взаимодействий с транскрипционным аппаратом[13].

Агонисты, антагонисты и модуляторы

Тестостерон — эндогенный агонист андрогенового рецептора

Эндогенными агонистами AR являются тестостерон и дигидростерон, причём дигидростерон значительно более эффективен, чем тестостерон. Известны и синтетические агонисты AR, например, метилтриенолон[3] и производное тестостерона андриол[52]. Агонисты AR могут применяться в качестве анаболических средств[53], в андрогензамещающей терапии для лечения мужского гипогонадизма и, возможно, могут применяться в качестве мужских контрацептивов[52]. Недавние исследования показали, что связывание агонистов (как и некоторых антагонистов) может изменять последовательность ДНК, распознаваемую комплексом AR-лиганд, что может быть полезным при лечении, например, рака предстательной железы[54].

Гидроксифлутамид — антагонист андрогеновых рецепторов

Антагонисты андрогеновых рецепторов часто используются при лечении заболеваний, вызванных избытком андрогенов, например, рака предстательной железы. Соединения, являющиеся полными или частичными антагонистами андрогеновых рецепторов, называют антиандрогенами. Полными антагонистами AR являются, например, нестероидные соединения гидроксифлутамид, нилутамид и бикалутамид. Некоторые соединения стероидной природы, например, ципротеронацетат и мифепристон, имеют как антагонистическое, так и агонистическое действие на AR[3]. Прогестины в высоких дозах могут блокировать андрогеновые рецепторы[55][56], поскольку андрогеновый рецептор наиболее родственен рецепторам прогестерона.

Селективные модуляторы андрогеновых рецепторов (SARM) оказывают влияние как на геномное, так и на негеномное действие андрогенов за счёт взаимодействия с ними в цитоплазме. Разработка таких соединений, которые модулируют биологическую активность AR тканеспецифичным образом, началась в 1999 году[3]. В настоящее время ведутся клинические испытания препаратов группы SARM энобосарма[57], действующего преимущественно на кости и мышцы, и LGD-4033[58].

Связывание AR c антагонистами, агонистами и прочими модуляторами вызывает в нём конформационные изменения, в результате которых набор корегуляторов (коактиваторов и корепрессоров), с которыми может взаимодействовать AR, изменяется. Таким образом, тканевая специфичность и селективность действия того или иного модулятора объясняется уникальным корегулятором, с которым может взаимодействовать рецептор после связывания с модулятором, а силу конечного ответа определяют уровни определённых коактиваторов и корепрессоров[3].

Роль в патогенезе

Синдром нечувствительности к андрогенам

Женщины с синдромом нечувствительности к андрогенам и связанными нарушениями полового развития

Разнообразные мутации (как правило, миссенс-мутации[10]) андрогенового рецептора, делающие невозможным внутриклеточную передачу сигнала через AR при связывании с тестостероном, приводят к развитию состояния, известного как синдром нечувствительности к андрогенам (AIS). У индивидуумов с AIS в ходе эмбрионального развития клетки Лейдига вырабатывают нормальное количество тестостерона, однако производные вольфова протока, дающие начало элементам мужской половой системы, остаются недоразвитыми. Мюллеровы протоки разрушаются под действием антимюллерова гормона, выделяемого клетками Сертоли. Семенники располагаются в брюшной или паховой области и в постпубертантный период характеризуются недоразвитыми клетками Лейдига и семенными канальцами с незрелыми клетками Сертоли и примитивными гоноцитами, развитие которых не идёт дальше стадии сперматогониев. В некоторых случаях у пациентов с полностью выраженным AIS наружные гениталии при рождении соответствуют женскому фенотипу и представлены слепо заканчивающимся вагинальным карманом, а в подростковый период начинается развитие молочных желёз. В других случаях, когда AIS выражен не в полной мере, гениталии с гипоспадией и не соответствуют ни чисто мужскому, ни женскому фенотипу. Наконец, в случае умеренно выраженного AIS пациенты характеризуются относительно нормальным мужским фенотипом и бесплодием или атрофией мышц во взрослом возрасте, обусловленной синдромом Кеннеди. В раннем детстве и постпубертатном периоде в плазме крови больных AIS отмечается уровень тестостерона, соответствующий или слегка превышающий нормальное содержание этого гормона у мужчин, а также повышенный уровень лютеинизирующего гормона. Однако в условиях полной или частичной нечувствительности к тестостерону начинают преобладать эффекты эстрогена, образующегося при ароматизации тестостерона[59].

Синдром Кеннеди

Синдром Кеннеди, также известный как спинобульбарная (то есть связанная со спинным и продолговатым мозгом) мышечная атрофия, развивается в тех случаях, когда количество CAG-повторов в AR увеличивается до 40—62 повторов. У пациентов с синдромом Кеннеди развиваются прогрессирующие неврологические нарушения, обусловленные дегенерацией спинномозговых мотонейронов и последующим ослаблением мышц; обычно болезнь проявляется в возрасте 40—60 лет. Неврологические проявления синдрома Кеннеди объясняются тем, что белки, содержащие чрезмерно длинные полиглутаминовые участки, индуцируют апоптоз в нейронах, что характерно для многих нейродегенеративных заболеваний. Интересно, что синдром Кеннеди нередко сопровождается нечувствительностью к андрогенам, поскольку AR со слишком длинными полиглутаминовым участком не может нормально функционировать[10].

Сердечно-сосудистые заболевания

Имеются многочисленные данные о связи андрогенового рецептора и сердечно-сосудистых заболеваний. Согласно эпидемиологическим и клиническим данным, андрогены выступают в качестве независимых факторов, обусловливающих более высокую чувствительность к атеросклерозу у мужчин через неблагоприятное воздействие на липиды, кровяное давление и метаболизм глюкозы. Существуют доказательства того, что андрогены задействованы в преждевременном развитии коронарной недостаточности у спортсменов. В то же время недостаток андрогенов, в особенности, тестостерона, обусловленный старением у мужчин или двусторонней оофорэктомии у женщин, связан с появлением гипертензии, диабета, атеросклероза, причём заместительная тестостероновая терапия оказалась эффективной в отношении таких больных. В нормальных физиологических концентрациях тестостерон может оказывать благоприятное действие на кровеносную систему, усиливая анти-коагулирующую активность, и может проявлять антитромбические эффекты. Более того, кратковременное применение тестостерона у мужчин, страдающих коронарной недостаточностью, уменьшало миокардиальную ишемию и улучшало эндотелиальные вазомоторные функции. Впрочем, данные об участии андрогенов в защите от атеросклероза остаются противоречивыми[42].

Рак

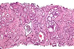
Рак предстательной железы

Микрофотография аденокарциномы простаты — наиболее распространённого вида рака предстательной железы.

Для развития и целостного функционирования предстательная железа нуждается в андрогенах. Врождённая дисфункция андрогенового рецептора или 5-альфа-редуктазы у мужчин приводит либо к полному отсутствию, либо лишь к минимальному развитию предстательной железы. То же самое верно и для самцов других животных. Через неделю после кастрации предстательная железа самца крысы подвергается дегенерации из-за апоптоза эпителиальных клеток (после удаления семенников уровень андрогенов недостаточен для поддержания целостности простаты). Андрогены также относятся к факторам, стимулирующим развитие рака предстательной железы. Изучение евнухоидных индивидуумов показало, что у них простата остаётся маленькой и не подвергается гипертрофии или злокачественному перерождению. Более того, в животных моделях канцерогенеза в предстательной железе необходимо наличие семенников или экзогенных андрогенов для поддержания развития опухоли. У трансгенных мышей с повышенной экспрессией AR в простате клетки эпителия простаты обновляются гораздо быстрее, чем в норме, и простатическая интраэпителиальная неоплазия (злокачественное новообразование) у таких мышей появляется значительно раньше. Хотя необходимость андрогенов для развития рака простаты не вызывает сомнений, сложно установить связь между относительным уровнем андрогенов в крови и риском развития рака простаты. Для объяснения различий в частоте возникновения и степени выраженности рака простаты были предложены расовые различия в уровне циркулирующих в крови андрогенов. Впрочем, данные по связи между уровнем андрогенов в крови и риском развития рака предстательной железы весьма противоречивы, и окончательного решения по этому вопросу нет. Возможно, противоречивость данных объясняется варьирующей активностью андрогеновых рецепторов, которая может играть исключительно важную роль в развитии рака простаты[10].

Показано, что генетическое разнообразие в локусе AR связано с риском рака простаты. В частности, установлено, что количество повторов в области CAG-повторов обратно связано с активностью AR. Проявление этого на клеточном уровне тканеспецифично из-за того, что полиглутаминовый участок в N-концевом домене оказывает влияние на взаимодействие рецептора с p160 и другими коактиваторами. В различных исследованиях было показано, что чем короче участок CAG-повторов в N-концевом домене AR, тем агрессивнее опухоль, раньше начало развития рака и выше вероятность рецидива. Впрочем, в других исследованиях получены иные данные. С риском рака простаты связывают и другие изменения в AR, например, в 5'-нетранслируемой области, но объяснения этим связям пока ещё нет. В отличие от синдрома нечувствительности к андрогеном, для которого было определено множество вызывающих мутаций, мутаций, обусловливающих предрасположенность к раку простаты, немного. Впрочем, одна такая наследуемая мутация (миссенс-мутация) была обнаружена в Финляндии[10].

В клетках рака простаты ген AR иногда подвергается различным изменениям. Было установлено, что клетки рака простаты, как и клетки эпителия простаты, из которых они произошли, сохраняют необходимость в андрогенах, и в условиях недостатка андрогенов погибают. В самом деле, в 80 % случаях клетки рака простаты реагируют на отсутствие андрогенов. Однако в условиях терапии, направленной на снижение уровня андрогенов (например, в результате кастрации), ген AR этих клеток может претерпеть определённые изменения. Так, у 25—30 % пациентов, подвергшихся такому лечению, ген AR претерпевает амплификацию, что увеличивает количество андрогеновых рецепторов в опухолевых клетках и помогает им выживать в условиях низкого уровня андрогенов. В других случаях изменения приводят к повышению чувствительности рецептора к эндогенным агонистам, позволяют ему распознавать более широкий спектр агонистов или уменьшают его чувствительность к антиандрогенам[10].

Другие раковые заболевания

До 1970-х годов рак молочной железы с некоторым успехом лечили андрогенами (тестостероном, дигидростероном, флуоксиместероном). Однако впоследствии оказалось, что у женщин, страдающих раком молочной железы, наблюдается повышенный уровень андрогенов в крови. Действительно, группу риска для рака груди составляют женщины в пре- и постменопаузный период с повышенным содержанием эстрогенов, тестостерона и надпочечниковых андрогенов в крови. Изучение животных моделей показало, что комбинированное воздействие эстрогенов и тестостерона индуцировало пролиферацию клеток молочной железы, сверхэкспрессию андрогенового рецептора и активацию генов-мишеней эстрогенов, причём все эти эффекты устранялись терапией с применением антиандрогенов. Однако разработка антиандрогенов, специфичных к раку молочной железы, находится на зачаточном уровне, хотя о наличии андрогеновых рецепторов в этой ткани известно уже почти 50 лет[29].

Возможно, что андрогеновые рецепторы задействованы в развитии карциномы слюнных желёз[60]. Кроме того, выдвинуто предположение, что андрогены (в частности, дигидростерон) участвуют в развитии рака яичника[61].

Примечания

  1. Roy A. K., Lavrovsky Y., Song C. S., Chen S., Jung M. H., Velu N. K., Bi B. Y., Chatterjee B. Regulation of androgen action. (англ.) // Vitamins and hormones. — 1999. — Vol. 55. — P. 309—352. PMID 9949684.
  2. Lu N. Z., Wardell S. E., Burnstein K. L., Defranco D., Fuller P. J., Giguere V., Hochberg R. B., McKay L., Renoir J. M., Weigel N. L., Wilson E. M., McDonnell D. P., Cidlowski J. A. International Union of Pharmacology. LXV. The pharmacology and classification of the nuclear receptor superfamily: glucocorticoid, mineralocorticoid, progesterone, and androgen receptors. (англ.) // Pharmacological reviews. — 2006. — Vol. 58, no. 4. — P. 782—797. doi:10.1124/pr.58.4.9. PMID 17132855.
  3. 1 2 3 4 5 6 7 8 9 10 11 12 13 14 15 16 17 18 Brinkmann A. O. Androgen Physiology: Receptor and Metabolic Disorders (англ.). — 2000. PMID 25905257.
  4. Mooradian A. D., Morley J. E., Korenman S. G. Biological actions of androgens. (англ.) // Endocrine reviews. — 1987. — Vol. 8, no. 1. — P. 1—28. doi:10.1210/edrv-8-1-1. PMID 3549275.
  5. Heinlein C. A., Chang C. The roles of androgen receptors and androgen-binding proteins in nongenomic androgen actions. (англ.) // Molecular endocrinology (Baltimore, Md.). — 2002. — Vol. 16, no. 10. — P. 2181—2187. doi:10.1210/me.2002-0070. PMID 12351684.
  6. Hiort O., Holterhus P. M. The molecular basis of male sexual differentiation. (англ.) // European journal of endocrinology / European Federation of Endocrine Societies. — 2000. — Vol. 142, no. 2. — P. 101—110. PMID 10664515.
  7. Chang C. S., Kokontis J., Liao S. T. Molecular cloning of human and rat complementary DNA encoding androgen receptors. (англ.) // Science (New York, N.Y.). — 1988. — Vol. 240, no. 4850. — P. 324—326. PMID 3353726.
  8. Trapman J., Klaassen P., Kuiper G. G., van der Korput J. A., Faber P. W., van Rooij H. C., Geurts van Kessel A., Voorhorst M. M., Mulder E., Brinkmann A. O. Cloning, structure and expression of a cDNA encoding the human androgen receptor. (англ.) // Biochemical and biophysical research communications. — 1988. — Vol. 153, no. 1. — P. 241—248. PMID 3377788.
  9. 1 2 Quigley C. A., De Bellis A., Marschke K. B., el-Awady MK, Wilson E. M., French F. S. Androgen receptor defects: historical, clinical, and molecular perspectives. (англ.) // Endocrine reviews. — 1995. — Vol. 16, no. 3. — P. 271—321. doi:10.1210/edrv-16-3-271. PMID 7671849.
  10. 1 2 3 4 5 6 7 8 9 10 11 12 13 14 15 16 17 18 Gelmann E. P. Molecular biology of the androgen receptor. (англ.) // Journal of clinical oncology : official journal of the American Society of Clinical Oncology. — 2002. — Vol. 20, no. 13. — P. 3001—3015. PMID 12089231.
  11. NCBI: AR androgen receptor [ Homo sapiens (human) ]. Дата обращения: 3 октября 2017. Архивировано 4 октября 2016 года.
  12. La Spada A. R., Wilson E. M., Lubahn D. B., Harding A. E., Fischbeck K. H. Androgen receptor gene mutations in X-linked spinal and bulbar muscular atrophy. (англ.) // Nature. — 1991. — Vol. 352, no. 6330. — P. 77—79. doi:10.1038/352077a0. PMID 2062380.
  13. 1 2 3 4 5 6 7 8 9 10 11 McEwan I. J. Molecular mechanisms of androgen receptor-mediated gene regulation: structure-function analysis of the AF-1 domain. (англ.) // Endocrine-related cancer. — 2004. — Vol. 11, no. 2. — P. 281—293. PMID 15163303.
  14. 1 2 Liegibel U. M., Sommer U., Boercsoek I., Hilscher U., Bierhaus A., Schweikert H. U., Nawroth P., Kasperk C. Androgen receptor isoforms AR-A and AR-B display functional differences in cultured human bone cells and genital skin fibroblasts. (англ.) // Steroids. — 2003. — Vol. 68, no. 14. — P. 1179—1187. PMID 14643880.
  15. McEwan I. J. Nuclear receptors: one big family. (англ.) // Methods in molecular biology (Clifton, N.J.). — 2009. — Vol. 505. — P. 3—18. doi:10.1007/978-1-60327-575-0_1. PMID 19117136.
  16. Jenster G., van der Korput H. A., Trapman J., Brinkmann A. O. Identification of two transcription activation units in the N-terminal domain of the human androgen receptor. (англ.) // The Journal of biological chemistry. — 1995. — Vol. 270, no. 13. — P. 7341—7346. PMID 7706276.
  17. Schaufele F., Carbonell X., Guerbadot M., Borngraeber S., Chapman M. S., Ma A. A., Miner J. N., Diamond M. I. The structural basis of androgen receptor activation: intramolecular and intermolecular amino-carboxy interactions. (англ.) // Proceedings of the National Academy of Sciences of the United States of America. — 2005. — Vol. 102, no. 28. — P. 9802—9807. doi:10.1073/pnas.0408819102. PMID 15994236.
  18. Klokk T. I., Kurys P., Elbi C., Nagaich A. K., Hendarwanto A., Slagsvold T., Chang C. Y., Hager G. L., Saatcioglu F. Ligand-specific dynamics of the androgen receptor at its response element in living cells. (англ.) // Molecular and cellular biology. — 2007. — Vol. 27, no. 5. — P. 1823—1843. doi:10.1128/MCB.01297-06. PMID 17189428.
  19. van Royen M. E., Cunha S. M., Brink M. C., Mattern K. A., Nigg A. L., Dubbink H. J., Verschure P. J., Trapman J., Houtsmuller A. B. Compartmentalization of androgen receptor protein-protein interactions in living cells. (англ.) // The Journal of cell biology. — 2007. — Vol. 177, no. 1. — P. 63—72. doi:10.1083/jcb.200609178. PMID 17420290.
  20. Langley E., Zhou Z. X., Wilson E. M. Evidence for an anti-parallel orientation of the ligand-activated human androgen receptor dimer. (англ.) // The Journal of biological chemistry. — 1995. — Vol. 270, no. 50. — P. 29983—29990. PMID 8530400.
  21. Berrevoets C. A., Doesburg P., Steketee K., Trapman J., Brinkmann A. O. Functional interactions of the AF-2 activation domain core region of the human androgen receptor with the amino-terminal domain and with the transcriptional coactivator TIF2 (transcriptional intermediary factor2). (англ.) // Molecular endocrinology (Baltimore, Md.). — 1998. — Vol. 12, no. 8. — P. 1172—1183. doi:10.1210/mend.12.8.0153. PMID 9717843.
  22. 1 2 3 Dubbink H. J., Hersmus R., Verma C. S., van der Korput H. A., Berrevoets C. A., van Tol J., Ziel-van der Made A. C., Brinkmann A. O., Pike A. C., Trapman J. Distinct recognition modes of FXXLF and LXXLL motifs by the androgen receptor. (англ.) // Molecular endocrinology (Baltimore, Md.). — 2004. — Vol. 18, no. 9. — P. 2132—2150. doi:10.1210/me.2003-0375. PMID 15178743.
  23. Kaku N., Matsuda K., Tsujimura A., Kawata M. Characterization of nuclear import of the domain-specific androgen receptor in association with the importin alpha/beta and Ran-guanosine 5'-triphosphate systems. (англ.) // Endocrinology. — 2008. — Vol. 149, no. 8. — P. 3960—3969. doi:10.1210/en.2008-0137. PMID 18420738.
  24. Saporita A. J., Zhang Q., Navai N., Dincer Z., Hahn J., Cai X., Wang Z. Identification and characterization of a ligand-regulated nuclear export signal in androgen receptor. (англ.) // The Journal of biological chemistry. — 2003. — Vol. 278, no. 43. — P. 41998—42005. doi:10.1074/jbc.M302460200. PMID 12923188.
  25. Gottlieb B., Lombroso R., Beitel L. K., Trifiro M. A. Molecular pathology of the androgen receptor in male (in)fertility. (англ.) // Reproductive biomedicine online. — 2005. — Vol. 10, no. 1. — P. 42—48. PMID 15705293.
  26. Choong C. S., Wilson E. M. Trinucleotide repeats in the human androgen receptor: a molecular basis for disease. (англ.) // Journal of molecular endocrinology. — 1998. — Vol. 21, no. 3. — P. 235—257. PMID 9845666.
  27. Meehan K. L., Sadar M. D. Androgens and androgen receptor in prostate and ovarian malignancies. (англ.) // Frontiers in bioscience : a journal and virtual library. — 2003. — Vol. 8. — P. 780—800. PMID 12700055.
  28. 1 2 Davison S. L., Bell R. Androgen physiology. (англ.) // Seminars in reproductive medicine. — 2006. — Vol. 24, no. 2. — P. 71—77. doi:10.1055/s-2006-939565. PMID 16633980.
  29. 1 2 3 4 Proverbs-Singh T., Feldman J. L., Morris M. J., Autio K. A., Traina T. A. Targeting the androgen receptor in prostate and breast cancer: several new agents in development. (англ.) // Endocrine-related cancer. — 2015. — Vol. 22, no. 3. — P. 87—106. doi:10.1530/ERC-14-0543. PMID 25722318.
  30. Bolton E. C., So A. Y., Chaivorapol C., Haqq C. M., Li H., Yamamoto K. R. Cell- and gene-specific regulation of primary target genes by the androgen receptor. (англ.) // Genes & development. — 2007. — Vol. 21, no. 16. — P. 2005—2017. doi:10.1101/gad.1564207. PMID 17699749.
  31. Kemppainen J. A., Langley E., Wong C. I., Bobseine K., Kelce W. R., Wilson E. M. Distinguishing androgen receptor agonists and antagonists: distinct mechanisms of activation by medroxyprogesterone acetate and dihydrotestosterone. (англ.) // Molecular endocrinology (Baltimore, Md.). — 1999. — Vol. 13, no. 3. — P. 440—454. doi:10.1210/mend.13.3.0255. PMID 10077001.
  32. Vlahopoulos S., Zimmer W. E., Jenster G., Belaguli N. S., Balk S. P., Brinkmann A. O., Lanz R. B., Zoumpourlis V. C., Schwartz R. J. Recruitment of the androgen receptor via serum response factor facilitates expression of a myogenic gene. (англ.) // The Journal of biological chemistry. — 2005. — Vol. 280, no. 9. — P. 7786—7792. doi:10.1074/jbc.M413992200. PMID 15623502.
  33. Pandini G., Mineo R., Frasca F., Roberts C. T. Jr., Marcelli M., Vigneri R., Belfiore A. Androgens up-regulate the insulin-like growth factor-I receptor in prostate cancer cells. (англ.) // Cancer research. — 2005. — Vol. 65, no. 5. — P. 1849—1857. doi:10.1158/0008-5472.CAN-04-1837. PMID 15753383.
  34. Quero L., Rozet F., Beuzeboc P., Hennequin C. The androgen receptor for the radiation oncologist. (англ.) // Cancer radiotherapie : journal de la Societe francaise de radiotherapie oncologique. — 2015. doi:10.1016/j.canrad.2015.02.008. PMID 25921704.
  35. Эпигенетика / под ред. С. Д. Эллиса, Т. Дженювейна, Д. Рейнберга.. М.: Техносфера, 2013. — С. 200. — 496 с. — ISBN 978-5-94836-257-1.
  36. Sinisi A. A., Pasquali D., Notaro A., Bellastella A. Sexual differentiation. (англ.) // Journal of endocrinological investigation. — 2003. — Vol. 26, no. 3 Suppl. — P. 23—28. PMID 12834017.
  37. Ellis J. A., Stebbing M., Harrap S. B. Polymorphism of the androgen receptor gene is associated with male pattern baldness. (англ.) // The Journal of investigative dermatology. — 2001. — Vol. 116, no. 3. — P. 452—455. doi:10.1046/j.1523-1747.2001.01261.x. PMID 11231320.
  38. Frank G. R. Role of estrogen and androgen in pubertal skeletal physiology. (англ.) // Medical and pediatric oncology. — 2003. — Vol. 41, no. 3. — P. 217—221. doi:10.1002/mpo.10340. PMID 12868122.
  39. Walters K. A., Simanainen U., Handelsman D. J. Molecular insights into androgen actions in male and female reproductive function from androgen receptor knockout models. (англ.) // Human reproduction update. — 2010. — Vol. 16, no. 5. — P. 543—558. doi:10.1093/humupd/dmq003. PMID 20231167.
  40. Sinnesael M., Claessens F., Laurent M., Dubois V., Boonen S., Deboel L., Vanderschueren D. Androgen receptor (AR) in osteocytes is important for the maintenance of male skeletal integrity: evidence from targeted AR disruption in mouse osteocytes. (англ.) // Journal of bone and mineral research : the official journal of the American Society for Bone and Mineral Research. — 2012. — Vol. 27, no. 12. — P. 2535—2543. doi:10.1002/jbmr.1713. PMID 22836391.
  41. Butler M. G., Manzardo A. M. Androgen receptor (AR) gene CAG trinucleotide repeat length associated with body composition measures in non-syndromic obese, non-obese and Prader-Willi syndrome individuals. (англ.) // Journal of assisted reproduction and genetics. — 2015. doi:10.1007/s10815-015-0484-4. PMID 25925349.
  42. 1 2 Torres-Estay V., Carreño D. V., San Francisco I. F., Sotomayor P., Godoy A. S., Smith G. J. Androgen receptor in human endothelial cells. (англ.) // The Journal of endocrinology. — 2015. — Vol. 224, no. 3. — P. 131—137. doi:10.1530/JOE-14-0611. PMID 25563353.
  43. Shatkina L., Mink S., Rogatsch H., Klocker H., Langer G., Nestl A., Cato A. C. The cochaperone Bag-1L enhances androgen receptor action via interaction with the NH2-terminal region of the receptor. (англ.) // Molecular and cellular biology. — 2003. — Vol. 23, no. 20. — P. 7189—7197. PMID 14517289.
  44. Wu K., Katiyar S., Witkiewicz A., Li A., McCue P., Song L. N., Tian L., Jin M., Pestell R. G. The cell fate determination factor dachshund inhibits androgen receptor signaling and prostate cancer cellular growth. (англ.) // Cancer research. — 2009. — Vol. 69, no. 8. — P. 3347—3355. doi:10.1158/0008-5472.CAN-08-3821. PMID 19351840.
  45. Lin D. Y., Fang H. I., Ma A. H., Huang Y. S., Pu Y. S., Jenster G., Kung H. J., Shih H. M. Negative modulation of androgen receptor transcriptional activity by Daxx. (англ.) // Molecular and cellular biology. — 2004. — Vol. 24, no. 24. — P. 10529—10541. doi:10.1128/MCB.24.24.10529-10541.2004. PMID 15572661.
  46. Niki T., Takahashi-Niki K., Taira T., Iguchi-Ariga S. M., Ariga H. DJBP: a novel DJ-1-binding protein, negatively regulates the androgen receptor by recruiting histone deacetylase complex, and DJ-1 antagonizes this inhibition by abrogation of this complex. (англ.) // Molecular cancer research : MCR. — 2003. — Vol. 1, no. 4. — P. 247—261. PMID 12612053.
  47. Gaughan L., Logan I. R., Cook S., Neal D. E., Robson C. N. Tip60 and histone deacetylase 1 regulate androgen receptor activity through changes to the acetylation status of the receptor. (англ.) // The Journal of biological chemistry. — 2002. — Vol. 277, no. 29. — P. 25904—25913. doi:10.1074/jbc.M203423200. PMID 11994312.
  48. Yuan X., Lu M. L., Li T., Balk S. P. SRY interacts with and negatively regulates androgen receptor transcriptional activity. (англ.) // The Journal of biological chemistry. — 2001. — Vol. 276, no. 49. — P. 46647—46654. doi:10.1074/jbc.M108404200. PMID 11585838.
  49. Yang F., Li X., Sharma M., Sasaki C. Y., Longo D. L., Lim B., Sun Z. Linking beta-catenin to androgen-signaling pathway. (англ.) // The Journal of biological chemistry. — 2002. — Vol. 277, no. 13. — P. 11336—11344. doi:10.1074/jbc.M111962200. PMID 11792709.
  50. Nishimura K., Ting H. J., Harada Y., Tokizane T., Nonomura N., Kang H. Y., Chang H. C., Yeh S., Miyamoto H., Shin M., Aozasa K., Okuyama A., Chang C. Modulation of androgen receptor transactivation by gelsolin: a newly identified androgen receptor coregulator. (англ.) // Cancer research. — 2003. — Vol. 63, no. 16. — P. 4888—4894. PMID 12941811.
  51. Bai S., He B., Wilson E. M. Melanoma antigen gene protein MAGE-11 regulates androgen receptor function by modulating the interdomain interaction. (англ.) // Molecular and cellular biology. — 2005. — Vol. 25, no. 4. — P. 1238—1257. doi:10.1128/MCB.25.4.1238-1257.2005. PMID 15684378.
  52. 1 2 Köhn F. M., Schill W. B. A new oral testosterone undecanoate formulation. (англ.) // World journal of urology. — 2003. — Vol. 21, no. 5. — P. 311—315. doi:10.1007/s00345-003-0372-x. PMID 14579074.
  53. Krüskemper H. L., Noell G. Liver toxicity of a new anabolic agent: methyltrienolone (17-alpha-methyl-4,9,11-estratriene-17 beta-ol-3-one). (англ.) // Steroids. — 1966. — Vol. 8, no. 1. — P. 13—24. PMID 5955468.
  54. Chen Z., Lan X., Thomas-Ahner J. M., Wu D., Liu X., Ye Z., Wang L., Sunkel B., Grenade C., Chen J., Zynger D. L., Yan P. S., Huang J., Nephew K. P., Huang T. H., Lin S., Clinton S. K., Li W., Jin V. X., Wang Q. Agonist and antagonist switch DNA motifs recognized by human androgen receptor in prostate cancer. (англ.) // The EMBO journal. — 2015. — Vol. 34, no. 4. — P. 502—516. doi:10.15252/embj.201490306. PMID 25535248.
  55. Bardin C. W., Brown T., Isomaa V. V., Jänne O. A. Progestins can mimic, inhibit and potentiate the actions of androgens. (англ.) // Pharmacology & therapeutics. — 1983. — Vol. 23, no. 3. — P. 443—459. PMID 6371845.
  56. Raudrant D., Rabe T. Progestogens with antiandrogenic properties. (англ.) // Drugs. — 2003. — Vol. 63, no. 5. — P. 463—492. PMID 12600226.
  57. Dalton J. T., Barnette K. G., Bohl C. E., Hancock M. L., Rodriguez D., Dodson S. T., Morton R. A., Steiner M. S. The selective androgen receptor modulator GTx-024 (enobosarm) improves lean body mass and physical function in healthy elderly men and postmenopausal women: results of a double-blind, placebo-controlled phase II trial. (англ.) // Journal of cachexia, sarcopenia and muscle. — 2011. — Vol. 2, no. 3. — P. 153—161. doi:10.1007/s13539-011-0034-6. PMID 22031847.
  58. Basaria S., Collins L., Dillon E. L., Orwoll K., Storer T. W., Miciek R., Ulloor J., Zhang A., Eder R., Zientek H., Gordon G., Kazmi S., Sheffield-Moore M., Bhasin S. The safety, pharmacokinetics, and effects of LGD-4033, a novel nonsteroidal oral, selective androgen receptor modulator, in healthy young men. (англ.) // The journals of gerontology. Series A, Biological sciences and medical sciences. — 2013. — Vol. 68, no. 1. — P. 87—95. doi:10.1093/gerona/gls078. PMID 22459616.
  59. Brown T. R. Human androgen insensitivity syndrome. (англ.) // Journal of andrology. — 1995. — Vol. 16, no. 4. — P. 299—303. PMID 8537246.
  60. Williams L., Thompson L. D., Seethala R. R., Weinreb I., Assaad A. M., Tuluc M., Ud Din N., Purgina B., Lai C., Griffith C. C., Chiosea S. I. Salivary duct carcinoma: the predominance of apocrine morphology, prevalence of histologic variants, and androgen receptor expression. (англ.) // The American journal of surgical pathology. — 2015. — Vol. 39, no. 5. — P. 705—713. doi:10.1097/PAS.0000000000000413. PMID 25871467.
  61. Kohan-Ivani K., Gabler F., Selman A., Vega M., Romero C. Role of dihydrotestosterone (DHT) on TGF-β1 signaling pathway in epithelial ovarian cancer cells. (англ.) // Journal of cancer research and clinical oncology. — 2015. doi:10.1007/s00432-015-1998-y. PMID 26091707.

Литература

Ссылки